Чтобы ответить на вопрос: почему бывает жёлтое нёбо во рту (смотри фото), следует подробнее изучить предмет внимания.
При осмотре рта помимо языка, дёсен с зубами и внутренних поверхностей щёк видна и вогнутая куполообразная поверхность, ограничивающая ротовую полость сверху.
Это нёбо – покрытая слизистой оболочкой костная конструкция, образованная нёбными отростками двух половин верхней челюсти.
Основное предназначение нёба – быть перегородкой, отделяющей полость рта от полости носа.
Нёбо выполняет такие функции:
- предотвращает попадание слюны и пищи в область, ответственную за дыхание и распознавание запахов;
- обеспечивает беспрепятственное движение вдыхаемого и выдыхаемого воздуха;
- отвечает за раздельное участие полостей рта и носа в функции образования звука.
Помимо неподвижной костной (твёрдой) части у нёба существует и часть мягкая. Это дупликатура слизистой оболочки (складка, имеющая вид сложенной вдвое ткани), перемещаемая вверх и вниз специальной мышцей: при её сокращении мягкое нёбо поднимается, при расслаблении – опускается.
В спокойном состоянии мягкое нёбо свисает, обеспечивая свободу прохождения воздушной струи. Но при глотании, напрягаясь и перекрывая доступ сзади, со стороны носоглотки, абсолютно герметично отделяет две самых крупных черепных полости друг от друга, предотвращая попадание пищи в пространство носа.
Функции неба
Небом называют покрытую слизистой оболочкой костную конструкцию, которая образована специфическими отростками двух половин верхней челюсти. Главным его предназначением считается отгораживание полости рта от носа. Небом выполняются следующие функции:
- предотвращается проникновение слюны и пищи в участок, ответственный за дыхание и распознавание ароматов;
- служит для беспрерывного движения вдыхаемого и выдыхаемого воздуха;
- необходимо для раздельного участия рта и носа в образовании звука.
Кроме неподвижной костной части неба, есть и мягкая. Она является дупликатурой слизистой оболочки, которая перемещается вверх и вниз специальной мышцей: с ее сокращением мягкое небо поднимается, а при расслаблении – опускается.
Во время спокойного состояния мягкое небо свисает, благодаря чему воздушная струя легко проходит. Но во время глотания, с напряжением и перекрытием доступа сзади, со стороны носоглотки, герметично отделяет две крупные черепные полоски друг от друга, защищая носовую полость от проникновения пищи.
Профилактические меры
Это поможет выявить заболевание на ранней стадии и своевременно начать курс лечения, предупредив тем самым развитие осложнений.
Также необходимо ежедневно осуществлять гигиенические процедуры ротовой полости для удаления остатков пищи и снятия налёта со слизистой.
Основной защитой любого человека является, прежде всего, иммунитет. Для его укрепления следует поддерживать физическую форму, кардинально пересмотреть рацион питания, и обогащать организм ценными минералами и витаминами.
Профилактическими мерами являются также следующие рекомендации:
- не следует злоупотреблять острой, солёной пищей, продуктами с твёрдой структурой;
- после приёма еды нужно ополаскивать рот специальным бальзамом или хотя бы чистой водой;
- при возникновении неприятных ощущений во рту провести ополаскивания на протяжении нескольких дней с применением отваров из прополиса, ромашки, коры дуба или шалфея.
Предупредить образование жёлтого налёта на нёбе может отказ от вредных привычек, в частности, от курения.
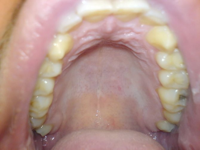
Почему появляется пожелтевшее небо?
Причин желтого неба во рту может быть много. Этот участок, как и остальные области кожи и слизистых на голове и внутри нее, отличается обильным кровоснабжением, что объясняется густой сетью капилляров. Из-за окраски протекающей по ним крови, небо и имеет здоровый цвет: твердое – бледно-розовое, а мягкое – розовое, но более темного тона.
По причине воспаления цвет становится ярко-малиновым или синим с багровым оттенком. Если появляется краснота и болит горло, то это является нормой, так как это естественная реакция на инфекцию. А о чем говорит желтое небо во рту? Это явление может быть связано с курением. Смолы, присутствующие в табаке, и образуемые при горении продукты распада, окрашивают слизистую. Это и приводит к появлению налета.
Кроме окрашивания, курение приводит к:
- расстройству микроциркуляции крови в тканях;
- изменению состава и свойств крови.
Причины
Область нёба, как и остальные участки кожного покрова и слизистых оболочек, характеризуется сильным кровоснабжением, что обусловлено наличием плотной сети капилляров.
Нормальный цвет, образующийся на поверхности, указывает на отсутствие воспалительного процесса в организме и других серьёзных нарушений. Изменение окраса нёба является проявлением симптоматики заболевания, которое определяется после проведения исследования.
С причинами, провоцирующими образование желтизны, можно ознакомиться из данных таблицы:
| Причины образования жёлтого налёта на нёбе | ||
| Название причины | Описание | Дополнительные симптомы |
| Заболевания печени | Наиболее распространёнными заболеваниями печени, распознающимися по желтизне нёба, являются: желтуха, цирроз, холецистит, холелитиаз и сифилис. При поражении органа происходят нарушения работы всех систем и обменных процессов: белкового, углеводного, жирового, пигментного и др. В зависимости от заболевания в желтизну окрашиваются углы нёба и границы между мягкой и твёрдой тканью (при холецистите, камнях в желчи) либо вся поверхность слизистой (при гепатите). |
|
| Проблемы с поджелудочной железой | Орган регулирует энергообмен и биохимические процессы, протекающие в организме человека. При проблемах с поджелудочной железой проявляется один из основных признаков – мягкое нёбо приобретает бронзовую тональность. Если при этом происходят сбои в желчной системе, то цвет комбинируется с ярко выраженной желтушностью. |
|
| Воспаление кишечника (толстого/тонкого) | Желтизна на верхнем нёбе при дисфункции кишечника появляется в связи с морфофункциональным единством слизистой полости рта и ЖКТ. Цвет нёба видоизменяется до желтоватого как на отдельных зонах, так и по всей его поверхности. Запущенность болезни отражается на интенсивности и структуре налёта. |
|
| Почечная недостаточность | Основные провокаторы почечной недостаточности: мочекаменная болезнь, сахарный диабет, пиелонефрит, новообразования, нарушение жирового обмена. В результате сбоя обменных и биохимических процессов на твёрдом нёбе появляется желтизна. Установить причастность почек к проблеме помогает дополнительная симптоматика. |
|
| Нарушение холестеринового и жирового обмена | Нарушение холестеринового обмена сопровождается изменением цвета мягкого нёба с розового на жёлтый. При этом на поверхности слизистой хорошо просматриваются серые бугристые пятна. Сбои в жировом обмене распознаются по бледному желтушному налету на нёбе. Основными провокаторами нарушения обменных процессов считаются: туберкулёз, диабет, онкология. |
|
| Курение | Изменение цвета нёба происходит под воздействием смол, которые входят в состав табака в большой концентрации. Вредная привычка провоцирует нарушение циркуляции крови и биохимические процесс в тканях, связанные с нарушением обменных и других процессов. Слизистая теряет розовый цвет, становится жёлтой. |
|
Болезни печени
Нарушение внутрипеченочного обмена становится причиной глубоких расстройств в биохимии всех органов и систем организма, что приводит к нарушениям всех видов обмена:
- белкового;
- жирового;
- углеводного;
- микроэлементного;
- пигментного.
Наблюдается сбой в образовании витаминов и гормонов, происходит изменение параметров крови (по вязкости), из-за чего возникает гипоксия тканей. Небо может побледнеть, вероятно разрыхление слизистой. Часто цвет слизистой меняется на желтый.
При болезнях печени вид неба будет особенным:
- желтоватые углы передней части мягкого неба являются симптомами хронического холецистита и камней в желчном пузыре;
- при циррозе печени возникают желтые пятна в местах отмирающих тканей;
- из-за вирусного гепатита небо также окрашивается в желтый цвет.
Причины возникновения стоматита
Причин, по которым может развиваться воспаление неба, очень много. Назовем их:
- cлизистая оболочка в процессе пережевывания все время контактирует с разными видами продуктов. Ее ткани очень нежные, поэтому контакт с грубой, горячей пищей, просто вредными веществами может приводит к их травмированию. Если при этом отсутствует должная гигиена полости рта, проблем не избежать. Или другой вариант – маленькая царапинка, и в мягкие ткани неба уже попала инфекция, которая вызвала отек, появление волдырей и язв на нёбе;
Часто при термическом поражении ткани неба приобретают красный или синеватый цвет.
- кандидозный стоматит либо бактериальная инфекция, которая развивается непосредственно на слизистой неба, также может стать причиной развитий воспалительного процесса. Характерные симптомы – налет грязного белого оттенка, краснота, отечность, мелкие язвы. Болезненность и жжение во время глотания насколько сильные, что больной обычно отказывается от еды. Аналогичные проявления имеет и ангина;
- стоматологические заболевания, которые затрагивают околозубные мягкие ткани. Возможно появление белых пятен во рту, небольших язвочек. Болевые ощущения в данном случае вызывают такие заболевания как стоматиты, пульпиты, кариес. Вполне может быть, что воспалительный процесс развился в результате удаления нерва или раскрытия десны с повреждением функции височно-челюстного сустава;
- лейкоплакия – изменения слизистых в данном случае вызывает постоянное употребление холодной или горячей пищи, механические травмы. Гальванические токи также могут изменить состояние среды в ротовой полости, если вы носите коронки и другие металлосодержащие протезы, брекеты;
- курение – злостные курильщики в большей мере, чем остальные люди, подвержены заболеваниям слизистой рта. Возможно появление опухолей доброкачественного характера, имеющих совсем небольшие размеры. После самопроизвольного вскрытия таких опухолей образуются язвочки.
В некоторых случаях больному кажется, что стоматит возник без каких-либо предпосылок, совершенно неожиданно. На самом деле, развитие стоматита возможно вследствие целого ряда причин. При этом у разных людей реакция на их воздействие не будет одинаковой. То, что у одного спровоцирует воспалительный процесс, у другого может пройти без всяких последствий. Ниже представлены семь основных причин развития стоматита у взрослых. На фото к статье — примеры симптомов стоматита, вызванного разными факторами.
| Причина | Примеры | Примечания |
| Инфекция | Инфекционные заболевания бактериального, вирусного, грибкового происхождения:
|
Инфекция может попасть на слизистую оболочку извне (когда происходит заражение от живого носителя), либо вследствие развития в организме пациента инфекционных заболеваний в острой или хронической форме. |
| Механическое повреждение | Однократные травмы или систематические повреждения слизистых оболочек полости рта:
|
Для того, чтобы произошло заражение, достаточно появления микроскопической ранки на слизистой. |
| Плохая гигиена ротовой полости | Нерегулярная чистка зубов, поверхности языка, отсутствие полоскания рта после приема пищи и использования зубной нити. | Если у человека от природы крепкие зубы и прочная плотная эмаль, это не гарантирует здоровье ротовой полости при отсутствии должного ухода. В таких случаях стоматологические заболевания также проявляются, но позже. |
| Хронические болезни | Стоматит может быть симптомом хронической патологии ЖКТ, а не самостоятельной болезнью:
|
В таких случаях местное симптоматическое лечение неэффективно. Чтобы избавиться от стоматита, сначала требуется диагностировать и вылечить вызвавшее его заболевание. |
| Аллергическая реакция («медикаментозный» стоматит) | Прием сильнодействующих лекарственных средств:
|
Сопровождается жаром, крапивницей, покраснением. Стоматит может появиться через несколько дней после внешних признаков аллергии. |
| Вредные привычки | Среди привычек, приводящих к развитию стоматита, выделяют:
|
При употреблении указанных продуктов и веществ слизистые оболочки полости рта подвергаются интенсивному агрессивному воздействию, что приводит к их разрушению. |
| Стрессы | Интенсивные умственные или физические нагрузки, нервные потрясения, перенапряжение. | — |
Виды заболеваний, которые могут стать причиной патологии
Желтизна неба может появиться при следующих недугах:
- Желтуха. При ней повышается концентрация гормона билирубина в крови. Желтое небо является симптомом заражения вирусами гепатита, цирроза печени, нарушения проходимости желчевыводящих путей. У пациента наблюдается тошнота, рвота, отрыжка, сложности с дефекацией. Лечение выполняется после выявления вируса, который вызвал изменения пигментации.
- Сифилис. На 2 стадии, которая длится 2-5 лет, симптомы болезни проявляются периодически. Обычно проявляются желтые пятна во рту. Ощущается слабость и ломота в мышцах. Еще происходит выпадение волос. Неприятных симптомов получится избежать при своевременной терапии. Часто применяют пенициллин или антибиотики. Еще нужны процедуры для укрепления иммунитета.
- Холелитиаз. Это желчнокаменная болезнь, которая приводит к возникновению желтого оттенка неба. Причиной может быть заполнение желчного пузыря камнями, образованными из-за скопления холестерина, солей. В этом случае используют разные методики разрушения камней. В запущенных случаях надо удалять желчный пузырь с помощью оперативного вмешательства.
- Холецистит. При нем появляется выраженная желтизна. К дополнительным признакам относят горький привкус во рту, тошноту и боль в правом подреберье. Пациентам назначаются антибиотики, средства для нормализации пищеварения, дезинтоксикации.
Инфекционные и воспалительные процессы
К инфекционным заболеваниям полости рта и языка (фото ниже) относят стоматиты. Они вызываются в основном нерегулярной и неграмотной гигиеной ротовой полости, а иногда являются следствием болезней ЖКТ и некоторых других (ангина).
- Стоматит катаральный. Главным симптомом является отек слизистой, сопровождающийся болевыми ощущениями и белесым либо светло-желтым налетом.
- Язвенный. В этом случае слизистая поражается по всему объему и глубине. Это сопровождается отеком лимфатических узлов, головокружением и болью, общей слабостью и недомоганием. Как правило, данный вид возникает у больных с язвой желудка или кишечника, энтеритом.
Стоматит — инфекционное заболевание полости рта
- Афтозный. Представлен эрозийным поражение слизистой и характеризуется очагами афт. Появляется вследствие инфицирование ротовой полости, желудочно-кишечного дисбаланса, ревматизма. Также может следствием аллергии. Основные симптомы: вялость, гипертермия и затем уже появление эрозийных язв.
Болезни ЖКТ
Причины желтого мягкого неба во рту могут быть связаны с заболеваниями ЖКТ. Изменение свойств пищеварительного сока во время воспаления является причиной отложения солей желчных кислот в тканях кожного покрова и слизистых. Иногда появляется зуд на коже, наблюдается изменение цвета. Те же симптомы проявляются и на выстилающих разные полости, слизистых оболочках.
Небо во рту желтого цвета может быть из-за хронического воспаления в тонком и толстом кишечнике с частыми запорами. При патологиях в печени и поджелудочной железы бронзово-желтушная окраска появляется именно на мягком небе.
Заболевания крови редко проявляются самостоятельно, обычно это реакция на расстройства функций обмена в печени или других системах органов. Почему небо во рту желтое? Связано это может быть с малокровием и анемией. Также желтый цвет может свидетельствовать о патологии надпочечников.
Лишайная болезнь
Как правило, слизистую поражает плоский красный лишай. Одновременно он может проявляться на кожном покрове. Является следствием ослабления иммунитета, а также системных болезней ЖКТ, печени, сахарного диабета, наследственной предрасположенности к патологии.
Главные симптомы: покраснение слизистой, появление пузырчатых высыпаний, эрозий и язв, бляшек.
Сопутствующие симптомы
Как видно по фото, желтое небо во рту выглядит неестественно (изображение представлено в первом разделе статьи). Кроме данного симптома, могут быть еще и сопутствующие признаки:
- При патологиях почек вероятно появление отеков и расстройств мочевыделения.
- Заболевания крови проявляются симптомами недостаточности кровоснабжения органов.
- Изменения в печени характеризуются расстройствами пищеварения и обмена.
Но если при заболеваниях пищеварительной системы еще страдает и обмен веществ, то происходит изменение массы тела, при аддисоновой болезни проявляются кризы. При острой надпочечниковой и сосудистой недостаточности появляется:
- внезапная резкая боль в поясничном участке, ногах, животе;
- падение способности двигаться;
- выраженная лихорадка;
- интенсивный понос и рвота;
- артериальная гипотензия;
- потеря сознания;
- нарушение водно-солевого обмена.
Во всех этих случаях вероятно появление желтого неба во рту, из-за чего некоторые сразу обращаются к стоматологу. Также коричневый налет может появиться на зубах, языке.
Какие могут быть еще признаки?
В зависимости от проблемы, вызвавшей изменение оттенка неба, заметны и другие патологии. Составив общую картину по жалобам пациента, врач сможет быстрее определиться с заболеванием, которое вызвало ухудшение состояния здоровья.
Так, в дополнение к пожелтению неба могут быть:
- отечность тканей и слишком частое мочеиспускание, если проблема в почках;
- увеличение лимфатических узлов из-за недостаточного кровоснабжения при патологиях кровеносной системы;
- расстройство пищеварения (запоры, диареи, тошнота), когда происходит нарушение работы органов желудочно-кишечного тракта;
- резко падает вес, например, при аддисоновой болезни или онкологии;
- боль в пояснице, ногах, животе, горле, в зависимости от локализации проблемы;
- повышение температуры тела и иные признаки интоксикации;
- изменения артериального давления;
- пожелтение языка происходит также при патологии печени;
- горький привкус.
У новорожденных подобные проблемы чаще говорят о появлении вирусных или инфекционных заболеваний ротовой полости. Тогда у грудничка также могут быть красные точки на поверхности слизистой, желтый или белый налет, язвочки и пр.
Диагностика
При наличии желтого неба во рту у взрослого или ребенка необходимо выполнить диагностические мероприятия. Сначала посещают стоматолога, где специалист проводит исследование ротовой полости. Врач обращает внимание и на остальные участки ротовой полости, в том числе участки между щеками, деснами, губами. Ведь именно там могут быть обнаружены признаки определенного недуга, например, молочницы-кандидоза.
Так как желтое небо во рту у ребенка и взрослого не появляется как самостоятельное заболевание, помимо осмотра у стоматолога, потребуется помощь других врачей. Обычно обращаются к:
- терапевту;
- ЛОР-врачу;
- онкологу;
- аллергологу.
Проведение диагностики
Когда человек замечает, что у него изменился оттенок слизистой или неба, нужно обязательно обратиться к врачу. Изначально пациенты посещают в таком случае стоматолога или терапевта. И когда после осмотра врач решит, что нужна консультация другого специалиста, то может направить к отоларингологу, нефрологу, гастроэнтерологу, онкологу, аллергологу, урологу и пр.
Чтобы установить диагноз и назначить эффективное лечение, недостаточно лишь увидеть состояние ротовой полости. Чаще всего проводят дополнительные процедуры:
- анализы крови, мочи, кала;
- аллергические пробы;
- УЗИ;
- МРТ или КТ;
- рентгенографию.
Только при полностью собранном анамнезе и результатах лабораторных и инструментальных исследований можно говорить о том, что именно стало первопричиной, вызвавшей нарушения в работе органов и систем. И только устранив основной фактор, можно ожидать, что состояние слизистой восстановится.
Лечение
Если во рту мягкое небо желтое, то необходимо своевременное лечение. Информация, полученная после прохождения диагностики, позволяет определить недуг, а также установить его причину. При выявлении терапевтической патологии (болезней ЖКТ, почек) лечение выполняется врачом-терапевтом или специалистом узкого профиля:
- гастроэнтерологом;
- урологом;
- нефрологом.
При системном недуге категории ревматизма, сифилиса, ВИЧ требуется лечение в специальном лечебном заведении. Если обнаружена онкологическая патология, то терапию проводят с онкологом, хирургом и врачами-консультантами: невропатологами, окулистами и остальными специалистами узкого профиля.
Методы лечения
Терапевтический подход будет существенно отличаться в зависимости от того, что именно вызвало патологию, и какой из органов пострадал больше всего. Но в любом случае нужна комплексная система, при которой воздействуют как на общее состояние организма, так и снимают отдельные симптомы локально.
Врачи назначают следующие процедуры:
- тщательная гигиена ротовой полости;
- профессиональная чистка или проведение санации, устранение инфекционных очагов на зубах или слизистой поверхности;
- антисептические полоскания;
- общеукрепляющая терапия, прием витаминно-минеральных комплексов, иммуномодуляторов;
- применение антибиотиков, когда это необходимо;
- при наличии вирусных микроорганизмов нужны противовирусные препараты.
Если выявлена онкология или ВИЧ, то лечение обязательно проходит в специализированных заведениях согласно терапевтическому плану. Когда проблема является местной и затрагивает лишь органы ротовой полости, тогда этим занимается стоматолог или отоларинголог. При наличии заболеваний внутренних систем, например, желудочно-кишечного тракта, терапевт или гастроэнтеролог назначает соответствующее лечение.
Особенности лечения
Лечение предполагает не только восстановления нормального цвета неба, но и устранение главной причины, которая привела к отклонению. При пожелтении неба и горького привкуса во рту, если это связано с заболеваниями печени, назначаются средства на растительной основе. Это «Гепабене», «Хофитол», «Силимарин». Еще принимаются восстанавливающие средства – «Эссенциале», «Фосфоглив», препараты животного происхождения – «Гепатосан».
При заболеваниях почек назначают комплексное лечение. Выписываются мочегонные средства – «Фуросемид», «Верошпирон». Еще применяют спазмолитики – «Папаверин», «Но-шпа», фитопрепараты – «Канефрон», «Цистон», средства для понижения давления – «Пентамин», Резерпин».
Терапия при заболеваниях ЖКТ определяется конкретным недугом. К примеру, при бактериальном гастрите используют антибиотики – «Левомицетин», «Тетрациклин». При язве эффективен антибиотик «Амоксициллин». Для устранения болевого синдрома применяют спазмолитики – «Платифиллин». Чтобы стимулировать секреторную функцию желудка, используется «Пепсин». Кроме лечения основного недуга нужна симптоматическая терапия. Больному надо использовать антисептические средства. Также надо полоскать рот отваром шалфея или ромашки, выполнять солевые ванночки (1 ч. л. соли на 1 ст. кипятка).
Желтое нёбо во рту у взрослого
Принимается во внимание также отношение пациента к вредным привычкам. Желтизна с выраженной сеткой из прожилок часто образуется в результате регулярного курения.
При проведении диагностики учитывается возраст пациента. У людей после 50 лет появление жёлтого налёта на нёбе считается физиологическим процессом, поэтому не всегда обнаруживаются серьёзные проблемы со здоровьем.
У ребенка
Пожелтевшее небо появляется не только у взрослых, но и у детей. Помимо стоматологических проблем данный признак может указывать на другие болезни, поэтому ребёнка следует показать гастроэнтерологу, ЛОР-у, педиатру, инфекционисту, гепатологу.
Нередко у маленьких пациентов с таким симптомом диагностируют молочницу. Если возникают сомнения при определении проблемы, рекомендуется пройти полное обследование, включая сдачу крови на уровень билирубина.
Народные средства
Лечение народными способами не имеет отличий от тех, которые предлагаются медициной и стоматологией. Домашняя терапия предполагает:
- Использование антисептических средств, которые надо использовать в гигиене рта. Это могут быть чаи и настои.
- Укрепление здоровья традиционными средствами. Для этого применяются медо- и пчелопродукты.
Методы народной медицины можно использовать только после консультации с врачом. Также не стоит использовать сомнительные средства. Только тогда лечение принесет положительные результаты.
Лечение народными способами
Общие принципы лечения народными методами не отличаются от таковых в медицине и стоматологии:
- применение антисептических средств (чаёв, настоев) для гигиены полости рта;
- повышение уровня здоровья с помощью традиционных, испытанных средств (медо- и пчелопродуктов и аналогичного).
Использование методов народной медицины ни в коем разе не должно идти вразрез с требованиями науки официальной, предложения применить неизученные либо сомнительные методы лечения должно быть категорически отвергнуты.
Применение любой формы полоскания либо иного метода лечения должно быть одобрено лечащим врачом больного.
Профилактика
Чтобы исключить появление желтизны неба, необходимо придерживаться профилактических мер. Они заключаются в следующем:
- Бережный и внимательный уход за полостью рта.
- Своевременное посещение стоматолога и выполнение его предписаний.
- Предотвращение вероятных недугов с помощью укрепления защитных сил. А при появлении патологий требуется своевременное лечение.
Таким образом, желтое небо появляется из-за разных причин. При любой патологии есть эффективное лечение. Требуется придерживаться рекомендаций специалиста, и тогда получится не допустить осложнений.
Возможные осложнения
При отсутствии должного и/или своевременного лечения воспаление неба может переходить в хроническую форму с частыми рецидивами. Наличие язвочек в полости рта существенно ухудшает качество жизни, вызывает болезненность при глотании, питье, приеме пищи. Заражение может распространиться и на другие ткани, вплоть до воспаления надкостницы зуба.
Также со временем патология может перейти на околозубные ткани, язык, слизистую рта, и лечить ее будет намного труднее. Поэтому при появлении неприятных ощущений не тяните время и как можно скорее обращайтесь за помощью к врачу. Ангину лечат только антибиотиками.
Причины воспаления нёба
Составляющие нёба:
- твёрдое нёбо или верхнее – костная ткань, имеет дугообразную форму;
- мягкое или нижнее – состоит из слизистой оболочки.
Основная функция органа – исключать попадание пищи из полости рта в носовой ход. К дополнительным обязанностям относится участие в артикуляции за счёт поверхностных рецепторов, которые связаны с гортанью.
Повлиять на функционирование нёба может воспалительный процесс, который поражает слизистые ткани из-за воздействия внешних раздражителей или дисфункции внутренних органов.
Таблица «Причины воспаления нёба»
| Внешние факторы | Употребление горячих продуктов питания или напитков, что может спровоцировать ожёг слизистой (нёбо синее, опухло, появились кровоподтёки) |
| Негативное воздействие металлов (скобы, коронки) на здоровую среду полости рта | |
| Использование протезов (трение инородного тела о слизистую оболочку со временем может спровоцировать ранки или язвенные процессы) | |
| Злоупотребление табачными изделиями | |
| Игнорирование гигиены ротовой полости. Если длительное время не чистить зубы и не полоскать рот, любое механическое повреждение (царапина, ушиб) может впустить инфекцию в организм | |
| Ранки, язвы в следствии травмы или укола анестезии при удалении (лечении) зуба. В результате возникает спазм или ишемия сосудов, что приводит к доброкачественному уплотнению – сиалометаплазии | |
| Патологические состояния ротовой полости | Грибковые или бактериальные инфекции, вирусные патологии провоцируют сыпь на слизистой – энантему (у ребёнка выражается в виде гиперемии слизистой, мелкими прыщиками, изъязвлениями) |
| Развитие инфекции в костной ткани челюсти (остеомиелит) | |
| Уплотнения онкологической этиологии. Часто встречаются у взрослых с патологическими нарушениями иммунитета | |
| Поражение суставов челюсти (верхней или нижней) вследствие развития неврологических отклонений | |
| Инфекции верхних путей дыхания (тонзиллит, ангина, фарингит, ринит) | |
| Болезни зубов (кариес, пародонтит, стоматит, пульпит) | |
| Аллергические проявления на лекарственные средства | |
| Нарушение функций височно-челюстного сустава |
Чтать также: Evic vtc mini инструкция на русском
Воспаление нёба не протекает скрыто. Обычно боль ярко выражена, что сильно затрудняет пережёвывание пищи, остро проявляется при глотании. В зависимости от причин, которые повлекли такое состояние, симптомов болезни много.
- При грибках и бактериях (часто бывает у детей до 1 года из-за того, что ребёнок всё тянет в рот) – на нёбе возникает белый налёт, небольшие изъязвления. Слизистая жжёт, болит (особенно во время еды), появляется гнилостный запах изо рта. У взрослых инфекция может развиваться после некачественного удаления зуба, быть следствием стоматологических патологий или результатом травм.
- При болезнях горла (тонзиллит, ангина) – верхнее нёбо красное, есть отёк, слизистая рыхлая. Глотание сопровождается болью и покалыванием, развивается сильное раздражение слизистой оболочки.
- При злокачественных опухолях у пациента болит нёбо внутри, при этом дискомфорт ноющего характера.
- После удаления зуба – кровоподтёк и припухлость наблюдается ближе к зубам около дёсен.
- При нарушениях работы печени – налёт на мягком и твёрдом нёбе жёлтого цвета, возможен небольшой отёк и покраснение.
- При простуде – верхнюю часть полости рта щиплет, сводит, слизистая шершавая.
Если это ангина
Источником заболевания является вирус, передаётся воздушно-капельным путём. Пятна во рту разрастаются мгновенно, образуя одну сплошную красноту.
Симптомы:
- боли в брюшной полости;
- резкое повышение температуры, удерживание высоких показателей несколько дней;
- покраснение слизистой рта;
- обильное выделение слюны;
- увеличение параметров лимфоузлов;
- мышечная слабость;
- боли при глотании;
- красные пятна на нёбе преобразуются в пузырьки с мутной жидкостью;
- на месте вскрытия пузырей остаются эрозии.
Больному назначают 4-6 разовые полоскания горла антисептиками, препараты противовоспалительного действия, жаропонижающие и обезболивающие. В стационар направляются дети до года, а также пациенты с осложнениями.
В период лечения нужно исключить из рациона питания агрессивную пищу, продукты с твёрдой структурой, чтобы не спровоцировать травмирование воспалённой слизистой.
Дополнить традиционную терапию можно народными средствами:
- питьё чаёв на основе шиповника, лимона, малины;
- полоскание горла отварами (шалфей, ромашка, липа, луковая шелуха);
- рассасывание мёда;
- полоскание рта свекольным соком, солевым раствором, настоем на чесноке.
Варианты лечения воспаления и боли в небе
Некоторые причины воспаления неба довольно опасны, потому лечение нужно начать сразу же после постановки диагноза. Тактика терапии зависит от того, почему воспалилась слизистая оболочка, устилающая верхнюю часть ротовой полости.
При несильном механическом или термическом повреждении небных тканей можно полоскать рот раствором из соды и соли или настойками и отварами из трав: ромашки, шалфея, коры дуба. Для снятия боли, возникшей из-за того, что человек обжег слизистую оболочку полости рта в ходе дегустации блюда, достаточно прополоскать рот холодной водой или содово-солевым раствором.
Если небо воспалилось довольно сильно, стоит прибегнуть к применению местных противовоспалительных и обезболивающих лекарственных препаратов. Чтобы быстрее убрать болезненные ощущения и зуд, следует дополнить медикаментозную терапию народной, а также исключить риск попадания инфекции в мелкие царапины и язвочки.
Чтобы избавиться от воспаления неба, следует лечить не только симптоматику, но и спровоцировавшую ее появление болезнь. К примеру, при ангине нужно принимать антибиотики, терапевтический курс может длиться 1–2 недели. Грибковые заболевания лечатся только противогрибковыми препаратами в виде мазей, спреев и гелей. Вирусные – противовирусными. Все инфекционные патологии свидетельствуют об ослаблении иммунитета, поэтому требуют прохождения терапевтического курса по его укреплению.
Если небо воспалено из-за поражения зубов кариесом или пульпитом, потребуется лечение у стоматолога. Человек не сможет избавиться от заболевания, пока не вылечит зубы, так как кариес является постоянным источником инфекции во рту.
Основные лекарственные средства
Ранки и язвочки, образующиеся при воспалении верхнего неба, следует обрабатывать антисептиками, к примеру, Ротоканом, Хлоргексидином или Фурацилином. С грибковым воспалением борются такие препараты:
Вифероновая, Пимафуциновая и Нистатиновая мази.Крем Клотримазол.Низорал.Бура с глицерином.
Если небо во рту болит излишне сильно, можно делать в домашних условиях теплые настои для полоскания из ромашки, прополиса, эвкалипта или коры дуба. Но лучше приобрести в аптеке анестетик в виде спрея: Гексорал, Лидокаин Асепт или Бензокаин. Легким обезболивающим свойством обладают такие стоматологические гели, как Холисал, Лидохлор, Камистад. Их основная функция – купирование воспаления, а второстепенная – анестезия.
Если воспаление неба, сопровождающееся его отеком, вызвано вирусными агентами, подойдут противовирусные лечебные спреи Мирамистин, Люголь, а также мазь Ацикловир. Если небные ткани распухли на фоне вирусного стоматита, можно воспользоваться народными рецептами лекарственных средств, которые легко готовятся в домашних условиях. Главными ингредиентами в них выступают масла облепихи и шиповника, настойка прополиса.
Лечение в домашних условиях
Боль и дискомфорт внутри ротовой полости из-за воспаления нёба сильно ухудшает привычную жизнь пациента. Облегчить состояние и справиться с болезнью помогают аптечные препараты и народные средства в качестве вспомогательная терапии.
Лекарства
Основное лечение зависит от первоначального заболевания:
- При грибках и бактериальных патологиях рекомендуется использовать местные препараты для полоскания рта и смазывания слизистой – раствор и гель Хлоргексидин, Ротокан, Стоматофит.
- При сильном болевом синдроме разной этиологии назначают местные анестеки – Калгель, Холисал-гель.
- При гнойных поражениях нужны антибиотики для применения внутрь – Флемоксин, Сумамед.
Народные средства
Если ранки во рту долго не заживают, снять воспаление в ротовой полости и убрать боль поможет народная медицина. Эффективные рецепты хорошо помогают в комплексной медикаментозной терапии.
Отвар шалфея
В 250 мл кипятка заварить 1 ч. л. травы, проварить на медленном огне 3 минуты, остудить. Процеженным раствором полоскать ротовую полость 4–6 раз в сутки. Курс лечения – до полного устранения неприятной симптоматики.
Отвар коры дуба
Измельчить сырьё и насыпать в эмалированную кастрюлю 2 ст. л., залить 500 мл кипятка. На водяной бане проварить 5–7 минут, оставить настаиваться. Процедить и полоскать ротовую полость тёплым отваром каждые 2 часа.
Настой из листьев малины
Мелко нарезать листья малины (2 ст. л.) и залить стаканом кипятка. Остывшей жидкостью промывать рот не менее 5 раз в сутки. Для каждой манипуляции необходимо готовить стакан свежего настоя.
Настойка зверобоя
Сухую траву (150 г) залить 0,5 л водки, настоять неделю в тёмном месте. Лекарство пить по 35 капель, запивая водой. Средство подходит и для наружного использования. В 50 мл воды разбавить 20 капель раствора и смочить ватный диск, протереть изъязвления на нёбе.
Отвар из ягод калины
Высушенные ягоды (100 г) поместить в кипяток (1 л) и проварить 15 минут. Остывшим отваром полоскать полость рта 3–4 раза в день.
Настой из ромашки и календулы
В равных частях (по 1 ч. л.) соединить соцветия ромашки и календулы. Растительную смесь залить двумя стаканами кипятка и оставить настаиваться 50 минут. Травяным чаем тщательно полоскать рот, горло утром и вечером.
Настойка прополиса
Аптечное средство разбавить в воде с расчета 10 капель на 200 мл тёплой воды. Раствором полоскать рот в течение 5–7 минут каждые 2–3 часа.
Профилактика фарингита
- часто мыть руки;
- промывать нос физраствором (или растворами типа Тонимер, Квикс);
- полоскать горло растворами ромашки, соды (2%);
- избегать людных мест во время «бушевания» респираторных инфекций — например – поликлинику, если ваш вопрос не жизненно важен и может подождать (профилактический осмотр). Если же не посещение не избежать, можно перед выходом из дома мазать нос (внутри) Оксалиновой мазью или же носите защитную маску. По возвращению домой, обязательно выполняйте пункт 1 и 2.
- проветривать помещения как можно чаще — через каждые 45 минут оставлять открытыми окна на 5-7 мин. Этот совет относится скорее к офисам, садикам, школам.
Для общего укрепления организма:
- питайтесь правильно – овощи, фрукты, молочные продукты, мясо;
- употребляйте много жидкости (до 2х литров);
- избегайте стрессовых ситуаций;
Будьте здоровы!
Профилактические мероприятия
Любая болезнь в младенческом возрасте переносится крайне тяжело, к тому же, запущенный недуг может перерасти в хроническую форму. Важно уделить внимание профилактике различных заболеваний. Поскольку кандидоз является одним из наиболее распространенных недугов, для предотвращения его появления необходимо:
- Давать воду ребенку после кормления и каждого срыгивания. Несколько ложек теплой жидкости смоют остатки пищи, которые являются средой для размножения бактерий.
- Мама и все взрослые должны тщательно мыть руки перед контактом с ребенком, его игрушками.
- Бутылочки, пустышки, игрушки, которые берет в руки ребенок, нужно обдавать кипятком как можно чаще. Если этого по каким-либо причинам сделать нельзя, вещи следует обрабатывать содой. Это позволит предотвратить рецидив молочницы.
В превентивных целях маме необходимо соблюдать общие рекомендации по личной гигиене и уходу за новорожденным:
- если кроха находится на ГВ, его нужно продолжать как минимум до годовалого возраста, что обеспечит защиту от инфекций;
- перед кормлением мыть грудь теплой водой;
- следить за достаточным поступлением витаминов в организм ребенка – мать, кормящая грудью, должна кушать фрукты, овощи, полезно добавлять в воду сок лимона;
- младенцам-искусственникам нужно подбирать сбалансированные смеси с минимальным содержанием сахара;
- ежедневно купать грудничка и чистить ему десны и зубы (в младенчестве можно использовать резиновую щетку-напальчник);
- поддерживать чистоту предметов, с которыми может играть ребенок, особенно в период прорезывания зубов, когда он все тянет в рот;
- кипятить или утюжить постельное белье;
- предоставить ребенку индивидуальную посуду, полотенце;
- избегать резких перепадов температуры;
- больше гулять с крохой на улице.
Инфекция легко передается неокрепшему организму от родителей, поэтому следует тщательно заботиться о своем здоровье. Во избежание инфицирования через слюну малыша не рекомендуется целовать в губы или облизывать ложку, используемую для кормления.
Налет в горле у ребенка
У детей слабее иммунитет, чем у взрослых. Детские миндалины не могут хорошо справляться с инфекциями, которые ожидают их в садике или школе, на улице, особенно, если эти инфекции распространяются воздушно-капельным путем. В силу этих причин дети чаще взрослых болеют ангинами, грибковыми заболеваниями рта и глотки.
Миндалины ребенка порой моментально реагируют на внедрение болезни появлением налета. Не нужно медлить с обращением к врачу, не стоит ждать развития заболевания или, хуже того, осложнений.
Специалисты рекомендуют родителям своевременно заниматься и профилактикой болезней у детей, укреплять их иммунную систему.
Причины налета
Итак, налет в горле – это реакция небных миндалин на попадание в организм вирусов, бактерий и микробов. Налет появляется в углублениях (так называемых склепах миндалин) – там собираются остатки пищи, а также вредоносные микроорганизмы, которые размножаются под действием микрофлоры. Затем они разлагаются, а это ведет к нагноению, которое обволакивает миндалины и создает налет.
Появление налета в горле – первый сигнал для организма о том, что его атаковала болезнь и что нужно срочно принять меры для профилактики, поскольку защитная функция миндалин снижена, они не могут справиться с тем, чтобы защитить человека от дальнейшего проникновения микроорганизмов (например, в трахею, бронхи, легкие и т.д.).
Налет в горле может иметь различные причины:
• скарлатина;
• ангина;
• дифтерия;
• кандидоз (молочница);
• стоматит;
• красный плоский лишай;
• лейкоплакия (лейкоэдема);
• актиномикоз;
• сифилис;
• химические ожоги слизистой вследствие приема раздражающих медпрепаратов (например, аспирин).
Методы диагностики
При изменении цвета верхнего неба в первую очередь необходимо посетить терапевта, отоларинголога и стоматолога для исключения наличия проблем стоматологического характера. Также может потребоваться консультация таких узких специалистов, как гастроэнтеролог, аллерголог, онколог.
После первичного осмотра для определения истинной причины пожелтения небной области назначают следующие диагностические мероприятия:
- общий анализ крови;
- забор образовавшегося налета и его исследование;
- анализ крови для оценки состояния иммунной системы;
- рентгенография;
- КТ или МРТ;
- УЗИ органов брюшной полости.
Способы лечения подбирают исходя из полученных в ходе диагностики данных.
Какого цвета нёбо здорового человека, как выглядит?
Их структура образована из чувствительных тканей, покрытых слизистой оболочкой, что объясняет склонность незамедлительно реагировать на различные раздражители.
Слизистая здорового нёба выглядит так: она имеет ровный цвет нежно-розовой тональности, прожилки на поверхности не наблюдаются. При обнаружении каких-либо изменений следует обратиться к специалисту за консультацией.
Исследовав слизистую рта и изучив характерные признаки, врач даст рекомендации относительно дополнительного обследования. На основании результатов анализов ставится точный диагноз и разрабатывается индивидуальная схема лечения.
Диагностические процедуры
В начале развития заболевания обнаружить опухоль может только стоматолог. Когда опухоль уже значительно увеличилась в размерах, для постановки диагноза достаточно визуального осмотра.
Для подтверждения диагноза используются следующие методы:
- Рентгенография. С ее помощью можно выявить патологические процессы в костных структурах.
- Биопсия. Для ее проведения требуется небольшой кусочек ткани с пораженного участка, исследование которого позволяет выявить патологические изменения в клетках и определить стадию заболевания.
- Анализ крови. Показывает наличие воспалительного процесса, а также анемию.
- Радиоизотопное исследование. Позволяет изучить опухоль изнутри.
- Ультразвуковое исследование. Позволяет определить наличие метастазов.
На этапе диагностики важно дифференциировать патологию от других, схожих по симптоматике.
Болезнь или нет?
Красные прожилки на миндалинах – это не болезнь, если они есть, но не болят миндалины. А если болят и возникают другие симптомы, тогда что? В таком случае, причины могут быть самыми разнообразными.
Давайте рассмотрим наиболее распространенные причины вышеописанного явления (когда оно может называться болезнью).
Стадии
Онкологическое заболевание имеет несколько стадий развития.
Каждый этап характеризуется определёнными параметрами опухоли и обширностью зоны поражения:
- Первая – параметры опухоли достигают не более 2-х см, рак не распространяется на другие участки тканей.
- Вторая – новообразование увеличивается до 4-х см, опухоль прогрессирует, но зона поражения не достигает ещё лимфоузлов.
- Третья – размер опухоли превышает 4 см, болезнь поражает лимфатические узлы.
- Четвертая – стадия характеризуется наличием метастазов, которые пустили свои щупальца во внутренние органы (чаще всего в лёгкие). Распространение очаговой зоны наблюдается на костной ткани лица, пазух носа.
Фазы развития
Новообразования даже доброкачественного происхождения спустя какое-то время перерождаются в злокачественную опухоль, которая при прогрессировании проходит три этапа развития:
- Начальная форма характеризуется непривычными явлениями для больного в виде болезненных ощущений, язвочек, уплотнений в полости рта.
- Развитая форма болезни – язвочки приобретают вид щелей, появляются боли, отдающие из полости рта в разные части головы. Есть случаи, когда больной на данном этапе не ощущает боли.
- Запущенная форма – активная фаза онкологического заболевания, когда очаги распространяются быстро. Отмечается и сопутствующая симптоматика: боли во рту, трудности с проглатыванием пищи, резкое снижение массы тела, изменение голоса.
Стоматит – это заболевание, при котором поражаются поверхностные и глубокие слои слизистой оболочки полости рта.
Патология вызывает воспалительные процессы, в результате которых затронутые болезнью ткани могут отекать и опухать, их поверхность становится чувствительной и гиперемированной (при поверхностных поражениях), на ней нередко образовываются язвы или афты с белым или желтоватым налетом (когда задеты глубокие слои эпителия).
Стоматит одинаково часто появляется и у взрослых, и у детей, но наиболее этому заболеванию подвержены люди со сниженным иммунитетом.
В отдельную группу можно выделить людей, для которых вероятность стоматита будет более высока:
- маленькие дети (из-за еще не сформированной иммунной системы);
- беременные женщины, иммунитет которых снижен, чтобы тело матери не воспринимало плод как инородный организм;
- пожилые люди, иммунная система которых с возрастом может ослабнуть;
- люди с заболеваниями, угнетающе воздействующими на защитные системы организма (ВИЧ, онкология и др.);
- люди после тяжелой болезни, прошедшие лечение антибиотиками или другими препаратами, снижающими защитные функции организма.
Нередко неадекватная реакция иммунной системы и становится причиной появления неприятных симптомов, а ослабление защитных функций организма создает благоприятную среду для влияния негативных факторов.
До сих пор не выяснена точная этиология появления данного заболевания.
Но выявлены основные факторы, косвенно или напрямую способствующие его развитию:
- частое механическое травмирование слизистой оболочки полости рта (например, при ношении ортодонтических конструкций);
- использование зубных паст с содержанием лаурилового сульфата натрия, который раздражает поверхность слизистой, провоцируя неадекватную реакцию иммунитета;
- стрессы и долгое эмоциональное напряжение;
- несбалансированный рацион, в результате чего организм может не получать всех необходимых ему веществ;
- авитаминоз;
- склонность к аллергическим реакциям;
- изменения гормонального фона;
- болезни ЖКТ;
- ВИЧ;
- онкология.
Процесс восстановления после лечения
Операции на мягком и твердом небе с захватом соседних тканей ротовой полости различны по объему вмешательства и почти всегда сопровождаются значительными расстройствами органов речеобразования ввиду их травматизации, что в дальнейшем приводит к дефектам дикции и ухудшению качества голоса вплоть до его отсутствия — ринофонии и афонии.
На 5-е сутки после операции начинается работа пациента с логопедом. В комплекс упражнений входят методики, укрепляющие мимическую мускулатуру и движения губ. После этого, при условии сохранности фрагмента нижней челюсти, осваиваются движения для нее и нижней губы — вправо-влево, вниз-вверх.
По мере восстановления послеоперационной раны и при отсутствии осложнений логопед обучает пациента артикуляционной гимнастике, направленной на нормализацию функций языка. В начальном реабилитационном периоде отмечаются дисфагии, связанные с парезом языка и неба, которые можно устранить в течение недели с помощью специализированной гимнастики.
Некоторые пациенты после обширного вмешательства на ротовой полости нуждаются в реконструктивной хирургической помощи, а именно в восстановлении утраченных костных и тканевых структур. Одним больным устанавливаются зубные импланты, другие требуют более радикальных мер в виде пересадки кожи и костей с нижних и верхних конечностей и грудной клетки. Задуматься о реконструкции следует еще до проведения лечения. К сожалению, встречаются ситуации, когда восстановление и пластика невыполнимы. В этом случае врачи стараются сделать все возможное, чтобы пациент мог хотя бы нормально принимать пищу и говорить, например, с помощью съемных протезов.
Если красные пятна на небе – это стоматит
При стоматите пятна, появившиеся на нёбе, расположены отдельно друг от друга или сливаются, образуя островки. Их цвет может быть от бледно-розового до ярко-красного.
Специалисты выделяют несколько типов заболевания:
- вирусный;
- герпетический;
- кандидозный;
- афтозный;
- бактериальный;
- травматический.
Помимо красноты болезнь характеризуется следующими признаками:
- припухлость мягких тканей;
- нервозность из-за болевых ощущений во рту;
- отказ от еды;
- в некоторых случаях повышение температуры.
Медикаментозное лечение предусматривает использование препаратов местного действия и пероральных:
- Фамцикловир – приём внутрь, суточная доза – 1500 мг;
- Валацикловир – приём средства 2 раза в день по 2000 мг;
- Мирамистин – применяется для полоскания полости рта 4 раза в день, продолжительность одной обработки – не менее 1 минуты;
- Амиксин – средство для укрепления иммунитета, предупреждает рецидивы, приём осуществляется по схеме.
Для усиления эффекта медикаментозного лечения допускается использование ополаскивающих составов, приготовленных по народным рецептам:
- отвары на основе ромашки, календулы и других растений, обладающих антисептическим и противовоспалительным действием;
- морковный сок, разведённый наполовину тёплой водой;
- сок корня хрена, смешанный с равным количеством воды;
- сок белокочанной капусты, разведённый небольшим количеством воды;
- липовый настой (200 мл), смешанный с содой (1/2 ч. л.).
Основные признаки воспаления неба
По некоторым симптомам воспаления можно выявить его природу. О многом может рассказать цвет воспаленных тканей. Покраснение, сопровождаемое увеличением миндалин, свидетельствует о наличии ангины. Пузырьки, заполненные прозрачным экссудатом – о герпесе. Язвы красного цвета, покрытые белым творожистым налетом – о грибковой инфекции.
Инфекционные заболевания практически всегда сопровождаются неприятными ощущениями – небо болит, опухает, кровоточит и жжется при глотании. Часто опухает не только небная перемычка сверху, но и язык, что приводит к повышению слюноотделения и проблемам с глотанием. В результате может начаться раздражение гортани и горла, при котором ощущается жжение, появляются язвы, возникает болевой синдром и отечность. Становится крайне больно глотать пищу. Иногда начинают кровоточить десны, в редких ситуациях повышается температура тела.
Способы диагностики сопуствующих заболеваний
Чтобы определить первопричины желтушности неба, пятен на нем, потребуется помощь доктора. Полезным будет осмотр и консультация отоларинголога. Тем не менее, первые к кому нужно обратиться — это терапевт и стоматолог. Врач осмотрит ротовую полость, определит характер и причину пожелтения и воспаления, при надобности направит к нужному специалисту.
В большинстве случаев, желтизна сообщает о болезнях печени, чаще всего она распространяется и на язык (рекомендуем прочитать: какой должен быть язык у взрослого здорового человека?). Цирроз печени на состоянии мягкого и твердого неба отображается чувством жжения. В сыворотке крови повышается содержание билирубина, что проявляется желтой пигментацией слизистой неба. Появляется привкус горечи. На мягком небе прорисовывается сосудистый рисунок. Если вы узнали выше перечисленные симптомы, и до сих пор не обратились к врачу, то лучше сделайте это скорее.
Иногда, чтобы понять причину заболевания и поставить точный диагноз, может понадобиться полное обследование. Причины симптомов могут быть скрыты в патологических изменениях организма. Также виной всему может быть ослабленный иммунитет.
Лабораторные обследования потребуются при возникновении аллергических воспалений слизистой. В таком случае делают пробы, посредством нанесения аллергена на слизистую оболочку. Как правило, через сутки результат будет получен.
Злокачественные новообразования, развивающиеся в полости рта, приводят не только к болям, но и сказываются на социальной сфере человека, так как увеличение опухоли приводит к изменению артикуляции. Основными проявлениями этого является замедление темпа речи, снижение ее выразительности. Чаще болезнь встречается у мужчин после 40, являясь, как правило, следствием образования метастазов опухолей, возникших в других частях головы и шеи.
Профилактика воспаления нёба
Во избежание дискомфорта и болевых ощущений, которыми сопровождаются воспалительные процессы в ротовой полости, нужно придерживаться простых правил профилактики.
- Чистка зубов должна осуществляться утром и перед ночным сном.
- Полоскание рта рекомендуется осуществлять после каждого приёма пищи.
- Отказ от сильно горячих блюд и напитков.
- Ограничить табакокурение и употребление алкоголя.
- Питаться сбалансированно. Есть продукты, богатые микроэлементами и витаминами (овощи, фрукты, рыбу, мясо, бобы и сою).
Профилактика помогает усилить местный иммунитет, наладить обменные процессы в организме, сохранить здоровую среду в ротовой полости и укрепить организм в целом.
Спровоцировать воспаление верхнего и нижнего нёба могут болезни зубов, инфекционные патологии горла, дёсен, вредные привычки и несоблюдение гигиены рта. Заболевание вызывает сильный болевой синдром и ухудшает качество жизни человека, так как мешает жевать пищу, говорить, глотать. Чтобы не допустить усугубление болезни, важно вовремя обращаться к врачу и правильно лечиться.
Что такое слизистая оболочка полости рта
Слизистая оболочка рта заметно отличается от других у человеческого тела, она менее податлива внешнему воздействию, устойчива к механическим, химическим и температурным раздражителям. Это необходимо человеческому организму, потому что рот человека выполняет множество функций. При разговоре, он часто открывается, в него могут попадать инфекции, и слизистая оболочка призвана с ними бороться. Слизистая оболочка рта быстрее восстанавливается и наиболее устойчива к инфекциям.
Существует 3 слоя в строения слизистой оболочки:
- Многослойный плоский эпителий, на разных участках рта данный слой имеет разную толщину и разное строение, на дне рта, нижней губе и нижней поверхности языка он существенно тоньше, чем на других участках.
- Собственный слизистый, он находится под эпителием, состоит из сосочковых выступов, все сосочки имеют сосуды и нервы. Данный слой прочно прикреплен к эпителию, именно в нем находятся слюнные железы, лимфатические сосуды и сальные железы.
- Подслизистый, данный слой располагается под слизистым, не имеет четких границ с ним. В нем расположена глубокая сосудистая сеть и мелкие слюнные железы.
В состав слизистой оболочки полости рта входит и язык. Язык – это мышечный орган, имеющий развитую поперечную мускулатуру. Состав оболочки разнится со строением общей слизистой. У языка нет подслизистого слоя, собственная слизистая переходит в межмышечную соединительную ткань.
У языка также существуют различные поверхности:
- Передняя;
- Кончик;
- Корень;
- Боковые;
- Нижняя.
Спинка языка шероховатая, потому что на ней расположены 4 вида сосочков. Это выступы слизистой, покрытые эпителием. Если поверхность языка белая, это значит, что ороговевший эпителий не отходит вовремя, это, в свою очередь, указывает на заболевания органов, занимающихся пищеварением.
К старости, у человека, передняя поверхность языка может стать гладкой, это обуславливается атрофией нитевидных сосочков.
Губы человека, также являются составляющей ротовой полости. У губ следующее строение: круговые мышцы, покрытые кожей снаружи, и слизистая оболочка изнутри. Губы не имеют волосяного покрова и потовых желез, а красная кайма в месте перехода в слизистую носит название – зона Клейна.
Абсцесс миндалины
Если на гландах красные прожилки появились только с одной стороны (поражена только одна миндалина), значит, это может быть гнойный нарыв или абсцесс.
Данное заболевание представляет собой гнойное воспаление тканей с их расплавлением и формированием в них гнойной полости. Пораженная миндалина увеличивается, ее ткани растягиваются, из-за чего мелкие сосуды становятся очень заметными.
Дополнительными симптомами будут: боль, температура, интоксикация, слабость.
Диагностические мероприятия
Первичный осмотр пациента проводят при помощи инструментальных методов. Обычно это ларингоскопия и фарингоскопия. Они помогают обнаружить место локализации отека и гиперемии в горле, оценить функциональное состояние голосовых связок и задних тканей гортани, обнаружить скопления гноя, выявить особенности строения. К основным диагностическим методам относят:
- клинические исследования биологических жидкостей;
- мазок из зева, посев мокроты на питательную среду;
- МРТ;
- гистология опухоли;
- УЗИ.
Внимание! Так как заболевания горла носят обычно бактериальную природу, то перед подбором терапии необходимо проверить мокроту на восприимчивость к препаратам с антибактериальным эффектом.
Характер боли. Когда нужно обращаться к врачу?
Характер боли при повреждений неба зависит от причины воспаления. Не все случаи требуют оказания медицинской помощи. Так при повреждении нёба твердой пищей (сухари, кости) травмированное место может поднывать несколько дней. В этой ситуации достаточно соблюдать осторожность при последующих трапезах и полоскать рот смягчающими отварами ромашки или дубовой коры.
При тепловом (термическом) ожоге горячей пищей или питьем также не требуется помощь медиков. Несколько дней в области нёба будет ощущаться стянутость и боль, которая пройдет через несколько дней. Для снятия неприятных ощущений можно рассывать леденцы с ментолом.
При воздействий на слизистую нёба химических веществ обращаться за помощью следует незамедлительно. При попадании абразивных веществ кислоты разъедают нёбо, боль может быть очень сильной. При стоматитах, грибковых и вирусных инфекциях болезненность нёба чаще всего выражена умеренно, дискомфорт возникает при пережевывании пищи и глотании.
При ангинах и тонзиллитах боль в горле может быть очень сильной, глотание затруднено. Во всех этих случаях следует показаться терапевту для уточнения диагноза и назначения лечения. При серьезных травмах нёба обращаться за медицинской помощью следует обязательно.
Врач подскажет, какие препараты помогут снять боль и будут способствовать скорейшему заживлению. При болезненности нёба неясного происхождения, при отсутствии травм, заболеваний и иных предпосылок, следует пройти комплексное обследование для выяснения причины у нескольких узких специалистов – онколога, ЛОРа, инфекциониста.
Первичное и вторичное воспаление
Выделяют две стадии воспаления:
- Первичное воспаление связано с непосредственным воздействием повреждающего агента, оно развивается только при прямом влиянии данного фактора и связано с разрушением клеточных структур, высвобождением веществ, называемых медиаторами воспаления, которые вызывают все воспалительные симптомы: покраснение, отек, боль. За счет этих механизмов нарушается местное кровоснабжение тканей, повреждаются мелкие нервные волокна и процесс переходит во вторую стадию.
- Вторичное воспаление наносит наибольший ущерб: оно продолжается даже после ликвидации причинного фактора и связано с разрушением тканей на фоне сниженного кровоснабжения и повреждением их ферментами, выделенными из уже распавшихся клеток. На данном этапе повреждается сосудистая стенка, что проявляется кровоточивостью тканей. Без адекватного лечения этот порочный круг может сохраняться длительное время и охватывать всё большую площадь слизистой оболочки.
Серый налет на миндалинах
Дифтерия
Достаточно грозное острое инфекционное заболевание – дифтерия. Его предвестники – белые точки на гландах. Налет имеет сероватый, грязноватый оттенок.
Инфекция передается от больного человека к здоровому. Болезнетворные микроорганизмы (палочковидные микробы), могут проникать через слизистые глаз, верхних дыхательных путей, половых органов и через кожу.
В зависимости от места внедрения дифтерийной палочки бывает несколько видов дифтерии: • дифтерия зева; • дифтерия гортани; • дифтерия носа; • дифтерия глаза; • дифтерия раны.
Если дифтерийная палочка внедряется через рот, то она приводит к воспалению в глотке и к налету на миндалинах.
Различают разные формы дифтерии зева. Если форма локализованная, то налет почти виден, он напоминает пленку с серым перламутровым блеском.
При токсической дифтерии налет – это грязно-серые корки, очень болезненные. Если форма распространенная, то налет может быть от светло-серого до темно-серого цвета, причем располагается налет не только на самих гландах, но и за их пределами.
Общая характеристика
Заболевания слизистой рта могут быть инфекционного, воспалительного, вирусного или грибкового характера. Когда инфекция попадает в ротовую полость, слизистая страдает в первую очередь. Она может воспаляться, кровоточить, истончаться. Условно подобные заболевания относят к стоматитам. Но кроме стоматита существует еще множество проблем, приводящих к ухудшению человеческого здоровья.
Почти во всех описанных ниже заболеваниях симптомы будут схожи: боль, высыпания различного характера, изменение окраски тканей ротовой полости.
Лечением заболеваний полости рта может заниматься стоматолог, лор или терапевт. При появлении первых симптомов необходимо обратиться на осмотр к любому из этих врачей.
Симптомы
- Боль в области нёбных структур, постоянная, усиливающаяся при глотании, пережёвывании пищи, которая задевает повреждённый участок. Если причиной воспаления стали высокие температуры, то нёбо сильно жжёт.
- Отёчность слизистой нёба: она увеличивается в объеме и начинает “мешать” во рту как инородное тело, иногда даже может затруднять дыхание. Как правило, это случается при серьёзных гнойных процессах, затрагивающих мягкую нёбную часть.
- Изменение внешнего вида нёбной поверхности: она краснеет, формируются язвочки, эрозии, при грибковом поражении появляется белый налёт, при вирусе герпеса – пузырьковые высыпания на нёбе, с внутренней поверхности щёк, под языком. Клиническая картина при бактериальной инфекции часто проявляется гнойным воспалением. Признаки наличия гноя: жёлтый налёт, появление уплотнения, бугорка на нёбе, иногда с белой “головкой”.
- Другие симптомы: кровоточивость слизистой рта при малейшем повреждении, увеличение, отёк и покраснение миндалин, глотки, обильное слюноотделение, снижение вкусовосприятия, повышение температуры тела при обширном воспалительном процессе.
Длительное отсутствие необходимого лечения при воспалении нёба может осложниться следующими состояниями:
- абсцессы окружающих тканей (отграниченное гнойное воспаление);
- флегмоны (неограниченное гнойное воспаление) клетчаточных пространств шеи, средостения – медиастинит;
- формирование глубоких язв слизистой оболочки;
- лейкоплакия может привести к формированию злокачественных новообразований, это состояние называется “предрак”;
- осложнения со стороны зубов и окружающих их тканей (периодонтит).
Эти ситуации зачастую являются жизнеугорожающими и требуют немедленной медицинской помощи, особенно опасны флегмоны, способные распространяться на жизненно важные органы.
Причины почему может болеть небо во рту
Верхний участок полости рта, покрытый слизистой оболочкой, делится на 2 части – твердое и мягкое небо. Твердое представляет собой костную стенку, разграничивающую ротовую и носовую полости. Оно начинается прямо за передними зубами и плавно переходит в мягкое – складку слизистой оболочки около основания языка, которая отделяет полость рта от глотки.
Причиной боли в небе и появления на нем белого налета может стать грибковая инфекция. Наиболее распространенным возбудителем орального воспаления является грибок Кандида, который способен поразить не только внутреннюю часть полости рта, но и губы. Кандидоз или грибковый стоматит часто встречается у девушек и грудничков.
- Небо может воспалиться при активизации вируса герпеса. Эта болезнь проявляется не только снаружи (на губах и вокруг них), но и внутри рта. Больные ощущают зуд в пораженной области, иногда у них повышается температура тела.
- При развитии ангины наблюдается резкое увеличение миндалин, сопровождающееся их покраснением. Иногда при данном заболевании воспаляется и опухает верхнее небо, окрашиваясь в яркий красный оттенок.
- Не стоит забывать и про одно из наиболее распространенных заболеваний детей и взрослых – кариес. Обычно оно затрагивает только зубы, но инфекция может распространиться и на окружающие их мягкие ткани.
- Воспаление небных тканей может свидетельствовать об образовании доброкачественной опухоли, так что важно постоянно контролировать свое состояние.
- Если мягкие ткани языка и неба сверху отекли и покрылись белесыми пятнами, стоит провериться на наличие лейкоплакии. Данная болезнь развивается у тех, кто часто употребляет горячую пищу, контактирует с химическими веществами, а также у людей с неправильно установленными протезами либо сколотыми зубами.
- Причиной воспаления неба часто становится прохождение процедур с использованием гальванического тока – при установке брекетов, коронок, при некоторых видах лечения зубов.
- Причиной красноты, припухлости и раздражения десен и иных мягких тканей внутри рта у взрослых может стать курение и употребление алкоголя.
Клиническая картина
Онкологические новообразования не имеют каких-либо специфических проявлений на начальном этапе. Поэтому каких-либо настораживающих симптомов человек в течение первых нескольких месяцев может не замечать.
Первый и главный симптом — образование уплотнения в области неба.
Первым проявлением, при возникновении которого необходимо экстренно обратиться к врачу, является образование небольшого уплотненного участка неба. Если принять меры на этой стадии, то эффект от лечения будет максимальным.
По мере своего развития опухоль распространяется все дальше, увеличиваясь в размерах, проникает вглубь. На этом этапе пациент описывает свои симптомы следующим образом:
- возникновение болевых ощущений в ротовой полости, которые могут иррадировать в височную область, в область ушей и скул;
- изменение вкусовых ощущений;
- появление неприятного запаха;
- высокая утомляемость, ухудшение аппетита, потеря веса.
Желтый налет
Такой налет может являться признаком тех же заболеваний, что и налет белого цвета, однако у каждого человека оттенок индивидуален, поскольку зависит от различных факторов.
Иногда желтый налет может говорить о первой стадии появления на миндалинах гноя, причем впоследствии этот гной может превратиться в весьма болезненные гнойники.
Желтый налет чаще всего сопровождает ангину (тонзиллит), особенно если ему сопутствуют затрудненное дыхание, кашель, высокая температура, боль в горле.
Основную терапию проводят антибиотиками, поскольку возбудителями ангины являются бактерии. Средства народной медицины смогут облегчить некоторые симптомы болезни.
Грибковый налет
Часто у детей и взрослых бывает грибковый тип налета. Он вызывается грибком рода кандида, который проникает через слизистую оболочку ротовой полости носа и рта, глаз. Отличие грибковой ангины от любой другой в том, что она не лечится антибиотиками. Потребуются противогрибковые препараты и витамины. Если грибок не получается вылечить лекарствами, то прибегают к оперативному вмешательству – удалению гланд.
Фибринозный налет после тонзилэктомии
Операция по удалению миндалин может иметь осложнения, как и любая другая операция. В частности, может произойти глоточное кровотечение – в первый день или через сутки после операции. Оно возникает тогда, когда пациент не выполняет рекомендации врача по послеоперационному режиму.
После операции в месте удаленных миндалин формируется открытая ранка. С течением времени рана затягивается фибринозной пленкой, служащей кровоостанавливающим барьером. А примерно через 5 дней после тонзилэктомии фибринозный налет на гландах исчезает самостоятельно.
Творожистый налет
При фарингомикозе, кандидозе миндалин, микозе глотки налет в горле имеет творожную плотную консистенцию. После того, как грибок поражает слизистую ротовой полости, появляется налет беловатого или сероватого цвета. Он достаточно легко снимается, но через некоторое время появляется вновь. При этом у пациента может быть нехороший запах изо рта, поскольку налет возникает в результате функционирования и разложения микроорганизмов.






Стоматит — инфекционное заболевание полости рта


