Наличие пломбы не даёт стопроцентную гарантию вторичного развития кариеса на зубе. Но распознать проблему в таком случае удаётся на поздних стадиях заболевания. О том, какие факторы провоцируют разрушение структуры и что предпринять при обнаружении первых признаков, и пойдёт речь в данной статье.
Вторичный и рецедивный кариес
Развитие кариеса под пломбой классифицируется двух видов: вторичный и рецидивный:
- Вторичный вид характеризуется расположением очаговой зоны на границе между пломбой и костной тканью зуба. Спровоцировать кариес может как некачественная подготовка зубной поверхности к пломбированию, так и естественная усадка полимерного материала.
- Рецидивный вид образуется в результате плохой очистки кариозной полости в процессе установки пломбы при первичном лечении. Дальнейшее развитие кариеса происходит из-за оставшегося фрагмента распавшегося дентина. Наличие бактерий способствует разрастанию инфекции вновь.
Рецидивный фактор свидетельствует о вине стоматолога, так как развитие заболевания происходит исключительно из-за его ошибок. Вторичный кариес возникает в результате независящих от специалиста причин, что и является отличительным признаком видов повторного поражения зубов кариесом.
Диагностика
Диагностику заболевания врач стоматолог проводит с помощью основных и дополнительных методов исследования. В первую очередь проводится осмотр больного зуба. Если возле пломбы образуется полость или через эмаль просвечивает кариозный процесс, этих признаков будет достаточно для определения заболевания. Также специалист собирает анамнез болезни, спрашивает о первичном лечении.
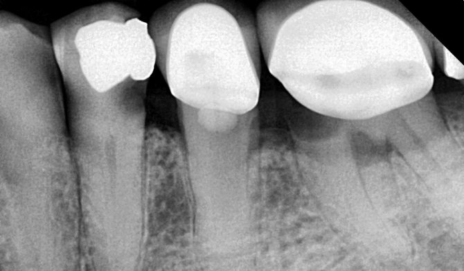
Если стоматолог увидит, что пломба изменила цвет, но не сможет сразу определить кариес, он назначит рентгенологический снимок. Рентген также понадобится в случае, если вторичный кариес возник в депульпированном зубе.
С помощью рентгена можно оценить глубину и локализацию кариозного разрушения. На снимке пломба будет выглядеть как белое пятно, а кариес – как темное.
Симптомы и признаки
Распознать признаки поражения зуба кариесом не так-то и просто, пломба и неудобство при самостоятельном осмотре не позволяют выявить потемнения на эмали или начинающееся разрушение костной ткани. Однако существуют симптомы, по которым можно узнать наличие заболевания:
- болевые ощущения на отдельных зубах и нижней части челюсти;
- воспаление десны в области пломбированного зуба, припухлость;
- изо рта источается малоприятный запах (если зуб гниет под пломбой);
- появление крови на десне при чистке полости рта или в результате незначительного столкновения с тупыми предметами.
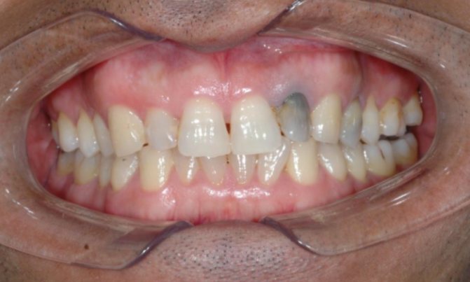
Нередко наблюдается кровоточивость десны у поражённого зуба, ломота в области челюсти. Выявить кариозное поражение костной ткани можно и визуально. Стоит обратить внимание на пломбу. Нередко она меняет цвет или по её краям появляется тёмный коричневый ободок. Также наблюдается образование щелей и сколов зубной эмали.
К чему приводит замена пломбы
А чем плохо менять пломбу, когда это потребуется? Проблема в том, что Вы не знаете точное время, когда старая пломба перестаёт выполнять свои функции, но если отколется часть зуба, врач будет вынужден поставить новую пломбу большего размера.
В случае запущенного кариеса и пульпита, может потребоваться удаление нерва, а «мертвый» зуб более хрупкий и к его тканям хуже приклеиваются пломбы и вкладки (значит срок из службы будет меньше).
Лечению разных стадий кариеса мы посвятили статью Карис: какой он бывает? И почему лечение так отличается по цене?. Почитайте её, чтобы разобраться, как прогрессирует кариес.
С каждой заменой пломбы «родного» зуба становится меньше и приближается момент, когда восстановить его можно только коронкой.
Каким образом он может развиваться
Кариес под пломбой развивается поэтапно, включая три стадии:
- вначале образуется микротрещина между контактными поверхностями зубной эмали и композитного материала;
- через щель проникает слюна вместе с ферментами, бактериями и другими компонентами;
- бактерии (Streptococcus mutans) активно размножаются, продуцируя органические кислоты, которые разрушают костную ткань зуба, образуя глубокий кариес.
Процесс колонизации бактерий и негативного влияния кислот, выделяемых микроорганизмами, на зубную структуру провоцируют отторжение полимерного материала от стенок зуба.
Состав
Световая пломба также называется фотополимерной или композитной. Она состоит из 3-х основных компонентов:
- Композита – полимерного матрикса. Светочувствительный материал, распадается на радикалы под действием ультрафиолета полимеризационной лампы. Длина лучей должна находиться в пределах 440 – 460 наномеров.
- Диоксида кремния и стеклокерамики – наполнителей.
- Силана – выступает в качестве связывающего вещества.

Дополнительная информация! Отличительная особенность композитных материалов светового отверждения от химических – они застывают только под действием ультрафиолетовых лучей. Время затвердевания составляет от 20 до 40 секунд.
Причины возникновения
Остатки кариеса продолжают в таком случае активно развиваться под пломбировочным материалом, разрушая костную ткань. Спровоцировать заболевание могут также и другие причины:
- плохая подготовка зубной поверхности к установке пломбы, в результате чего цемент начинает по краям крошиться, создавая микротрещины;
- усадка пломбы из светополимерных материалов (чем больше параметры вставки, тем выше риск усадки материала в процессе полимеризации);
- плохая стыковка пломбы и зубной эмали.
Кроме того существуют дополнительные факторы риска, которые заключаются в несоблюдении гигиены полости рта или наличии неправильного прикуса. В процессе смыкания верхней и нижней челюстей повышается нагрузка на определённые зубы, что чревато образованием трещин и сколов. В микротрещинах поселяются и быстро развиваются бактерии, что приводит к развитию кариеса.
Спровоцировать повреждение пломбы или зубной эмали может твёрдая или жёсткая пища, воздействие низких либо высоких температур. Поэтому разрабатывать рацион питания нужно с учётом особенностей зубов.
Ответы на частые вопросы пациентов
Сколько держится пломба?
В среднем 5-7 лет. Гарантия на них дается от шести месяцев до года (с учетом производителя и качества выполнения).
Через сколько можно есть?
Рекомендуем воздержаться от приема пищи в течение часа после пломбирования.
Какая пломба предпочтительнее – химическая или световая?
По прочности и долговечности светоотверждаемые пломбы опережают химические. Но в составе последних есть фтор, укрепляющий внутренние ткани коронки.
Методы лечения
| Методы лечения кариеса под пломбой | ||
| Название метода | В каких случаях применяется при повторном кариесе | Как производится |
| Повторное пломбирование |
|
Пломбирование проводится после предварительного прохождения рентгена и удаления старой пломбы. Процедура состоит из следующих этапов:
|
| Адгезивная реставрация |
|
Процедура проходит в один этап, включающий:
|
| Коронка |
|
Этапы лечения:
|
| Микропротезирование (вкладки) |
|
Микропротезирование предусматривает установку на место отсутствующего зубного фрагмента вкладки, сделанной из керамики. Для этого предварительно делают снимок, слепок, по которому изготавливают вкладку. Анатомические формы протеза полностью повторяют природные формы зуба, что сохраняет его функциональность. Перед установкой вкладки полость очищается и обрабатывается специальным препаратом. |
Реставрация вкладкой Для лечения вторичного кариеса применяются различные методики. Способ подбирается, исходя из характера и обширности зоны повреждения. Основная цель терапии заключается в удалении старого пломбировочного материала и ликвидации очага.
Описание патологического процесса
О развитии вторичного (рецидивирующего) кариеса говорят, когда патологический процесс начинает развиваться под недавно зафиксированной пломбой, вкладкой или коронкой. То есть после любого лечения. В результате зуб постепенно изменяет свой окрас, и самой частой причиной тому становится некачественно проведенное лечение. Происходит рецидив болезни, который в подавляющем большинстве случаев становится следствием оставления зазора между зубными тканями и пломбировочным материалом. Или же некачественно проведенного очищения полости от воспаленных тканей.
В настоящее время в стоматологии применяются качественные современные материалы, однако даже они характеризуются ограниченными показателями прочности, что прежде всего касается жевательных зубов. Постепенно материал изнашивается, разрушается и выпадает. Еще одной частой причиной развития вторичного кариеса является стирание пломбы – со временем она уменьшается, обнажая стенки кариозной полости и провоцируя повторное развитие воспалительных процессов.
Стоимость лечения
Стоимость лечения зависит от многих факторов. На ценообразование стоматологических услуг оказывают влияние сразу несколько факторов:
- региональная особенность;
- статус клиники;
- уровень квалификации стоматологов;
- используемые материалы и технологии.
Лечение вторичного кариеса обходится дороже, в отличие от первичного обращения к врачу.
- Повторное пломбирование включает распломбировку канала, его очистку, медикаментозную обработку. Это примерно 2-2 500 рублей. Плюс ещё повторная установка пломбы – от 900 рублей и выше. Сумма может существенно увеличиться при выявлении осложнений и их лечении.
- За адгезивную реставрацию зуба придётся заплатить от 6 000 до 47 000 рублей. Такой широкий диапазон цен обусловлен использованием различных материалов и способов восстановления недостающего фрагмента зуба.
- Установка коронки также зависит от материала, из которого она изготовлена. Цена на услугу стартует от 10 000 рублей.
- Микропротезирование предусматривает установку керамической вкладки. Стоимость услуги составляет от 5 000 рублей и выше.
Виды керамических вкладок
- вкладка inlay — восстанавливает «впадины» коронки зуба
- вкладка onlay — восстанавливает большую часть жевательной поверхности коронки зуба
- вкладка overlay — восстанавливает жевательную поверхность и боковые стенки коронки зуба
Срок службы вкладок более 10 лет, в то время как пломба потребует замены в среднем через 5 лет.
Теперь, когда врач-стоматолог предложит восстановить зуб вкладкой, Вы знаете, какие преимущества это даёт в будущем.
Возможные осложнения кариеса под пломбой
Чаще всего причиной является несвоевременное обращение больного к стоматологу.
Поэтому при осмотре у специалиста могут диагностироваться уже более сложные проблемы с зубами:
- пульпит (ретроградный, острый или хронический);
- периодонтит.
На развитие кариеса от небольшого пятнышка до распространения на пульпу проходит около 1-1,5 года. Времени достаточно для того, чтобы обратиться в клинику за квалифицированной помощью.
Характер боли
Характер боли в зубе под пломбой может быть различным.
Это может быть совершенно несущественная реакция на холод до острых и практически непереносимых болевых ощущений.
По характеру боли легко можно определить причину ее возникновения:
- Чувствительность в процессе жевания. Повышенная чувствительность зуба обычно сигнализирует о том, что врач пересушил коронку в процессе ее установке. В данном случае особо переживать не имеет смысла. С течением времени нервные окончания придут в норму и прекратят болезненно реагировать на раздражители.
- Чувствительность к сладкому, кислому, горячему и холодному. Подобные проблемы свидетельствуют о низком качестве материала установленной пломбы. Проще всего избавиться от боли путем перепломбирования у более опытного специалиста.
- Ноющая боль.Если боль носит ноющий характер, а десны при этом покраснели и кровоточат, вероятней всего, речь идет об обычной аллергической реакции. Справится с ней помогут любые антигистаминные препараты.
- Сильная и пульсирующая боль. Такая симптоматика указывает на развитие у пациента острого пульпита.
- Слабая сопутствующая боль. Такие болевые ощущения могут ничего не значить, а могут указывать на наличие хронического пульпита.
При подозрении на пульпит настоятельно рекомендуется в максимально короткие сроки обратиться за помощью к стоматологу по вопросу удаления пульпы. Специалист уберет старую пломбу, удалит пульпу, запломбирует пораженные каналы и заново положит пломбу.
Если к лечению приступить своевременно, возможно частичное сохранение пульпы внутри зубных каналов. Последний пункт особенно важен, поскольку зубы, у которых удалена мягкая ткань, подвержены разрушительным процессам в большей степени.
Что делать, если зуб под пломбой кровоточит
Это уже серьёзная проблема, без вмешательства врача запущенная форма болезни приводит к абсцессу и даже летальному исходу.
Как снять боль в домашних условиях
Ни для кого не секрет, что при появлении зубной боле человек забывает обо всем остальном. Перед ним стоит одна основная задача – избавиться от неприятных ощущений. Тем более что обычно симптом приходит неожиданно и способен полностью испортить день.
Самый простой и доступный способ избавления от болевых ощущений – принятие обезболивающих препаратов.
Чаще всего речь идет об анальгине, кетанове либо ибупрофене.
Если неприятность случается в процессе приема пищу, требуется сразу же закончить трапезу, прополоскать рот и только после этого принять лекарственный препарат.
При применении медицинских препаратов обязательно следует предварительно изучить инструкцию, особенно в части противопоказаний.
Если обезболивающих препаратов в наличии не имеется, можно заменить их, пропитав валокордином ватный тампон или прополоскать рот содовым раствором с добавлением небольшого количества йода.
Помимо этого, для снятия зубной боли часто прибегают к средствам народной медицины. Часто применяются следующие рецепты:
- Соль с перцем. Смесь соли с перцем эффективна в том случае, если чувствительность зуба ощутимо повышается. Специи смешивают в одинаковых долях и разводят водой до получения однородной кашицы. Получившаяся паста попадает на зуб и оставляется примерно на пять минут. Повторять процедуру рекомендуется на протяжении нескольких дней.
- Картофель. Для устранения болевого синдрома в зубе следует отрезать небольшой кружочек сырого картофеля и поместить его на ноющий участок. Удерживать его на зубе следует до полного исчезновения неприятных ощущений.
- Гвоздика. Гвоздика вполне заслуженно считается наиболее эффективным народным средством, помогающим в борьбе с зубной борью. Это растение имеет не только анестезирующие, но также противовоспалительные, антиоксидантные и антибактериальные свойства. Для лечения потребуется измельчить и тщательно смешать с любым растительным маслом пару зубчиков гвоздки. Средство прикладывается к больному зубу или втирается в ноющее место. Кроме того, можно использовать гвоздичное масло, растворенное в воде в количестве 5 капель на стакан, для полоскания ротовой полости.
- Сок ростков пшеницы. Сок ростков пшеницы характеризуется отличными антибактериальными и анестезирующими свойствами и считается неплохим средством в борьбе с кариесом. Ростки пшеницы необходимо растереть таким образом, чтобы из них выделился сок. Этим соком следует полоскать рот.
Зубная боль проявляет себя по-разному. Иногда болит зуб при нажатии на него. Это может быть кариес или болезни челюсти.
Вы уверены, что у вас здоровы все зубы, но болевые ощущения имеются? Возможно, это связано не с заболеваниями зубов. О каких болезнях идет речь, читайте далее.
Какой бы способ борьбы с зубной болью ни был выбран, не стоит забывать о том, что устранение болевого синдрома – это лишь временное решение проблемы. Следует установить причину появления болевого синдрома и устранить ее под контролем опытного стоматолога.
Профилактические меры
Лучшим средством профилактики считается соблюдение ежедневных гигиенических процедур полости рта с применением сертифицированных зубных паст с кальцием и фтором. Также рекомендуются ополаскивания после приёмов пищи антисептическими жидкостями: Splat, Glister, Lacalut. Чтобы предотвратить повторное развитие кариеса, рекомендуется соблюдать простые правила после установки пломбы:
- не употреблять пищу слишком горячую или холодную, в особенности одновременно;
- ограничить потребление твёрдых, липких продуктов;
- отказаться от газировки, концентрированных соков, содержащих большое количество кислот;
- гигиену полости рта производить не менее 2-х раз в день, качественно очищая зубные ряды, язык, мягкие ткани за щеками (зубную щётку менять не реже 1 раза в 3 месяца);
- ежегодно проходить процедуру полировки поверхности пломбы для предотвращения образования щели.
Для быстрого выявления признаков поражения зуба кариесом (рецидив) и своевременного лечения следует периодически посещать стоматолога с целью осмотра полости рта. В случае необходимости специалист предложит провести профилактическое пломбирование, суть которого заключается в закрытии фиссур жидким композитом либо герметиком.
Ранняя диагностика вторичного кариеса даёт возможность выбрать наиболее щадящий метод лечения с сохранением зуба и его функциональности. Это исключает распространение кариозного поражения зоны пульпы, когда повышается риск удаления зуба и нерва, что подразумевает новые расходы на протезирование.
Нужна ли перепломбировка, если ничего не беспокоит
Многие пациенты удивляются, когда стоматолог рекомендует заменить старую пломбу на новую, ведь боли и других неприятных симптомов у них нет. Однако замену производят не только при выраженном воспалительном процессе, но и в профилактических целях, а также для улучшения эстетики зубных рядов.
Как и любой другой материал, пломбировочная масса подвержена постепенному изнашиванию, деформации, разрушению. Гигиенический уход, микроорганизмы полости рта, рН слюны, механическое, химическое и температурное воздействие пищи со временем провоцируют возникновение в пломбе микроскопических трещин. Образовавшиеся поры служат местом размножения микробов и развития стоматологических заболеваний.
Полезно знать! После отбеливания зубов (особенно при отбеливании на 8-15 тонов) тоже нужно будет заняться сменой старых пломб, потому что они выглядят темнее, чем новая улыбка.
Какой зуб называют мёртвым
Это понятие фигурирует больше в речи обычных людей, а не специалистов. Стоматологи называют такой резец, клык, моляр или премоляр депульпированным. Пульпа – это совокупность нервных окончаний и кровеносных сосудов, по которым поступают питательные вещества, поддерживающие нормальное состояние костной ткани.
Потеря пульпы происходит тремя путями:
- Планово во время лечения. Это необходимо, если внутри пульпы происходит патологический процесс, единственным решением которого является удаление нерва. Стоматолог с применением местной анестезии вскрывает полость пульпы, удаляет мягкое содержимое и заполняет его пломбировочным материалом, после чего зуб опять герметично закрывается.
- Перед установкой коронки. В таком случае депульпирование иногда проводят даже при отсутствии прямых показаний. Так делают, чтобы исключить риск будущего снятия коронки для лечения каналов.
- Нерв и кровеносные сосуды разложились после длительного воспаления, которое не было пролечено. В таких случаях человек периодически пьёт обезболивающие препараты, чтобы зуб перестал болеть, а через время, когда нерв уже мёртв, таблетки больше не нужны, потому что болезненные ощущения прекращаются.
Не стоит думать, что удаление пульпы является гарантией того, что в этом зубе больше никогда ничего не будет болеть. Отсутствие нерва и поступления питательных веществ постепенно приводят к ухудшению состояния дентина, он становится не таким плотным и крепким, каким был раньше. Эмаль не получает нужных минералов, которые в норме передаются из крови, что сказывается и на её состоянии. Всё это делает мёртвый элемент зубного ряда более уязвимым для различных заболеваний.
Особенности терапии при хроническом воспалении корней зубов
Лечение обеих форм периодонтита схожее. Его проводят после рентгенографии.
Пациенту при острой форме болезни проводят анестезию. Бормашиной высверливается отмершая пульпа.
Расширяются каналы зуба для того, чтобы их пломбирование было полноценным. Достигая верхушки больного корня, стоматолог проделывает там отверстие, чтобы освободить периодонт от гноя.
Это первый этап терапии. Далее несколько дней пациент должен держать зуб открытым.
Через 2-3 дня корневые каналы промываются антисептиком, закладывается лекарство, зуб закрывается временной пломбой. Если далее признаков распространения инфекции не наблюдается, нет нагноения, то стоматолог ставит постоянную пломбу.
При хроническом периодонтите тоже делают сначала рентген, просверливают каналы, а далее, если форма хронического воспаления фиброзная, постоянную пломбу врач может поставить уже на второй день. Когда же у корня образовались гранулы с гноем, лечение будет более длительным.
После очистки каналов в полость зуба вставляются тампоны, пропитанные сильнодействующим лекарством, сверху они закрываются защитной пломбой. Пациенту прописываются антибиотики.
Далее, если нет развития инфекции, каналы снова очищаются. Пломба на зуб ставится из гидроксида кальция — вещества с антисептическим свойством.
Она способствует росту костной ткани на месте воспаления и остается на 2-3 месяца.
После этого пациент делает рентгеновский снимок, каналы пломбируются специальной гуттаперчей, а затем уже ставится постоянная пломба.
Для начала следует понять, что гнилые зубы – не самостоятельное заболевание. Это, с медицинской точки зрения, яркий симптом того, что зубы, десна, а может быть и какой-то другой орган или организм в целом, подтачивает какой-то недуг.
Зубы гнилые, ужасные фото которых часто можно встретить в Интернете, могут быть результатом неумеренного курения, алкоголизма и употребления «тяжелых» наркотиков (сложные химические соединения наркотических веществ, особенно приготовленным в «домашних условиях, на основе растворителя, уксусного ангидрита или же фосфора со спичечных коробков) .
Поэтому прежде, чем начинать колоться может стоить заглянуть на такие познавательные странички, чтобы быть в курсе последствий.
Наследственность – не последняя причина того, что зубы гниют, естественно не прямо, а через унаследованные склонности, которые могут стать отличными факторами риска, на фоне которых и будет осуществляться гниение зубов. К примеру, тонкая зубная эмаль, «доставшаяся по наследству» . очень легко скалывается, а маленькая дырочка – где скапливается еда, это просто «Клондайк» для бактерий.
Не соблюдение личной гигиены и правил ухода за ротовой полостью, которые все знают наизусть. Даже застрявшая между зубами пища может спровоцировать гниение зубов, тем более у людей с ослабленным иммунитетом, беременных женщин и т. д. , а что тогда говорить про дырку в зубе, которая постоянно растет? Да она просто кишит бактериями.
резкий, неприятный запах изо рта: периодические боли в метах, где находится разрушающийся зуб: разрушение зубов до черных, словно изъеденных молью пеньков; грязно-коричневые «каемочки» , в идеале повторяющие верх коронки жевательных зубов, мелкие черные дырочки под десной.
Для многих пациентов, у которых наблюдается подобная клиническая картина, вопрос, что делать, если гниет зуб, становится насущным. Во-первых, определить причину заболевания и начать соответствующее лечение (прием антибиотиков, укрепляющие уколы, отказ от курения и наркотиков) .
Во-вторых, начать лечение этих зубов – основательно почистить, снимая бормашиной все гнилые участки (вплоть до спиливания под корень) , удалить нервы из каналов и запломбировать, нарастить недостающую часть и закрыть зуб коронкой.
Но, а в том случае, если гнилой корень зуба, то его нужно просто удалить – штифт держаться в нем нормально не будет.
Даже если работа над гнилыми зубами идет прекрасными темпами, выявить причину появления гнилостных процессов, поскольку, если их не распространение гнилостности не остановить, все деньги, потраченные на реставрацию зубов, пойдут насмарку вместе с работой стоматолога и протезистов.
Этап диагностики, просверливания каналов и обработки антисептиками проводится так же, как и при остром воспалительном процессе. В дальнейшем врачебная тактика отличается.
Так, после очистки каналов в полость зуба ставят ватный тампон с лекарством и временную защитную пломбу. После этого назначают антибиотики, чтобы снять воспаление.
Если за несколько дней не отмечается дальнейшего распространения инфекции, каналы очищают и ставят на 2-3 месяца пломбу с гидроксидом кальция, которая дает хороший антисептический эффект.
После этого при отсутствии признаков воспаления каналы пломбируют и делают контрольный рентгеновский снимок. Только после этого при следующем визите к врачу проводится постоянное пломбирование. Если эндодонтическое лечение не дает желаемого результата, проводят хирургическое вмешательство — резекцию верхушки корня. Она предусматривает удаление определенной части зубного корня, а также патологического очага в канале.
Стоит отметить, что воспаление корней зубов — это заболевание, которое требует длительного лечения. Эффективность терапии зависит от своевременности обращения к врачу, степени воспалительных изменений и индивидуальных особенностей строения зубов. Чтобы предупредить осложнения и постоянные рецидивы, при появлении малейшей зубной боли следует немедленно обращаться к стоматологу.
Признаки воспаления корня зуба
Оно протекает в острой и хронической форме. В первом случае костная ткань еще не затронута.
На рентгеновском снимке признаков абсцесса верхушки корня видно не будет. Но человек испытывает сильную боль даже при несильном прикосновении к зубу.
Она может на время утихать, притупляться, но сама по себе не пройдет. У корня органа жевания образовывается гной.
Признаками острой формы периодонтита являются общее ослабление организма, повышенная температура, припухлость лица, флюс.
Кровоточивость десен
Деснами люди называют мясистые участки вокруг зубов. Врачи по цвету десен способны определить насыщенность периферических органов кровью, так как именно этот участок ротовой полости имеет в своем составе огромное количество мелких кровеносных сосудов в слизистой оболочке.
Десны зуба могут кровоточить как в результате механического повреждения, например, в результате неудачного очищения полости рта от остатков пищи с помощью зубной нити или в результате травмирования корнем зуба при его удалении.
В других случаях причиной возникновения крови из десны могут стать инфекции, занесенные воздушно-капельным путем или развившиеся на фоне удаления зуба. Различные воспалительные и гнойные процессы зубов часто становятся как причиной возникновения крови из десны до лечения, так и причиной осложнений при их лечении.
Что делать
Чаще всего кровь из десен и зуба течет при неправильных действиях больного после проведенных манипуляций в стоматологическом кабинете. Так, потревожив лишний раз ранку языком, можно содрать корочку и вызвать новое кровотечение. В такой ситуации остановка крови из зуба сводится к необходимости предотвращения новых ситуаций, в результате которых корочка снова отпадет, до заживления ранки.
Если же кровяные выделения идут продолжительное время, то можно к месту ранения приложить ватный тампон, смоченный в перекиси водорода. В этом случае кровь должна остановиться за 15-30 минут, в противном случае необходимо будет обратиться за врачебной помощью.
Иногда, зубная кровь может возникнуть на фоне болезней полости рта, но в таких случаях необходимо лечить не следствие (появление крови), а причину – болезнь. Действия пострадавшего для облегчения болей могут только усугубить ситуацию, ведь болезни полости рта (флюс, пародонтит и другие) не проходят самостоятельно и требуют квалифицированной помощи. И чем раньше будет она получена, тем лучше, ведь в таком случае медицинское вмешательство будет минимальным.
Если у человека обнаружены заболевания крови или другие болезни, на фоне которых отмечается нарушение свертываемости крови, то вопросом, как остановить кровь из зуба, должен озадачиться врач при получении данной информации от пациента. К сожалению кровь из зуба остановить в данном случае можно только при помощи лекарственных средств, выписанных врачом.
Факторы риска
Факторы износостойкости пломбы:
- воздействие низких и высоких температур – одновременный прием холодной и горячей пищи;
- употребление твердой, жесткой еды;
- дефекты прикуса, неправильное смыкание челюстей – приводит к избыточному трению зубов;
- патологическая стираемость эмали, бруксизм;
- нарушение правил гигиены.
Если вы манкируете чисткой зубов после еды, знайте, что остатки пищи скапливаются в межзубных промежутках и в бугорках жевательных зубов. Формируется стойкий бактериальный налет, который приведет к появлению вторичного кариеса.
Следите за вашими пломбами!
Рекомендуется обязательно менять пломбы, которые установлены с нарушениями технологий, например, пломба травмирует десну. Основная задача врачей нашей клиники – дать каждому зубу длинную жизнь, насколько это возможно. Но и вы тоже должны бережно обращаться со своей полостью рта, потому что от вас так же зависит, как долго простоит ваша пломба. Во-первых, гигиена во рту, в котором много зубного налёта, активно размножаются бактерии. Они вырабатывают своеобразные кислоты, которые приводят к размягчению эмали.
Смотрите за своим рационом
Любителям газировок, сладостей и булочек стоит задуматься о качестве своего питания, потому что многие продукты разрушают эмаль, вследствие чего понижается уровень фиксации пломбы. Так же на это влияют и резкие перепады температуры пищи. Большое количество потребления сухариков и семечек приводит к появлению микротрещин в зубах, эмаль трескается и так же есть вероятность выпадения пломбы. Заботьтесь о своих зубах вовремя, не ждите, пока кариес полностью уничтожит вашу красивую улыбку.
Дефекты пломбы: какие они бывают, и чем это грозит?
Сразу ответим на вопрос: нужно ли устранять дефект пломбы? Обязательно и незамедлительно нужно записаться на прием к лечащему стоматологу и устранить дефект или заменить пломбу.
Самостоятельно увидеть профнепригодную пломбу на зубе достаточно сложно. Только врач обнаружит патологические изменения ткани зуба, а для уточнения диагноза иногда прибегнет и к рентгенодиагностике.
Вторичный кариес — именно такой диагноз стоматолог чаще всего озвучит при осмотре полости рта дефект пломбы.
Основной признак рождения вторичного кариеса — нарушение герметичности прилегания пломбы. Пломбировочный материал со временем дает усадку, и при недостаточной гигиене пространство между пломбой и зубом — благоприятная среда для скопления зубного налета. Худший вариант — развитие стоматологических заболеваний: кариес, пульпит , гингивит , пародонтит … Такая пломба уже не эстетична и не функциональна, она плохо прилегает, а ткани зуба под ней темнеют и разрушаются.
Кстати, не обязательно кариес, развивающийся под такой пломбой, будет о себе давать знать. Чаще этот процесс бессимптомен, в чем и проявляется его коварство для пациента, который посещает стоматолога только при возникновении боли.
Обнаруженный дефект, который еще не спровоцировал рецидив кариеса, исправляется за несколько минут, и не всегда требует полной замены пломбы.
Отметить стоит тот факт, что пломба в сравнении с зубной эмалью , стирается быстрее, а значит изменяется жевательная нагрузка, прикус, и вновь зуб оказывается под риском разрушения.
Еще одна разновидность дефекта — это нависание краев пломбы, способное привести к травме десны и ее воспалению.
Плановое посещение стоматолога, а также регулярная профессиональная чистка зубов, способны защитить ваши зубы от нежелательных осложнений и предупредить развитие стоматологических заболеваний.
24 часа в сутки готовы придти на помощь вашим зубам и выполнить работу любой сложности.
Адгезивная реставрация
Если дыра в зубе большая, применяется адгезивный материал для восстановления целостности зубной единицы. В основе метода лежит эффект адгезии (прилипания) композитных материалов к тканям зуба. Полимерные материалы прочны для функции жевания, практически не отличаются по прозрачности и цвету от природной эмали.
Полимер прочно соединяется с эмалью, лечение выполняется в один этап и не требует трудоемких подготовительных процедур традиционного. Эта методика применяется для фиксации коронок, виниров и мостов, при лечении кариеса. Для осуществления высокотехнологичной адгезивной реставрации требуется обученный стоматолог, наличие оборудования.
Если кариозная полость слишком большая, то адгезивный материал может выпасть из нее, тогда для спасения зубной единицы надо ставить коронку. При поражении глубоких слоев зуба и корня, его придется удалить.
Почему образуется?
- Пренебрежение технологией лечения: доктор удалил не все некротизированные участки, плохо продезинфицировал полость, использовал материалы низкого качества или просто неправильно поставил пломбу или прокладку.
- Несоблюдение гигиены.
- Неправильный прикус.
- Частое и интенсивное нажатие в результате употребления слишком твёрдой пищи.
- Проседание пломбы.
Светоотверждаемые изделия больше всего склонны к проседанию. Чтобы этого не происходило, врач во время лечения скрупулёзно придерживается всех требований к постановке пломбы из такого полимера. Это полное удаление размягчённых и обнажение неповреждённых участков, сглаживание углов и выступов. Применение изолирующих прокладок также сводит риск проседания к минимуму, но всё-таки полностью не исключает.
По мнению специалистов, редко какая-то одна причина ведёт к возвращению кариеса. Единичный фактор может играть главенствующую роль, но провокаторами выступают всегда несколько.
Идет кровь из зуба: причины и что делать?
Современная стоматологическая практика располагает большим количеством информации, лечебной практикой заболеваний полости рта. Когда у человека идет кровь из зуба, можно предположить, что причиной являются патологические процессы десен. Провоцировать воспалительный процесс способны такие заболевания, как пародонтит, гингивит . Несоблюдение, неграмотное соблюдение гигиены ротовой полости также может являться причиной патологии. Чем острее развивается воспаление, тем большее кровотечение происходит. А вызвать его может даже щадящая чистка зубов.
Этиология
Среди причин воспаления зубного корни можно назвать следующее:
- несвоевременное лечение пульпита;
- вывих зуба;
- неправильное пломбирование зубных каналов;
- разрыв нервно-сосудистого пучка, после которого зуб становится чрезмерно подвижным;
- перелом корней зуба.




