Прикус – это характер взаимоотношения зубов верхнего и нижнего зубных рядов при их смыкании.
Прикус считается правильным (физиологическим), если он обеспечивает полноценное функционирование зубочелюстной системы.
Идеальным вариантом правильного прикуса является ортогнатический прикус.
«Ортогнатия», дословно, в переводе с древнегреческого, означает «правильная верхняя челюсть».
Ортогнатический прикус – важное условие красивой и здоровой улыбки
Ортогнатический прикус – правильное смыкание верхней и нижней челюстей, корректное расположение всех элементов зубочелюстной системы, формирующее красивую и здоровую улыбку. Отсутствие каких-либо ортодонтических дефектов позволяет обеспечить качественный уход за полостью рта и дает возможность тщательно пережевывать пищу. Таким образом, риск развития стоматологических заболеваний или нарушений в работе ЖКТ сведен к самому минимуму. К сожалению, далеко не у всех отмечается правильный прикус и постановка зубов. О том, что это такое и какой должна быть корректная окклюзия, читайте далее в статье.
Подводим итоги
Подводя итог, стоит сказать, что правильный с анатомической точки зрения прикус это всегда красивая улыбка, ровные зубы и нормальная, слаженная, бесперебойная работа всего организма.
Так нормогнатический, правильный с позиции анатомического строения, прикус беречь и формировать стоит, в прямом смысле слова, с самых малых лет.
В противном случае пациенту гарантированы регулярные посещения стоматолога – ортодонта, ношение брекет – систем или, что еще хуже вмешательство челюстного хирурга.
Ортогнатический прикус – что это такое
Речь идет об анатомически правильном смыкании челюстей – центральной окклюзии, которая, в свою очередь, характеризуется максимальным количеством контактирующих точек между элементами верхних и нижних рядов. Таким образом, зубочелюстной аппарат получает все возможности для корректного функционирования, формируются оптимальные условия для тщательного пережевывания пищи. Отсутствуют выраженные искривления, все зубы растут в правильном направлении.
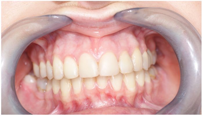
В сомкнутом состоянии верхние резцы слегка перекрывают нижние, тем самым обеспечивая максимальную площадь контакта элементов верхней и нижней челюсти. Физиологически правильный прикус у взрослого человека предполагает отсутствие больших межзубных промежутков, ровно как скученности, при которой возникают трудности с поддержанием гигиены и создаются благоприятные условия для размножения бактерий. Для лучшего понимания, что значит ортогнатический прикус, взгляните на фото ниже.
Коротко о других видах прикуса
В силу разных причин челюсти у людей могут смыкаться неправильно. При этом формируются следующие виды прикусов:
- Прямой. Расположение моляров соответствует первому классу Энгеля, резцы соединяются стык встык. Это приводит к постепенному стиранию их режущих краёв.
- Бипрогнатический. Образуется при сильном выдвижении резцов на обеих челюстях. При этом в боковых отделах наблюдается нормальное смыкание.
- Прогнатический. Для него характерен наклон резцов верхней челюсти и анатомического альвеолярного отростка вперёд в направлении верхней губы.
- Прогенический. В передней части зубного ряда образуется обратное перекрытие резцов, при котором нижние зубы перекрывают верхние, заставляя подбородок заметно выступать вперёд.
Большинство разновидностей прикуса требуют исправления. Делается это при помощи правильного подбора и установки брекет-системы. В результате её ношения:
- нагрузка равномерно распределяется на костную ткань;
- улучшается качество первоначальной переработки пищи;
- обеспечивается хорошая дикция и правильная артикуляция без дефектов речи;
- устраняются проблемы с дыханием;
- улучшается внешний вид, овал лица приобретает правильную форму;
- улыбка становится ровной.
После того как проблемы с прикусом будут устранены, риск быстрого стирания зубов, травмирования дёсен и слизистой оболочки сведётся к минимуму. Ухаживать за зубами и полостью рта также станет легче, эффективность гигиенических процедур повысится.
Важность отсутствия дефектов – почему правильный прикус так важен для здоровья
Итак, мы разобрались, что значит ортогнатический прикус. Теперь необходимо понять, насколько он важен для здоровья. Даже при незначительном отклонении от нормы возникают очень неприятные последствия для всего организма.
- неправильное, неравномерное распределение жевательной нагрузки – это приводит к повышенной стираемости эмали, изменению нормального тонуса жевательной мускулатуры,
- затрудненная гигиена – приводит к скоплению налета, образованию камня, развитию кариозных поражений,
- нарушение функциональных особенностей височно-нижнечелюстного суставов – приводит к повышенному истиранию диска суставов, болезненным ощущениям, ограничению открывания рта,
- нарушение кровоснабжения тканей пародонта – как следствие развивается пародонтоз, пародонтит, патологическая подвижность элементов,
- травмирование слизистых оболочек краями неправильно расположенных зубов – возникают воспалительные процессы в мягких тканях.

«У меня так тоже зубы начали стираться. Оказалось, что все из-за неправильного прикуса. Но это мне объяснили только на приеме у стоматолога. До визита к доктору покупала фторосодержащие пасты, молочные продукты ела как ненормальная, переживала, думала, что сбой какой-то в организме, а причина оказалась куда банальнее. Сейчас, кстати, в брекетах хожу, исправляю прикус. По словам доктора, после лечения зубки перестанут стираться и быстро восстановятся. Слышала, для этого тоже есть отдельные процедуры».
Признаки и симптомы
Безошибочно определить прикус может опытный ортодонт. Для самостоятельной оценки нужно знать признаки и симптомы неправильного прикуса. Поводом для обращения к стоматологу являются:
- чрезмерный налет на зубах.
- кровоточивость десен;
- кривые единицы во рту;
- дефекты речи;
- складка под нижней губой.
Необходимо убедиться, что жевать одинаково удобно на правую и левую стороны. Важно, чтобы горизонтальные и вертикальные движения челюстями не вызывали неприятных ощущений.
Ключевые характеристики правильной окклюзии
Такое название носит физиологически идеальный тип смыкания, т.е. это «правильная челюсть». Однако для того, чтобы отнести ортогнатический прикус к норме, важно отметить наличие прямых признаков, которые его характеризуют.
Существует три категории критериев, по которым определяют нормальное соотношение рядов.
Особенности челюстной дуги
К основным признакам корректного расположения и параметров челюстных дуг относят следующие моменты:
- правильная форма зубных дуг – они имеют примерно одинаковые размеры,
- во время смыкания челюстей зубы плотно соприкасаются со своими антагонистами, допускается лишь небольшая щель в размере нескольких миллиметров.
Сразу стоит отметить, что видимая часть всех зубов, за исключением клыкоы, уменьшается по высоте от центра к дистальным, то есть задним отделам.
Как должны располагаться клыки и резцы
Еще один важный параметр – расположение центральных резцов и клыков. Именно оно во многом характеризует центральную окклюзию ортогнатического прикуса:
- соблюдены срединные линии челюстей, они совпадают, то есть передние зубы находятся симметрично относительно друг друга,
- верхние коронки перекрывают нижние по принципу ножниц, на расстояние до 3 мм, то есть примерно на треть1.
Нужно понимать, что это лишь ориентировочные показатели. У каждого отдельного пациента это расстояние будет строго индивидуальное.
Какими должны быть жевательные зубы
Третье – это положение жевательных зубов. Ортогнатический прикус зубов здесь оценивается по признаку их смыкания. В норме также допускается небольшое расстояние – не больше пары миллиметров.
Важная информация! Для того, чтобы определить правильность положения зубов и челюстей, ребенка в 3-4 года нужно показать детскому ортодонту. К этому возрасту молочный прикус уже сформирован полностью, поэтому врач может оценить особенности, характеризующие процесс формирования зубочелюстной системы.
В рамках диагностического осмотра специалист обращает пристальное внимание на характер аномалии и все выше перечисленные моменты. Только после тщательного изучения клинической картины, в том числе результатов рентген-обследования, врач сможет поставить точный диагноз и назначить соответствующее лечение.
Общее представление
Термином «прикус» в стоматологии обозначается характер соотношения зубных рядов при сжатых челюстях. Если обеспечивается полноценная функциональность зубочелюстного аппарата, при этом, эстетические показатели формы лица в норме, то прикус считается правильным.
Максимально соответствует безупречному прикусу ортогнатический тип (иначе нормагнатическая). Переводя с греческого слово «ортогнатия», получаем – «правильная верхнечелюстная дуга».
Соответственно, ортогнатический прикус – структура черепа, при которой верхняя челюстная дуга с лицевой костью оказываются в одной вертикально лежащей плоскости.
Постановка зубных единиц и отношение челюстных дуг при ортогнатической окклюзии считаются стоматологами наиболее приближенными к идеальному виду – безупречная форма челюсти, абсолютно ровные элементы челюстной дуги, и плотное (т. е. без просвета) соединение резцов.
Среди населения данная разновидность прикуса наиболее распространена. Именно к нему ортодонты стараются приблизить соотношение челюстных дуг пациентов при ортодонтической коррекции.
Главные отличительные особенности ортогнатической окклюзии
А теперь попробуем структурировать все выше рассмотренные признаки и сформулируем их в перечень ключевых характеристик. Итак, главные отличительные особенности перечислены ниже:
- отсутствуют большие межзубные промежутки, ровно как и признаки скученности,
- передние верхние резцы закрывают нижние на 1/3 высоты, но не полностью,
- отмечается плотный контакт верхних и нижних передних резцов – без промежутков,
- практически каждый элемент, кроме нижних резцов и восьмерок, имеет антагониста – такой же зуб на противоположной челюсти,
- передние резцы располагаются в соответствии с лицевой осью черепа,
- нижняя зубная дуга должна быть чуть меньше верхней,
- незначительный наклон элементов внутрь ротовой полости,
- при сжатии челюстей образуется стык, напоминающий ножницы – важное условие для качественного пережевывания пищи.
Еще одним важным моментом является положение челюстей относительно друг друга именно в состоянии физиологического покоя – ряды слегка разомкнуты, и дистанция между ними не превышает 2-4 мм.
Почему важно идеальное расположение?
Несмотря на то, что при ортогнатическом прикусе отсутствуют видимые «уродства» лица, наличие данной аномалии не является признаком здоровья. В любом случае идеальный прикус является куда более выгодным во всех случаях.
С проблемами расположения зубного ряда многие люди начинают сталкиваться только после того, как у них начинает проявляться психологический дискомфорт от неровного расположения зубов.
Поэтому родителям стоит больше внимания обращать на строение зубочелюстной системы их крох еще с раннего детства, чтобы в дальнейшем у них не возникало излишних сложностей в жизни.
Правильный прикус является предпосылкой для:
- осуществления должного ухода за полостью рта;
- распределения положенной жевательной нагрузки на каждый зуб;
- создания привлекательной улыбки;
- отсутствия болезней желудочно-кишечного тракта;
- формирования красивой речи;
- успешности.
Указанные критерии подчеркивают необходимость наличия правильного прикуса у человека, так как это помогает избавить его от различных сложностей.
Исправить различные аномалии прикуса сегодня можно в специализированных клиниках, которые успешно функционируют по всей стране. Хотя лечебные процедуры в таких учреждениях далеко не самые дешевые, полученный результат стоит затраченных средств.
В большинстве случаев лечение анатомически неправильного прикуса основывается на обстоятельствах, приводящих к его искажению. Поэтому доктор такое большое внимание уделяет изучению факторов развития аномалии. Принимаемые восстановительные меры направлены на нормализацию работы челюстного аппарата и обеспечению здорового смыкания зубов. При этом изучение особенностей ортогнатического типа прикуса не является исключением.
Во многих случаях нарушение прикуса происходит в детском возрасте, причиной этому является:
- длительное сосание сосок;
- закусывания нижней и верхней губ;
- пристрастие к вредным привычкам.
Для сохранения функциональности и красоты здорового прикуса родителям рекомендуется больше внимания уделять поведению детей дошкольного возраста. Также рекомендуется в этот период пресекать злоупотребление вредными привычками и желание все тащить в рот.
Идеальное расположение зубов в зубных рядах может быть нарушено в связи с многочисленными хроническими ЛОР-болезнями. Такие патологии могут провоцировать неправильную постановку дыхания, в результате чего и развиваются аномалии зубочелюстного аппарата.
На основании этого можно смело утверждать, что для сохранения собственного здоровья во всех понятиях этого слова лучше всего вовремя лечить любые ЛОР-заболевания, а также пропагандировать их профилактику. Своевременное лечение сможет не только остановить распространение инфекции по организму, но не нанесет существенного вреда строению зубочелюстной системы.
Формированию неправильного прикуса способствует также ранее разрушение с сопутствующим выпадением зубов.
Утрата зубов из зубных рядов приводит к смещению их в ряду. По этой причине у таких людей появляется нарушение в межзубном пространстве, которое выливается в последующее неправильное смыкание зубов.
Чтобы не допустить такого развития событий рекомендуется своевременно обращаться в стоматологические кабинеты при зубных болях и внимательно следить за состоянием ротовой полости. При утрате зубов лучше всего заменить их на искусственные, так как это поможет уберечь организм от большого количества проблем с ними в будущем.
При любых аномалиях прикуса рекомендуется обращаться за их коррекцией в стоматологические организации, так как такое лечение помогает в дальнейшем исправить многие врожденный либо приобретенные «несовершенства» зубной системы.
В каких случаях может потребоваться лечение
В данном случае лечение не требуется, поскольку зубы и челюсти находятся в правильном положении. Бывают незначительные отклонения, которые не классифицируются как определенные виды аномалий. К примеру, изменение положения некоторых единиц – дистопия, которая характеризуется их наклоном или небольшим смещением. К другой категории отклонений относят большие или, напротив, маленькие размеры коронок.
В этом случае возможна коррекция ортодонтическими пластинами у детей, взрослым пациентам ортодонт может предложить установку брекетов или ношение капп. В возрасте 16 лет и старше, когда у человека уже полностью сформирован прикус, основным признаком которого является наличие всех постоянных зубов, для исправления серьезных аномалий может потребоваться хирургическое вмешательство.
Необходимость лечения
При ортогнатическом прикусе вмешательство ортодонта требуется в редких случаях. Коррекция необходима, если:
- положение ряда нарушено, и кривые единицы нарушают красоту улыбки;
- резцы слишком широкие и длинные по сравнению с другими зубами;
- существуют индивидуальные дефекты, ухудшающие внешний вид.
Изучением прикуса и лечением врожденных зубо-челюстных аномалий занимается ортодонтия. Если деформация появилась в результате болезней или травм, требуется консультация ортопеда.
Для выравнивания зубов и коррекции прикуса чаще всего используют пластины или брекеты. Иногда могут потребоваться дуги Энгля, направляющие коронки Катца или удаление отдельных единиц. Врач назначает лечение после осмотра в индивидуальном порядке.
На что стоит обратить внимание
Даже если у вас имеются все признаки правильной ортогнатической окклюзии, это вовсе не гарантирует ее сохранность в течение всей жизни. Эксперты в области ортодонтии выделяют перечень факторов, способных сильно повлиять на тип смыкания челюстей:
- вредные привычки – грызть ногти, кончик карандаша или ручки, закусывать губу, постоянно жевать жвачку и сплевывать слюну,
- ротовое дыхание, которое нередко становится следствием частых простудных и лор-заболеваний, в том числе в хронической форме,
- преждевременная потеря зубов у детей вследствие травм, обширного кариеса, пульпита,
- прогрессирующее заболевание тканей пародонта – еще одна распространенная причина патологической подвижности, а затем и выпадения зубов,
- неправильный рацион питания, преобладание мягких продуктов питания и жидкой пищи, дефицит поступления витаминов и питательных веществ в организм,
- низкое качество гигиены полости рта, что неизбежно приводит к развитию патологических процессов, разрушению и потере зубов, деформации челюстных дуг, их отклонению от оси.
Привычка грызть ногти может спровоцировать развитие патологических процессов Если вы хотите сохранить правильный прикус, не допускайте столкновения с выше описанными проблемами. Если же со временем окклюзия слегка деформируется, не откладывайте визит к врачу. Чем раньше вы приступите к коррекции, тем меньше времени и сил на нее потребуется.
Этапы формирования
Для того чтобы понять, какие бывают патологические прикусы, надо понимать, какие факторы провоцируют их появление. Формирование происходит с момента рождения и длится до подросткового возраста (примерно до 16 лет).
Начинается все с появления первых резцов. Прикус определяется после смены молочных зубов на коренные. На него влияют внешние факторы и наследственность. Самая частая причина — это долгое сосание сосок или предметов ее заменяющих. Ребенка лучше всего кормить грудью и отлучать после года.
Сон малыша должен быть спокойным, дыхание — осуществляться через носовую полость, рот — закрытым. Проблемы могут возникать из-за расщелин губы и неба (в обывательском смысле такой дефект называют «волчьей пастью»), аденоидов и так далее. Все это нужно сразу лечить и не допускать ухудшения ситуации. Иногда прорезывание коренных зубов запаздывает, и это вызывает смещение ряда. В итоге формируется неправильный прикус.
Ортодонтия — это раздел стоматологии, который занимается всесторонним изучением зубочелюстных аномалий. Именно этот врач способен определить тип прикуса и назначить средства коррекции.
Как сохранить правильный прикус – превентивные меры
Методы профилактики у взрослых могут быть следующими (особенно если у вас был правильный прикус):
- своевременное лечение зубов, что поможет избежать их удаления,
- оперативное восстановление зубов, если их пришлось удалить,
- лечение заболеваний эндокринной системы, гормональных нарушений, которые могут влиять на структуру пародонта и костной ткани, провоцировать подвижность, выпадение зубов, их смещение.
Своевременное лечение зубов, поможет сохранить правильный прикус Важно! Чем раньше вы восстановите зубной ряд, тем меньше вероятность изменения правильного соотношения зубных рядов. Необходимо посетить стоматолога-ортопеда для выбора метода восстановления утраченных зубов.
Методы профилактики аномалии прикуса у детей должны быть следующими:
- лечение болезней ЛОР-органов, которые затрудняют носовое дыхание и вынуждают дышать ртом – постоянно приоткрытый рот негативно влияет на развитие челюстно-лицевых костей,
- предупреждение вредных привычек – долгое сосание соски (дольше 2 лет) или пальца приводит к изменению положения зубов и размеров челюстей,
- при искусственном вскармливании необходимо выбирать соску для бутылочки с небольшим отверстием – чтобы ребенок прикладывал требуемые усилия в ходе сосания, и челюсть получала должную нагрузку,
- следует обратить внимание на положение головы во время еды и сна – необходимо регулярно менять его, не допускать лежания только на одной стороне,
- необходимо вводить прикорм согласно возрастным нормам, давать твердые продукты к 7-8 месяцам – с их помощью ребенок тренируется откусывать, жевать пищу, а также происходит естественный массаж десен,
- важно предупреждать дефицит витаминов и минералов, обеспечить сбалансированное питание, своевременно посещать педиатра,
- следить за осанкой ребенка – нарушение прикуса может быть следствием сколиоза, поскольку последний вызывает нарушения работы мышц и неправильное формирование зубочелюстной системы.
Своевременное отучение от соски — залог правильного прикуса Следует помнить, что идеально правильный прикус встречается крайне редко и незначительные отклонения, которые не наносят вреда, не требуют лечения. Однако нужно обязательно посоветоваться с врачом, поскольку визуально нарушения могут быть и не заметны, но в будущем они могут привести к головным болям, разрушению зубов или нарушению работы челюстного сустава.
Прогения и прогнатия, что это такое?
Прогения и прогнатия — это деформация челюсти, спровоцированная патологией костной системы. При прогнатии нижняя дуга недоразвита, поэтому верхняя значительно выступает над ней. При прогении, наоборот, челюсть нижнего зубного ряда имеет гипертрофированные размеры. Из-за этого подбородок и нижняя губа резко выступают вперед.
Оба заболевания вызывают асимметрию лица. Человек может испытывать трудности с проговариванием звуков, дыханием, пережевыванием пищи. Чтобы откорректировать дефекты, желательно отправляться за помощью, пока прикус не успел полностью сформироваться.
Аномалии не всегда вызваны анатомическим строением черепных костей. Нередко патологии прикуса появляются из-за вредных привычек и образа жизни. Справиться с проблемой можно, если вовремя обратиться к врачу. Опытный стоматолог остановит развитие болезней, исправит неправильное положение зубов и обеспечит красивую здоровую улыбку.
Аппарат для дистального прикуса
Чаще всего причиной дистального прикуса становятся нарушения размеров позиции челюстей. Поэтому проблема решается ортопедически, когда работают с челюстями, черепом или позвоночником, а не ортодонтически, когда с помощью брекет-систем «гоняют» зубы по челюсти, удаляют «ненужные» верхние зубы или сепарируют их.
Для решения проблемы размеров и позиции челюстей стоматологи могут использовать разные функциональные аппараты: Bionator, TwinBlock или ортотик суставной для стабилизации ВНЧС. Последний часто используется как аппарат № 1 во многих стоматологических клиниках.
Многим пациентам известен несъемный аппарат Гербста, но в нашей клинике не спешат его применять из-за низкой степени контроля за ситуацией. Съемные функциональные аппараты показали большую эффективность.
Патология прикуса: последствия
Последствия различных патологий прикуса для зубочелюстной системы и для всего организма весьма тяжелые. В зубочелюстной системе увеличивается нагрузка на нижнечелюстной сустав, перегружаются жевательные мышцы, происходит генерализованная стираемость зубов со снижением высоты прикуса, увеличивается частота воспалительных заболеваний слизистой оболочки рта, при глубоком прикусе часто травмируется десна в области верхних резцов.
Для организма ущерб от патологического прикуса заключается в нарушении глотания, жевания, откусывания пищи. Подвержены более частым заболеваниям носоглотка и дыхательные пути, ухудшается дыхание.
Помимо всего, кривые зубы уродуют улыбку и снижают привлекательность. Это приводит к психологическим комплексам и мешает общению с окружающими.
Способы исправления дистального прикуса
Главная проблема в лечении дистального прикуса — прицельное выявление причины патологии и только потом составление адекватного плана лечения. Например, патология челюсти не может быть исправлена брекетами. По крайней мере, начинать нужно точно не с них.
Лечение дистального прикуса у детей
Чем раньше начинается лечение, тем большего эффекта можно добиться. Челюстной аппарат у детей до 12 лет еще не сформирован, поэтому хорошо поддается коррекции аппаратами и методиками с мягким воздействием:
- Миогимнастика. Исправление слабо выраженного дистального прикуса у детей до 6 лет. Лечебный эффект достигается тогда, когда мышечная нагрузка организована в виде физических упражнений и применяется целенаправленно для каждой группы мышц соответственно терапевтическим задачам. Длительность лечения напрямую зависит от особенностей ребенка, степени и формы патологического прикуса.
- Трейнеры. Это двухчелюстные каппы, которые используют только во время сна. Чтобы эффект был максимальным, их надевают на час-два днем. Трейнеры действуют на зубные ряды и мышцы, регулируя тонус в проблемных участках. Время лечения — 4 месяца при несложных патологиях. В более серьезных случаях терапия может длиться до 12 месяцев.
- Ортодонтическая пластинка. Сама пластинка изготавливается из пластика, а дуги — из металла. Корректирующий эффект достигается силовым воздействием дуги на зубной ряд. Период лечения — от полугода до 1,5 лет.
- Брекет-системы. Используются в лечение дистального прикуса у детей от 12 лет. Несъемные конструкции состоят из двух частей: брекеты и дуги. Брекеты приклеиваются на каждый зуб отдельно, в замочки вставляется корректирующая дуга, которая оказывает давление на проблемные участки зубного ряда. Период коррекции длится до 2 лет.
Исправление дистального прикуса у взрослых
Патологии прикуса у взрослых тяжелее поддаются исправлению, поэтому стоматологи используют более сложные методики:
- Аппарат для лечения дистальной окклюзии. Исправление включает в себя коррекцию ортотиком, пластинкой с заслонкой, брекет-системой. Если у детей срок лечения занимает до 2 лет, то у взрослых на исправление прикуса уходит от полутора до трех и более лет.
- Операция при дистальном прикусе. Это может быть удаление нескольких зубов, мешающих расширению зубной дуги или рассечение костной ткани челюсти. В последнем случае лечение зависит от степени тяжести патологии.
- Комбинированный способ. Стоматолог использует оба метода лечения — аппаратный и хирургический. Это самый быстрый метод, который дает гарантированные результаты, но вместе с тем считается самым агрессивным видом исправления прикуса.
Хорошо, когда челюсти смыкаются правильно
Многие пациенты приходят к врачу ортодонту или же стоматологу уже тогда, когда болезнь уже запущенна, проявляя себя негативной симптоматикой – кровоточат десна или же шатается зуб. В отношении же ортодонтических проблем – заметить и выявить на ранних стадиях их не так-то и просто, поскольку аномалия проявляет себя на последних стадиях своего развития.
Чаще всего пациент посещает кабинет стоматолога в силу психологического дискомфорта обусловленного неровным расположением зубов или же некрасивым профилем в силу неровной челюсти. Только анатомически правильное строение и смыкание зубов позволит формировать красивую улыбку, необходим правильные прикус и для нормальной работы всего организма, в первую очередь ЖКТ.
Помимо этого, анатомически правильное строение челюсти и зубного ряда обеспечивает равномерное распределение всей нагрузки на зубы, всю челюсть и мышцы в процессе жевания. Это обеспечивает как целостность зубов и челюсти, так и способствует нормальной работе всей пищеварительной системы, а также нормальной дикции и четкой речи. Все это и говорит в пользу того, почему хорошо иметь правильное смыкание челюстей.
Что еще важно знать об ортодонтическом лечении
- Иногда для удачного исправления прикуса при ортодонтическом лечении необходимо удаление отдельных зубов. Часто именно они смещают остальные зубы и препятствуют формированию здорового прикуса. Эта операция может напугать вас, однако ортодонты не предлагают лишние услуги, если без них действительно можно обойтись.
- Прежде, чем согласиться на лечение, убедитесь в квалификации выбранного Вами ортодонта. Постарайтесь почитать отзывы об этой клинике в интернете, поспрашивайте на форумах. Не всегда высокая стоимость ортодонтического лечения говорит о профессионализме ортодонта. Ориентироваться на цены в этом деле не стоит. Исправление прикуса длится несколько лет — а это немалая потеря времени, если внезапно врач окажется неопытным специалистом.
- Многие ортодонты навязывают лечение брекетами, даже если пациент выбирает элайнеры. Причина проста — брекеты по ходу лечения надо постоянно поправлять, что неизменно ведет к дополнительным оплатам работы врача. С элайнерами работа ортодонта сводится практически «на нет», поэтому и заработать на ежемесячных процедурах и на вас ортодонт не сможет.
- Хотя пройти ортодонтическое лечение на элайнерах можно более чем в 70 городах России, естественно, лечение элайнерами практикуют далеко не во всех клиниках. Это тоже является одной из причин, почему ортодонты навязывают брекеты. Вы можете ознакомиться со списком клиник, работающих с элайнерами и записаться на прием в Вашем городе на странице Где лечиться.
- И, наконец, вы должны понимать, насколько вам необходимо ортодонтическое лечение, и в чем состоит его суть.
К детскому ортодонту нужно вести ребенка только когда у него уже все зубы будут постоянными
Комментирует врач-ортодонт, кандидат медицинских наук Татьяна Геворкян:
К сожалению такое отношение к ортодонтическому лечению в детском возрасте у родителей — миф, очень распространенный и, увы, пагубный. Очень часто способствуют этому мифу о детских ортодонтах сами же стоматологи. Не очень хочется комментировать степень погруженности в вопросы детской ортодонтии данных специалистов и их компетенцию, но дискуссии о целесообразности и необходимости так называемого раннего ортодонтического лечения (то есть в детском возрасте) не утихают и поныне. И опять же, действительно иногда бывает такая ситуация: ребенок начал проходить ортодонтическое лечение еще в дошкольном или раннем школьном возрасте, и малыш, и родители старались, носили – следили за ношением ортодонтического аппарата, а когда прикус поменялся — детский ортодонт все равно установил брекет-систему…
Сразу же возникает вопрос, перемешанный с родительским негодованием: зачем детскому ортодонту надо было столько времени «мучать» ребенка, когда все равно ему поставили брекеты?!! Вот отсюда-то и появляется этот миф: как ни крути, а брекеты – это, типа, самая «крутая» штука у детских и взрослых ортодонтов, которая решает все проблемы «на раз». А вот и нет! Не решает брекет-система всех проблем ортодонтического лечения у ребенка.
Ортодонтическое лечение в детском возрасте — самое быстрое и эффективное!
Растущие пациенты — дети и подростки – это самая «благодарная» среда для работы детского ортодонта. Почему? Все очень просто и лежит на поверхности: у детей и подростков наиболее активно идут процессы роста, обновления, обменные процессы. Поэтому одно и то же ортодонтическое усилие, приложенное к растущему и не растущему пациенту, может дать абсолютно разные результаты, с преимуществом, естественно, у растущих пациентов.
В очень большом проценте случаев, при своевременном начале ортодонтического лечения у детей можно избежать потребности установки брекет-системы. Здесь, конечно, крайне важна хорошая, если не отличная, кооперация (то есть помощь детскому ортодонту) со стороны самого пациента и, конечно же, родителей пациента, ведь у детишек и подростков очень часто еще не хватает мотивации для выполнения рекомендаций ортодонта. Однако ж, ортодонтия – это не магия… Бывает и так, что аномалия настолько серьезная, что потенциала более простых аппаратов оказывается недостаточно. В таких случаях мы, ортодонты, вынуждены фиксировать брекеты, чтобы довести лечение до конца. Но! Детский ортодонт всегда должен предупреждать родителей, что при наличии добросовестного раннего ортодонтического лечения мы в любом случае уходим от более сложной и выраженной патологии, тем самым в будущем сокращая сроки ношения брекетов (или элайнеров — в подростковом возрасте). Это тоже крайне важно.
В этом видео известный ортодонт Алексей Трезубов рекомендует молодым парням и девчонкам исправлять зубы на элайнерах. Они — невидимы, легкие и удобные в ношении. Гораздо лучше брекетов, которые видны на зубах, которые замучаешься чистить постоянно, так как в них все застревает и поесть нормально невозможно! И вообще элайнеры — это уже устойчивый молодежный тренд.
Таким образом, подводим промежуточный итог по ортодонтическому лечению в детском возрасте: действительно, брекеты могут откорректировать очень многое при ортодонтическом лечении, но ношение брекетов – это достаточно серьезное испытание для организма, и если есть варианты избежать ношения брекетов или сократить срок их использования, то лучше это сделать. И раннее ортодонтическое лечение у детей – это тот самый вариант, когда можно предупредить более серьезную аномалию, а значит и уменьшить вероятность необходимости установки детским ортодонтом брекетов или снизить вероятность сроков их ношения. Поэтому не тяните: лучше сходить с ребенком, начиная с возраста 3-4 лет, на консультацию к детскому ортодонту и получить всю информацию, чем потом судорожно искать наиболее «лайтовые», то есть легкие варианты решения проблем там, где уже потребуется более серьезное ортодонтическое лечение каппами.
Причины появления неправильного прикуса у детей и взрослых
Аномалии у взрослых идут прямиком из детского возраста. Это лишний раз подтверждает необходимость пристального контроля родителей за зубками детей. У детей неправильный прикус формируется из-за наследственности, привычки сосать палец или пустышку, патологиями у матери при беременности, сахарного диабета или малом употреблении твёрдых продуктов. У взрослых людей помимо причин из детства аномалия может быть причиной травм челюсти, нехватка кальция и фтора, неудачное протезирование зубов, нарушение питания и процесса метаболизма.
Операция при дистальном прикусе
Оперативное вмешательство проводится по сугубо конкретному, определенному и почти единичному показанию — при нижней микрогнатии. Микрогнатия — это сильно уменьшенная нижняя челюсть. Особенно, если речь идет о микрогнатии подбородочной части: эта зона не поддается ортодонтическому воздействию или методам челюстно-лицевой ортопедии. А с операциями на верхней челюсти нужно быть крайне аккуратными.




