Рак десны – это редкое стоматологическое опухолевидное заболевание, которое поражает мягкие ткани десны и относится к злокачественным новообразованиям ротовой полости. Опухоль образуется в слизистой оболочке, покрывающей альвеолярные отростки верхней и альвеолярную часть нижней челюсти в области зубных ячеек. Примерно 8-9 % от всех онкологических болезней полости рта составляет плоскоклеточный рак десны. В отличие от большинства онкозаболеваний, случаев смертельного исхода от рака десны зафиксировано намного меньше.
Определение и статистика
Раком десны называется злокачественный процесс, поражающий мягкие ткани ротовой полости. В большинстве случаев опухоль располагается в альвеолярной области нижней челюсти. С момента возникновения она стремительно разрушает орган и берет направление в соседние ткани — небо, язык, толщу щек и костные структуры, нанося непоправимый вред всей ротовой полости.
Патогенез возникновения злокачественного процесса в десне до сих пор находится на стадии изучения. Общие данные сводятся к тому, что под влиянием неблагоприятных условий в ослабленном организме происходит морфологический сбой в размножении клеток. Подвергшись мутации, они начинают быстро и бесконтрольно делиться и буквально разъедать сосуды, мягкие и хрящевые ткани, костные структуры и нервные окончания. Рак десны изначально имеет слабовыраженную клиническую картину, вследствие чего обнаруживается злокачественный процесс очень поздно. По статистике, заболевание встречается преимущественно среди мужчин старше 50 лет. Представители сильного пола страдают данной онкопатологией на 30% чаще женщин. Код по МКБ-10: C03 Злокачественное новообразование десны.
Провоцирующие факторы
Как и другое онкологическое заболевание, рак дёсен появляется по неустановленным причинам. Исследователи выделяют несколько факторов, способных спровоцировать развитие опухолевого процесса:
- несоблюдение правил гигиены;
- недостаточная обработка рта;
- вредные привычки (алкоголь, курение);
- неправильное питание;
- механическое повреждение слизистой оболочки (удаление зуба, протезирование);
- герпес или папилломы во рту.
Исследователи установили взаимосвязь между раком и другими воспалительными процессами в ротовой полости. К возможным причинам возникновения злокачественного образования относят онкологические болезни, поражающие внутренние органы.
Под воздействием провоцирующих факторов происходит перерождение клеток. Чаще злокачественная опухоль локализуется возле нижней челюсти около альвеолярного отростка (в области щеки). Бесконтрольное деление раковых клеток приводит к поражению всей ротовой полости.
Основная опасность опухоли этого типа заключается в том, что на ранней стадии развития новообразование выглядит как флюс, в связи с чем стоматолог проводит неадекватное лечение. В результате опухолевый процесс начинает переходить на соседние ткани. Также из-за неправильной терапии отмечается появление метастазов в региональных лимфатических узлах.
Причины
Как и о всех видах онкологических заболеваний, о раке десны специалисты могут сказать еще очень мало. Недуг действительно недостаточно изучен, поэтому среди врачей отсутствует четкая картина описания его происхождения. Но многолетние исследования в отдельную группу выделили несколько факторов, которые оказывают определенное влияние на развитие данного злокачественного процесса. К ним относятся:
- вредные привычки: курение, алкоголизм и наркомания;
- нелеченные зубы, которые являются истинными входными воротами в организм для любой инфекции или воспаления;
- постоянные диеты с низким содержанием белка и витаминов либо скудный рацион питания;
- увлечение биологически активными добавками (БАДами) с малоизученными компонентами;
- хроническое травмирование десны неподходящими брекетами, поврежденными сколами зубов;
- инфекции — ВИЧ, герпес, папилломавирус.
Последний фактор заслуживает пристального внимания. Вирус папилломы человека бывает разных подвидов, и часть их оказывает непосредственное влияние на процесс злокачественного перерождения клеток. Поэтому для женщин он опасен развитием рака шейки матки.
Также отмечено, что онкозаболевания полости рта часто выявляются среди лиц, которые недостаточно соблюдают гигиену зубов и имеют неблагоприятную наследственность по опухолевым процессам.
Кто входит в группу риска?
Онкология десны довольно часто развивается из-за пренебрежительного отношения человека к собственному здоровью. Основными факторами, провоцирующими формирование злокачественного процесса, нередко становятся вредные привычки и отсутствие должной гигиены в полости рта. Таким образом, в группу риска по заболеванию входят следующие лица:
- с табачной и алкогольной зависимостью;
- с запущенными проблемами по стоматологии;
- с вирусными инфекциями (герпес, папилломавирус);
- с травмами в полости рта (пирсинг, проколы языка).
Причины, почему появляется рак десны
- наследственность – один из самых основных факторов риска,
- курение, алкоголь: в табаке и этиловом спирте содержатся канцерогены, которые благоприятно влияют на рост раковых клеток,
- пренебрежение гигиеной: при некачественной и редкой чистке зубов в ротовой полости скапливаются различные бактерии, которые создают идеальную среду для образования и распространения патологических клеток,
- неправильное питание: недостаток витаминов, злоупотребление фаст-фудом и жесткой пищей провоцируют воспалительные процессы, которые впоследствии приводят к раку,
- пирсинг: ранки, полученные в результате прокола языка или губы, являются отличным местом для размножения бактерий,
- некачественные протезы, которые вызывают постоянное воспаление слизистых,
- общие инфекции организма или полости рта: герпес, вирус папилломы.
Симптомы (первые признаки и последующие, фото)
На ранних стадиях рака десны клинические проявления имеют общий характер. К сожалению, этот единственный аспект, позволяющий обратить внимание на развитие недуга в тканях ротовой полости, многими лицами так и остается без должного внимания. Большинство людей заглушают первые симптомы рака десны самолечением.
Итак, что же может говорить о патологии на начальной стадии?
- Повышение температуры. Этот признак обычно появляется самым первым. Гипертермия составляет 37,5-38 градусов, но ее редко связывают с онкологическим процессом в организме.
- Потеря веса. Тревожным сигналом становится похудение за короткий промежуток времени на 10 и более % от общей массы тела без объясняющих на это причин.
- Слабость, апатия. Усталость развивается даже при незначительных физических нагрузках. Отсутствие интереса к окружающей действительности и постоянная сонливость также свидетельствуют о неблагополучии в организме.
- Увеличение лимфатических узлов. Один из точных симптомов общего типа, указывающий на развитие серьезных патологических процессов.
К местным клиническим проявлениям относятся специфические признаки, напрямую свидетельствующие о злокачественном недуге в организме. Перечислим их:
- Кровоточивость десен. Возникает даже при незначительном прикосновении и с трудом останавливается. Чуть позже именно в зоне повышенной кровоточивости появляется опухоль, которая начинает кровоточить практически постоянно, нередко с появлением анемии.
- Отек. Развивается на ранних стадиях заболевания. Локализуется в зоне поражения. При запущенной форме рака распространяется на соседние ткани, вызывая дискомфорт в смежных областях ротовой полости. Для многих пациентов отек десны проявляется интенсивными болевыми ощущениями, что в свою очередь приводит к сложностям в приеме пищи, нарушению мимики, речи и т. д.
- Изменения цвета десны. Пигментация пораженных участков мягких тканей возникает вследствие нарушения их структуры. В результате клетки насыщаются пигментом. Злокачественный процесс в этом случае несложно распознать по багровым областям челюсти, эрозиям и белым фрагментам очагового типа.
- Боль в десне. Возникает из-за избыточного давления опухоли на мягкие ткани. Ощущения крайне импульсивные и точечные, слабо устраняемые анальгетическими препаратами. Боль усиливается при лежании на половине тела, противоположной пораженной десне. Со временем неприятные ощущения распространяются на всю челюсть, мешая нормальной речи и питанию.
- Боли при жевании. Возникают от любого контакта с фрагментами пищи. Ощущения носят выраженный резкий характер. В итоге многие пациенты вынуждены отказаться от приема привычной пищи, вначале отдав предпочтение мягким и полужидким блюдам, а затем, с прогрессированием злокачественного процесса, и вовсе перестают есть. С этого момента любое движение челюстями приносит им сильные боли.
- Изъязвление. Патологический процесс локализуется в зоне поражения, бывает единичным или множественным. Имеет четкие границы и правильные очертания. Появление язв связано с морфологической мутацией опухоли. Провоцируют кровотечения.
- Дискомфорт при зевании. Неприятные ощущения могут оказаться острыми, если человек резко размыкает десны. Боль обычно отдает в виски и ушные раковины. Симптомы развиваются не ранее 2-й стадии онкопроцесса с началом необратимых изменений в тканях челюсти. Ситуация вызывает частичную атрофию лицевых мышц и нарушение двигательной активности десен.
- Лицевые боли. Этот симптом выражен интенсивнее других. Неприятные ощущения достигают такого максимума, что любая попытка движения челюстями приносит нестерпимые боли. Симптоматика спровоцирована патологическим давлением опухоли на нервные окончания лицевого аппарата. Пациент отказывается от приема пищи и общения. Нарушается его сон, страдает иммунитет, ухудшается здоровье, в том числе и психическое. Человек становится агрессивным и раздражительным.
- Сухость во рту. Чем выраженнее онкопроцесс, тем хуже состояние ротовой полости. На одном из этапов болезни пациент начинает жаловаться на хроническую сухость во рту, что связано с угнетением или полным прекращением выработки секрета слюнными железами. В основном этот симптом возникает у лиц, прошедших химиотерапию. Ситуация осложняется механическими травмами слизистой полости рта и постоянным ощущением жажды.
- Воспалительный процесс в ротоглотке. Возникает со второй стадии заболевания. В этот момент атипичные клетки выходят за пределы пораженной десны и устремляются в соседние ткани, в том числе и в области гортани, с чем связано развитие местных воспалительных явлений, приобретающих постоянный характер и не купируемых медикаментозной терапией — сульфаниламидами и антибиотиками. Боль в горле при этом сложно назвать острой, обычно она надсадная, давящая, но справиться с ней невозможно. Спустя несколько недель к дискомфорту в ротоглотке присоединяются сухой кашель и неприятные ощущения в грудной клетке. Его появление затрудняет диагностику, так как болезнь можно перепутать с симптомами простуды. В осложненных случаях начинаются серьезные сбои в работе дыхательной системы вплоть до аcтматического синдрома.
- Неприятный запах изо рта. Его появление отнюдь не всегда означает злокачественный процесс в десне, но при данном заболевании этот симптом имеет свои специфические особенности. Запах обладает ярко выраженным признаком гниения, что связано с распадом опухоли. Избавиться от этого «аромата» никак нельзя. Кроме того, он усиливается на время кровотечения из десен. Для больного этот симптом также становится серьезной психологической травмой, мешающей его общению с окружающими.
Симптомы заболевания
Признаки болезни зависят от стадии онкологического процесса. Развитие клинической картины происходит постепенно. На начальных этапах опухоль маскируется под другие заболевания, что затрудняет раннюю диагностику. Только на поздних стадиях болезни, когда шансы на излечение крайне невелики, появляются специфические симптомы рака. Все клинические проявления рака десны можно разделить на две группы.
Местные
- Повышенная контактная кровоточивость. При любом прикосновении слизистая травмируется и кровоточит. Иногда кровотечение трудно остановить и оно приобретает внушительные объёмы. Это связанно с изменением структуры ткани опухоли и хроническим воспалением в ротовой полости. Позднее кровотечение приобретает постоянный характер. Эту стадию принимают за хронический гингивит (воспаление дёсен). Назначают антибиотики и противовоспалительные препараты, но без эффекта.
- Отёк. На первых стадиях болезни отёк локализуется только в области опухоли, на ощупь – мягкий. Позднее он распространяется на прилежащие ткани. Возникает чувство дискомфорта, связанное с увеличением участка десны. Иногда отёк сопровождается болевыми ощущениями, связанными со сдавлением нервных окончаний.
- Специфическая окраска. Опухолевые клетки расположены хаотично. Они имеют особое свойство накапливать пигмент. В результате на десне возникает окрашенный участок. Он может быть белёсым, багровым или ярко-красным. Это важный диагностический признак ракового процесса.
- Местная боль. Этот симптом на разных стадиях заболевания проявляется по-разному. Сначала боль обусловлена сдавлением опухолью подлежащих тканей. Она носит ограниченный пульсирующий характер. Позднее в процесс вовлекается костная ткань, и боль становится нестерпимой и более разлитой.
- Нарушение процесса жевания. На ранних этапах онкологического процесса пережевывание пищи вызывает боль в поражённой десне. Больной переходит на полужидкую и протертую пищу. По мере прогрессирования процесса любые движения челюсти вызывают резкую болезненность. Больной перестаёт питаться и разговаривать.
- Уплотнение. При формировании опухолевого процесса сначала образуется уплотнение. Оно может быть малоболезненным или совсем безболезненным. На этом этапе рак десны выглядит как гингивит или стоматит.
- Изъязвление. Позднее уплотнение изъязвляется. Сначала язвочка небольшая, обнаруживает чёткие контуры, правильную форму, кровоточит. Постепенно язва разрастается, захватывая новые ткани.
- Нарушение процесса зевания. Зевота сопровождается болью в ушной раковине и виске на стороне поражения. Это связано с особенностями иннервации лица. Ротовая полость и лицо иннервируются разными веточками тройничного нерва. При раздражении одной из веток тройничного нерва возбуждение распространяется на другие, вызывая боль в зоне иннервации. На поздних стадиях процесса боль беспокоит больного постоянно. Сон нарушается, речь затруднена, обезболивающие препараты не помогают.
- Сухость. При вовлечении в онкологический процесс большой площади слизистой оболочки ротовой полости поражаются слюнные железы. Выработка слюны нарушается. Больной жалуется на постоянную выраженную сухость. Ситуация ухудшается после химиотерапии, которая ещё больше повреждает слюнные железы.
- Запах гнилого мяса. Сначала он обусловлен изъязвлением слизистой оболочки опухолью. Больной уже не производит туалет полости рта из-за болевых ощущений. Ротовая полость активно заселяется гнилостной флорой, которая вызывает разложение тканей язвы. На поздних стадиях неприятный запах связан с распадом самой опухоли и гниением разрушенных тканей.
- Лимфаденит. При вовлечении в онкологический процесс заушных и подчелюстных лимфатических узлов они также меняются. Происходит их значительное увеличение, слияние между собой в единые конгломераты. Они становятся неподвижными, болезненными. Такие отёчные лимфоузлы видны невооруженным глазом.
- Воспаление в ротоглотке. При распространении опухолевого заболевания поражаются соседние ткани, в том числе ротоглотка. Воспалительный процесс носит постоянный прогрессирующий характер. Появляются боль в горле и кашель. Боль схожа в начале поражения с першением, дискомфортом. Кашель – сухой, навязчивый. Это напоминает картину фарингита и уводит процесс диагностики в ложном направлении. Больному назначают антибиотики, местные антисептики, отхаркивающие препараты. Но состояние, несмотря на интенсивное лечение, ухудшается.
Общие
Симптомы этой группы возникают на поздних стадиях процесса, когда патология охватывает обширные участки ротовой полости и метастазирует в лимфоузлы и другие органы.
- Лихорадка. Повышение температуры тела до 37-38 градусов Цельсия носит сначала временный характер и напоминает симптом обычного ОРВИ. При прогрессировании процесса подъем температуры становится постоянным. Приём жаропонижающих препаратов не приносит облегчения.
- Потеря веса. Беспричинное снижение массы тела за короткое время – неблагоприятный признак. Такие системные изменения возникают на поздних стадиях опухолевого процесса.
- Астенический синдром. Его проявления: слабость, апатия, раздражительность, сонливость, утомляемость, плохое настроение. Развитие этих симптомов связано с истощением организма в целом и нервной системы в частности. Это происходит под воздействием токсинов распадающейся опухоли на последних стадиях.
Ранние стадии онкологического процесса имеют только местные симптомы, схожие с другими заболеваниями. Диагностика рака на этом этапе затруднена.
Общие ярко выраженные симптомы появляются в запущенных случаях, когда лечение малоэффективно и прогноз неблагоприятный. В этом заключается основная опасность злокачественного процесса.
Стадии
Существует несколько этапов развития рака десны. Рассмотрим их в следующей таблице.
| Стадии | Описание |
| I | Опухоль до 2 см в размерах. Метастазы в регионарные лимфоузлы и отдаленные органы отсутствуют. При адекватной помощи прогноз на 5-летнюю выживаемость благоприятный — более 95%. |
| II | Новообразование от 2 до 4 см в объеме. Какие-либо метастазы отсутствуют. Чаще всего пациенты обращаются к врачу на этой стадии злокачественного процесса. Прогноз на 5-летнюю выживаемость — более 80%. |
| III | Опухоль от 4 см. Метастатические изменения могут отсутствовать, реже определяться в регионарных лимфоузлах. Прогноз на излечение сомнительный для большинства пациентов. |
| IVA | Опухоль имеет любые размеры. Метастазы определяются только в лимфоузлах. Прогноз неудовлетворительный. |
| IVB | Новообразование более 4 см. Отдаленных метастатических изменений нет, но лимфоузлы поражены в значительной мере. Шансы на излечение практически сведены к нулю. |
| IVC | Опухоль разрастается в соседние ткани. Метастазы выявляются по всему организму. Полное выздоровление невозможно. |
Стадии развития опухоли
Выделяют 4 стадии развивающегося рака на десне.
- Возникновение небольших кровоточивых эрозий на уплотненной слизистой десны. Видна ее белесоватая пигментация. Возможны болевые ощущения.
- Образование увеличивается до 1,5-2-х см в диаметре и становится багрово-красным. На этой стадии рак может прорасти в челюстную кость, но метастазов еще нет. Это затрудняет определение того факта, что развивается онкология.
- Прогрессирующее разрастание раковой ткани охватывает всю полость рта и начинает распространяться в другие органы. В первую очередь – в регионарные лимфатические узлы: подчелюстные, около- и заушные.
- Нарост на десне увеличен до больших размеров (диаметром более 3 см). Метастазирование происходит в жизненно важные органы человека (печень, органы дыхания).
Чем больше стадия развития новообразования, тем легче поставить правильный диагноз, но тяжелее прогноз. На 4-й стадии излечение невозможно.
Диагностика
Поскольку раковая опухоль десны имеет наружную локализацию, определение точного диагноза у врача обычно не вызывает трудностей. Как было сказано выше, многие люди обращаются к специалисту на втором этапе злокачественного процесса.
Однако встречаются и запущенные ситуации, когда больной приходит в лечебное учреждение с карциномой десны терминальной стадии, перешедшей на соседние ткани. Связаны такие случаи с низкой санитарной культурой населения, прежними ошибками в диагностике и агрессивным ростом опухоли.
После обращения к врачу начинается сбор анамнеза. Специалист определяет особенности заболевания, переходя к физикальному обследованию пациента. Во время первичного осмотра врач оценивает:
- общее состояние полости рта и специфику опухоли — ее подвижность, плотность и размеры;
- структуру лимфатических узлов — шейных и подчелюстных, их консистенцию, объем и факт спаянности с соседними тканями.
После осмотра специалист назначает следующие лабораторные исследования:
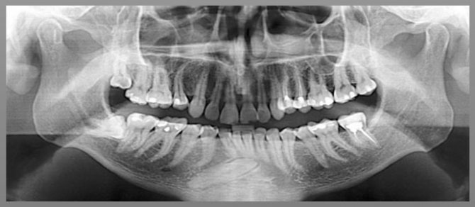
- рентген верхней и нижней челюсти — определяет поражение хрящевой и костной ткани;
- УЗИ лимфатических узлов — для выявления метастатических изменений;
- биопсия опухоли с цитологическим исследованием — указывает на ее природу: доброкачественную или злокачественную;
- компьютерная томография лицевой части черепа — используется при недостаточной информативности рентгенографии, выявляет прорастание новообразования в соседние ткани — твердые и мягкие — и степень онкопроцесса;
- МРТ — изучает наличие в организме отдаленных метастазов.
Помимо инструментальных методов, в диагностике рака десны не обойтись и без лабораторных тестов. К ним относятся:
- общий анализ крови — при онкозаболеваниях повышается СОЭ от 40 мм/ч и параллельно снижается содержание гемоглобина;
- исследование на онкомаркеры SCC, СА-242, СА-72-4 — при увеличении их концентрации в крови человека подтверждается наличие в организме злокачественного процесса наряду с другими методами.
Но решающим моментом в постановке диагноза при любых онкозаболеваниях становятся результаты гистологического исследования. Согласно статистике, чаще всего обнаруживается плоскоклеточная карцинома десны — она развивается из эпителия, выстилающего слизистую рта.
Как диагностировать рак десны
При визите к врачу-стоматологу обращают внимание на дефекты слизистой оболочки десен. Нужно иметь онкологическую настороженность, знать, как выглядит рак десны.
Врач соберет анамнез – расспросит пациента о том, как и когда появились признаки болезни, узнает о его наследственности. При осмотре стоматолог объективно установит наличие на деснах признаков, которые позволят заподозрить рак.

Назначит дополнительные обследования:
- Флуоресцентный анализ слизистой оболочки рта устанавливает разницу в спектре свечения различных типов эпителия (здорового и опухолевого) и определяет границы новообразования.
- Общий анализ крови покажет неспецифические воспалительные изменения. На поздних стадиях возможны проявления анемии и выраженные изменения лейкоцитарной формулы, связанные с низким иммунитетом.
- Рентгенография костей челюсти на начальных стадиях помогает определить прорастание опухолевой ткани в кость.
- Самым информативным исследованием является биопсия тканей десны и их гистологический анализ с определением типа эпителия – здоровый или рак. Анализ показывает, насколько злокачествен развивающийся на десне процесс.
- Проводят магнитно-резонансную (МРТ) и позитронно-эмиссионную томографию (ПЭТ). МРТ определяет структуру и тип тканей. ПЭТ с 18-флюородеоксиглюкозой, которую в больших количествах накапливают пораженные раком ткани десны, покажет их точное расположение.
- МРТ и ПЭТ проводят и для оценки лимфоузлов при раковом поражении десен.
- Радиоизотопный анализ представляет собой исследование с помощью радиоактивных изотопов и меченных ими соединений, которые поглощаются больными раком клетками эпителия, отображаясь при этом на сцинтиграммах.
- УЗИ внутренних органов, а также их МРТ и ПЭТ, проводят, чтобы определить возможные метастазы.
- Берут анализы крови на выявление онкомаркеров, в частности, папилломавирусов, которые являются провоцирующим фактором для развития рака в области десны.
Определив диагноз, стадию, степень злокачественности процесса, общее состояние больного, врач проведет дифференциальную диагностику с другими заболеваниями полости рта: рак слюнных желез, доброкачественная папиллома, лейкоплакия, сифилитическое поражение, злокачественная меланома десны.
Лечение
Выбор тактики терапии определяется врачом в зависимости от стадии онкопроцесса, размера опухоли и глубины ее прорастания в мягкие и твердые ткани. Лечение направлено на устранение злокачественного новообразования и борьбу с метастазами. Основными его методами становится операция, химио- и радиотерапия.
Протокол составляется индивидуально для каждого пациента на основании клинических данных. Ранняя стадия рака десны обычно устраняется с помощью лучевой терапии, при условии что онкологический процесс не повредил надкостницу. Начиная со второй стадии, применяется комбинация нескольких терапевтических методов, а именно резекция опухоли и последующие курсы химио- и радиотерапии.
Оперативное лечение. Проводится по усмотрению врача на любой стадии рака десны. Площадь вмешательства зависит от глубины поражения. На начальных стадиях оно охватывает незначительную часть челюсти в области новообразования с резекцией небольшого объема здоровых участков тканей. На поздних этапах приходится прибегать к удалению целого фрагмента костных элементов с лимфатическими узлами и пораженной частью десны.
Химиотерапия. Назначается в ситуациях, когда невыполнимо проведение хирургической резекции опухоли из-за наличия противопоказаний у пациента или при неоперабельных стадиях рака. Иногда химиовоздействие выполняется перед непосредственным радикальным вмешательством для уменьшения площади злокачественного процесса и успешного его исхода.
Химиотерапия основывается на введении в организм больного специфических медикаментозных средств, направленных на уничтожение атипичных клеточных элементов. Это препараты-цитотоксины группы винкалоидов, антрациклинов и т. д. К сожалению, они токсичны не только для опухоли, но и здоровых тканей организма, поэтому после такого лечения пациенты вынуждены столкнуться с множеством побочных эффектов и длительным этапом восстановления.
Лучевая терапия. Заключается в облучении злокачественного процесса высокочастотными гамма-лучами, целенаправленно уничтожающими атипичные клетки в организме. Метод применим в составе комбинированного лечения. На первой стадии рака десны он может использоваться самостоятельно.
Также радиотерапия применяется с профилактической целью для предупреждения рецидивов опухоли. На поздних стадиях онкопроцесса назначается наряду с паллиативным лечением, так как она может улучшить самочувствие больного, но без устранения источника состояния.
Криодеструкция и диатермокоагуляция. Два новых альтернативных метода, направленных на борьбу с опухолевыми процессами. Они используются исключительно на ранних стадиях рака, так как позволяют точечно справиться со злокачественными изменениями в тканях. При криодеструкции применяются экстремально низкие температуры, разрушающие очаг опухоли, а при диатермокоагуляции, напротив, высокие, но эффект от использования будет таким же. Обе методики буквально за несколько процедур могут удалить атипичные клетки в очаге новообразования.
В процессе лечения рака десны каждый этап терапии сопровождается применением различных медикаментов. Это могут быть обезболивающие, противовоспалительные, антигистаминные, седативные и прочие препараты. Их цель — успешно провести хирургическое вмешательство и снизить риск осложнений в послеоперационном периоде.
Симптомы начальной стадии, первые признаки, фото
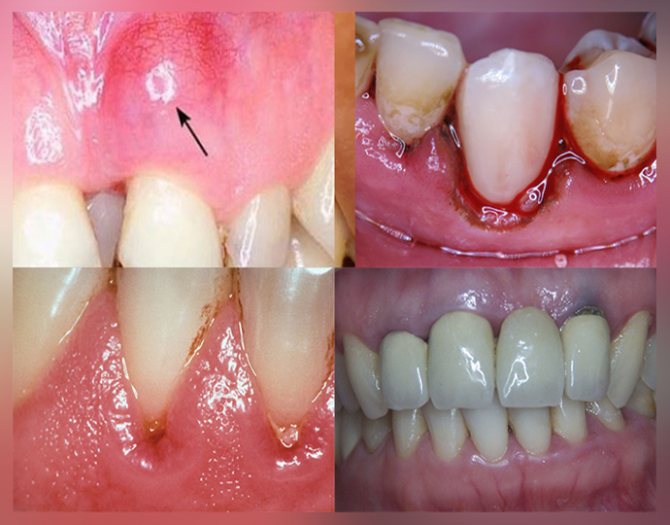
Новообразование на десне распознается не сразу и растет медленно. В качестве одного из первых признаков рака десны в течение нескольких месяцев наблюдается кровоточивость десен, но отека или опухоли еще нет. Такое состояние легко спутать с обычным пародонтитом или гингивитом. Однако кровоточивость и боль плохо поддаются купированию, привычные пациенту лекарства не помогают снять эти проявления. Почти сразу присоединяются другие симптомы:
- повышенная локальная чувствительность пораженной зоны к холоду и горячему;
- изменение вида самой слизистой оболочки десны, позволяющее отличить рак от доброкачественного палилломатоза или свища: появление красных прожилок, точек, бугорков с дефектами ткани – эрозиями, язвочками с четко очерченными краями;
- начальная стадия рака десны характеризуется расположением опухолевого образования на нижней челюсти возле передней группы зубов в виде шишковидных наростов размером до 1 см, края их сглажены, без четких границ и формы;
- надавливание в области поражения вызывает ноющую боль, кровоточивость.
Позднее рак прорастает на эпителий языка, верхней челюсти, гортань. В последнем случае появляется постоянное першение, пациента мучает кашель.
Возникают боли в области губ, подчелюстных и заушных лимфоузлов, распространение отека по всей челюсти, с переходом на подбородок и щеку, неприятные распирающие ощущения. Становится трудно жевать, зевать и разговаривать. Боль сохраняется в покое, поскольку новообразование поражает нервные окончания лицевой области.
Наблюдается вечерняя субфебрильная температура (37 градусов), слабость и утомляемость, похудение. Повышенная температура иногда бывает первым признаком, наряду с кровоточивостью десны.
Метаболизм раковых клеток подавляет функцию слюновыделения, поэтому пациент ощущает сухость во рту.
Реабилитация пациентов
В терапии рака десны зачастую применяется хирургическое вмешательство, направленное на удаление опухоли вместе с мягкими и твердыми тканями челюсти человека. После такой сложной операции не удается избежать проблем с нормальным функционированием лицевого аппарата, а именно возникает нарушение акта глотания и артикуляции. Кроме того, появляется психологический дискомфорт по поводу потерянной эстетики.
В этом случае реабилитационные действия заключаются в следующем:
- консультация и помощь узких специалистов — логопеда и психолога;
- ортопедическое замещение возникшего костного дефекта в челюсти, реализуемое подбором съемных протезов;
- пластическая операция, направленная на восстановление внешнего вида мягких и твердых тканей лица.
Также во время лечения важно организовать питание больного, включив в рацион витамины и микроэлементы с антиоксидантными свойствами. К ним относятся препараты аскорбиновой кислоты, ретинола и кальция, которые помимо противоопухолевого и иммуномодулирующего эффекта нормализуют обменные процессы в тканях и способствуют лучшему костеобразованию. Все это важно учитывать при реабилитации пациентов с онкопоражением десны.
Широко применяется и физиолечение в период восстановления больного. Оно направлено на улучшение регенерации тканей, поврежденных раковой опухолью и хирургическим воздействием. Физиопроцедуры включают лазеротерапию, электросон, электрофорез с соответствующими медикаментами, ингаляции, массаж, магнитотерапию, лечебную физкультуру и акупунктурный метод.
Симптомы и стадии
Рак десны бывает 4 стадий, которые отличаются площадью поражения.
- На подслизистом или слизистом слое десны образовывается опухоль, которая имеет площадь до 1 см.
- Вторая стадия – опухоль может равняться 1 см вглубь и 2 см в диаметре, но за пределы слизистой не выходит. При этом со стороны поражения может образоваться 1 метастаз.
- Разрастание опухоли доходит до 3 см. Часто заболевание на этой стадии обходится без метастаза, или с их локализацией в лимфоузлах (обычно со стороны поражённой десны).
- Заболевание пускает метастазы по всей площади ротовой полости и постепенно переходит к внутренним органам. Первые поражаются лёгкие и печень.
Рак десны опасен тем, что на первом этапе симптоматика может отсутствовать или иметь слабовыраженный характер. Лишь со временем, когда опухоль начинает разрастаться и сдавливать нервы, ощущается боль. Но и это для многих пациентов не становится поводом навестить специалиста.
Болевой синдром и кровоточивость дёсен списывается на другие болезни, которые человек пытается решить самостоятельно, принимая лекарственные препараты, пользуясь отварами трав. Пациента может запутать недавнее удаление зуба. Тогда болезненность списывается на недавно проведённое вмешательство в зубочелюстную систему.
Распознать рак десны на первых этапах возможно по следующим симптомам:
- незначительная кровоточивость дёсен, которая проявляется даже при небольшом нажатии на проблемный участок десны;
- припухлость или покраснение дёсенных тканей на поражённом участке (из-за этого симптома многие пациенты путают онкологию с гингивитом);
- если на дёснах появляются новообразования красного цвета, язвочки или вкрапления светло мутного оттенка, это говорит о раке в 90% случаях.
Кровоточивость дёсен может не насторожить, но образование бляшек и язв должно стать поводом неотложного визита к стоматологу. Этот этап ещё менее опасен для организма, проблема решается с наименьшим уроном для здоровья.
Симптоматика для визита к стоматологу
- наличие поражённого участка, который отекает, а припухлость начинает распространяться на соседние зоны;
- чувствительность дёсен постоянно увеличивается, появляется дискомфорт;
- боль из зоны поражённой десны начинает переходить в лицевую область;
- появившаяся болезненность уже не исчезает и в состоянии покоя (причина – зажатие нервных окончаний лица новообразованием);
- происходит изменение внешнего вида десневых тканей, а именно: могут проявиться небольшие эрозии, различные уплотнения красного оттенка и с белыми вкраплениями;
- пигментация дёсен сопровождается увеличением лимфоузлов, что расположены около ушей;
- когда заболевание начинает пускать метастазы, у пациента может болеть горло и беспокоить кашель.
Одним из симптомов рака десны является повышенная температура, что придерживается уровня 37 °С – 38 °С и не сбивается, а у пациента не имеется инфекционных заболеваний. Этот признак онкологии может проявиться раньше остальных.
Следом за установлением диагноза и началом терапии могут проявиться такие симптомы: авитаминоз, снижение аппетита, выпадение волос и зубов, плохой запах изо рта, регулярные кровотечения.
Диета
Актуальность правильного питания при раковой опухоли десны бесспорна. Сбалансированный рацион нормализует метаболические процессы в пораженных тканях и способствует их заживлению, обладает противоопухолевой активностью, снимает воспаление и препятствует повышенной кровоточивости слизистой.
После постановки диагноза, во время лечения и в период реабилитации важно отказаться от излишне горячих или охлажденных продуктов, так как первые нередко провоцируют ожог и без того травмированной десны, а другие негативно влияют на местные обменные процессы. Также важно исключить из рациона чересчур твердую пищу, которая может травмировать слизистую, например свежие яблоки, редис и т. д. Заменить их можно бананами, запеченными грушами, овощным пюре.
Также следует отказаться от перечисленных ниже блюд:
- острая, соленая и маринованная пища;
- пряности и уксус;
- кондитерские изделия;
- газировка, спиртные напитки;
- жесткое мясо.
В основу лечебной диеты при раке десен должны входить мягкие овощи и фрукты, тушеная или отварная курица и рыба, кисломолочная продукция, яйца, чай на основе трав, растительные масла. Не нужно полностью ограничивать себя в сладком — несколько кубиков горького шоколада не повредят больному.
Что такое рак десен и как он развивается?
Рак десны – очень редкое онкологическое заболевание, развивающееся из тканей, покрывающих корни зуба. В подавляющем большинстве, развивается рак нижней десны, преимущественно в альвеолярной зоне, стремительно распространяясь в соседние анатомические зоны – щеки, нёбо, язык, глотку.
Рак десны развивается при нарушении морфологической структуры клеток, что приводит нарушению их функций. Измененные клетки стремительно делятся, в них полностью нарушаются обменные процессы, поэтому они имеют высокую жизнеспособность и реагируют только на агрессивные методы лечения – химиотерапию, облучение, и полностью удаляются только хирургическим вмешательством.
Без лечения рак десны стремительно прогрессирует, поражая окружающие мягкие ткани, хрящевые и костные структуры, нервные сплетения. Опухоль десен способна стимулировать образование новых кровеносных сосудов, чтобы обеспечить себе достаточное питание. По этим сосудам раковые клетки распространяются по организму, формируя очаги метастазирования.
Бывает ли рак зуба и десны одновременно?
Большинство людей не подозревает о такой патологии, как рак зуба. На практике этот недуг диагностируется исключительно редко, но случаи все же встречаются. Опухолевый процесс поражает дентин, эмаль или полостные ткани зуба. Новообразование обычно формируется из его зачатка, быстро распространяется на десны, язык и ротоглотку с последующими метастатическими изменениями. Поэтому исключать одновременное возникновение ракового процесса в зубах и деснах нельзя.
При обнаружении данной сочетанной патологии важно немедленно приступить к ее лечению. Нередко оно начинается с хирургического удаления зуба вместе с разросшейся опухолью. Иногда требуется частичная или полная резекция челюсти.
В зависимости от стадии заболевания, в послеоперационном периоде пациенту может быть назначена химио- и радиотерапия. Но даже комплексный подход отнюдь не всегда гарантирует полное решение проблемы. Довольно часто возникает рецидив злокачественного процесса, поэтому с целью его предупреждения специалисты рекомендуют обязательно проходить профилактические осмотры и грамотно ухаживать за полостью рта, не допуская в дальнейшем местных инфекционно-воспалительных процессов.
Как проводится диагностика болезни
Чтобы распознать рак десны, требуется тщательная дифференциальная диагностика. Обследованию подлежат не только десны, но и лимфатическая система, ЛОР-органы, а при необходимости – внутренние органы. Помимо сбора анамнеза, осмотра и пальпации врач может назначить следующие исследования:
- анализы крови общие и специфические (например, на онкомаркеры),
- МРТ черепа (разных отделов),
- КТ или опять же МРТ челюстной области,
- биопсия непосредственно опухоли,
- радиоизотопное исследование,
- позитронно-эмиссионное томографическое исследование челюстной области.
В процессе обследования обязательно проводится дифференциация с меланомой, вирусом папилломы человека, лейкоплакией и другими заболеваниями полости рта.
«Как-то чистила зубы, заметила на десне странное белое пятно, перепугалась страшно. Побежала к стоматологу почти сразу. Даже обрадовалась, когда после обследования сказали лейкоплакия, хоть и мало приятного. Хорошо, что не рак».
Ангелина, 42 года
Течение и лечение заболевания у детей, беременных и кормящих, пожилых
Дети. Раковое поражение десны встречается у детей крайне редко, впрочем, как и другие онкопатологии полости рта. В любом случае полностью исключать этот риск нельзя. Клинические признаки рака десны у ребенка не имеют специфических отличий от взрослых. Тактика лечения полностью зависит от стадии злокачественного процесса и глубины поражения челюсти.
Беременные и кормящие. У будущих и кормящих мам онкология десны также является редким диагнозом. Заболевание обычно диагностируется случайно, во время профилактического осмотра у стоматолога. Лечение зависит от стадии онкопроцесса и срока гестации женщины. В первом триместре специалисты рекомендуют прервать беременность и не откладывать терапию патологии. Поскольку выжидательная тактика при раке десен не поощряется, во втором и третьем триместрах лечебный подход подбирается индивидуально. При своевременно оказанной помощи прогноз в целом удовлетворительный.
Преклонный возраст. Злокачественная опухоль десен чаще всего выявляется у лиц пожилого возраста, преимущественно среди мужчин. Ввиду наличия сопутствующих патологий, диагностика рака может быть затруднена. Лечение назначается индивидуально в зависимости от наличия противопоказаний у пациента и стадии онкопроцесса. Прогноз на полное выздоровление обычно неблагоприятный.
Как проявляется заболевание
Первые признаки рака десны проявляются, когда болезнь захватила значительное количество ткани. Растущая опухоль давит на нервные отростки, что может приводить к боли или неприятным ощущениям. К сожалению, на начальном этапе болезни ее легко принять за другие патологии, например лейкоплакию, папилломавирус, связать с недавним удалением зуба и так далее.
К начальным симптомам рака десны, требующим срочного обращения к стоматологу, относятся следующие проявления:
- увеличение лимфатических узлов подчелюстных и под ушами,
- постоянная температура в пределах 37-38 С˚,
- болевые ощущения в полости рта, имеющие разрозненный характер (то есть сложно сказать, что именно болит). Не прекращаются даже в покое,
- изменение цвета и структуры слизистой – она краснеет, имеются уплотнения,
- отечность мягких тканей.
Злокачественная опухоль для своего роста требует притока большого объема крови и провоцирует увеличение количества мелких кровеносных сосудов на участке поражения. Поэтому рак десен выглядит как красноватый участок, а при малейшем механическом воздействии на нем появляется кровоточивость.
Важно знать! Все перечисленные симптомы характерны для очень большого количества патологий полости рта – гингивита, экзостоза, пародонтита и так далее. Поэтому не нужно себе накручивать и ставить диагноз самостоятельно. Важно обратиться к врачу для проведения точной диагностики, осмотра.
Со временем заболевание отражается и на общем состоянии человека. Часто возникает ощущение усталости, апатии, депрессии, слабости физической и психической. Практически всегда онкологические заболевания приводят к потере массы тела – резко и без видимой причины. Это уже является специфическим симптомом наличия опухолей в полости рта (т.е. развития онкологических заболеваний в целом). Поэтому именно он должен насторожить и стать причиной немедленного обращения к специалистам – стоматологу, терапевту и, разумеется, онкологу.
Методы лечения рака десен
Выбор тактики лечения рака десен осуществляется исходя из стадии развития опухоли. Чаще всего схема лечения состоит из оперативного вмешательства с последующим облучением и химиотерапией, но на первых этапах роста патологии лучевая терапия может предварять операцию. В некоторых случаях обходятся без хирургического иссечения раковых клеток.
Многие пациенты боятся радиационной и химической терапии и считают, что достаточно лишь вырезать опухоль. Однако практически на всех стадиях рака, в том числе и десны, более эффективным оказывается комбинированное лечение, включающее хирургические методы, лучевую и химиотерапию. Последующее облучение и фармакологические препараты повышают вероятность уничтожения раковых клеток и предотвращают рецидив в разы по сравнению только с одной операцией.
Как проводится оперативное удаление
В процессе хирургического вмешательства врач удаляет злокачественные клетки вместе с прилежащими к ним здоровыми тканями. Полученный материал отправляется в лабораторию для выявления стадии развития рака десны и определения дальнейшей тактики лечения. При значительном распространении болезни в полости рта возможно оперативное удаление опухоли вместе с костной тканью с последующей установкой протеза.
Радиотерапия опухоли (облучение)
Проведение лучевой терапии может носить радикальный характер (самостоятельно способствовать уничтожению раковых клеток), паллиативный (поддерживать состояние пациента, не давая опухоли разрастаться далее) или быть частью комбинированного подхода. Она заключается в облучении патологически измененной ткани гамма-лучами высокой частоты, что приводит к гибели аномальных клеток. Радиотерапии подвергаются более 80% пациентов с раком десен.
Особенности химической терапии
Показаниями к применению химиотерапии служат состояния, когда операция не представляется возможной, не имеет смысла, а также в дооперационном периоде для остановки роста опухоли и после операции в составе комбинированного лечения. Прием фармакологических препаратов часто сочетают с гамма-облучением. Для лечения применяют средства, подавляющие размножение и рост аномальных клеток. Терапия осуществляется в виде приема таблеток или инъекционно.
Осложнения
Последствия рака десны заключаются в распространении по организму атипичных клеток и его интоксикации. Метастазы могут возникнуть в любой системе, а при их формировании будут использоваться жизненные ресурсы местных тканей, вплоть до истощения и гибели человека.
Если заболевание удалось излечить, могут возникнуть нежелательные осложнения в виде побочных эффектов химиотерапии и облучения. Они основаны на расстройстве процесса кровообразования, интоксикации печени, нарушении целостности слизистых оболочек, невротических проблемах и стойком угнетении защитных сил организма. По этой причине следует пройти реабилитационный курс после радикального лечения для восстановления и стабилизации всех физиологически важных механизмов.
Начальная стадия рака десны
Особенностью развития опухоли десен является медленный рост. По этой причине многие люди игнорируют первые признаки появления новообразования и не обращаются к врачу.
Из-за сходства новообразования слизистой оболочки с распространенными стоматологическими болезнями, часто не удается распознать рак дёсен. Особенно в самом начале формирования опухоли. В этом заключается главная опасность заболевания.
Примеры начальных симптомов, схожих с иными заболеваниями полости рта:
- Внешне новообразование выглядит как обыкновенный флюс, при котором опухла десна;
- Кровоточивость опухшей десны такая же, как при гингивите;
- Незначительная боль, как при возникновении кариеса в полости зуба;
Рецидив
Согласно статистике, вторичный злокачественный процесс после радикального лечения развивается в первые 2 года жизни. Поэтому онкологи настоятельно рекомендуют своим пациентам не пренебрегать профилактическими осмотрами и вовремя обращаться в медицинское учреждение при появлении подозрительных признаков неблагополучия.
Если рецидив оказался подтвержден, для его устранения используются перечисленные ниже методы:
- химиотерапия — курс цитостатических препаратов нейтрализует рост атипичных клеток в очаге поражения и способствует их уничтожению, назначается перед хирургическим вмешательством;
- лучевая терапия — новые опухоли подвергаются воздействию высокоактивных рентгеновских лучей, что приводит к их обезвреживанию в организме;
- иммунотерапия — стимулирование защитных сил реализуется путем применения специфических медикаментов (интерферонов) и подбором диеты.
Как правило, рецидивы или повторные опухолевые процессы имеют менее благоприятный прогноз, по сравнению с первичными онкологическими очагами. Поэтому так важна их профилактика.
Как проходит лечение онкологии
Метод лечения будет зависеть от места локализации опухоли, её размеров и стадии развития. Основным считается хирургическое вмешательство по удалению опухоли, но чтобы добиться большей эффективности рекомендуется комбинировать несколько методов одновременно. В комбинированном лечении используют:
- хирургический подход;
- подход с лучевой терапией;
- прохождение химиотерапии.
При хирургическом методе хирург удаляет новообразование и прилегающие к ней ткани (слизистые, мышечные, рядом расположенные сосуды). Извлечённый материал отправляется на лабораторные исследования. Это нужно чтобы точно определить глубину распространения онкологического новообразования.
В тех случаях, когда болезнь прогрессировала по всей области зубочелюстной системы, хирургу приходится удалять весь подчелюстной треугольник. В тяжёлых случаях приходится удалять зубы с последующим протезированием.
Бывают случаи, когда новообразование начинает формироваться уже после удаления зубной единицы. Такую ситуацию не относят к врачебным ошибкам. Скорее всего, опухоль уже сформировалась в корне резца, а после его удаления нашла выход наружу.
Следующий метод – лучевая терапия. Проводится в зависимости от случая (после или до операции). В дооперационный период облучают опухоль, а также рядом расположенные ткани. В послеоперационный – область бывшего расположения новообразования.
Лучевая терапия может быть назначена и для профилактики рецидивов.
Химиотерапия
Химиотерапию специалисты стараются назначать реже. Главными факторами к проведению такого метода становятся возможные противопоказания к хирургии. Иногда химиотерапия выступает как вспомогательный метод к лучевой терапии, что помогает усиливать эффективность.
Химиотерапия состоит из приёма таблеток и инъекций. Их задача приостановить увеличение клеток рака, а в некоторых случаях полностью их уничтожить. Пациенту прописываются антибиотики, витамины. Их приём необходим для восстановления иммунитета, который ослаб под воздействием лучевой и химиотерапии.
Многие специалисты, чтобы добиться лучших результатов в лечении, рекомендуют классические методы сочетать с рецептами и способами нетрадиционной медицины.
Это могут быть:
- метод иглоукалывания;
- массажи ротовой полости;
- ополаскиватели и различные компрессы, в состав которых входят целебные травы, способствующие укреплению десневых тканей.
Часто онкологические заболевания рецидивируют (появляются повторно). Рак дёсен не исключение. Чтобы снизить риск рецидива, пациент после выздоровления должен повторно пройти рекомендуемые врачом обследования и сдать кровь на онкомаркеры. Обычно повторное обследование рекомендуется проходить спустя 3–5 месяцев от выздоровления.
Прогноз
Предсказать, каким окажется исход заболевания, особенно если речь идет о последних стадиях злокачественного процесса, практически невозможно. В онкологии существует понятие 5-летней выживаемости, относительно которой прогнозы выстраивать проще. Предлагаем узнать, как они выглядят в таблице, справедливой для лиц с раковым поражением десны.
| Стадии | Предположительный прогноз |
| I | 80-90% |
| II | 60-80% |
| III | 15-30% |
| IV | Менее 10% |
Ремиссия заболевания встречается в 30-40% случаев.
Стадии рака десен и классификация по системе TNM
Международная классификация TNM определяет стадию рака десен, исходя из оценки трех элементов – первичной опухоли, регионарных и отдаленных метастазов.
Стадии рака десны, согласно международной классификации:
- T — размер и распространение первичной опухоли:
- T1 – поражение небольшого участка размером до 2 см.
- T2 – опухоль разрастается, размер не более 4 см.
- T3 – новообразование разрослось по окружающим тканям, размер поражения более 4 см.
- T4 – злокачественный процесс распространился в соседние органы.
- N – регионарные метастазы:
- N0 – отсутствуют.
- N1 – один очаг со стороны первичной опухоли, размером до 3 см.
- N2 – односторонние или двусторонние метастазы, размером до 6 см.
- N3 – размер вторичных опухолей более 6 см.
- M – отдаленные метастазы:
- M – отсутствует поражение отдаленных участков тела.
- M – обнаруживаются метастазы в различных органах и тканях.
Также болезнь подлежит обобщенной классификации:
- I – небольшой участок поражения размером до 2 см., не выходящее за пределы одного участка. Отсутствуют регионарные и отдаленные метастазы.
- II – новообразование увеличивается до 4 см., но не поражает соседние анатомические зоны. Также отсутствуют признаки метастазов.
- III – размер опухоли более 4 см., поражены ближайшие органы, появляются первые регионарные метастазы.
- IV – злокачественный процесс охватывает окружающие органы – ротовую и носовую полость, глотку. Или же рак десны 4 стадии регистрируется при любом размере новообразования, если появились отдаленные метастазы.
Разделение на стадии рака десен играет важную роль в подборе тактики течения и прогнозирования выживаемости. Также от стадии зависит, какие симптомы рака десен будут беспокоить больного.
Профилактика
Легче предотвратить развитие раковой опухоли десны, чем впоследствии от нее избавиться. С этой целью рекомендуется соблюдать перечисленные ниже правила:
- ограничить употребление алкоголя и полностью отказаться от никотина и наркотических веществ;
- организовать здоровое питание, чтобы не возникало дефицита необходимых элементов;
- исключить вредные привычки, связанные с держанием в полости рта посторонних предметов — кончиков авторучек и карандашей и т. п.;
- в течение дня периодически ополаскивать десны специальными растворами или приготовленными отварами лекарственных трав;
- каждое утро и перед сном чистить зубы с помощью подходящей пасты — в идеале она должна иметь щадящий состав из экстрактов растений и медикаментозных компонентов, в частности фтора;
- отказаться от использования зубочисток, с осторожностью применять зубные нити;
- ограничить употребление продуктов, влияющих раздражающе на слизистую оболочку ротовой полости;
- каждые 6 месяцев обращаться к стоматологу для профосмотра и необходимого лечения;
- вовремя устранять любые инфекционно-воспалительные процессы в полости рта.
Рак десен — серьезнейшая патология, излечиться от которой можно только при условии ранней диагностики.
Виды и классификация
Как выглядит рак десен? На первом этапе развития может появиться незначительная припухлость, покрытая слизистой оболочкой, и очень мягкая на ощупь. В некоторых случаях начальная стадия рака десен характеризуется появлением небольших эрозий или белесых бляшек, которые сливаются между собой, образуя большой очаг поражения.
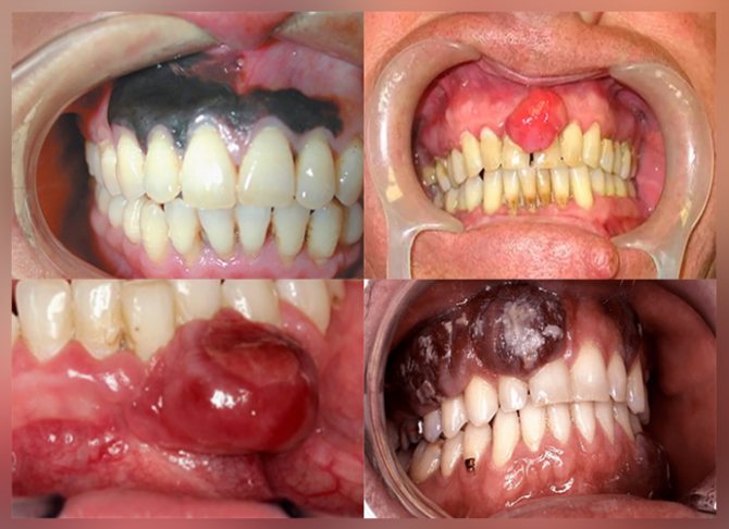
Злокачественная опухоль подразделяется на три формы, в зависимости от того, как выглядит рак десен:
- Язвенная – выглядит как изъявление слизистой оболочки, имеющее неровные края, кровоточащее при прикосновении.
- Папилломатозная (сосочковая) – представляет собой бугорок с неровными краями, внешне может выглядеть, как головка цветной капусты.
- Инфильтративная – глубокое поражение, не имеющее четких границ.
Если рассматривать виды злокачественных новообразований, по гистологическому строению, то в 90% случаев регистрируется плоскоклеточный рак десен, сформированный из клеток плоского эпителия.
Плоскоклеточный рак десен делится на два вида:
- Ороговевающий – выглядит, как бляшка, покрытая твердой коркой, образованной из клеток, накапливающих кератин. Редко поражает слизистые оболочки.
- Неороговевающий – наиболее часто встречаемая и агрессивная форма патологии, представленная в форме эрозии или инфильтрата.
Не более чем в 1% случаев регистрируется лимфоэпителиальный, базальноклеточный или железистоклеточный рак. Также к редким, но высоко агрессивным злокачественным опухолям десны относятся меланома, хондросаркома, лимфома, фибросаркома.
Разновидности зубных опухолей
Как правило, нозологический вид опухоли зависит от того, какие ткани поражены раком и какова его локализация. Так, рак зуба (см. фото) можно подразделить на следующие категории:
- Адамантинома. Не самый распространённый тип зубного рака. Поражает эмалевые клетки зубов и встречается, главным образом, у людей в возрасте 18-25 лет. Очаг заболевания располагается чаще всего в области моляров нижней челюсти. Развитие адамантиномы сопровождается деформацией челюстно-лицевой структуры и образует явное набухание. В свою очередь имеет две основных формы:
- солидная (массивная) амелобластома – губчатая ткань, содержащая множество мелких кист в полостях;
- кистозная амелобластома – наиболее распространённый тип, в виде кисты, выстланной изнутри эпителиальной оболочкой.
- Одонтогенная фиброма. Развивается в основном с боковой стороны нижней челюсти и характеризуется медленным ростом. Распространяется преимущественно среди людей среднего возраста и становится заметной лишь в результате рентгенографии или чрезмерного разрастания.
- Цементома. Опухоль в форме капсулы, расположенной в районе корней моляров и премоляров нижней челюсти. При увеличении размера опухоли начинаются воспаления и боли в мягких тканях ротовой полости.
- Одонтома. Одонтогенная опухоль, образовавшаяся из различных тканей зубного зачатка. Также подразделяется на две основных вариации:
- мягкая амелобластофиброма, состоящая из тканей пародонта и клеток эмали;
- твёрдая амелобластофиброма, встречающаяся на обеих челюстях и формирующаяся из различных частей сформированного зуба.
Прогноз и профилактика
Если были диагностированы первые признаки рака и своевременно начато лечение, стойкая ремиссия наступает у 80% пациентов и даже возможно полное выздоровление.
При отсутствии метастазов 5-летний порог выживаемости на 3 стадии развития недуга преодолевает 40—45% пациентов. Метастазирование сокращает срок жизни до 6—12 месяцев. Чтобы не возник рак десны, следует отказаться от вредных привычек, соблюдать гигиену ротовой полости, правильно выбирать зубные протезы. Рекомендуется не носить украшения на языке, деснах, губах, зубах. При контакте с ядохимикатами пользоваться защитной маской. Необходимо следить за рационом, чтобы организм получал полезные вещества в достаточном количестве. Все заболевания структур ротовой полости нужно своевременно лечить.
Метастазы и рецидив
Рак десны способен быстро распространять раковые клетки в отдаленные участки тела по кровеносным сосудам. Первые метастазы локализуются в подчелюстных, шейных или затылочных лимфоузлах, затем распространяется в другие органы. Отдаленные метастазы изначально поражают дыхательные пути, пищевод, печень, затем их можно обнаружить в других органах и костных тканях.
Именно метастазы становятся причиной рецидива рака десны, чаще всего развивающегося в первые два года после проведённого лечения.
Новообразование может возникнуть на месте удаленной опухоли десны или в другом органе. Поэтому необходимо провести тщательное обследование, чтобы определить, что это – рецидив или первичное развитие злокачественного образования другого вида.
Чтобы своевременно отследить рецидив, необходимо регулярно посещать лечащего врача и проходить обследование. Если в течение пяти лет болезнь не возвращается, то пациента считают полностью здоровым, и диагноз «рак десны» полностью снимается.
В чем опасность рака зубов
Онкология тканей зубов развивается по нескольким причинам:
- Травмы или повреждения другого характера тканей полости рта.
- Продолжительное курение, употребление наркотических веществ или употребление спиртных напитков.
- Отсутствие терапии при кариесе, когда патологический процесс затрагивает глубокие слои твердых тканей.
- Пародонтоз.
- Воспаление, распространяющееся на ткани десен, костную ткань.
Опухоль зачастую формируется из зубных зачатков на нижней челюсти. Существует несколько способов терапии, но особенностью заболевания является то, что даже хирургическое вмешательство не гарантирует полного выздоровления. Достаточно часто после проведения терапии происходит повторное развитие новообразования.
Заболевание диагностировать на начальной стадии развития затруднительно, так как рак зуба не сопровождается на данном этапе признаками. Образование может длительное время разрастаться, поражая здоровые клетки. Специалисты стоматологии выделили ряд симптомов, по которым возможно выявить наличие злокачественной опухоли. К ним относятся:
- Изменение структуры костной ткани. Она становится менее плотной, что приводит к частым переломам челюсти, возникающие даже при незначительных ударах. Также наблюдается появление свищей.
- Затруднения при глотании. С течением времени отмечается невозможности широко открыть рот по причине чрезмерного разрастания новообразования.
- Расшатывание зубов и нарушение целостности ряда. Появляется скрученность и другие нарушения прикуса.
- Боль ноющего характера. Возникает по причине воздействия образования на нервные окончания.
- Характерный хруст, возникающий при надавливании.
При наличии данных симптомов требуется обратиться к стоматологу, который проведет необходимую диагностику и назначит лечение. Отсутствие терапии может стать причиной серьезных последствий.
Лечится ли рак десны, прогноз заболевания
Среди всех видов онкологических заболеваний смертность от рака десны остается одной из самых низких. Вероятность выживания в течение 5 лет после лечения напрямую зависит от ранней диагностики болезни. Если получается обнаружить рак десен на первых двух стадиях, то излечить удается 80% больных. При выявлении на третьей стадии – 40% заболевших. На четвертой стадии, когда развитие злокачественного образования сильно запущено, достигнуть выздоровления могут только 15% пациентов.
Диагностика зубного рака
Чаще всего происходит следующее. В ходе обращения пациента к стоматологу с жалобами, тот проводит первичный осмотр ротовой полости и в случае необходимости назначает рентгенологическое обследование.
В случае обнаружения в костной структуре посторонних элементов пациент отправляется на приём к онкологу, который должен вынести окончательный вердикт.
Для точного определения состава, типа и уровня развития опухоли применяется цитологический анализ, при котором посредством биопсии изымается необходимый клеточный материал новообразования.
В некоторых случаях обнаруживается рак корня зуба. Зачастую за него принимают прикорневую кисту.
Киста — это полость, наполненная отмершими клетками эпителия и погибшими бактериями. Наиболее распространённой причиной появления корневой кисты является проникновение инфекции в корневые каналы. Воспалительный процесс не выходит за рамки определённой области, так как сдерживается стенками полости. Но перманентное увеличение её объёма приводит к постепенному перерождению костной ткани.
В дальнейшем киста может развиться в самую настоящую раковую опухоль. Такой поворот событий вынуждает врачей прибегать к удалению зуба вместе с опухолью.
Происходит это, в основном, по причине того, что пациенты обращаются за лечением уже на поздних этапах развития болезни. Однако, в ряде случаев существует возможность сохранить зуб в результате лазерной терапии.
Некоторые люди боятся прибегать к принятым в онкологии методам лечения. Они задаются вопросами типа, будут ли выпадать зубы после облучения при раке языка, гортани, горла и так далее? Ответ: дозы, применяемые в лечении, такого эффекта не вызывают.
Своевременная диагностика заболевания позволит остановить его на ранней стадии
Какими бы ни были неполадки с вашими зубами, никогда не будет лишним прибегнуть к качественному обследованию. Своевременный поход к стоматологу позволит выявить и предотвратить на ранних этапах опасные заболевания челюстной костной ткани и полости рта. К таковым относится и рак зуба на начальной стадии (см. фото).
К тому же, раковую опухоль далеко не всегда можно безошибочно определить с первого раза. Удаление зуба при игнорировании онкологических патологий и постановке ошибочного диагноза может привести к ускоренному развитию раковых образований. Поэтому крайне важно обращаться к онкологу при малейшем намёке на опухоль.
Зубной орган состоит из таких тканей: эмалевой, дентинной и цементной. Рак зуба может образоваться из каждой вышеперечисленной структуры. Поскольку злокачественное поражение клеток происходит во время их деления, то соответственно опухоль зубных тканей формируется из зубного зачатка, в котором происходит дифференциация эмали и дентина. Наиболее часто наблюдается поражение зачатков зубов, расположенных на нижней челюсти.
Рост одонтогенной опухоли происходит относительно медленно и безболезненно. Симптомы ракового поражения зубов проявляются в виде:
- Выпячивания челюстной ткани в наружную сторону.
- Деформации зубных рядов с возможным развитием шатания зубов.
- При достижении значительных размеров опухоли зубов в пациентов может наблюдаться затрудненное глотание и открытие рта.
- Истончение костной структуры приводит к образованию свищей и частых патологических переломов челюсти.
- Во время пальпации патологического участка определяется синдром крепитации (хрустящий звук при пальцевом надавливании на нижнюю челюсть).
- Болезненные ощущения, как правило, связаны с передавливанием нервных окончаний на поздних стадиях онкологии зубной ткани.
Очень важно вовремя диагностировать онкологию, так как рак зубов имеет свойство метастазировать в окружающие ткани и органы, тем самым провоцируя рак языка, рак горла, рак губы и других составляющих полости рта.
Характерные особенности начальной стадии
1 степень заболевания имеет свои нюансы. Как проявляется рак десны в самом начале? Он может в 10% случаев вообще не подавать никаких признаков. Менее опытные врачи часто путают эту проблему с другими стоматологическими патологиями.
Даже незначительные изменения должны насторожить и заставить провести необходимую диагностику:
- Внезапно возникшая кровоточивость десен. Это проявляется не только во время чистки, но даже при легком надавливании пальцем на проблемный участок.
- Припухлость и покраснение мягких тканей.
- Любые новообразования на слизистой, особенно если они выглядят белыми, мутными или имеют вид язвочек.
- Изменения в плотности десны.
- Повышенная температура при отсутствии инфекций общего характера.
- Наличие выраженного капиллярного рисунка.
Любой из этих симптомов должен стать поводом для проведения требуемых диагностических мер. Оставлять подобные проблемы на самотек не стоит, так как чем раньше выявить патологию, тем легче от нее избавиться.
Диагностика ракового поражения зубов
Как правило, первоначальную диагностику рака зубов проводит врач-стоматолог во время осмотра ротовой полости. После оценки субъективных данных (жалоб пациента) и результатов визуального обследования производится рентгенологическое исследование. Если результаты дополнительных методов диагностики подтверждают наличие новообразования в костной структуре челюсти пациента направляют на консультацию к онкологу, который устанавливает окончательный диагноз.
Онкологический диагноз определяется на основании цитологического анализа тканевого состава опухоли. Забор биологического материала производится с помощью биопсии, которая позволяет определить вид, стадию, распространенность ракового процесса.
Причины возникновения опухоли
- нежелание ухаживать за полостью рта (нерегулярная чистка зубов, редкое посещение стоматолога);
- привычка курить, жевать табак, избыточное употребление спиртного, прием наркотических средств (см. также: можно ли курить, когда вырвали зуб?);
- наличие запущенных болезней (хронические воспаления во рту, невылеченные зубы);
- существование вирусных инфекций в организме (герпес, вирус папилломы человека);
- предраковые заболевания;
- длительное отсутствие зубов вследствие отказа от протезирования;
- наличие травм в полости рта (пирсинг, неправильная установка зубных имплантов, повреждения инородными предметами);
- несбалансированное питание, недостаток витаминов в принимаемой пище.
Главными причинами развития болезни могут быть:
- Наличие вредных привычек, таких как курение или проблемы с алкоголизмом. В сигаретах есть много канцерогенов, которые плохо влияют на ткани и могут вызвать появление злокачественного образования. Помимо этого, эти же вещества входят в состав спирта, а поэтому они есть в алкоголе.
- Несоблюдение правил гигиены. Если чистить зубы иногда или нерегулярно, то можно добиться того, что ротовая полость может быть заражена различными бактериями и инфекциями. Именно из-за этих инфекций и начинает развиваться рак десны.
- Неправильное и несбалансированное питание. Если в организме не хватает витаминов и различных полезных элементов, то иммунная система ослабевает и как следствие прекращает быть крепкой зубная эмаль.
- Пирсинг на языке или губах. После такой процедуры, там где прокол остается рана, в которую могут попадать вредные бактерии, которые размножаются с большой скоростью.
Согласно практике, онкологические образования в области десны появляются в основном у людей старше 50 лет. При этом представители сильной половины более подвержены данному недугу. Существует множество причин, которые могут привести к раку десны, как правило, в большинстве случаев вызывает столь сильное поражение десны целый комплекс факторов. Воздействовать на процесс образования злокачественной опухоли в полости рта могут следующие факторы:
- Длительное болезненное состояние ротовой полости. К примеру, запущенные воспаления десен или кариес.
- Чрезмерное употребление алкогольных напитков.
- Употребление наркотиков.
- Курение, привычка жевать табак.
- Травмы, вызванные механическим повреждением, к примеру, из-за использования пирсинга.
- Инфекция, вызванная заражением вирусом папилломы человека или герпеса.
- Предраковые заболевания.
- Отсутствие зубов.
- Некачественно проведенная работа по установке зубных протезов.
- Несбалансированное питание, в ходе которого организм не получает нужного количества витаминов и минералов. Из-за этого сильно ухудшается состояние зубов.
Отсутствие гигиены ротовой полости или недостаток таковой становятся катализатором для развития воспалительных и инфекционных процессов.
Описание болезни
Зуб состоит из нескольких тканей — эмалевая, цементная и дентинная. Злокачественный процесс может начать развитие в любой из них. Но так как раку предшествует атипичное деление клеток, опухолевое образование формируется исключительно из зачатка зуба, где происходит дифференциация структурных элементов дентина и эмали. Чаще всего онкоочаг развивается в нижней челюсти.
Очень важно своевременно диагностировать патологический процесс, так как рак зубов опасен ранним распространением метастазов в ткани соседних и отдаленных органов. Под угрозой могут оказаться жизненно важные анатомические структуры — легкие и головной мозг.
Код МКБ-10: С41 Злокачественное новообразование костей и суставных хрящей черепа и лица.
Есть ли способы предотвратить?
Чтобы предотвратить возникновение рака или снизить риск развития его рецидивов, необходимо соблюдать определенные правила:
- Полностью отказаться от курения и употребления спиртных напитков.
- Сбалансировать рацион, с включением разнообразных овощей и фруктов.
- Не избегать профилактических осмотров.
- При наличии стоматологических патологий следует проводить своевременное квалифицированное лечение.
- Исключить возможность травмирования слизистой.
Рак полости рта – это серьезное заболевание, лечение которого невозможно домашними средствами, требуется комплексная диагностика и лечение.
Если тщательно придерживаться рекомендаций врачей, то патологию можно сделать обратимой и впоследствии забыть о ней навсегда.
Причины и факторы риска
По сей день врачи во всем мире не могут установить точные причины развития рака ротовой полости, однако существует ряд факторов, которые могут оказать влияние на появление болезни:
- курение или употребление жевательного табака – по статистике, 90% больных подобной формой рака постоянно курят или употребляют жевательный табак;
- зубные протезы – было выявлено, что неправильно подобранные протезы также раздражают полость рта и могут способствовать усиленному проникновению алкоголя и табака в слизистую оболочку;
- алкоголь – спирты, содержащиеся в алкогольных напитках, постоянно раздражают слизистые оболочки полости рта, что является одной из причин появления болезни;
- лейкоплакия – это образование белого цвета, которое не возвышается над поверхностью и имеет диаметр не более одного сантиметра, нередко эти пятна перерастают в раковую опухоль, в связи с этим данное образование часто называют предраковым состоянием;
- эритроплакия – еще одно предраковое состояние, идентично предыдущему варианту, разница заключается в цвете пятна, в данном случае оно красное;
- вирус папилломы человека – периодически является причиной развития рака.
Во избежание развития заболевания стоит ограничить потребление алкоголя и отказаться от курения, так как в совокупности эти две зависимости часто провоцируют опухоль и способствуют ее скорому развитию.
Установлено, что в Европейских странах, а также Америке данная болезнь встречается реже, чем в Юго-Восточной Азии. Объяснить это можно тем, что в азиатском регионе распространена традиция жевать бетель – смесь табака и извести. Подобная причина весьма актуальна для Индии, страны в которой процент раковых больных с пораженной полостью рта наиболее велик.
Помимо вышеописанных причин рака полости рта можно отметить следующие:
- плохая гигиена полости рта;
- грибковые заболевания хронического характера;
- плохая экологическая обстановка;
- плохой или неполноценный рацион;
- наследственность;
- ВИЧ;
- недостаток овощей и фруктов;
- недостаточное выделение слюны.
Виды, типы, формы (фото)
Злокачественный процесс, поражающий зубы, классифицируется на несколько форм, клинические признаки которых имеют определенные отличия. В зависимости от типа карциномы корректируется тактика дальнейшего лечения. Рассмотрим, какие же формы рака зуба известны на сегодняшний день:
- Адамантинома. Выявляется крайне редко, злокачественный процесс происходит из клеточных элементов эмали. Патология диагностируется преимущественно в молодом возрасте — до 25 лет. Новообразование обычно локализуется в области нижней челюсти в зоне роста зубов фронтальной группы. Адамантинома отрицательно влияет на состояние челюсти, провоцируя ее разрушение.
- Массивная амелобластома. Внешне выглядит как опухолевое образование губчатой структуры, внутри которого содержится большое количество кист малого диаметра. Относится к подвиду адамантиномы.
- Кистозная амелобластома. По клиническим признакам патологический процесс имеет много общего с кистой зуба, но, в отличие от последней, изнутри опухоль имеет оболочку из эпителия и обладает агрессивным ростом, быстро поражая прилегающие к онкоочагу здоровые ткани.
- Одонтогенная фиброма. Медленно прогрессирующий злокачественный очаг, расположенный в области нижней челюсти с правой или левой стороны. Выявляется чаще всего у пациентов средней возрастной группы.
- Цементома. Опухолевый процесс заключен в капсульную оболочку, по мере роста которой прогрессирует местное воспаление и болевой синдром. Излюбленным местом онкоочага становится нижняя челюсть, а именно область корней премоляров.
- Одонтома. Новообразование развивается из зачаточных тканей зуба и подразделяется на два подтипа: твердая и мягкая амелобластофиброма. В первом случае речь идет об опухолевом процессе, формирующемся на нижней или верхней челюсти, во втором — в структуре эмали и в области пародонта.
Формы
Раковая опухоль во рту имеет три фазы развития:
- начальная;
- развитая;
- запущенная.
Начальная фаза характеризуется появлением непривычных ощущений в месте образования опухоли.
При осмотре врачи могут наблюдать уплотнение тканей, появление язв, белые или красные пятна, папиллярные образования. Рак полости рта в целом может развиваться достаточно медленно и проявляет себя после 40 лет. Средний возраст больных составляет именно 40 лет.
При появлении сомнений относительно здоровья следует немедленно обратиться к врачу. Практика показывает, что 10% заболеваний были несвоевременно выявлены по причине того, что больные не обратили должного внимания на первые признаки развития рака.
Также могут появиться боли в полости рта, около 25% больных отмечают, что на начальном периоде ощущали болевые ощущения, при этом 50% из опрошенных связали их с ангиной и другими заболеваниями, например, зубной болью. Начальная стадия рака полости рта имеет три анатомические формы:
- язвенная.
- узловая.
- папиллярная.
Язвенная форма наиболее часто встречающаяся, при этом у 50% она развивается очень быстро, у второй половины, наоборот, медленно.
Узловатая форма встречается реже. При ней можно заметить пятна белого цвета, которые окружены по периметру уплотнением в слизистой оболочке. Рост таких раковых новообразований протекает значительно ниже, чем при язвенной форме.
Папиллярная форма характеризуется появлением плотных наростов над слизистой оболочкой, при этом последняя на них, как правило, не повреждена. Развиваются такие образования очень быстро.
Рак ротовой полости может быть таков: рак дна полости рта, опухоль языка, рак в области неба, опухоль в области альвеолярных отростков (верхняя и нижняя челюсть, зубы), рак щеки.
Первые признаки рака десен на 3 и 4 стадии
Рак десен на 3 стадии характеризуется увеличением новообразования в размерах и вовлечением окружающих тканей в патологический процесс. Уже имеющиеся симптомы рака десны усиливаются – наблюдаются значительные изменения слизистого эпителия, глубокие эрозии, постоянная кровоточивость и острые боли.
Признаки рака десен на поздних стадиях:
- неприятный, ничем не устраняющийся запах изо рта;
- незначительное, но стабильное повышение температуры тела;
- онемение части лица, порезы;
- постоянная жажда, сухость во рту;
- деформация челюсти;
- резкое и необъяснимое снижение массы тела;
- общее ухудшение самочувствия;
- нарушение сна;
- повышенная раздражительность, депрессия.
Рак верхней десны способен распространяться в полость носа и носовые пазухи, от чего появляется постоянная заложенность носа, обильные слизистые выделения с вкраплениями крови. Если опухоль десен прорастает в основание черепа, появляются стойкие зрительные и неврологические нарушения.
Получение инвалидности
С учетом того, что раковая опухоль зуба, обнаруженная на I и II стадии злокачественного процесса, отличается высокими показателями 5-летней выживаемости (почти 80–95% случаев), клинический прогноз для многих пациентов может считаться благоприятным по сравнению с онкопатологиями других локализаций. Поэтому трудоспособность большинства людей со временем восстанавливается. Безусловно, речь не идет о поздних этапах недуга, сопровождаемых различными осложнениями.
Для определения группы инвалидности, временной или бессрочной, пациент должен предоставить необходимый перечень документов в комиссию МСЭ (медико-социальная экспертиза). Обычно в этом список входят данные лабораторных и инструментальных обследований, выписка из истории болезни, заключение лечащего врача.
По каким критериям устанавливается инвалидность:
- III группа — умеренное ограничение жизнедеятельности. Определяется для лиц, радикально прооперированных на начальных стадиях онкопроцесса и имеющих абсолютные ограничения к основному виду трудовой деятельности.
- II группа — выраженное ограничение жизнедеятельности. Назначается пациентам с сомнительным прогнозом на поздних стадиях заболевания.
- I группа — резкое ограничение жизнедеятельности. Определяется после паллиативного лечения терминальной стадии рака, при метастазах и рецидивах патологии.
Если пациенту назначается временная группа инвалидности, в будущем пациенты могут вернуться к профессиональному труду.
Часто задаваемые вопросы
Сейчас разберем некоторые вопросы которые могут возникнуть при развитии онкологии зуба.
Нет ни одного научного доказательства, которое подтвердило бы, что коронки и имплантаты провоцируют развитие злокачественного процесса в челюсти и зачатках зубов. Среди населения мысль, что имплантация способна вызвать рак, довольно распространена, но это ничто иное, как домысел и миф.
Кистой называется полостное образование, наполненное эпителиальными клеточными структурами. Причина ее развития — инфекционные агенты, проникшие в каналы зуба. Воспалительный процесс может присутствовать в тканях длительное время, пока его будут сдерживать стенки полости. Однако по мере роста кисты существует вероятность перерождения костных тканей.
При отсутствии лечения киста вполне имеет все шансы трансформироваться в опухоль — карциному или саркому. Стоматологи знают о подобном риске, поэтому при обращении пациента с запущенными признаками кистозного образования они направляют его на удаление зуба вместе с откачиванием скопившейся жидкости для исключения различных осложнений.
Японские ученые считают, что терять зубы опасно не только для здоровья, но и для жизни. Они обнаружили, что существует связь между отсутствием зубных единиц и онкологическими заболеваниями, причем величина риска прямо пропорциональна их потере.
Исследователи считают, что этот факт может повлечь за собой рак полости рта, головы, шеи, легких и пищевода. Причинами столь печальных последствий становятся хронические воспалительные процессы, связанные с удалением или выпадением зубов. Кроме того, это состояние зачастую является результатом нездорового образа жизни.
На этом фоне тщательное соблюдение гигиены ротовой полости и должный уход за зубами играет важную роль в сохранении здоровья человека.
Поэтому зубы мудрости нередко удаляют. Вырывать третьи моляры сложнее, чем другие зубные единицы, для процедуры используются специальные хирургические инструменты. Достаточно часто в лунке после удаления, которая остается открытой в течение нескольких дней, отмечается развитие осложнений воспалительного характера.
Если эти состояния не долечить либо пытаться устранить их самостоятельно, возможно формирование хронического воспалительного процесса в десне, что, в свою очередь, может стать причиной перерождения клеток костной ткани челюсти и корней соседних зубов в онкологическую опухоль.
Метастазирование
Злокачественный процесс, локализующийся в зубе, опасен тем, что рост опухоли приводит к активному распространению метастазов не только в соседние органы, но и отдаленные анатомические структуры. В связи с этим часто развиваются такие осложнения, как вторичный онкопроцесс в гортани, в теле языка, в головном мозге, в дыхательных путях и т.д.
Метастатический рак опасен быстрым прогрессированием и развитием новых осложнений, которые нередко приводят к летальному исходу пациента. Лечение вторичных опухолей редко характеризуется положительным прогнозом.
Симптомы и признаки рака десен на начальной 1 и 2 стадии
На первых этапах развития, заболевание протекает бессимптомно. Но даже, если больные замечают первые признаки рака десны, считают их проявлением воспалительного процесса, и не обращаются за медицинской помощью, пытаясь справиться самостоятельно.
Выделяют три основных симптома рака десны на начальной стадии, которые могут появиться одновременно или поочередно:
- Кровоточивость – изначально выделяется небольшое количество крови при чистке зубов или при надавливании на десну. Постепенно кровотечение становится постоянным и более обильным.
- Отечность – на месте поражения появляется незначительная припухлость и покраснение.
- Болезненность – появляется легкая боль, изначально только при жевании. По мере прогрессирования заболевания боли становятся постоянными.
Первые симптомы рака десны на второй стадии, зависят от локализации опухоли. При раковых образованиях верхней челюсти, болезненные ощущения отдают в уши, височную и лобную долю, вызывая мучительные головные боли. Рак нижней десны приводит к болезненным и дискомфортным ощущениям в области языка, челюсти и шеи. При такой локализации опухоли воспаляются и уплотняются подчелюстные и шейные лимфоузлы.
Виды зубных опухолей
Рак зубов может проявляться в следующих нозологических видах:
- Адамантилома – относительно редко встречаемая опухоль эмалевых тканей, которая в большинстве случаев поражает людей в возрасте 18-26 лет. Локализацией патологического процесса служит область моляров, ветвь и угол нижнечелюстной кости.
- Плотная амелобластома – эластическое новообразование с наличием большого количества полостей.
- Кистозная амелобластома – полое образование, заполненное прозрачной коричневой массой с кристаллами холестерина.
Клиническое течение опухолевого процесса напоминает симптомы кистозного поражения челюсти. Рост адамантиномы сопровождается образованием нескольких утолщений костной структуры, которые со временем соединяются в одно резко выраженное выбухание. В некоторых случаях на поверхности новообразования отмечаются отпечатки зубов противоположной челюсти.
- Одонтогенная фиброма – внутрикостная раковая опухоль, которая поражает людей среднего возраста. Фиброзное новообразование локализуется в области боковой части нижней челюсти. Научные исследования доказывают взаимосвязь тканей зачатка зуба и мутированных клеток.
Фиброзная онкология зубов характеризуется медленным ростом, не вызывая болевых ощущений в области поражения. Опухоль, в основном, диагностируется во время рентгенологического обследования соседних зубов или при достижении больших размеров при визуальном определении жесткого выпячивания в ротовой полости.
- Цементома – специфическое соединительнотканное новообразование нижней челюсти, которое характеризуется цементнопластическими качествами. Опухоль преимущественно ограничена капсулой и размещается в области корней жевательной группы зубов. Название злокачественного поражения зубов происходит от цементиклей, структурных элементов новообразования. Возникновение болевых ощущений и воспалительных процессов мягких тканей ротовой полости происходит при значительном увеличении объема злокачественных тканей.
- Одонтома – одонтогенная опухоль, которая происходит из совокупности тканей зубного зачатка. По степени дифференциации клеточного состава новообразование одонтома встречается в виде мягкой и твердой амелобластофибромы. Первая группа опухолей состоит из атипично размещенных клеток эмали зубного зачатка и парадонтальных тканей. Вторая группа включает мутированные элементы сформированного зуба.
Мягкая одонтома встречается у людей в периоде развития постоянных зубов и гистологически состоит из эпителиальных тяжей, между которыми находится соединительная ткань. Такая структура опухоли напоминает строение зубного зачатка.
Для твердых форм одонтом характерным является поражение в одинаковой мере верхней и нижней челюсти пациентов старше 20 лет. Вследствие высокой дифференциации раковых тканей в микроскопической структуре опухоли определяются практически все структурные элементы постоянных зубов от эмали до пульпы.
Рак десны. Течение болезни
Обычно злокачественные опухоли десен возникают в нижней челюсти заболевшего, чаще всего поражая альвеолярную ее часть. А вот верхняя челюсть поражается гораздо реже. Если не проводить нужного лечения, то течение болезни бывает обычно довольно агрессивным. Опухоль продолжат увеличиваться, врастая в окружающие ее ткани. Со временем опухоль прорастает в кость и разрушает ее. Лечение на данном этапе становится очень проблематичным. На последних стадиях болезни рак десны метастазирует – злокачественные клетка отрываются от опухоли и с током лимфы распространяются по лимфоузлам. Поэтому начинать лечение этого заболевания нужно как можно раньше.
Симптомы
Злокачественный процесс, как правило, формируется из зачаточных структур зуба, преимущественно в области нижней челюсти. Невзирая на то что для лечения патологии предлагаются различные терапевтические методики, нет никаких гарантий, что даже радикальная операция приведет к полному выздоровлению человека. Очень часто после первично проведенной терапии развиваются рецидивы заболевания.
Симптомы поздних стадий:
- Нарушения структуры твердых тканей зуба. Эмаль становится рыхлой, что приводит к ее разрушению даже при незначительном внешнем воздействии.
- Проблемы с глотанием. С прогрессированием онкопроцесса становятся заметны сложности с полноценным раскрытием рта и нормальным приемом воды и пищи.
- Расшатывание зубного ряда, нарушение его целостности. Возникают такие состояния, как патологические изменения прикуса, скученность зубов и т.д.
- Боль. Связана с поражением нервных окончаний.
- Хруст при физическом воздействии на челюсть.
Таким образом, появление вышеперечисленных симптомов требует немедленного обращения за врачебной помощью. Первой инстанцией должен стать стоматолог. Специалист проведет осмотр ротовой полости и при необходимости назначит лечение. При подозрении на злокачественный процесс врач порекомендует консультацию онколога. Затягивание с обращением в медицинское учреждение может привести к серьезным последствиям.
Эффективные способы лечения
Чтобы избавиться от рака десны, проводятся следующие методы терапии:
При подтверждении заболевания назначается комплексное лечение, в которое входит лучевая терапия полости рта.
- Лучевая терапия. Для этого способа применяются гамма-, бета-, рентгеновское и нейтронное излучение. Пучки направляются на онкообразование и провоцируют его разрушение и гибель.
- Химиотерапия. Назначается тем пациентам, кому противопоказано хирургическое вмешательство. Применяются лекарства, воздействующие на ДНК раковых клеток, что вызывает их гибель. К таким препаратам относятся «Цисплатин», «Этопозид», «Тенипозид», «Навельбин», «Фенантриплатин», «Винорельбин».
- Антибактериальное лечение. Назначается как дополнительный метод с целью предупреждения осложнений в виде бактериального инфицирования ротовой полости на фоне сильного снижения местного иммунитета.
- Народная терапия. Проводится с согласия онколога. Рекомендуется полоскание рта травяными отварами, применение компрессов и аппликаций.
- Хирургическое вмешательство. Считается наиболее эффективным методом, при котором опухоль устраняется вместе со здоровыми тканями. При возникновении метастазов в полости рта, иссекаются пораженные костные фрагменты и лимфоузлы.
Диагностические процедуры
Для постановления точного диагноза используют такой метод, как панорамная рентгенография зубного ряда. Выявить рак десны сможет стоматолог. Лечением занимается онколог. При подозрении на онкозаболевание проводятся методы диагностики, такие как:
- панорамная рентгенография зубного ряда;
- исследование с применением контрастного вещества;
- биопсия;
- анализ крови на онкомаркеры;
- компьютерная, позитронно-эмиссионная или магнитно-резонансная томография;
- остеосцинтиграфия.












