Из этой статьи Вы узнаете:
- почему на десне появляется свищ,
- особенности лечения у взрослых,
- как лечить свищ на десне у ребенка с молочными зубами.
Статья написана хирургом-стоматологом со стажем более 19 лет.
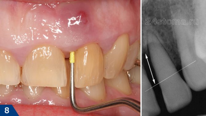
Свищ на десне – это всегда симптом гнойного воспаления, протекающего в области корня одного из зубов (рис.1-2). Чаще всего свищи образуются на фоне обострения апикального периодонтита. Это заболевание зуба чаще всего является следствием невылеченного вовремя кариеса и пульпита, и при нем у верхушки корня зуба формируется очаг хронического воспаления. Обычно такое хроническое воспаление протекает бессимптомно, но при переохлаждении или снижении иммунитета может происходить обострение – с формированием гноя в очаге воспаления.
Образование гноя в ряде случаев приводит к формированию в кости свищевого хода, который открывается на поверхности десны свищевым отверстием. Соответственно, из свищевого отверстия в полость рта будет выделяться образующийся в очаге воспаления гнойный экссудат. Как правило, свищевое отверстие располагается на десне всегда в проекции корня причинного зуба. У большинства пациентов появлению свища всегда предшествует болезненность при накусывании в одном из зубов. После формирования свищевого отверстия обычно боль сразу исчезает.
Как мы уже сказали выше – свищ на десне чаще всего является спутником очага гнойного воспаления у верхушки корня зуба. В стоматологии такое заболевание называется термином «апикальный периодонтит». Причинами его развития могут быть – 1) вовремя невылеченный кариес и пульпит, 2) некачественное пломбирование корневых каналов, 3) травма передних зубов в результате удара или падения, что чаще бывает у детей. В первых двух случаях на причинном зубе вы всегда сможете увидеть кариес, пломбу или искусственную коронку.
Если причиной стала травма – на зубе обычно можно увидеть скол, либо то, что коронковая часть зуба приобрела синюшный цвет. Но свищ может появиться не только при периодонтите зуба. Он может возникнуть, например, в результате перфорации, трещины или перелома корня зуба (допущенных стоматологом в процессе лечения корневых каналов), а также свищ может появиться при таком заболевании десен – как локализованный и генерализованный пародонтит.
При пародонтите вдоль поверхности корней зубов формируются пародонтальные карманы, из которых в периоды обострения отходит гнойное отделяемое. Если пародонтальный карман очень глубокий, то отток гноя из него может нарушаться. В этом случае в проекции пародонтального кармана между десной и корнем зуба формируется гнойник, который стоматологи называют термином «пародонтальный абсцесс». Одним из исходов пародонтального абсцесса может стать и формирование свища, через который гной будет выходить в полость рта.
Что такое свищ на десне и как он выглядит, фото?
Свищ – это патологическое отверстие (перфорация) в десне. Внешне он выглядит как выпуклое образование размером от 0,3 до 1 см в диаметре, с красной каймой и белым пятнышком посредине. Служит канал для вывода скопившегося под десной гноя.
Если вы затрудняетесь представить зубной свищ, что это такое станет ясно, если обратиться к этимологии. Его также называют фистулой («fistula»), что с латинского означает «трубка».
Диагностические методы
При появлении симптомов, характеризующих развитие свищей на десне, необходимо немедленно обратиться к стоматологу для дальнейшей диагностики и лечения. Современные методы позволяют за один прием безошибочно определить заболевание, выявить его причины и разработать план терапевтических мероприятий.
Диагностика проблемы происходит в несколько этапов:
- Первый этап диагностики, позволяющий выявить свищ на десне – визуальный осмотр врачом ротовой полости.
- Дентальная томография – обследование зубного ряда с помощью специального оборудования, действующего на основе рентгеновских лучей. Это современное научное достижение, которое открывает возможности более точной диагностики свищей на деснах, их локализации, особенностей кист и абсцессов. Не во всех случаях медики прибегают к томографии в диагностике, но при осложненных формах заболевания и поликистозе такой метод является наиболее информативным.
- В некоторых случаях показано проведение биопсии. Гнойная киста прокалывается, и врач производит забор небольшого количества кистозной жидкости для анализа, исключения или подтверждения злокачественного характера образования.
Для диагностики других заболеваний, имеющих косвенное отношение к развитию свищевых ходов, может понадобиться дополнительное обследование.
Причины
Главная причина появления свища одна – проникновение в ткани пародонта и периодонта патогенных микроорганизмов. Они приводят к воспалению, образованию экссудата и распространению гнойного содержимого, а также некротизации тканей.
А вот факторов, которые приводят к воспалению периодонта и последующему образованию фистулы, – много. Выделяют 6 основных причин и множество дополнительных провокаторов.
Кариес и пульпит
Такое простое заболевание зубов как кариес опаснее, чем кажется. Если его вовремя не вылечить, полость будет увеличиваться, пока не достигнет пульпы. Это сосудисто-нервный пучок, который питает единицу и защищает ее от патогенных микроорганизмов.

Когда нерв погибает, ничто не мешает проникать бактериям и микробам в корневую систему зуба и даже за его пределы. Так постепенно воспаление доходит от коронки до периодонта, приводит к формированию экссудата и последующему образованию свищевого хода.
Как вариант, фистула может образовываться и после некачественного лечения кариеса или пульпита. Если врач не удалил все пораженные ткани и недостаточно просанировал полость, инфекция продолжит распространяться и приведет к каналу в десне.
Периодонтит
Когда воспаление из пульповой камеры проникает в корневые каналы, а после за их верхушку (апекс), – формируется апикальный периодонтальный абсцесс или просто периодонтит.
Образованный гной поражает костные ткани, захватывая все большие площади. Под давлением он распространяется в сторону наименьшего сопротивления, формируя в надкостнице свищевой ход. Дальнейшее распространение экссудата через десну приводит к фистуле на слизистой.
Так как десневому свищу предшествует длительное воспаление, он появляется только при хронической форме периодонтита и никогда при острой.
Чаще всего патологический канал возникает при хронической гранулирующей форме (сопровождающейся разрастанием грануляций), реже – гранулематозную (с образованием кистогранулем). Для фиброзного периодонтита десневой свищ не характерен.
Киста или гранулема
Кистозные образования появляются при хроническом гранулематозном периодонтите. Это капсулы, выстланные эпителиальной тканью и заполненные гноем. Размер гранулем не превышает 0,5 см, а диаметр кист варьируется от 1 см до 5-6 см.
Кистогранулемы представляют собой своеобразные мешочки, которые удерживают экссудат внутри и не позволяют ему инфильтрировать окружающие ткани. Когда гнойник расположен близко к десне, он прорывает с формированием отверстия на слизистой.

Перфорированный корень
Перфорации появляются в результате ошибок стоматолога при прохождении и чистке каналов зуба. Если врач чрезмерно сильно давит на файл (иголку с зазубринками для обработки корневых ходов) или направляет его в неверном направлении, образуется патологическое отверстие. Оно всегда приводит к воспалению.
Стоматологи замечают перфору незамедлительно. Другое дело, что недобросовестные терапевты умалчивают о ней и не закрывают отверстие сразу. В результате развивается воспаление, которое приводит к образованию гноя и формированию свищевого хода.
Зубы с незакрытыми вовремя перфорациями сложно поддаются лечению. Обычно их приходится удалять. Так что требуйте сделать финальный снимок пролеченного зуба и расшифровать вам его: в норме эту процедуру выполняют без напоминаний.
Периостит
Периостит (в народе флюс) – это воспаление надкостницы. Он протекает остро, с выраженным отеком десен, мягких тканей лица, сильнейшей болью и ухудшением общего состояния.

Свищевое отверстие при периостите образуется чаще всего. Это заболевание характеризуется скоплением большого количества гноя, который прорывает через десну.
Пародонтит
Обычно инфекция в периодонт попадает сверху-вниз – через кариозную полость в зубе, корневые каналы и апекс. Но также возможен другой путь – через пародонтальные карманы.
Такая ситуация характерна для пациентов с хроническим воспалением десен – пародонтитом. При этом заболевании образуются глубокие десневые карманы, в которых скапливается налет и зубной камень вкупе с бактериями и микробами. По мере увеличения патогенные образования разрушают зубо-десневые связки, а отток гноя из них затрудняется. Это приводит к образованию пародонтального абсцесса. Впоследствии в его проекции появляется свищевой ход.
Заподозрить, что фистула сформировалась из-за пародонтита можно по глубоким десневым карманам и здоровому, ранее не леченному зубу в проекции свища.
Другие причины
Есть и другие провокаторы, которые реже, но все же вызывают свищ:
- онкологические заболевания верхней или нижней челюсти – в этом случае появляется множество фистул, через которые обильно выделяется гной;
- ретинированные (непрорезавшиеся) зубы мудрости;
- проникновение патологических микроорганизмов под коронку или мост при неплотном прилегании протеза;
- несоблюдение правил асептики и антисептики при удалении зубов;
- травмы – свищи по этой причине обычно возникают в детском возрасте, они формируется в проекции внешне здоровых передних зубов.
Дополнительно выделяют факторы, которые не выступают первопричиной фистулы, но могут подстегнуть развитие воспаления:
- плохая гигиена полости рта;
- неправильная окклюзия;
- завышенные контакты в результате установки пломб или протезов не по прикусу;
- отсутствие одного или нескольких зубов;
- переохлаждение или перегрев;
- стрессы, неврозы;
- переутомление;
- снижение местного или общего иммунитета;
- несбалансированное, скудное питание;
- обилие в рационе сладостей и другой высокоуглеводной пищи;
- курение.
Выявление причины свища – важный этап в определении тактики лечения. Заболевание даже классифицируют в зависимости от провоцирующего фактора. Так, по МКБ 10 выделяют:
- периапикальный абсцесс со свищем – код K04.6;
- пародонтальный абсцесс десневого происхождения со свищем – код K05.21;
- свищ полости рта в разделе «Другие и неуточнённые поражения слизистой оболочки полости рта» под кодом K13.71.
Причины развития
Свищ образовывается вследствие работы гноеродных микроорганизмов, таких как стафилококки, пневмококки и другие. Добираются они к корням зуба в результате попадания различных инфекций.
К подобным проблемам приводят следующие заболевания:
- Кариес – в запущенной форме происходит образование полостей под оболочкой зуба, где гнилостные бактерии разрушают его.
- Пульпит – если кариес не лечить, то зуб гниет до пульпы – своей сердцевины. Сквозь инфицированную пульпу патогенные микроорганизмы идут дальше и поражают костную ткань челюсти и десны вокруг.
- Периодонтит – инфицирование тканей в области зуба. Происходит это в результате развития кариеса или гайморита.
- Киста – она образуется на верхушке корня зуба по причине не долеченного пульпита или плохого пломбирования каналов. Киста представляет собой пузырь, наполненный гноем.
- Гранулема – это маленькое, диаметром до 5 мм, образование, схожее с кистой, но не имеющее оболочку. Они образуются после воспаления тканей в области зуба.
- Прорезывание зубов. Нередко диагностируется тяжелый выход зубов мудрости у взрослых и молочных у детей. Ткани рядом с ними воспаляются, получая травму от противоположного зуба. Затем происходит инфицирование вредными микроорганизмами, которые всегда есть во рту.
- Остеомиелит. После перенесенных разрезов на десне и сложного удаления зубов выходят очаги воспаления на десне, в результате чего образуется свищ.
Симптомы
Проявления свища явные, поэтому его не спутаешь с другими заболеваниями. Главный признак – патологическое отверстие в десне, через которое выделяется гнойное содержимое с примесью крови или без нее.
Среди других симптомов присутствует:
- боль, усиливающаяся при нажатии, жевании и чистке, после отхождения экссудата она стихает;
- гиперемия и отек десны возле причинного зуба;
- подвижность единицы;
- гнилостный запах изо рта;
- изменение вкусовых ощущений из-за наличия гноя во рту;
- ощущение постороннего предмета;
- общая слабость, недомогание, если свищ появился у ребенка – он будет вялым, апатичным, отказываться от игр и еды;
- подъем температуры до 37-38°C;
- отек мягкий тканей лица – изредка;
- увеличение регионарных лимфоузлов.
Уже на основании одного опроса пациента и внешнего осмотра стоматолог определяет свищ. Дополнительную диагностику проводят для выявления фактора, который вызвал фистулу: от этого аспекта зависит тактика лечения.
Возможные осложнения
Невылеченный или запущенный свищ опасен своими осложнениями:
- Самым распространенным осложнением является потеря зуба.
- Больной зуб может инфицировать и другие через надкостницу. Возможна потеря нескольких зубов и, подвергшаяся дегенеративным изменениям, надкостница может быть удалена частично хирургическим путем.
- Большое скопление гноя поражает ткани лица, которые тоже приходится удалять оперативным путем.
Остальные последствия не проведенного лечения были описаны в разделе лечения.
Свищи после имплантации зубов
Фистулы после установки имплантатов встречаются редко. Но такие ситуации крайне опасны: вживленный искусственный корень придется убирать, а риск заражения костной ткани и поражения соседних зубов очень высок.
Свищи после имплантации обычно появляются из-за ошибок стоматолога. Среди них:
- некачественный имплантат;
- выбор неправильного изделия: неподходящей формы или длины;
- неучтенные аллергии у больного;
- неправильная установка;
- недостаточная санация ложа под искусственный корень;
- не выявленные и не пролеченные воспалительные процессы в месте установки или соседних единицах.
Свищи после имплантации появляются чаще всего по причине ошибок врача
Реже фистулы после установки имплантов появляются по вине пациента: из-за несоблюдения послеоперационных рекомендаций, недостаточной гигиены или чрезмерной нагрузки на конструкцию.
Народные средства
В стоматологической практике при лечении любых заболеваний народные средства можно использовать только в дополнение к лекарственной терапии. В устранении зубного свища тем более народная медицина не эффективна. Народная медицина может усилить эффективность лекарственных препаратов и процедур, содействовать устранению симптомов и ускорить восстановление в реабилитационный период.
В народной медицине часто используются антисептические свойства настоя цветков ромашки. Готовят антибактериальный настой для полоскания рта. Похожими свойствами обладает календула и кора дуба. Для быстрого заживления и регенерации пораженных тканей используют сок алоэ древовидного.
Использовать дополнительные народные средства для улучшения состояния и устранения симптомов можно только по согласованию с лечащим врачом. В народной медицине нередко встречаются рекомендации, противоречащие науке и способные только усугубить ситуацию. Народные методы не смогут заменить эффективную эндодонтическую терапию и хирургическое вмешательство.
Ни в коем случае не следует пытаться самостоятельно вскрыть абсцесс – при неправильном подходе инфицируются здоровые ткани. Болезнетворные микроорганизмы, проникнув в кровь, могут спровоцировать сепсис, из-за чего жизнь человека окажется под угрозой.
Свищ на десне на зубе под коронкой, фото
Фистулы в проекции зубов с установленными коронками не редкость. Дело в том, что в большинстве случаев перед установкой протеза реализуют эндодонтическое лечение каналов: удаляют пульпу, обрабатывают корневые ходы механически и медикаментозно, и пломбируют их.
Лечение фистул в проекции зубов под коронками осложняется наличием протеза. Здесь есть 2 варианта:
- Провести лечение ретроградным путем. В этом случае протез не трогают, а доступ к абсцессу получают через разрез на десне. После гнойник выскабливают различными хирургическими способами: проводят цистэктомию, цистотомию, резекцию, ампутацию и пр. В дополнение реализуют ретроградное пломбирование корневых каналов и противовоспалительную терапию. Этот метод подходит, если корневые каналы некачественно пролечены только на верхушках.
- Реализовать консервативную терапию стандартным путем – через корневые каналы. В этом случает приходится убирать коронку, а после изготавливать и устанавливать новую. Это не только увеличивает стоимость процедуры, но и осложняет работу врача техническими нюансами: при снятии протеза нередко повреждается наддесневая или корневая часть зуба, особенно если в нем установлен штифт или культевая вкладка.
Свищи под коронками лучше лечить в частных, хорошо оборудованных клиниках. В бюджетных стоматологиях с такими зубами не любят заморачиваться, и часто просто удаляют их. Но даже при желании врача не всегда удается спасти больную единицу из-за недостатка опыта, квалификации и, главное, из-за отсутствия нужной аппаратуры.
Терапевтические методы
Чтобы определить, как лечить свищ на десне, стоматолог на этапе диагностики определяет состояние пациента и подбирает подходящие терапевтические методы в индивидуальном порядке. Лечение может быть эндодонтическим, хирургическим и консервативным. Однако, в стоматологической практике, как правило, комбинируют эти три типа терапевтических мероприятий.
В большинстве случаев без вскрытия гнойного мешка не удается решить проблему свища десны, а без медикаментозной поддержки и реабилитационных процедур не получится устранить возбудителя инфекции и восстановить пораженный участок. Рассмотрим особенности этих типов лечения.
Эндодонтические мероприятия
После диагностики и введения анестезирующего препарата стоматолог устраняет причину возникновения перфорационного канала – абсцесс. Для этого производится полное очищение пораженных кариесом тканей зуба, удаление некротизированой пульпы и содержимого гнойной кисты.
В некоторых случаях, чтобы вылечить свищ на десне, показано удаление зуба. После всех манипуляций врач обрабатывает корневые каналы антисептическими растворами и оставляет для дальнейшего лечения.
Консервативные методы
После чистки корневых каналов пациенту показан прием антибиотиков для устранения инфекции, а также применение местных антисептических и противовоспалительных средств, полоскание ротовой полости. Устранив воспаление и сохранив зуб, стоматолог устанавливает пломбу и назначает реабилитационные процедуры – лазерное и ультразвуковое лечение свищевых ходов, озонотерапию, витамины для восстановления, мази и гели для заживления.
Хирургическое вмешательство
В случае серьезного поражения периодонта, воспалительного процесса, затрагивающего костную ткань или поликистоза, показано хирургическое вмешательство. После диагностических процедур и предварительных подготовительных мероприятий производится резекция тканей, чистка кист, удаление образовавшейся грануляции, обработка антисептическими средствами и наложение швов.
В реабилитационный период показано лечение в стационаре отделения челюстно-лицевой хирурги, прием антибиотиков и местная обработка послеоперационной раны. После снятия швов и окончания курса антибиотиков, врач принимает решение о дальнейшем консервативном лечении больного.
Свищ на десне, чем опасен и какое лечение?
Фистула сама по себе не таит опасности. Наоборот, она выполняет защитную роль: выводит гной из глубоких тканей челюсти и, тем самым, уменьшает площадь поражения.
Другое дело, что свищевое отверстие не появляется просто так. Это признак обширного гнойного воспаления. Такого, что не умещается в ограниченном пространстве челюсти и приводит к деструкции кости. Если проигнорировать поражение на этапе образования фистулы, состояние грозит:
- распространением воспаления на надкостницу и находящиеся вблизи костные структуры;
- расшатыванием зубов и адентией (утратой единиц) – как причинных, так и расположенных рядом;
- деструктивными изменениями в челюсти;
- проникновением гноя в близлежащие структуры (гайморовы пазухи, внутреннее ухо, мозг), а также системный крово- и лимфоток (сепсис).
Сепсис – наиболее опасное осложнение свища. Попав в лимфо- и кровоток, гной, продукты распада и токсины распространяются по всему организму и поражают внутренние органы. Больше всего страдают пищеварительная и сердечно-сосудистая системы: высок риск развития печеночной и сердечной недостаточности, инфаркта, инсульта, миокардита и пр.
Свищ лечат комплексно, одновременно прибегая к 4 методам:
- хирургическим;
- эндодонтическим;
- медикаментозным;
- физикальным.
Свищ опасен тем, что инфекция быстро распространяется внутрь тканей Способы терапии несколько отличаются в каждом конкретном случае. Но есть общая схема лечения:
- Экстренная помощь. Обеспечивают отток экссудата посредством установки дренажа через разрез в десне.
- Эндодонтическая терапия. Обрабатывают каналы механически и медикаментозно, обтурируют их (пломбируют).
- Вспомогательные медикаментозные и физиотерапевтические назначения. Используют для снятия симптомов, обеззараживания и ускорения регенерации.
- Хирургические методы. Применяют по показаниям при обширных поражениях. Это могут быть манипуляции по эвакуации гноя (дренирование), зубосохраняющие операции (резекция, гимесекция, ампутация, короно-радикулярная сепарация, цистэктомия, цистотомия), особые процедуры, которые проводят только при пародонтите (открытый и закрытый кюретаж).
Только используя совокупность всех методов можно избавиться от гноя, убрать воспаление, сохранить зуб и обеспечить восстановление тканей.
Как лечить в домашних условиях?
Дома самостоятельно полностью вылечить свищ невозможно. Можно остановить воспаление, снять боль, но окончательно излечиться можно только комплексным воздействием на весь организм.
До посещения врача можно принимать следующие лекарственные препараты:
- Антибиотики в таблетках широкого диапазона воздействия – Амоксициллин, Пенициллин, они убивают патогенные организмы.
- Антигистаминные средства – Супрастинекс, Кларитин, чтобы унять зуд и убрать отечность.
- Полоскания рта растворами противомикробных средств – Ротокан, Миромистин, они обеззараживают рот, помогают снять отеки и остановить воспаление.
- Гели – Метрогил Дента, Солкосерил, нужны для обработки пораженной области, снимают воспаление и боль, убивают вредные микроорганизмы.
В домашних условиях можно воспользоваться народными рецептами:
- Ромашка аптечная. На 2 ложки цветков потребуется стакан кипятка, раствор настоять в закрытой посуде минут 30 и дать остыть до теплого состояния. Через каждые пару часов выполнять полоскание до снятия выраженных симптомов.
- Грецкий орех. Требуется взять несколько незрелых орехов и мелко их изрубить. Нарубленный орех прокипятить в воде и дать остыть. Затем залить все растительным маслом и поставить для настаивания на 10-12 дней. Затем смесь подержать на паровой бане часа 3 и дать остыть, процедить и добавить к нему воск натуральный. Полученной мазью смазывать десна каждый день.
- Зверобой. Сделать отвар из 10 г травы и ½ стакана воды. Дать траве настояться, процедить и влить немного меда, чтобы снизить горечь. Проводить ополаскивания по 3 раза в день.
- Прополис. Аптечную настойку прополиса можно применять для полоскания полости рта, делая из него растворы. Чистый прополис обеззараживает полость рта, кусочек его требуется положить под язык или рассасывать.
- Эвкалипт. Из его листьев готовится мазь: их измельчить и влить масло, через сутки добавить мелко нарезанный лук, все брать в равных объемах. Немного массы завернуть в стерильный бинт и приложить к пораженной десне. Это средство хорошо вытягивает гной и заживляет свищевой канал.
Это важно: Можно ли проколоть гнойный мешочек самому? Врачи категорически запрещают это делать, потому что инфекция может распространиться на соседние зубы и ткани.
Если свищ сам прорвался, то необходимо также обратиться к стоматологу и пройти антибактериальное лечение. В противном случае может развиться сепсис, который опасен летальным исходом.
Если свищ лопнул, постоянное попадание продуктов гниения в ЖКТ приводит к развитию панкреатита, воспалению желчного пузыря и его протоков. Опасно попадание гноя в органы пищеварения развитием гастроэнтероколита с рвотой и поносом.
Обзор консервативных методов лечения
Консервативную терапию применяют, когда зуб, который стал первоисточником инфекции, можно спасти. Это наиболее объемный и продолжительный этап лечения фистулы. Он направлен на:
- устранение гноя;
- ликвидацию воспаления;
- восстановление причинного зуба и сохранение соседних единиц по необходимости;
- стимуляцию регенеративных процессов.
Консервативное лечение включает 3 разноплановых тактики: эндодонтическую, медикаментозную и физиотерапевтическую. Они применяются в совокупности и дополняют друг друга.
Эндодонтическая терапия
Эндодонтическая терапия заключается в удалении пульпы, прохождении и чистке корневых каналов, их обтурации. Нюансы ее выполнения отличаются в зависимости от исходной картины:
- чем вызван свищ – кариесом, пульпитом, периодонтитом, некачественным пломбированием каналов, перфорацией;
- размера очага воспаления и его особенностей: есть ли кисты и грануляции и пр.;
- степени разрушения наддесневой части зуба – в зависимости от объемов поражения ее восстанавливают пломбой, с помощью штифта или искусственной коронки с культевой вкладкой.
Консервативное лечение включает 3 этапа: эндодонтический, медикаментозный и физиотерапевтический Общая стратегия эндодонтического лечения включает:
- Препарирование полости зуба и обеспечение доступа к пульповой камере. Если ранее были установлены пломбы, штифты или коронки – их извлекают. При наличии только кариозной полости убирают пораженные эмаль и дентин. Снимают стоматологическим бором нежизнеспособные ткани и нависающие края, обнажают пульповую камеру.
- Раскрытие каналов. Если свищ вызван пульпитом, вначале вскрывают пульповую камеру, обеспечивают доступ к нерву и удаляют его. Если же фистула появилась на фоне ранее плохо обтурированных каналов в «мертвом» зубе, их раскрывают и убирают из них пломбировочные материалы: силеры (пасты) и филлеры (наполнители типа гуттаперчи). Чтобы облегчить задачу, используют препараты, предназначенные для размягчения искусственных материалов. На этом этапе важно пройти каналы до физиологической верхушки – апикального отверстия. Чтобы узнать их точную длину, прибегают к рентгену с контрастом (делают снимки с введенными файлами) или используют специальный измерительный прибор – апекслокатор.
- Прохождение и обработка каналов. После удаления пульпы или раскрытия корневых отверстий перед стоматологом стоит 2 задачи: расширить каналы и придать им конусообразную форму, необходимую для пломбирования; обеспечить хорошую санацию. Для механической обработки используют эндодонтические моторы и ручные файлы, а для медикаментозной – антисептики типа хлоргексидина, перекиси водорода и пр.
- Ликвидация очагов воспаления. Вначале каналы оставляют открытыми на несколько дней и назначают полоскания антисептическими растворами. Такая тактика поможет эвакуировать гной из периодонта через корневые отверстия. Затем, после оттока экссудата, прибегают к временному пломбированию препаратом с антибактериальными и репаративными свойствами – силером на основе гидроокиси кальция. Обтурирование применяют на срок 4-12 недель, и, по необходимости, повторяют 1-3 раза.
- Постоянная обтурация корневых каналов гуттаперчевыми штифтами. На этой стадии важно плотно, наглухо запломбировать отверстия, без недопломбированных участков или вывода материала за апекс. Иначе со временем воспаление разовьется вновь. Качество пломбирования проверяют с помощью рентгеновских снимков.
- Восстановление наддесневой части. При разрушениях до ½ применяют светоотверждаемые пломбы, до 2/3 – пломбы на штифте или искусственные коронки, свыше 2/3 – коронки на культевых вкладках.
Успех эндодонтической терапии зависит не только от квалификации стоматолога, но, в большей степени, от наличия современного оборудования. Больше шансов на положительный результат, если в стоматологии используют дентальные микроскопы, эндодонтические моторы, прицельные визиографы и системы обтурации каналов горячей гуттаперчей.
Параллельно с эндодонтическим лечением назначают медикаменты, направленные на ликвидацию инфекции, обеззараживание и стимуляцию регенеративных процессов.
Антибиотики
Антибиотики нужны, чтобы устранить патогенные микроорганизмы, вызвавшие воспаление. Обычно применение растворов и инъекций местно не дает результатов, поэтому предпочитают назначать препараты широкого спектра действия внутрь.
Чаще других выписывают:
- «Ципрофлоксацин»;
- «Линкомицин»;
- «Амоксициллин»;
- «Аугментин»;
- «Ципролет»;
- «Офлоксацин»;
- «Амоксиклав»;
- «Флемоксаб солютаб»;
- «Сумамед»;
- «Метронидазол».
«Амоксициллин» или «Аугментин» предпочтительнее, если гнойник развился на фоне простуды или переохлаждения. Из других антибиотиков лучшими являются «Ципрофлоксацин» и «Линкомицин». Второй продуктивнее, т.к. способен накапливаться в надкостнице. «Метронидазол» сам по себе почти не применяют: его назначают в дополнение к другим медикаментам, чтобы усилить их эффект.
Мази и гели
Препараты для наружной обработки помогают вытянуть гной, обеззаразить рану, снять боль и заживить свищ. Предпочтительнее средства в форме геля: они хорошо удерживаются на десне. А вот мази быстро смываются слюной, а их жирная основа не дает активным веществам проникнуть внутрь слизистой.
Выделяют 2 основных типа гелей: противобактериальные и обезболивающие. Первые будут вытягивать гной, уничтожать микробы и бактерии, снимать воспаление. Наиболее эффективно справятся с задачами:
- «Метрогил Дента»;
- гентамициновая мазь;
- «Левомеколь»;
- мазь Вишневского;
- бальзам «Асепта».
Ниже перечислены лучшие препараты для наружного применения с выраженными обезболивающим и противовоспалительным действиями. Медикаменты сделаны на основе распространенных анальгетиков – лидокаина, бензокаина и пр. Некоторые из них также обладают слабыми антибактериальными и антисептическими свойствами.
Это:
- «Холисал»;
- «Калгель»;
- «Дентол»;
- «Дентинокс».
После снятия боли и оттока экссудата рационально назначить ранозаживляющее средство. Обычно выписывают «Солкосерил».
Противовоспалительные и обезболивающие
В первые дни лечения фистула сопровождается нестерпимыми, рвущими, дергающими болями. Чтобы их унять, выписывают нестероидные противовоспалительные средства (НПВС). Их назначают как в таблетках для приема внутрь, так и в форме гелей для наружной обработки:
- «Кетонал»;
- «Ибупрофен»;
- «Найз»;
- «Аркоксия»;
- «Напроксен»;
- «Кеторол»;
- «Кетопрофен».
Для облегчения боли врачи выписывают нестероидные противовоспалительные препараты
Антигистаминные
Противоаллергические средства применяют в комплексной медикаментозной терапии гнойников для снятия отечности и устранения негативного воздействия токсинов. Чаще всего назначают:
- «Кларитин»;
- «Тавегил»;
- «Супрастин».
Чем полоскать?
Полоскания показаны в первый период лечения, когда эвакуируют гной через разрез на десне или раскрытые корневые каналы. Но их можно применять и в последующие периоды: такие процедуры обеззараживают рану и помогают ее заживлению.
Лучшие антисептические растворы:
- хлоргексидин.
- фурацилин;
- «Мирамистин»;
- «Стоматофит»;
- «Хлорофиллипт»;
- «Бетадин».
Из народных средств подойдут полоскания содо-солевым раствором и кипяченной водой с добавлением эфирных масел: гвоздики, эвкалипта, шалфея.
Отвары трав и народные рецепты можно использовать только с разрешения врача
Физикальные методы
Физиотерапевтические процедуры назначают в дополнение к эндодонтической и медикаментозной терапии. Такие манипуляции в разы повышают шансы на успешное лечение и ускоряют выздоровление. Они снимают воспаление, обеззараживают очаг инфицирования и стимулируют репативные процессы.
При фистуле не десне применяют:
- лазеро-, магнито- и ультразвуковую терапию;
- ультрафонофорез;
- флюктуоризацию;
- дарсонвализацию;
- магнитотерапию;
- электрофорез;
- коагуляцию;
- ультра- и сверхвысокочастотную терапию (УВЧ и СВЧ).
Лекарственные средства
Как убрать свищ с помощью медицинских препаратов? Если процесс поражения тканей зашел слишком далеко, стоматолог выпишет антибиотики в виде в/м инъекций или таблеток.
Важно! Нельзя самостоятельно лечить свищ антибиотиками, потому что вы не знаете природу поразивших ткани бактерий.
Чаще всего стоматолог назначает Гентамицин или его производные. В иных случаях могут быть назначены следующие препараты:
- Доксициклин;
- Амоксициллин;
- Амоксиклав;
- иные препараты.
Стоит отметить, что любой медицинский препарат оказывает побочное воздействие на организм, поэтому стоматолог назначает лекарство с учетом состояния здоровья пациента.
После устранения источника инфекции проводят курс по восстановлению целостности пораженных тканей. Иногда врач назначает лазерную терапию, если существует угроза кровотечения — лазерный луч прижигает раневую поверхность.
Распространенным и безболезненным методом восстановления слизистой является ультразвуковое воздействие. После обработки тканей ультразвуковым излучением регенеративные процессы проходят во много раз быстрее.
Стоматолог выписывает средства, помогающие закрытию образовавшегося канала. К ним относится Бетадин и Хлоргексидин. Помочь регенеративным процессам сможет и обычный солевой раствор.
Обратите внимание! Чтобы не ранить пораженную поверхность десны, рекомендуется применять щетки с мягкой щетиной.
Чтобы ранка скорее затянулась, применяют гели/мази — Метрогил Дента, Асепа, Солкосерил и иные. Если одолевает сильная боль, смазывайте десны обезболивающими гелями.
Хирургическое лечение
При фистуле на десне возможны 3 вида оперативных вмешательств:
- неотложная помощь: гнойник вскрывают и дренируют экссудат через отверстие на десне;
- зубосохраняющие операции: резекция верхушки корня, ампутация, гимесекция, короно-радикулярная сепарация, реплантация, манипуляции по удалению кист (цистотомия, цистэктомия);
- радикальные вмешательства: удаление зубов, челюстно-лицевые операции различной сложности, etc.
При лечении врач будет пытаться сохранить зуб Неотложную помощь при образовании свищевого хода применяют всегда. К зубосохраняющим операциям прибегают, если один или несколько корней единицы сильно повреждены и не подлежат эндодонтическому лечению.
А радикальные вмешательства используют, когда невозможно сохранить зубы, а воспаление перешло в тяжелое осложнение с вовлечением большой площади костных и мягких тканей: периостит, флегмону, остеомиелит, гайморит и пр.
Виды
Выделяют всего две формы свища – наружный и внутренний. Наружный расположен с внешней стороны десны, обнаружить его легко самостоятельно. Внутренний визуально не увидеть, обнаружить его можно только на рентгеновском снимке.
До образования свищевой трубки воспаленный очаг трудно обнаружить, потому что воспаление с гнойным содержимым находится внутри десны у корня зуба. Чаще обращайте внимание на состояние десен, ведь воспаление можно почувствовать по болевым ощущениям в зубах.
Особенности лечения свища при пародонтите
Описанные выше консервативные и хирургические тактики лечения подходят, когда свищ на десне у взрослого вызван очагом инфекции, расположенном в периодонте. Если же воспаление развилось из пародонтальных карманов при пародонтите, терапевтическая стратегия будет другая.
Лечение свища, вызванного пародонтитом, включает 4 основных стадии:
- Экстренную помощь. Как и при периодонтальном свище, заключается в создании условий для оттока гноя посредством дренирования. Иссечение выполняют вдоль поверхности корня либо через разрез в десне в проекции дна десневого кармана. После постановки дренажа назначают полоскания антисептическими растворами и прием антибиотиков.
- Устранение провоцирующих факторов. При локализированном пародонтите (базирующемуся в районе 1-3 зубов) нужно нормализовать окклюзионные контакты путем препарирования нависающих краев, сошлифовывания пломб, перепротезирования. При генерализованной стадии (затрагивающей одну или обе челюсти) важно удалить налет и зубной камень. Выполняют это с помощью специальных аппаратов (ультразвукового скейлера и системы Vector) либо операций открытого или закрытого кюретажа.
- Противовоспалительную терапию. Заключается в:
- антисептических полосканиях – хлоргексидином, «Мирамистином» и подобными растворами;
- приеме антибиотиков – назначают препараты широкого спектра действия либо подбирают узконаправленные лекарства по результатам бактериологического исследования;
- аппликациях на десны противовоспалительных, обезболивающих и антибактериальных гелей – «Холисала», «Метрогил Дента» и пр.
- Восстановление костных и мягких тканей. Подсаживают искусственные или натуральные трансплантаты для регенерации собственных структур. Это важно, т.к. при пародонтите сильно разрушаются связки, а самостоятельно восстановить их организм не способен.
В частых случаях в ходе лечения пульпу удаляют После устранения воспаления проводят манипуляции по восстановлению жевательной эффективности. Это могут быть:
- вмешательства при подвижности единиц: шинирование, протезирование;
- лечение очагов инфекции: кариеса, пульпита;
- протезирование отсутствующих фрагментов.
Также, если глубина пародонтальных карманов достигает 1/2 длины корня зуба, показано депульпирование.
Какими дополнительными симптомами проявляется проблема
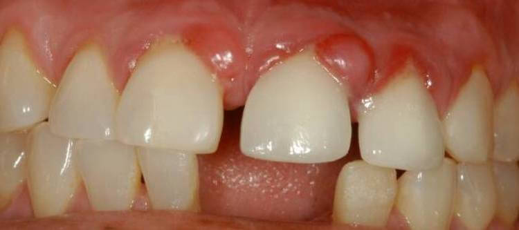
Как выглядит свищ на десне у взрослого? Это небольшое образование округлой формы, красноватого или белесого оттенка, напоминающее прыщ или «шишку» с отверстием в центре или без него (в фазе созревания). Сопутствующие признаки при этом будут следующими:
- слизистая оболочка в области пораженного зуба краснеет, отекает,
- прикосновение к воспалительному участку приводит к болевым ощущениям. Иногда боль носит разлитой характер, и пациент не может точно определить, в каком месте она сосредоточена,
- из-за постоянного выделения гноя появляется гнилостный запах из полости рта,
- изменяются вкусовые ощущения, еда становится неприятной (по той же причине попадания гноя в полость рта и желудочно-кишечный тракт),
- зуб может приобретать подвижность.
На заметку! Образование свища на десне может сопровождаться появлением общей слабости и недомогания. Сопутствующими признаками будут вялость, удержание температуры в пределах 37˚-38˚С. Отечности и увеличения в объеме щеки, как правило, не наблюдается, однако увеличиться могут лимфоузлы, расположенные на стороне поражения.
Частые вопросы пациентов
Что такое свищевой ход на десне, фото?
Ответ на вопрос, что такое свищ в зубе, прост. Это своеобразный канал, служащий для вывода гноя из инфекционного образования в челюсти. При осмотре в зеркале или на фото он выглядит как прыщ или чирей (фурункул): на десне появляется выпуклое округлое образование с красной каймой и белой точкой внутри (отверстием), через которую вытекает экссудат.
Может ли свищ пройти сам?
Иногда после отхождения гнойных масс из очага воспаления фистула закрывается сама, а на ее месте формируется рубец. Но это лишь временная мера. Инфекция все еще остается внутри, она будет провоцировать повторное скопление экссудата и поражать все большую площадь. Через время, когда накопится много гноя, десневой свищ появится вновь.
Такие рецидивирующие фистулы наиболее тяжело поддаются лечению. Они – признак затяжной инфекции с обширной площадью поражения. Нередко, даже если врач предпринимает все необходимые меры, каналы возникают вновь.
Поэтому лучше устранить только что образовавшийся свищ сразу в клинике, чем дожидаться его трансформации в хроническую, трудноизлечимую форму.
Лечение свища на десне в домашних условиях, возможно?
Ни один домашний способ или народный метод не поможет избавиться от фистулы. Помните, что это не самостоятельное заболевание, а признак внутреннего обширного гнойного воспаления. Поэтому вылечиться можно, только проведя ряд консервативных и хирургических манипуляций в клинике. А прибегание к нетрадиционной медицине лишь ухудшит ваше состояние и приведет к серьезным осложнениям.
Еще опаснее предпринимать что-либо самостоятельно для того, чтобы вскрыть свищ. Греть, прокалывать или выдавливать гнойник строго запрещено: это приведет к разлитому гнойному воспалению и сепсису – такие состояния грозят смертью.
Единственное, что можно отнести к условно-домашним методам, – использование медикаментов, назначенных врачом. Это могут быть полоскания, аппликация, прием таблеток и пр.
Также при возникновении свища и сильных болях можно принимать НПВС и анальгетики для снятия боли и облегчения состояния до визита к врачу.
Свищ на десне при беременности, лечить или не лечить?
Будущие матери опасаются идти в клинику, аргументируя позицию тем, что во время беременности нельзя проводить операции или принимать лекарства.
Свищ на десне во время беременности нужно лечить обязательно, так как осложнения могут негативно сказаться на развитии плода
Действительно, любые вмешательства нежелательны при вынашивании плода. Но, так как при фистуле присутствует воспаление, откладывание лечения угрожает ребенку больше, чем его проведение. Гной вместе с продуктами распада и токсинами поступает к малышу. Сказывается на здоровье крохи и постоянные боли и стрессы, которые испытывает женщина.
Поэтому у беременных обязательно устраняют фистулу и ее причину. Будущим матерям применяют разрешенные в пренатальный и перинатальный периоды развития плода анестезии, антибиотики, обезболивающие и другие необходимые препараты. Также во время лечения обязательны регулярные наблюдения и консультации у гинеколога-акушера.
Если же беременность сложная, можно провести только неотложное вмешательство, а полное лечение отложить на послеродовой период.
Сколько развивается свищ?
Непосредственно фистула «вызревает» на десне и прорывает за считанные часы, максимум – пару дней. Но стоит учитывать, что ей предшествует затяжное воспаление.
С момента инфицирования окружающих зуб тканей до прорыва гнойника через десну проходят месяцы, а то и годы. Свищ – это всегда результат длительного игнорирования воспаления, болей и отказ от лечения заболеваний ротовой полости.
Профилактические меры
Лечение свища довольно трудное и болезненное, поэтому его появление лучше предотвратить.
Специалисты разработали необходимые профилактические меры для этого:
- Принимать меры для предотвращения кариеса.
- Тщательно чистить зубы утром и на ночь.
- Удалять зубные камни.
- Питаться в правильном режиме.
- Ходить на прием к стоматологу 2 раза в год.
Обобщением ко всему сказанному является правильный и мудрый совет: следует вести здоровый образ жизни и следить за состоянием полости рта.
Чтобы избавиться от свища раз и навсегда, требуется устранить причину его появления. А это невозможно сделать без помощи специалиста. Поэтому не стоит затягивать визит к врачу, без его помощи свищ сам не пройдет.
Неудачно запломбированные каналы
В стоматологической практике необходимость вскрытия и последующего пломбирования каналов возникает при:
Грустная статистика говорит, что почти в 70% случаев пломбировка каналов происходит не самым надлежащим образом. Стоматолог производит эту процедуру практически вслепую, часто прочищая корень и пломбируя его не на всю длину. Бывает, что запломбированный канал недостаточно заполнен материалом, в котором со временем образуются полости – места скопления бактерий. Как следствие одного и второго — воспаление верхушки корня.
Из-за отсутствия нерва пациент не сразу почувствует боль. И только когда инфекция распространится на окружающие ткани, вызывая воспаление, мы начинаем бить тревогу.
Опытный врач всегда перестрахуется и сделает снимок запломбированных каналов. Он отчетливо покажет качество проведенной процедуры.
Последствия некачественного лечения устранять будет намного сложнее, чем не допустить. Врачу придется повторно раскрывать каналы, расширять, чистить их, проводя медикаментозное лечение зуба. Такое лечение может затянуться на месяцы. В сложных случаях даже проводят оперативное вмешательство, направленное на удаление верхушки корня как источника воспаления.
Когда необходима реабилитация в клинике после лечения
Реабилитация в клинике понадобится для тех пациентов, которые запустили заболевания зубов и при этом лечили свищ. Обычно хирургическое лечение довольно травматичное, разрез на десне глубокий и заживает длительно время. Для того, чтобы ускорить терапию, пациентам могут назначить лазерное лечение. Сеансы лазерной терапии в стоматологии необходимо проходить в медицинском учреждении – доктор распишет пациенту график, по которому ему необходимо посещать процедуру. С применением лазера десна вылеченного зуба заживает намного быстрее.
Вывод
Если у человека нагноилась десна и сформировалась фистула, не стоит тянуть с визитом к врачу. Своевременно оказанная терапия поможет избежать осложнений, которые могут появиться в результате воспалительного процесса.
Характерные симптомы свища
Если при осмотре ротовой полости был обнаружен открытый свищевой ход из десны, то это свидетельствует о сформированном свище. Этот канал является связующим звеном между абсцессом и полостью рта.
Появление свища сопровождается характерной симптоматикой:
- жалобы на зубную боль разной степени интенсивности;
- болевой синдром усиливается во время надкусывания, при пальпации поражённой области;
- расшатанность причинного зуба;
- близлежащие участки со свищом характеризуются болезненностью, покраснением, воспалением;
- свищевой канал выделяет гнойное содержимое;
- возможно повышение температуры от 37,5 С.
Вся симптоматика носит обострённый характер, пока свищ находится в стадии созревания. Как только нагноение начнёт выходить на поверхность, отмечается тенденция к снижению пульсирующей боли.
Свищ на зубе выявляется при визуальном осмотре. Чтобы оценить состояние процесса, понять до какой глубины дошло поражение, определить интенсивность заболевания – врач назначает проведение рентгенологического исследования.
Способы лечения
Стоит сразу отметить, что лечение свища на деснах – процесс довольно сложный и требует комплексного подхода, консультации стоматолога и его вмешательства.
Стоматолог может вскрыть проблемную зону, поставить туда дренаж для оттока гноя и т.д. Если лечению мешают установленные коронки, пломбы, импланты и т.п., то врач может их удалить.
Антибиотики
Как уже было замечено, лечение свища антибиотиками, это вспомогательная мера, основными же считаются стоматологические операции.
Однако, правильно подобранный курс антибиотиков способен эффективно поспособствовать процессу лечения. В этом случае антибиотики могут приниматься как в форме таблеток, так и путем инъекций.
Народными методы
Такой способ может использоваться для ограничения распространения инфекции, облегчения болей в пораженной области, однако народные методы стоит применять только после консультации с врачом и параллельно с назначенными им мерами.
Поскольку в природе есть множество трав, действие которых соотносимо с действиями антибиотиков, то их уместно использовать в этом случае.
- Отлично в этом случае подойдут отвары из эвкалипта, тысячелетника, календулы. Ими нужно полоскать рот в пораженной области несколько раз в день в течении 4-5 минут;
- Для обеззараживания зоны со свищем на десне можно полоскать рот настойкой прополиса на спирту. Для этого 25-30 капель настойки надо влить в 150 грамм кипяченой воды.
Свищ за ухом
Свищ за ухом (ушной раковиной) чаще всего возникает врожденно и внутриутробно в результате дефектного формирования рудимента жаберных дуг или непосредственно хрящевой ткани уха. Под воздействием некоторых факторов такой свищ может периодически воспаляться, приобретая хроническую форму.
Стандартная локация ушного свища – область хрящевого выступа возле основания раковины уха. Диаметр канала и его глубина могут быть разными, тогда как форма практически всегда извилистая. Учитывая, что это больше косметический деффект, больной узнает о наличии свища только после его закупорки и появления типичных признаков болезни. При постоянном выделении гноя и секрета проход постепенно сужается, и как только внешний выход блокируется, внутри начинается воспалительный процесс.
С момента появления боли возникают подозрения и пристальный осмотр будущего пациента в домашних условиях. Доктор осуществляет отток гноя при помощи небольшого надреза воспаленного участка, но это не решает проблему в корне. Полноценный метод оперирования и очистки назначают после обследования, как правило, это гальванокаустика или полное иссечение. Все зависит от глубины и диаметра канала, а также степени запущенности воспаления.
Учитывая локацию, часто возникают сложности, потому что ушной свищ располагается близко к стволу и ветвям лицевого нерва. Коме хирургии, медики назначат прием лекарств и процедуры, способствующие быстрому заживлению и рубцеванию поврежденных тканей.
Методы для профилактики воспаления существующего свища пока не выявлены, но у детей редко возникают болевые ощущения, и свищ довольно редко выявляется именно в этот период.
Профилактика
Зубной свищ – это заболевание, которое можно легко предотвратить, соблюдая профилактические правила и осуществляя полноценный уход за полостью рта. Для этого необходимо:
- Регулярно заботиться о поддержании должного гигиенического состояния ротовой полости. Чистить зубы дважды в сутки правильно подобранной пастой и щеткой, периодически снимать отложения камня, использовать зубную нить.
- Проходить профилактические осмотры у стоматолога каждые 6 месяцев. Это позволит выявлять патологии на ранних стадиях.
- Своевременно лечить кариес и другие проблемы ротовой полости.
- Позаботиться о полноценном сбалансированном питании, исключить вредные продукты и напитки.
- Вести здоровый образ жизни, отказаться от курения.
Состояние зубов и ротовой полости влияет на функционирование других органов и систем. Если во рту присутствует очаг инфекции, и патогенные микроорганизмы будут распространяться, могут развиваться другие опасные заболевания. Поэтому не стоит откладывать терапию болезней зубов – это важно для здоровья всего организма, особенно органов пищеварительной системы. Лечение, начатое на начальных стадиях развития любой стоматологической болезни, практически всегда дает положительные результаты и отнимает меньше времени.
Перфорированный корень
Очередная ошибка стоматолога, приводящая к появлению свища. В ряде случаев в процессе работы доктор нарушает целостность стенки корня зуба. Если в самом скором времени эту ошибку не исправить, то в отверстиях корня поселяется инфекция, вызревает и пациент получает все тот же свищ с обширным воспалением.
Опасен такой свищ тем, что может выйти не только к десне, но и поразить надкостницу зуба. В такой ситуации лечение требует не только похода к стоматологу, но и назначения комплексной лечебной терапии с применением лекарственных антибактериальных препаратов, смесей для полоскания и физ. процедур.
Классификация
Эта патология изучается в медицине уже очень давно. Создана обширная система классификации, которая помогает точно диагностировать и более эффективно лечить свищи. Ведь выбор методов терапии сильно зависит от их разновидностей.
При диагностике прежде всего определяют этиологию патологии. Различают врожденные, приобретенные и искусственно созданные кишечные свищи. Некоторые врожденные аномалии развития кишечника могут привести к обнаружению свища сразу после рождения ребенка. Такое бывает примерно в 2% случаев. В основном же патология является приобретенной в течение жизни. Половина случаев приходится на осложнения после хирургического вмешательства, остальные возникают из-за некроза стенок кишок. Различают еще искусственно созданные свищи, которые нужны для устранения непроходимости кишечника или для обеспечения пациенту питания через зонд.
По месту локализации свищи бывают высокими, средними и низкими. Они могут образоваться на двенадцатиперстной кишке, любом месте тонкого кишечника или толстой кишке. Различают также наружные, внутренние и смешанные свищи. Это определяется по тому, куда открывается полость кишки – на кожу или в другие органы.
Кишечные свищи могут быть полными или неполными. Во втором случае содержимое кишечника выходит не полностью, поэтому осложнения возникают реже.
Кроме того, различают трубчатые свищи, а также губчатые. Трубчатые свищи представляют собой полую трубку, которая выстлана рубцовой тканью. Она соединяет полость кишки с другими органами или поверхностью тела. Через них обычно выделяется не очень много содержимого кишечника, но, если канал узкий и длинный, возможны гнойные осложнения.
Губчатые свищи более опасны, так как представляют собой выпячивание стенок кишечника наружу. Слизистая срастается с кожей, образуя выпячивание, напоминающее губы. При этом иногда появляется шпора, которая мешает продвижению кишечного содержимого ниже свища. Поэтому развиваются серьезные осложнения. Все эти виды свищей являются сформированными. Несформированные свищи появляются после ранений или операций. Они представляют собой отверстие в стенке кишки.
Методы диагностики
Для постановки точного диагноза врач знакомится с анамнезом пациента, проводит пальпацию воспалительного очага, оценивает количество и внешний вид выделяемой жидкости, опрашивает больного о жалобах на предмет нарушений функционирования внутренних органов. После этого доктор направляет больного на дальнейшие диагностические мероприятия:
- Анализ крови и мочи, посев крови на наличие болезнетворных бактерий могут сказать о наличии воспаления и его характере.
- КТ (компьютерная томография), МРТ (магнитно-резонансная томография) часто используются как средство диагностики свищей.
- Одним из самых эффективных методов считается рентгенография с введением контрастного вещества в полость фистулы для определения размера, длины, разветвленности свища.
- Не менее эффективным считается метод зондирования, он применяется только в случаях наружных фистул, при которых внешний край выходит на поверхность кожи.
- Исследования гнойной жидкости используют для определения первичного органа, давшего начало патологическому каналу.
- Во время проведения операции по удалению свища специалисты вводят окрашивающие вещества (например, метиловый синий) для оценки всей структуры канала и точного определения исходного органа.
- УЗИ используется для диагностики фистул редко, т.к. этот метод менее информативен.
Причины возникновения
Появление свища свидетельствует о присутствии инфекции мягких тканей, может возникать как следствие неправильного лечения или его отсутствия вообще. В крайне редких случаях патологический процесс зарождается после имплантации или удаления зуба.
Основные причины возникновения свища на десне:
- Самой часто встречаемой предпосылкой болезни является развитие инфекционного процесса за корнем зуба. Такая ситуация возникает при отсутствии лечения кариеса, когда патологические микроорганизмы попадают на зубной нерв и со временем распространяются за его каналы. В результате возникает гранулирующий периодонтит – воспаление соединительной ткани между корнем зуба и кортикальной пластинкой кости. Очень часто это явление встречается в запущенных случаях, когда человек знал о наличии длительно существовавшей полости в зубе, но не обращался к врачу за лечением.
- Свищ зуба может возникать из-за неправильного лечения, когда каналы были прочищены некачественно, или антисептическая обработка не была эффективной. В данном случае, хоть каналы и пролечены, инфекция продолжает прогрессировать в ротовой полости.
- Свищ может образоваться из-за перфорации корня зуба при неправильном лечении, травме. А также на фоне гранулемы или кисты, по причине распространения инфекции с близкорасположенных очагов, к примеру, при гайморите, абсцессе, флегмоне.
Лечение
Первое, что необходимо сделать: освободить ткани от очага инфекции. Для этого необходимо санировать полость рта и устранить кариозные очаги. Если канальчик еще не образовался, необходимо его вскрыть в кабинете стоматолога. Можно ли проколоть свищ на десне самостоятельно? Нет, это опасно распространением инфекции на соседние участки десны. Вскрывать опухоль может только врач.
Как происходит вскрытие гнойного воспаления? Сначала доктор сделает рентген, чтобы определить степень поражения тканей и найти источник инфекции. Затем стоматолог подбирает метод терапии:
- удаление гранулемы;
- удаление кисты;
- неправильно запломбированные каналы.
Если свищ появился на поверхности десны, его вскрывают снаружи. Если источник гноя расположен около зубных канальчиков, производят распломбирование зуба и очищение тканей от гноя. В сложных случаях стоматолог удаляет зуб полностью для освобождения тканей от гноеродной инфекции.
Может ли сам пройти свищ на десне? Даже если появился канальчик оттока экссудата, причину гноеродной инфекции следует устранить. Опасность заключается в скрытом очаге воспаления, который может находиться в глубине тканей. Даже если снаружи всё пройдет, внутри остается источник патологии. Поэтому лечение необходимо довести до конца, и помочь в этом может только стоматолог.
После вскрытия пациент должен:
- ополаскивать рот для удаления гноя;
- посещать физиокабинет для устранения воспалительного процесса;
- использовать антибактериальные мази для лечения воспаленного участка десны.
Помимо этого свищ лечат антибиотиками — принимают антибактериальные и противомикробные средства, выписанные врачом.
Как лечат заболевание после распломбирования зуба? Врач обрабатывает полость, после устранения отечности и гноя устанавливает временную пломбу, а через неделю ставит уже постоянную пломбу на вылеченный зуб.
Свищ у ребенка на десне молочного зуба у ребенка: что делать?
У детей нередко возникает свищ, причем он не всегда связан с разрушением зуба и появлением воспаления в корне. У малышей часто воспаляется десна из-за того, что они тянут в рот грязные пальцы и игрушки. Обычно для лечения детей применяют полоскания.
Полоскания для лечения свища у детей:
- Мирамистин
- Хлоргексидин
- Бетадин
Можно применять мази антисептики: Солкосерил, Асепта, Метрогил дента.
Важные нюансы вопроса
Упустим сложные медицинские термины и попробуем разобраться во всем этом на языке, понятном большинству.
Свищ – это своего рода соединительный канал между разразившимся очагом инфекции и поверхностью десны.
По мере роста воспаления в очаге накапливается большое количество бактерий. Самих их не видно, но мы можем наблюдать продукт их жизнедеятельности – гной. Микробы живут, размножаются, продуцируя большое количество гноя, который всегда ищет выход наружу. Как только гной подобрался к десне, мы понимаем, что у нас свищ, и начинаем искать пути его излечения. Но об этом чуть позже, а сперва стоит разобраться, откуда он вообще берется и как его можно распознать в домашних условиях, не посещая кабинет стоматолога.
Способы терапии
Для эффективного лечения свища лучше всего в кратчайшие сроки после возникновения симптомов обращаться к специалистам для того, чтобы выяснить причину заболевания.
Врачи осматривают полость рта и проводят диагностику методом рентгенографии. Этот способ помогает увидеть состояние зуба, а также принять решение о его сохранении.
На основе полученных данных врачом назначается лечение и выписываются лекарства. Кроме этого, существует множество народных способов борьбы с недугом, используемых для ускорения лечения.
В стоматологической клинике
Для того чтобы вылечить свищ, стоматолог проводит осмотр полости рта и оценивает степень заболевания.
Для составления полной картины проводятся исследования рентгеновских снимков. При лечении наружного свища выполняются следующие шаги:
- проводится вскрытие свища;
- делаются обеззараживающие полоскания открытой раны;
- проводятся физиопроцедуры для уменьшения воспаления;
- назначаются антибиотики и противовирусные препараты.
При внутреннем свище, образовании кисты или гранулемы:
- проводится распломбирование зуба и вскрытие его каналов;
- осуществляется прочистка каналов зуба, удаляется гной, убираются кариозные участки;
- выполняется антисептическая обработка полости рта и каналов для уничтожения всех бактерий;
- ставится временная пломба до полного устранения симптомов.
В сложных случаях, когда воспаление распространилось до надкостницы, требуется хирургическая операция.
При увеличении гранулемы также необходима операция. Иногда сохранить зуб не представляется возможным. Лечение осуществляется поэтапно до полного снятия воспаления.
Для лучшей реабилитации используют ультразвуковое воздействие для быстрого восстановления мягких тканей.
В домашних условиях
После посещения стоматолога и устранения очага воспаления следует продолжать лечение противомикробными и противовоспалительными препаратами, которые назначает врач.
Эти медикаментозные средства будут способствовать обработке слизистой рта и открытой раны от бактерий. Кроме этого рекомендуют использовать антибактериальные пасты и гели для снятия отеков – асепта, солкосерил, метрогил дента.
Эффективны растворы для полосканий, которые можно купить в аптеке – это хлоргексидин, бетадин или же мирамистин.
Также применяются антибиотики и антигистаминные лекарственные средства. Пациентам могут назначить курс супрастина, тавегила.
Применение народных рецептов
Использование народных методов лечения свища рекомендуется проводить только на начальных стадиях развития заболевания или же в крайнем случае, когда поход к врачу временно невозможен.
Давайте выясним, что такое воспаление надкостницы зуба и как его можно лечить. А тут мы озвучим основные причины, почему кровоточат десны при беременности.
В остальных ситуациях народные рецепты можно применять только как дополнительное лечение или профилактику. Отличным дополнением к лечению в стоматологии могут стать домашние рецепты:
Древесная зола
Для скорейшего заживления открытой раны применяют раствор с древесной золой. Приготовить его можно так: взять руками две горсти золы, поместить их в кастрюлю на 5 — 7 литров и залить водой.
Затем кипятить на протяжении получаса, остудить и процедить. Проводить полоскание несколько раз в течение суток.
Мумие
Мумие – это гипоаллергенное противовоспалительное средство, которое можно использовать как дополнительную меру при лечении после операции.
Растворив небольшое количество мумие в воде, можно делать примочки на больной участок, используя ватные тампоны. Важно держать тампон не более 5 минут.
Эвкалипт
Измельченный эвкалипт, небольшое количество подсолнечного масла и порезанный лук легко «вытянут» всю инфекцию из воспаленного участка.
Для эффективности средства необходимо дать настояться смеси из 40 граммов эвкалипта с ложкой подсолнечного масла. Затем добавить туда лук.
Далее поместить кашицу на марлю и держать на десне около 20 минут. Антибактериальный состав быстро справляется с задачей и дает охлаждающий эффект.
Ромашка
Купленные в аптеке цветки лекарственной ромашки нужно залить кипяченой водой и оставить настояться на час.
Идеальные пропорции ингредиентов – 50 граммов ромашки на стакан воды. Лучше всего оставить настой на водяной бане. Таким успокаивающим настоем можно полоскать рот несколько раз в день до и после принятия пищи.
Прополис
Продукт пчеловодства прополис используют для обеззараживания тканей в полости рта. Рецепт прост – рассасывать прополис под языком 3 раза в день.
Календула
Календула – отличное средство при лечении свища на десне.
Можно использовать аптечный раствор календулы для полоскания (несколько капель на половину стакана воды).
Можно прикладывать смоченный в растворе ватный тампон к десне для снятия боли.
Можно сделать настой на основе измельченных цветков – на стакан воды около 10 граммов травы. Раствор нужно заварить и дать ему настояться.
Сода и йод
Смесь соли и йода обладает отличным дезинфицирующим и противовоспалительным свойством. Для приготовления лечебного раствора нужно в стакан теплой воды добавить чайную ложку соды и несколько капель йода. Получившимся средством полоскать рот после еды и после чистки зубов.
Алоэ и каланхоэ
Алоэ быстро нейтрализует покраснение и отеки в месте повреждения тканей. Смесь из листьев алоэ, каланхоэ и меда нужно принимать внутрь ежедневно перед едой по чайной ложке для восстановления организма.
Целебное средство лучше хранить в стеклянной банке, периодически перемешивая. На 1 кг меда необходимо около 12 — 15 измельченных листочков алое.
Из алоэ и каланхоэ можно делать смесь для прикладывания к пораженному участку на 5 — 10 минут. Для этого измельченные листья заворачивают в марлю.
Смесь трав на основе мази Вишневского
Мазь Вишневского, известная также как ихтиоловая, имеет целебные свойства, способствующие вытягиванию гноя.
Чтобы сделать смесь для лечения свища, понадобятся: 20 граммов мази, 10 граммов меда, а также различные измельченные травы.
Можно взять 20 граммов цветков календулы, 10 граммов корня одуванчика, 10 граммов пижмы, 10 граммов корня тысячелистника или другие травы. Все тщательно перемешать, оставить на 10 — 12 часов, а затем наносить такую смесь на больные участки десны.
Зверобой
Целебный раствор из зверобоя получится, если прокипятить траву на плите. На 0,5 литра воды нужно около 50 граммов травы.
Полоскания следует проводить несколько раз в день, через каждые 2 — 3 часа. Это значительно ускорит процесс выздоровления и уменьшит воспаление. При желании в раствор можно добавить ложку меда, чтобы уменьшить горьковатый вкус.
Ванночки из соды и соли
Самый простой способ, который доступен всем в домашних условиях – ванночки на основе соды и соли. Они используются как дополнительное лечение во время реабилитации.
Чтобы сделать раствор для полоскания, нужно в равных пропорциях смешать ингредиенты.
Виды образований
Заболевание бывает нескольких видов:
- Симптом гранулирующего периодонтита или другого воспалительного процесса на корне. Появляется при распространении бактериальной инфекции вглубь тканей.
- Свищ на десне после удаления зуба – довольно редкое заболевание, которое возникает, если после экстракции в тканях остается гнойный очаг. Чаще всего по окончании процедуры свищ исчезает, но бывают случаи, когда заболевание обостряется. Чтобы устранить неприятный симптом, нужно посетить стоматолога-хирурга, который произведет очищение раны, ревизию, дренаж и устранит инфекцию.
- Свищ под зубной коронкой появляется при некачественном лечении каналов. Требуется снятие конструкции и проведение корректного лечения.
- Образование патологического отверстия после имплантации. Возникает при инфицировании тканей во время операции и встречается крайне редко.
Свищ на копчике
Свищ на копчике – явление не частое, но серьезное. Сам копчик образуется из нескольких крайних, сросшихся дисков позвоночника и характеризуется неподвижностью. Именно к этой зоне позвонка крепятся мышцы и связки, влияющие на функционирование системы кишечника и мочевого пузыря. Причины возникновения воспалительного процесса и появления копчикового свища могут быть разные, а иногда это целый комплекс предпосылок, хронически влиявших на организм.
Среди основных факторов, провоцирующих рост и развитие свища, выделяют:
— травмы позвоночника;
— большие физические нагрузки;
— ущемление нерва в поясничном отделе позвоночника;
— инфекционные заболевания;
— переохлаждение;
— сидячий образ жизни.
Безусловно, в совокупности перечисленные причины приводят к общей ослабленности организма, быстрому распространению инфекции и, как следствие, формированию свища. Врожденная патология предполагает рост кисты копчика, иначе именуемой свищом на копчике, но процесс формирования такого отклонения принципиально отличается от типичного развития заболевания.
Кроме болевых ощущений, основным признаком наличия свища является выделения гноя из какого-то участка копчиковой зоны. Кроме того, возможно воспаление кожных покровов в той же зоне и даже резкое повышение температуры. В стадии воспаления свищ выглядит как гнойник и постоянно увеличивается в размерах. Вытекание гноя не предполагает близости выздоровления, поскольку инфекция находится внутри свищевого канала и не выводится вместе с выделениями.
Запущенный свищ на копчике может дать негативные последствия, поэтому обращение к доктору очень желательно. Как осложнение могут диагностировать абсцесс, экзему и распространение свищей, постепенно пронизывающих всю копчиковую область тела.
Единственным общепризнанным эффективным методом лечения свища копчика является операция. Только хирургическим путем можно очистить канал от инфекции, заблокировать края свища и локально отмежевать организм от воспалительного процесса. Параллельно с этим доктор проводит медикаментозное лечение, направленное на снижение воспаления и общую поддержку иммунитета.
Чтобы снизить риск проявления рецидива, пациентов кладут на лечение в стационар и содержат во время реабилитационного периода. Применение во время радикальной хирургии ультразвукового скальпеля и современной биологической сварки тканей дает отличные результаты и позволяет минимизировать последствия повреждения ткани. Раневые дефекты после операции свища обычно закрывают с помощью методов пластической хирургии, поэтому во многих случаях послеоперационный вид внешних покровов у пациентов вполне естественный.
Особенности терапии в стоматологической клинике
Многие привыкли терпеть зубную боль, откладывая поход к стоматологу на потом. Но именно эти действия и приводят к запущенной форме свища. Лучшей рекомендацией при обнаружении фистулы является посещение стоматологического кабинета.
Только качественная диагностика и лечение с устранением причины поможет быстро избавиться от поражений десны.
Наличие свища определяется зрительно, но вот насколько глубоко проникла инфекция можно судить только по рентгеновскому снимку. Врач определяет, насколько сильно разрослась гранулема и не коснулась ли тканей надкостницы.
Лечение свища в стоматологической клинике начинается с лечения пораженного зуба. Его вскрывают, каналы тщательно вычищаются от гноя и обрабатываются обеззараживающим раствором.
Возможно, одним визитом к стоматологу не обойтись, если, по мнению врача, необходимо поставить временную пломбу. Тогда в пораженные каналы закладывается лекарство, и зуб закрывается мягким пломбирующим материалом.
Через несколько дней временную пломбу удаляют, каналы еще раз тщательно очищают, и зуб пломбируют уже постоянной пломбой.
Если пораженный зуб уже был пломбирован ранее, то процесс лечения может немного затянуться. Ведь зуб нужно сначала распломбировать, затем провести лечение и только потом закрывать.
Когда в корне зуба установлен штифт, то процедура распломбировки усложняется тем, что штифт нужно удалить. Если это по каким-либо причинам невозможно, то безопаснее будет удалить корень зуба вместе со штифтом.
Программа терапии антибиотиками
При осложненных случаях, сопровождающихся обширными поражениями тканей и серьезным воспалительным процессом, может быть дополнительно назначен курс антибиотиков. Обычно, это препараты в таблетках или растворы для внутримышечных инъекций. Антибиотик останавливает воспалительный процесс и уничтожает бактерии в короткий срок.
Вид антибиотика должен определять только врач. При подборе наиболее эффективного препарата учитывается причина возникновения фистулы, обширность воспаления, скорость развития заболевания и другие параметры.
Поэтому не стоит самостоятельно назначать себе антибиотики. Пользы может не оказаться, а вред организму будет нанесен.
Чаще всего предпочтение отдается Гентамицину в ампулах и препаратам, которые в своем составе имеют этот компонент. Курс лечения таблетками составляет от семи до десяти дней, а Гентамицина может оказаться достаточно и двух ампул, введенных в течение одной недели.
Вот еще небольшой список антибиотиков, которые применяются в стоматологии при лечении таких воспалительных процессов:
- Амоксиклав;
- Доксициклин;
- Трихопол;
- Амоксициллин;
- Флемоксин солютаб.
Каждый из перечисленных препаратов имеет ряд побочных эффектов, среди которых индивидуальная непереносимость компонентов лекарства. Если у пациента наблюдалась ранее какая-либо аллергическая реакция на лекарственные препараты, необходимо сообщить об этом доктору до того, как он сделает назначение.
Реабилитация в клинике
Если затянуть с лечением фистулы, то может начаться поражение соседних тканей. В тяжелых случаях свищ может перекинуться на прилегающие ткани щеки.
После курса лечения антибиотиками и противомикробными препаратами, а также устранения причины свища, могут потребоваться реабилитационные мероприятия, направленные на восстановления тканей.
Для более быстрого заживления пораженных участков десны применяют лазерную обработку тканей. В ходе такой процедуры лазером прижигаются ранки на десне и щеках, что останавливает возможные кровотечения.
Такой же эффект оказывает и прижигание участков тканей диаметрическим током или по-другому диатермокоагуляция. Некоторые пациенты очень чувствительны к воздействию импульсов тока и такой метод реабилитации к ним применить невозможно.
Еще одним современным методом, применяемым для восстановления структуры тканей после свища, является ультразвуковое воздействие. С его помощью ускоряется регенерация тканей, и заживление проходит намного быстрей.
Все эти методики проводятся в стоматологической клинике или физиотерапевтическом кабинете.
Патогенез или как возникает свищ?
Образование свища при периодонтите характеризуется наличием гнойного очага воспаления возле корня зуба. При отсутствии или затруднении оттока экссудата через корневые каналы происходит его скопление. Постепенно увеличивается давление в месте заболевания, гной распространяется в костную ткань и десну, которые окружают больной зуб. Движется содержимое в сторону меньшего сопротивления и формирует канал. Гнойное содержимое ищет выход, проходит через ткани и прорывается через слизистую оболочку десны.
Можно считать образование свища благоприятным исходом периодонтита, ведь заболевание является довольно опасным. В некоторых случаях гнойное содержимое может распространятся в надкостницу и даже кость, что грозит периоститом, остеомиелитом и другими осложнениями. При заболевании моляров верхней челюсти гной может распространится на верхнечелюстную пазуху и вызывать одонтогенный гайморит.
При пародонтите немного другой механизм развития заболевания. Он характеризуется воспалением десны, разрушением зубодесневого соединения, нарушении костной ткани и подвижностью зубов. При этом возникают пародонтальные карманы различной глубины. В карманах скапливаются остатки пищи, микроорганизмы и продукты их распада, а при обострении происходит образование гнойного содержимого. В большинстве случаев отток гноя происходит через сами же карманы, то есть гной выходит вдоль поверхности корня через десну. Если же карманы достаточно глубокие может возникать нарушение оттока содержимого вследствие различных причин – наличие зубных отложений, попадание остатков пищи и т.д. В таком случае возникает пародонтальный абсцесс, который спровоцирует образование свища в области больного зуба.
Можно ли вылечить свищ без операции?
Наиболее распространенным осложнением многих стоматологических заболеваний является гнойник на десне. Образование наполняется воспалительной жидкостью и грозит человеку опасным сепсисом. Чтобы избежать подобных проблем, его необходимо вскрывать и удалять. Но многие пациенты интересуются, можно ли вылечить свищ без операции и восстановить здоровье за минимальное время? Существует несколько способов, включая терапию антибиотиками и народные рецепты.
Народные рецепты
Народные средства направлены на облегчение состояния и ускорение заживления свища. Данные методы не являются заменой традиционному лечению, их можно применять после того, как будет оказана надлежащая врачебная помощь.
Рецепты препятствуют распространению инфекции, помогают убрать воспаление:
- Хорошее противовоспалительное действие оказывают: ромашка, календула, трава шалфея, листья эвкалипта. Из них готовится отвар для полоскания из расчёта 1 ст.л. сырья на 250 мл кипятка;
- В качестве обеззараживающего средства можно использовать пчелиный прополис. Его необходимо держать под языком и постепенно рассасывать;
- Применение ванночек: соль и сода (по 1 ч.л.) растворяются в стакане тёплой воды. Полученным раствором нужно не полоскать рот, а именно держать жидкость на области больного зуба по 5 минут.
Чтобы избежать серьёзных осложнений, а особенно хирургического вмешательства, нужно как можно скорее обратиться к стоматологу при выявлении первых признаков свища. Только он точно скажет как вылечить проблему в вашем случае. Самолечение и затягивание визита ко врачу может стать причиной утраты зуба.
Диагностика
Диагностика патологии является несложной. Специалист проводит осмотр органов полости рта, собирает анамнез болезни. Детально исследует больной зуб с помощью таких методов, как зонирование, термодиагностика, перкуссия, пальпация. Основным дополнительным методом диагностики является рентгенография. По снимку можно определить больной зуб, оценить размер очага воспаления, определить точную локализацию патологии. Также стоматолог с помощью рентгена проводит дифференциальную диагностику, которая поможет отличить свищ от других патологий.
Важным является отличить свищ при периодонтите от кисты. На снимке эти заболевания могут выглядеть похоже – очаг воспаления округлой формы. Важным отличием является то, что киста имеет размер более 1 см и капсулу с четкими краями, не провоцирует появление свищевого канала, может иметь разное содержимое, а не только гнойное. Свищ образуется при хроническом гранулирующем периодонтите, который на снимке выглядит как очаг поражения костной ткани в виде очагов пламени и не имеет четких краев.
Виды заболевания
Свищевой канал, как патологическое образование, может возникнуть в любом органе организма при наличии очага инфекции и подходящих условий. Патология встречается у людей при снижении иммунной защиты, наличии хронических заболеваний. Свищевой ход формируется при отсутствии своевременного или правильного лечения, при переходе с острой стадии в хроническую. Свищевое отверстие открывается в проекции эпицентра очага воспаления, может локализироваться в полости рта, на лице или подбородочном участке.
В челюстно-лицевой области чаще всего возникает зубной свищ, но есть и другие виды болезни:
- После удаления зуба. Возникает довольно редко, проявляется при занесении инфекции, сложном удалении, отсутствии своевременного лечения альвеолита и снижении иммунитета человека.
- При остеомиелите. Это серьезное заболевание, которое характеризуется воспалением костной ткани челюсти, скоплением гноя и может вызывать образование свища.
- При неправильном лечении острых воспалительных процессов – абсцесса, флегмоны. Если не провести вскрытие гнойника, то воспаление может перейти у вялотекущий процесс и при обострении выйти наружу в виде свища.
- После имплантации. Одним из осложнений имплантации является воспаление тканей вокруг импланта – периимплантит. Длительно текущий воспалительный процесс может провоцировать образование фистулы на десне или на лице.





