Симптоматика и причины генитальных изменений
Нарушения, проявляющиеся на коже полового члена, легко распознаются даже без лабораторных анализов, так как они заметны невооруженным глазом.
Анализ внешних признаков помогает установить причины их возникновения, поэтому на приеме у врача после беседы с пациентом сразу же приступают к осмотру проблемной области.
Основные характеристики высыпаний:
- изменение цвета (красный, желтый или белый);
- четкие, иногда неровные границы поражения;
- выпуклость папул (не всегда);
- наличие внутреннего содержимого (иногда).
Когда на коже появляется прыщ, который не исчезает, мужчина начинает искать причины, приведшие к этому состоянию. Неправильное поведение также может стать причиной возникновения тревожных симптомов.
Факторы, способствующие появлению прыщей на половых органах:
- инфекционное, бактериальное или паразитарное заражение;
- активная сексуальная жизнь;
- закупорка сальных желез;
- недостаточная гигиена области промежности;
- переохлаждение;
- бритье полового члена (вместе с лобком);
- физическое истощение организма;
В условиях жаркого климата появление прыщей на мужском органе — довольно распространенное явление. Высокая температура создает идеальные условия для размножения патогенной микрофлоры под крайней плотью, поэтому многие восточные народы практикуют обрезание не только по религиозным, но и по медицинским причинам.
Вероятность появления высыпаний на половых органах увеличивается при ослаблении иммунной системы: во время ОРВИ, после стрессовых ситуаций и при чрезмерных физических нагрузках.
Прыщи на члене могут вызывать беспокойство у мужчин, и врачи подчеркивают, что важно не паниковать. В большинстве случаев такие высыпания являются нормальным явлением и могут быть связаны с различными факторами, включая аллергические реакции, раздражение от одежды или неправильной гигиены. Врачи отмечают, что некоторые прыщи могут быть симптомами инфекций, таких как герпес или папилломавирус, и требуют внимания специалиста. Регулярные осмотры и консультации с дерматологом помогут выявить причины высыпаний и назначить соответствующее лечение. Важно помнить, что самолечение может усугубить ситуацию, поэтому при появлении настораживающих симптомов лучше обратиться к врачу.

Причины воспаления: фактор локализации высыпаний
Некоторые инфекционные агенты поражают лишь определенные участки пениса.
Сыпь под головкой и на ней:
- Гонорея. Инфекция, передающаяся половым путем, возникает при непосредственном контакте возбудителя с кожей половых органов, поэтому симптомы могут проявиться сразу после полового акта или в течение нескольких дней. Похожие изменения наблюдаются и при сифилисе, хламидиозе, микоплазмозе. Проникновение бледной трепонемы (при сифилисе) не вызывает немедленной реакции организма: шанкр, напоминающий единичный прыщ, может возникнуть в любом месте пениса (чаще всего на его верхней части) и выглядит как растущая язва. При этом болезненные ощущения отсутствуют.
- Чесотка. Размножение чесоточногo клеща под головкой вызывает зуд и выраженное покраснение чувствительной области пениса. Воспаление также затрагивает крайнюю плоть.
- Молочница. Творожистые выделения, приводящие к эрозии кожи головки, вызывают образование генитальных пятен. Из-за близкого контакта покраснение может возникать и на крайней плоти, где края трескаются и иногда изъявляются.
- Псориаз пениса. Это дерматоз чаще всего наблюдается у людей, имеющих проявления кожной болезни на других участках тела. Прыщи покрыты чешуйками, их поверхность постоянно зудит и иногда болит. Поражение чаще всего возникает в верхней части полового члена, но может распространяться на его центр и основание.
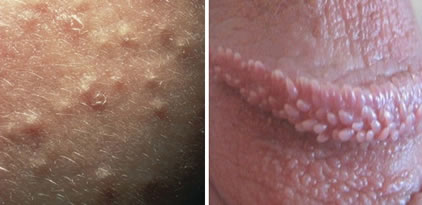
- Кондиломы. Вирус папилломы человека (ВПЧ) является причиной появления белых папул на уздечке и венце головки. Если они увеличились, то самостоятельно не исчезнут — потребуется хирургическое вмешательство. Изначально узелки небольшие, но со временем кондиломы могут значительно увеличиваться, создавая заметный эстетический дефект.
- Смегма. Неправильная гигиена приводит к накоплению естественной смазки, что вызывает точечное покраснение головки.
Возрастные прыщи могут появляться у подростков в период полового созревания. Высыпания, возникающие на лице и спине, могут также появляться на пенисе. После 23–25 лет гормональный фон мужчины стабилизируется, и дискомфортные изменения исчезают.
Прыщи на стволе члена:
- Герпес. Пузырьки с жидким содержимым появляются после заражения вирусом герпеса (через бытовой или половой контакт). Увеличиваясь, прыщики вскоре лопаются, и жидкость вытекает на кожу. Затем вместо пузырьков образуются язвы.
- Гранулы Фордайса. Врожденные плотные «пупырышки» становятся заметными при натяжении кожи. Эти подкожные «шарики» на стволе не вызывают дискомфорта, если нет повреждений гениталий: инфекция может привести к их увеличению.
- Контагиозный моллюск. Вирусная инфекция развивается после прикрепления к определенному участку на пенисе. Разрастания напоминают папулы с белым творожистым содержимым, которое выделяется при надавливании.
- Укусы лобковых вшей. Паразиты в основном размножаются на лобке, но могут также поражать основание члена, где появляются пятна. Места укусов редко встречаются на головке пениса, так как там нет волос.
- Аллергия. Синтетическое белье, гели для душа и презервативы (включая смазки), вызывающие индивидуальную непереносимость, могут привести к временной аллергической реакции на интимных участках. Если контакт с аллергеном был только со стволом члена и внешней поверхностью крайней плоти, то воспалительные очаги под головкой могут не проявляться.
Синдром вросшего волоса может возникнуть из-за использования бритвы для удаления волос в области паха. В местах, где изменилось направление роста волос (чаще всего на участках, где член переходит в лобок), образуются папулы.
Затрудненное открытие головки, диагностируемое врачами при фимозе, увеличивает вероятность появления прыщей.
Гнойнички на члене
Даже незначительная царапина, через которую проникает гноеродная бактерия, может стать причиной появления фурункула на половом члене и вызвать воспаление окружающих тканей.
Среди патогенных микроорганизмов врачи выделяют золотистый стафилококк, который часто встречается у пациентов с ангиной. Оральный секс с таким партнером может привести к попаданию бактерий, которые, как правило, прикрепляются к поврежденному волосяному фолликулу. На фотографиях легко заметить их отек, который приводит к образованию папул.
Сначала небольшой фурункул вскоре (обычно в течение 10 дней) превращается в значительное образование на коже, под которым скапливается белое вещество — гной.
Если физиологическая жидкость не выходит самостоятельно, вскрытие производится в кабинете врача с помощью хирургического вмешательства. Крупный фурункул на половом члене также может вызвать увеличение лимфатических узлов, что приводит к развитию лимфаденита у мужчин.
Наличие множества фурункулов в интимной зоне может указывать на серьезное заболевание — фурункулез. Это состояние может вызвать локальное воспаление других участков пениса и половых органов, таких как простатит, везикулит и баланопостит.
Прыщи на члене — тема, которая вызывает множество вопросов и опасений у мужчин. Многие сталкиваются с этой проблемой, и первое, что приходит на ум — это паника. Однако важно понимать, что такие высыпания могут иметь разные причины. Чаще всего они связаны с аллергическими реакциями, инфекциями или даже обычными закупорками пор.
Некоторые мужчины отмечают, что прыщи могут появляться после незащищенного секса или в результате неправильной гигиены. Важно не игнорировать такие симптомы и обратиться к врачу, чтобы исключить более серьезные заболевания, такие как инфекции, передающиеся половым путем.
Кроме того, многие обсуждают, как важно сохранять спокойствие и не стесняться говорить о своих проблемах. Открытое обсуждение может помочь развеять мифы и снизить уровень тревожности. В конечном итоге, забота о здоровье и своевременное обращение к специалисту — ключевые моменты в решении данной проблемы.

Лечение высыпаний на пенисе
Не зная, как справиться с различными видами сыпи, пациенты обращаются за помощью к урологам, андрологам или дерматовенерологам. После проведения лабораторных исследований, включая анализы крови, кала, мочи и соскоб с гениталий, врач определяет наиболее эффективные методы лечения кожных изменений.
Препараты для терапии гениталий:
- Антисептические растворы. Хлоргексидин и Мирамистин эффективно уничтожают патогенные микроорганизмы и способствуют быстрому заживлению поврежденных участков кожи. Салициловая мазь применяется для лечения подростковых прыщей в интимной зоне.
- Обезболивающие мази. Если прыщи вызывают физический дискомфорт, стоит использовать средства этой группы. Одним из самых популярных является Оффлокаин.
- Антигрибковые препараты. Для лечения кандидоза (молочницы) рекомендуется наносить Клотримазол или Нистатиновую мазь на пораженные участки.
- Антибиотические мази. Пимафуцин, Левомеколь, Экодакс и Тетрациклиновая мазь эффективно борются с вредными микроорганизмами, бактериями и грибками, что особенно актуально при кандидозе.
- Противовирусные препараты. Для лечения герпеса и контагиозного моллюска используется Зовиракс. Вирус папилломы человека (ВПЧ) подавляется с помощью Виферона, Панавира и Алдара.
- Противопаразитарные средства. Для уничтожения клещей применяются контактные препараты, такие как спрей Спрегаль, мазь Бензилбензоат или раствор Перметрин.
- Антигистаминные препараты. Для подавления аллергических реакций можно использовать Зодак, Супрастин или Зиртек.
Независимо от типа сыпи, пациентам рекомендуется воздерживаться от сексуальных контактов на время лечения, так как это способствует более быстрому выздоровлению. В противном случае возможно повторное инфицирование поврежденных участков и воспаление кожи из-за трения.
Малоинвазивные методы, такие как лазерное иссечение, применяются для удаления выростов — кондилом, бородавок, сильно вросших волос и папул, вызванных контагиозным моллюском.
Фурункулы быстрее проходят при использовании Синтомициновой мази, которая эффективно вытягивает гнойное содержимое.
Заключение
Появление пятен на головке полового члена является поводом для оптимистичного прогноза со стороны врача. В большинстве случаев для восстановления нормального состояния кожи, защищающей половые органы, требуется всего несколько недель, а иногда и всего несколько дней.
Наибольшую угрозу представляет гнойный процесс, который может затрагивать близлежащие ткани. После хирургического вмешательства на месте вскрытия образуется рубец, размер которого зависит от величины фурункула.

Вопрос-ответ
Что за болячки могут быть на половом органе мужчины?
Острая боль в органе указывает на серьезные проблемы, такие как: воспаление уретры, простатит, эпидидимит, орхит, камни в мочевыводящих путях, травмы, инфекции, передающиеся половым путем, защемление паховой грыжи.
Что за пупырышки на мужском половом органе?
Перламутровые папулы полового члена (лат. Hirsuties papillaris genitalis, англ. Pearly penile papules, PPP, жемчужные папулы, перламутровое кольцо полового члена) — небольшие конусообразные папулы цвета кожи, обычно расположенные на коронке головки полового члена. Безвредные анатомические изменения.
Что делать, если на мужском половом органе сыпь?
При появлении любых высыпаний в области гениталий необходимо обратиться к венерологу или урологу. Специалист проведет осмотр и подберет подходящую диагностику.
Почему там появляются прыщи?
Пустулы образуются, когда стенки волосяных фолликулов разрушаются из-за воспаления, вызванного присутствием бактерий, избытка жира (кожного сала) и омертвевших клеток кожи. Иммунный ответ на эти факторы приводит к образованию гноя, который состоит из омертвевших клеток кожи, бактерий и лейкоцитов.
Советы
СОВЕТ №1
Важно не паниковать при появлении прыщей на члене. Многие из них могут быть безвредными и связаны с обычными кожными реакциями. Однако, если вы заметили изменения, которые вас беспокоят, лучше обратиться к врачу для консультации.
СОВЕТ №2
Соблюдайте правила личной гигиены. Регулярное мытье половых органов с использованием мягкого мыла поможет предотвратить накопление бактерий и уменьшит риск появления прыщей.
СОВЕТ №3
Избегайте использования агрессивных косметических средств или лосьонов в области половых органов, так как они могут вызвать раздражение кожи и привести к появлению прыщей. Выбирайте гипоаллергенные продукты.
СОВЕТ №4
Следите за своим сексуальным здоровьем. Использование презервативов и регулярные проверки на инфекции помогут предотвратить появление прыщей, связанных с инфекциями, передающимися половым путем.


