Ультразвуковое исследование покажет размеры матки, а опытный врач объяснит, каковы нормы ее размеров во время беременности, после родов и у девственниц. Фото УЗИ иллюстрирует размеры шейки матки, яичников и то, как выглядит матка, а врач даст полное описание изображению.
Метод обследования репродуктивных органов, а также органов малого таза при помощи ультразвуковой диагностики относится к наиболее информативным, при этом не инвазивным и безопасным. Результаты УЗИ должен расшифровывать специалист, при обследовании матки и яичников – гинеколог. Он разберётся в результатах ультразвуковой сонографии, учтет все факторы и определит диагноз.Иногда бывает необходимо самостоятельно разобраться в записях УЗИ. Для этого нужно понимать, какие размеры органов, структуру и состояния принято брать за норму.
Причины для обследования
Что должно стать основанием для прохождения женщиной УЗИ? Направление на УЗИ врач выдает при выраженных болях в районе поясницы и промежности. Болевые ощущения тянущего или резкого характера. Еще показаниями для обследования являются кровянистые выделения вне менструального цикла, подозрения на эрозию шейки матки, миому, злокачественные новообразования и так далее.
Для исключения внематочной и подтверждения обычной беременности прибегают к УЗИ. При необходимости обследования для определения времени овуляции и с целью вывить доминантный фолликул. Кроме того, используя УЗИ метод, оценивают структуру, контуры и строение внутренних органов. Врач анализирует возможные отклонения, которые свидетельствующие о начале болезней или возможном бесплодии.
Когда делать УЗИ?
Для ультразвуковой диагностики женской половой сферы актуально на какой именно день менструального цикла приходится обследование. Это обычно связано с гормональными изменениями для обеспечения овуляции и зачатия ребенка. В овуляторные дни, когда созревают яйцеклетки в яичниках, среди них выделяет доминантный фолликул. Для того чтобы в матке закрепилась яйцеклетка эпителий слизистой полости матки становится рыхлее и толще. Изменения состояния шейки матки равным образом зависят от менструального цикла. В период неблагоприятный для зачатия шейка матки твердая, закрыта от проникновения инфекций густой пробкой из слизи. Но по мере приближения дней овуляции шейка размягчается, слизь из вязки и густой становится более жидкой.
Учитывая, что УЗИ матки четко связано с целями обследования, то день диагностики лучше назначать совместно с гинекологом. Обычно это пятый или шестой день цикла. Если нужно выявить доминантный фолликул в яичниках во время овуляции, то диагностику понадобится пройти на 8–10 день или на 14–16. Если удостовериться что зачатие произошло, то на 22–24 день цикла.
Что обследует гинеколог на УЗИ?
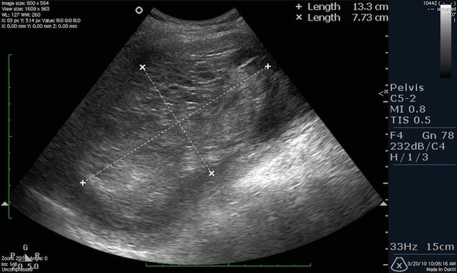
Осмотру подвергается тело матки, яичники, фаллопиевы трубы. Гинеколог при осмотре оценивает состояние матки, яичников и яйцеводов. Диагностике подлежит структура, форма, размер, толщина стенок, эхогенность, наличие визуально выраженных отклонений от нормы. Помимо этого, смотрят состояние шейки матки, ее длину и плотность.
Способы УЗИ
Для исследования волнами ультразвука существует два варианта: трансвагинальный и трансабдоминальный способы. Через переднюю стенку живота – это абдоминальный метод, он подходит для органов таза. Но из-за особенностей строения организма или у очень тучных людей его результаты могут быть недостоверными.
Трансвагинальный метод считается более точным, но не подходит в обследовании девушек-девственниц, поскольку гинеколог делает осмотр, вводя датчик узкой формы во влагалище. Для обследования с целью уточнения сроков овуляции и доминантного фолликула, состояния эндометрия полости матки подходят оба способа, но предпочтительней абдоминальный. Для обследования состояния шейки матки используют оба, но вагинальным датчиком изображение получается более четким. Оба способа абсолютно безболезненны, ощущения могут быть от введения тела в полость матки или от геля, которым смазывают поверхность кожи при обследовании через живот.
Как нужно готовиться к УЗИ?
Для полноценного обследования полости матки и маточных труб аппарату УЗИ требуется «экран» для прохождения волн. В качестве экрана выступает полный мочевой пузырь. Поэтому женщиназа час или полтора должна выпить около литра обычной негазированной воды. Пьют воду интервалами через 5–10 минут.
Непосредственно перед приемом должно быть стойкое желание опорожнить мочевой пузырь. В этом случае обследование через переднюю брюшную стенку пройдет хорошо. Если гинеколог будет смотреть трансвагинально, то перед сеансом попросит сходить в туалет. Чтобы газы не мешали проходить волнам за 2–3 дня до записи не нужно употреблять в пищу продуты, вызывающие вздутие, например, капусту, бобовые, молоко.
При УЗИ обследование используется специальный гель для лучшего скольжения по коже пациента. Женщинам советую не забыть взять с собой салфетку, чтобы удалить остатки геля с поверхности тела.
Нормы значений при УЗИ
Нормативные значения определены для всех органов брюшной полости: шейки матки, яичников, фаллопиевых труб и так далее.
Матка
Гинеколог, начиная осмотр органа, оценивает расположение в брюшной полости. Матка может быть немного отклонена к прямой кишке или мочевому пузырю. На нормативные значения размеров матки оказывает влияние количество лет пациентки, роды в анамнезе, пребывание в менопаузе. Оценивая допустимое отклонение размеров матки от нормы, доктор принимает во внимание на день менструального цикла УЗИ сканирования.
При нижеуказанных состояниях организма у женщин допустимое отклонение размеров матки составляет по длине не более 3 мм, по ширине – 6. Отклонение переднезаднего размера не более 2 мм.
В период женского покоя допустимое отклонение значительно больше, чем в состоянии матки до него. Допустимое отклонение может достигать 30 мм в любую сторону, в зависимости от срока пребывания в менопаузе. Более тщательно оценивает норму и допустимое отклонение врач-гинеколог обязательно в совокупности с другими факторами.
В полости матки анализу подвергается толщина эндометрия. На 7 день после менструации она должна быть в пределах 1–2 мм. После овуляции толщина выстилающего слоя увеличивается до 10–15 мм. Нормой считается однородный мышечный слой, без узелков и образований.
| Состояние женщины | Длина, мм. | Ширина, мм. | Переднезадний размер. |
|---|---|---|---|
| Не было беременностей | 45 | 46 | 34 |
| Беременности были, но не было родов | 53 | 50 | 37 |
| Были роды | 58 | 54 | 40 |
| Состояние женщины в зависимости от периода менопаузы | Длина, мм | Ширина, мм | Переднезадний размер. |
| До 1 года | 58 | 42 | 31 |
| 2–6 лет | 56 | 41 | 30 |
| 7–13 | 54 | 39 | 28 |
| 14–25 | 51 | 37 | 26 |
Шейка матки
Нормы для шейки матки составляет примерно 30% длины всей матки. Средние размеры шейки матки:
- Длина от 2,8–3,7 см;
- Ширина 2,9–5,3 см;
- Толщина 2,6–3,3 см.
Нормально, если в позадиматочном пространстве сразу после того, как прошла овуляция, наблюдается небольшое количество жидкости, а в яичнике желтое тело. Если в другие дни обнаруживается свободная жидкость – это свидетельство воспалительного процесса маточных труб.
Яичники
Очертания яичников считаются нормальными, если они неровные, но четко просматриваются на экране. Их бугристость обусловлена созревающими фолликулам. Нормальная эхоструктура органа – однородная, очертания четкие. Если есть отклонения, то это – указание на наличие воспалений.
Нормальный размер яичников составляет: 0,15 см в толщину, 0,3 см в длину и 0,25 см в ширину. В норме его объем от 2 до 8 куб. см. Если по УЗИ заметно, что какой-либо из этих параметров изменен, то это может сигнализировать о наличии кист. В яичниках должны просматриваться созревающие фолликулы. Доминантный фолликул определяется по размерам. В пик овуляции он достигает 20–25 мм. Если он больше указанного размера, то – это может быть фолликулярная киста. Она не опасна и рассасывается самостоятельно.
На УЗИ можно быстро оценить состояние полости матки, труб и яичников. Благодаря этому удается на ранних сроках распознать начало заболеваний.

Описание седловидной (двурогой) матки, а так же консультацию как это влияет на роды получить лучше у своего врача.
Гинекологическая сфера является довольно деликатной, поэтому многие женщины до последнего откладывают визит к специалисту. Из-за промедления часто патологии обнаруживаются случайно, во время профилактического осмотра.
При некоторых заболеваниях меняются размеры матки, возникают болевые ощущения в брюшной полости, которых в норме у женщин быть не должно. Снижается качество жизни, появляются трудности с зачатием и вынашиванием.
Когда назначают УЗИ-диагностику
УЗИ органов малого таза у женщин назначается при высокой вероятности воспалительных патологий, при болях внизу живота, выделениях и проблемах с менструациями. Также обязательным обследование является для беременных женщин, что позволяет контролировать процесс развития плода.
УЗИ малого таза успешно выявляет:
- Воспалительные процессы – эндометриты, эндоцервициты.
- Злокачественные новообразования – рак матки или яичников.
- Нарушения в развитии матки.
- Патологии, провоцирующие проблемы с мочеиспусканием.
- Причины бесплодия.
- Доброкачественные новообразования – эндометриозы, кисты, миомы, полипы.
При обследовании изучается расположение матки, ее форма, размеры и толщина стенок. Определяется состояние яичников и корректность их работы, проверяется наличие новообразований и жидкости в брюшной полости.
https://youtube.com/watch?v=of5fJcBDmfk
Как проходит УЗИ
УЗИ осуществляется двумя методами: трансвагинально и абдоминально. Если обследование производится у девственницы, процедура осуществляется поверхностно. Пациентка обнажает нижнюю часть живота и укладывается на кушетку. Врач покрывает датчик специальным гелем, улучшающим проводимость сигналов, после чего перемещает прибор по поверхности живота.
Если женщина живет половой жизнью, применяется трансвагинальное УЗИ.
Для этого обследуемая обнажается ниже пояса, укладывается на кушетку с широко расставленными ногами. Во влагалище вводится трансдюсер, диаметр которого не превышает 3 см. Из гигиенических соображений на него надевают презерватив, который обследуемые приносят с собой.
Процедура длится от 5 до 20 минут, что зависит от индивидуальных особенностей и от наличия патологий. Все сведения поступают на монитор, после чего расшифровываются специалистом.
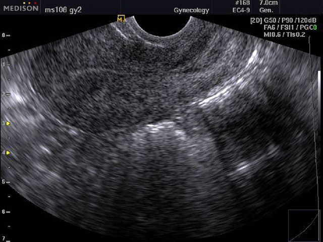
Трансвагинальная УЗИ-диагностика
Размеры матки в норме у женщин, расположение органа, толщину эндометрия и расположение яичников позволяет наиболее точно выявить трансвагинальная диагностика. Для этого датчик, который представляет собой пластиковый стержень 12 см в длину, вводится на небольшую глубину.
Процесс не доставляет неудобств, так как используется специальный гель, а диаметр устройства составляет всего 3 см. Из-за небольшой толщины стенок влагалища удается обнаружить любые, даже незначительные изменения. Благодаря этому, удается установить точный диагноз и подобрать своевременное лечение.
Узнать, в норме ли размеры матки у женщин можно благодаря трансвагинальному УЗИ.
Данный вид диагностики не предполагает особой подготовки. Перед процедурой за 1 час нужно воздерживаются от приема любой жидкости. Желательно сходить очистить мочевой пузырь перед самым обследованием, о чем обычно просит врач. При наличии проблем с пищеварением и при повышенном газообразовании принимают смекту или другие препараты, нормализующие работу кишечника.
Трансабдоминальная УЗИ-диагностика
Трансабдоминальное УЗИ используется у девственниц и проводится через брюшную стенку. Для получения точной информации необходимо наполнить мочевой пузырь, для чего девушка выпивает примерно 1 литр воды. Возможно применение данного типа обследования в качестве дополнения к трансвагинальной диагностике.
Также гинеколог направляет на трансабдоминальное УЗИ беременных, если имеются показания.
Пациентку укладывают на спину, освобождают живот. На поверхность кожи наносят гель, а затем проводят на нижней части брюшины датчиком, слегка прижимая его к телу. Данная методика часто дает погрешности из-за большой удаленности от изучаемых органов, особенно при наличии лишнего веса или усиленном газообразовании.
Норма обследования матки по УЗИ у женщин детородного возраста и в постменопаузе
Размеры матки в норме у женщин отличаются в зависимости от возраста, количества беременностей, абортов и гормонального фона. Специалисты измеряют длину и ширину матки, указывают толщину стенок.
Женщины детородного возраста имеют матку следующих размеров:
- длина – до 70 мм;
- ширина – до 60 мм;
- толщина стенок – до 42 мм.
Если женщина не рожала и не беременела, длина матки 47 мм, у рожавших показатели возрастают до 61 мм. При этом с каждой беременностью длина матки и ее ширина увеличиваются. Когда были беременности, но без родов, длина органа будет в пределах 54 мм.
Для получения точных результатов рекомендуется делать УЗИ на 5-8 день цикла, а повторные обследования проводить на той же фазе. На заключение могут повлиять гормональные колебания, наличие беременностей и родов. Иногда даже стрессы и нервные перегрузки приводят к изменениям в размерах.
Во время менопаузы снижается выработка женских половых гормонов, что провоцирует уменьшение размеров матки. В начале постменопаузы длина матки варьируется от 40 до 70 мм, ширина – 27-54 мм, а толщина стенок – 18-36 мм. Через 15-30 лет после начала изменений длина матки будет 33-67 мм, ширина – 25-54, толщина стенок – 14-36.
Размеры могут сильно варьироваться, так как все зависит от времени начала менопаузы и индивидуальных особенностей организма. У некоторых женщин менопауза начинается раньше 40 лет, а кого-то настигает после 60. Если показатели не сильно отличаются от нормы во время начала менопаузы, имеется высокая вероятность забеременеть через искусственное оплодотворение.
Положение органа
Матка располагается между мочевым пузырем и прямой кишкой. Она немного смещается при сильном наполнении мочевого или кишечника, а также во время беременности. В норме тело матки обращено кпереди, что называется антеверсией.
При повороте тела матки к боковой стенке таза говорят о латероверсии, а смещение кзади свидетельствует о ретроверсии.
Также встречается флексия, или перегиб матки, что приводит к болезненным менструациям и дискомфорту во время полового акта. При незначительном загибе женщина легко беременеет, а после родов матка принимает обычное положение. Если патология выражена сильно, возможны трудности с зачатием.
Контуры органа
При отсутствии патологий контуры органа четкие и ровные. Нечеткие контуры свидетельствуют о наличии миомы, опухоли или ракового заболевания. Если размыты внешние очертания, велика вероятность параметрита – воспаления тканей, которые окружают матку.
Размер эндометрия
Эндометрий включает в себя два слоя – базальный и функциональный, которые чувствительны к воздействию гормонов. Функциональный слой отслаивается, что становится причиной менструаций. К концу месячных эндометрий становится тонким, а после овуляции его толщина оказывается максимальной. В этот период организм женщины готовится к беременности. Если она не наступает, цикл повторяется сначала.
Из-за такой особенности при обследовании учитывают фазу цикла:
- Начало цикла с выделениями. На 3-4 день цикла толщина эндометрия составляет 3-5 мм, происходит его постепенное восстановление.
- Пролиферация – средняя часть цикла. На 5-7 день цикла толщина составляет 6-9 мм, а уже к 10 дню достигает 1 см. На 2 неделе параметры могут достигать 1, 3 см.
- Секреция – завершение цикла. К 18 дню цикла толщина достигает 1-1,6 см, а к 20-23 дню параметры оказываются максимальными – 1-2,1 см. Затем происходит постепенное уменьшение размеров до 1- 1,8 см.
По достижению менопаузы выработка половых гормонов уменьшается, а репродуктивная система постепенно снижает свои функциональные возможности.
После 45-50 лет у женщин часто развиваются патологические процессы, поэтому обязательно проходить профилактические обследования. Допустимые размеры эндометрия – 5 мм. Если показатели доходят до 8 мм, производится диагностическое выскабливание.
Встречается два вида патологий эндометрия: гиперплазия и гипоплазия. Гиперплазия характеризуется разрастанием эндометрия со значительным увеличением его толщины. Данный процесс часто сопровождает следующие нарушения: миомы, эндометриозы. В период климакса подобные изменения свидетельствуют о воспалительных заболеваниях.
Гипоплазия проявляется истончением эндометрия, что не зависит от стадии цикла. Данная патология развивается на фоне плохого местного кровоснабжения, хронического эндометрита или при проблемах с выработкой эстрогенов.
Размер матки
Размеры матки у женщин по УЗИ рассчитываются с учетом возраста, количества беременностей и родов. В норме сразу после рождения у девочек длина матки составляет 30-40 мм, а ее ширина не превышает 15 мм. Такие параметры объясняются воздействием половых гормонов матери, влияние которых постепенно ослабевает.
К 2-4 годам общая длина матки не превышает 33 мм. Затем каждый год длина возрастает на 2-3 мм, достигая к 17 годам общей длины в 8, 2 см. Тело матки будет иметь длину в 53 мм, ширину в 51, а толщину в 37 мм.
Немного отличаются показатели у женщин детородного возраста, когда половое созревание завершено:
| Категория женщин | Длина | Ширина | Толщина |
| Без беременностей | 47 | 50 | 35 |
| С беременностями, но без родов | 54 | 55 | 38 |
| Рожавшие | 61 | 60 | 42 |
В климатический период параметры изменяются, а матка становится меньше. Конкретные цифры зависят от выработки половых гормонов, возраста женщина и сроков начала менопаузы.
В начале менопаузы размеры матки почти не отличается от показателей женщин детородного возраста. К концу менопаузы характеристики значительно меньшие, но сделать конкретное заключение о соответствии матки возрасту может только гинеколог.
Параметры шейки матки
Общий размер матки влияет на длину её шейки. У женщин детородного возраста длина шейки не превышает 4,5 см, а толщина – 0,3 см. При перегибе тела и шейки матки, толщина может доходить до 4, 5 см, что является патологией.
Эхогенность
При нормальном состоянии матки эхогенность однородная. При обнаружении участков с плохой проводимостью сигнала можно заподозрить наличие миомы или опухоли.
Наличие свободной жидкости
В норме жидкость в малом тазу отсутствует, но иногда небольшое количество допустимо. Оно свидетельствует о недавней овуляции, во время которой содержимое фолликула попало в область позади матки.
Если жидкость не исчезает даже через несколько дней после овуляции, можно заподозрить следующие патологии:
- Эндометриоз.
- Воспаления органов малого таза – разрывы кист, гнойный сальпит, острый эндометрит.
- Асцит – скопление жидкости в брюшной полости при злокачественных опухолях.
- Кровотечения в брюшной полости.
- Внематочную беременность, сопровождающуюся разрывом фаллопиевой трубы.
Грамотный врач обнаружит и другие признаки нарушений, что позволит правильно поставить диагноз и подобрать лечение.
Структура полости
Структура полости матки в норме характеризуется ровными краями. Размытость контуров указывает на воспалительные процессы – эндометриты, или является признаком гиперплазии эндометрия.
Таблица размеров тела в норме по УЗИ
Размеры матки в норме у женщин по УЗИ и у девочек лучше всего демонстрирует следующая таблица:
| Возраст | Длина тела матки, см | Ширина, см | Передне-задний размер, см |
| 2-7 лет | 3, 19 | 1, 5 | 0,9 |
| 8-9 | 3, 5 | 1,7 | 1,1 |
| 10-11 | 4,9 | 2 | 1,5 |
| 17-19 | 4,8 | 4,1 | 3,3 |
К завершению полового созревания тело матки достигает длины в 5 см и ширину в 4 см.
У нерожавших
Если женщина никогда не рожала и не беременела, длина и ширина ее матки составляет около 5 см. После зачатия, которое не завершилось родами, длина возрастает до 5, 4 см, а ширина – 5, 5 см.
У рожавших
Размеры матки в норме у женщин рожавших значительно больше, чем у нерожавших. Параметры зависят от количества родов и неудачных беременностей. Чем больше родов пережила женщина, тем большими окажутся параметры. В среднем длина и ширина матки составляют по 6 см. После нескольких родов цифры могут увеличиться до 7 см.
Как изменяется размер матки при разных патологиях?
На размеры матки влияют колебания гормонального фона и различные патологии. Самые распространенные из них – это миома матки, кисты яичника и злокачественная опухоль. Подобные заболевания сопровождаются существенным изменением размеров матки, сбоем менструального цикла, болями в нижней части живота и частым мочеиспусканием.
Если опухоль достигает больших размеров, развивается недержание. Женщины жалуются на метеоризм, слабость, трудности с зачатием и частые выкидыши.
Реже встречается гипоплазия матки, или детская матка. В таких случаях длина органа составляет от 3 до 5 см, часто имеются другие изменения в параметрах. Патология может носить врожденный характер или приобретенный. Спровоцировать остановку развития органа способны серьезные стрессы и частые нервные переживания. Женщина с таким диагнозом способна родить ребенка, но после лечения.
Шансы на успешное зачатие и вынашивание зависят от степени патологии:
- 1 стадия – подростковая. Размеры матки близки к норме и составляют 5,5 – 7 см. Легко поддается лечению, часто не требует корректировки.
- 2 стадия – детская. Длина матки – 3 – 5,5 см, шансы на вынашивание ребенка минимальные. Лечение гормональное, длительное.
- 3 стадия – зародышевая матка. Длина органа не превышает 3 см, а шейка матки часто слишком длинная. Выносить и зачать ребенка с такой степенью патологии невозможно.
Самая тяжелая форма заболевания носит названия агенизия. Встречается у 1 женщины на 4 – 10 тысяч. Проявляется полным отсутствием матки или ее минимальными размерами. Патология сопровождается недоразвитием наружных половых органов, что приводит к болезненности во время занятий сексом.
Заболевания выявляется из-за отсутствия месячных, а единственной возможностью завести ребенка с данной патологией является суррогатное материнство. Размеры матки значительно увеличиваются из-за образования кист и опухолей. Самой распространенной патологией считается миома матки, которая представляет собой доброкачественное новообразование.
Оно может достигать огромных размеров, снижая качество жизни женщины и вызывая нарушения в мочеиспускании и дефекации. Опухоли яичников также провоцируют изменения в размерах матки, заставляя ее подстраиваться под окружающие органы. Чтобы не пропустить развитие опасной патологии, следует знать, какими в норме должны быть размеры матки у женщин по УЗИ.
Если проходить своевременно обследование, проверять все параметры на соответствие нормам, можно продлить жизнь и повысить ее качество. При обнаружении патологии необходимо делать УЗИ раз в полгода, чтобы отслеживать динамику и не пропустить перерождения доброкачественной опухоли в злокачественную.
Видео о нормальных размерах матки
Вся правда о матке, заболевания и причины:
https://youtube.com/watch?v=szQsgWipEmk
Каждая женщина сталкивается с необходимостью ультразвуковой диагностики. УЗИ матки и придатков совершенно безболезненная процедура, после которой можно получить массу необходимой информации о состоянии женского здоровья.
Многие женщины задают вопрос: “Не вредно ли УЗИ матки при беременности, и как часто можно делать УЗИ, чтобы не принести вред здоровью?”
Процедура абсолютно неинвазивная, на состояние здоровья не влияет, во время беременности обычно делают стандартных 3 ультразвуковых исследования, если есть необходимость, то столько, сколько нужно.
Состояния, которые являются показаниями для выполнения ультразвукового обследования матки
Уже при бимануальном обследовании женщины на гинекологическом кресле гинеколог может предположить диагноз, но для уточнения гинекологического статуса и дальнейшей диагностики, женщину направляют на УЗИ матки с придатками.
Когда нужно пройти гинекологическое УЗИ:
Из перечисленных показаний мы видим, что УЗИ матки назначается не только при подтвержденных заболеваниях, но и с целью профилактики.
Какие бывают виды гинекологических УЗИ
В зависимости от поставленных целей, доктор порекомендует один из нижеперечисленных видов ультразвукового исследования матки:
При этом исследовании доступ во влагалище женщины вводится специальный датчик, на который надет одноразовый презерватив для эндоскопических манипуляций.
Трансвагинальное УЗИ матки — высокоинформативная процедура, так как визуализация, в этом случае, лучше.
Трансректальное УЗИ матки
Трансабдоминальное УЗИ матки
Используется в качестве скринингового обследования. Доступ осуществляется через переднюю брюшную стенку.
УЗИ матки с помощью зонда
Метод используется редко. Визуализация осуществляется с помощью введенного в полость матки специального зонда. Применяется, когда все прочие методы УЗ-диагностики были неинформативны в сложных случаях.
Во время проведения такого вида исследования возможны ятрогенные повреждения.
Соногистерография — относится к инвазивным методам диагностики, так как в полость матки вводятся специальные вещества: контраст или изотонический раствор. После заполнения во влагалище вводится датчик, и происходит диагностический осмотр, т.е. трансвагинальное исследование ультразвуком.
Разберем подробно, как приготовиться к УЗИ матки.
Подготовка к УЗИ матки
Разные методы ультразвуковой диагностики предполагают различную подготовку.
При трансвагинальном исследовании достаточно обычных гигиенических процедур, а для того чтобы исключить неприятные ощущения со стороны кишечника, лучше дня за три отказаться от употребления газообразующих продуктов: молока, квашеной капусты, черного хлеба, бобовых.
Мочевой пузырь перед трансвагинальным УЗИ заполнять не надо.
Абдоминальное УЗИ матки требует особой подготовки. Чтобы подготовиться к УЗИ матки, необходимо избавиться от любых проявлений метеоризма кишечника. Для этого вечером и утром, накануне процедуры, ставят очистительную клизму. За час до обследования, чтобы мочевой пузырь был полным, начинают пить воду.
Подготовка к трансректальному УЗИ и соногистерографии (СГГ) аналогична подготовке к трансабдоминальному исследованию ультразвуком, только без наполнения мочевого пузыря.
На какой день цикла делать УЗИ матки
Существуют определенные правила, чтобы получить достоверную картину о состоянии женского здоровья.
Ультразвуковое исследование следует выполнять на 3-5 день после окончания менструальных выделений. Это объясняется тем, что в начале цикла из-за особенностей эндометрия хорошо визуализируются все новообразования.
Хотя все исследования проводятся на усмотрение лечащего доктора. Есть состояния, при которых делают серию гинекологических УЗИ в динамике за 1 цикл на 7, 15, 23 сутки.
Расшифровка результатов УЗИ
Ультразвуковое обследование оценивает следующие параметры:
• Стенки органа в норме однородны, неоднородные очаги — не исключается онкологический процесс, полип, эндометриоз.
• Если наступила беременность, то усиливается прорастание сосудами эндометрия, массивное развитие, матка готовится кормить и вынашивать плод.
При УЗИ матки важно дать оценку позадиматочному пространству, а именно, количеству жидкости. Небольшое количество свободной жидкости допускается только после процесса овуляции, в середине цикла. В другое время это может быть из-за воспаления либо других патологических процессов.
Маточные трубы у здоровой женщины не визуализируются, исключение: острые воспалительные процессы и беременность.
При УЗИ во время беременности определяют сроки, расположение плодного яйца, патологические состояния (замершая беременность, пузырный занос, внематочная беременность). Есть определенные сроки, когда смотрят плод на наличие пороков развития.
Как выглядят различные патологии на УЗИ матки
Полип в матке – очаговая гиперплазия эндометрия в виде новообразования, как правило, доброкачественного генеза. На УЗИ полип матки выглядит как округлое образование с ровными контурами, без деформации формы матки. Может быть единичным, но встречаются и множественные образования. Полип растет в просвет органа. Особых клинических проявлений не имеет. При инфицировании появляется клиника воспаления.
Причины: изменения гормонального фона и фоновые воспалительные заболевания.
Локализация: цервикальный канал.
Опасность заключается в возможности малигнизации. Тактика лечения – хирургическое удаление. В большинстве случаев, является случайной находкой.
Для диагностики иногда используют допплер, чтобы установить кровоснабжение патологического очага. Лучше всего визуализируются после введения контрастного вещества с дальнейшим выполнением трансвагинального обследования.
Разрастания железистой ткани претерпевают изменения согласно менструальному циклу. Пораженный орган увеличен в объеме, появляются кровянистые выделения.
Клиника находится в прямой зависимости от локализации. Эндометриоз часто является причиной бесплодия, образования кист.
Лечение консервативное и хирургическое, в зависимости от локализации, возраста пациентки и агрессивности процесса.
Аденомиоз иногда называют внутренним эндометриозом. Патология характеризуется проникновением в мышечный слой эндометрия.
Клинические проявления: выраженный болевой синдром, усиление болей во время менструации, обильные менструальные выделения, боли во время полового акта.
Лечение – консервативное, гормонотерапия, в самых тяжелых случаях возможно проведение оперативного вмешательства.
Причины: нарушения гормонального фона и наследственная предрасположенность.
Заболевание более благоприятно в плане прогноза, чем эндометриоз. На УЗИ матка увеличена, патологические очаги в мышечном слое.
Рак матки на УЗИ выглядит как инфильтративное образование, размеры вариабельны, контуры размыты. Кровообращение усилено. В более поздних стадиях возможно прорастание опухоли за пределы органа. Дифференциальную диагностику проводят с миомой, полипом и гиперпластическими процессами эндометрия.
Эрозии шейки матки на УЗИ
Многих пациенток беспокоит вопрос, видно или нет при ультразвуковой диагностике эрозию шейки матки?
Эрозия является тканевым дефектом доброкачественного характера. Причин много: от гормональных нарушений, травм, большого количества сексуальных партнеров до воспалительных процессов. Эрозия шейки матки ставится при обычном осмотре на гинекологическом кресле, УЗИ эрозии неинформативно. А вообще, ультразвуковые исследования шейки матки проводятся для исключения или подтверждения таких патологий, как эндометриоз шейки матки и полип шейки матки.
Большинство кист матки не имеют клинических проявлений и являются случайной находкой на УЗИ, назначенному совсем по другому поводу. Лечение – оперативное при больших размерах кисты, так как есть вероятность перерождения. Во всех остальных случаях показано наблюдение в динамике и консервативная терапия.
Миома матки – это доброкачественная опухоль, которая развивается из мышечного слоя матки.
Миома матки выглядит на УЗИ как гипоэхогенное образование с ровным контуром, четкость контура вариабельна. В миоматозных узлах иногда обнаруживаются кисты или скопления солей.
Причина патологии: повышенное содержание эстрогенов (женских половых гормонов) в крови. Определенную роль в развитии миомы отводят травмам и механическим повреждениям матки во время манипуляций, оперативного лечения, абортов, установки ВМС и пр.
Чаще всего патологию диагностируют при гинекологическом осмотре на зеркалах, а подтверждают назначением УЗИ при миоме.
Дифференциальную диагностику проводят с раком матки, для этого выполняют тест на онкомаркеры, исследуют кровь на гормональный фон. При необходимости, назначается ряд инструментальных методов обследования: МРТ, гистероскопия, рентген и пр.
Лечение небольшой миомы, до 2 см, консервативное, если миома влияет на качество жизни, возможно оперативное лечение.




