Насколько часто люди чистят зубы? Скорее всего, как и положено, не чаще двух раз в день. И ведь многие из них даже не задумываются о том, из чего состоит зубная паста.
Вряд ли кто-то читает состав, указанный на упаковочной коробке. Считается, что фторсодержащая паста оказывает хорошее профилактическое воздействие против развития кариеса.
С раннего детства люди слышат о пользе фтора для зубов, но мало кому известно об истинных качествах этого вещества. Действительно, в небольших количествах он безопасен и даже полезен, а вот переизбыток фтора может привести к негативным последствиям для зубов и всего организма в целом.
Что это за элемент
Фтор (F) — биогенный элемент, очень активный неметалл, сильный окислитель. В Периодической системе химических элементов Д. И. Менделеева находится в VII группе, в подгруппе галогенов. Вступает в реакцию с металлами, образуя соли. По своей природе F — газ бледно-желтого цвета. Один из наиболее распространенных в природе элементов.
В норме в теле человека содержится 2,6 грамма вещества. Суточная доза для взрослого — от полутора до пяти миллиграмм. При температуре 188 градусов ниже ноля по Цельсию газ конденсируется. После понижения до -228 градусов — замерзает, превращаясь в кристалл. В природе наиболее распространен как раз в виде минералов. Среди них самая большая доля припадает на флюорит или плавиковый шпат (CaF2).
Суточная потребность фтора
Суточное потребление изменяется по мере взросления. Кроме того, нормы немного отличаются для мужчин и женщин. Разнятся дозировки и по весу: если масса тела ниже нормальной, потребление микроэлемента придется немного сократить.
Для детей
По мере взросления дозировка увеличивается. Младенцам до полугода в сутки необходимо употреблять всего 0,1 мг. С 7 до 12 месяцев дневная дозировка составляет 0,5 мг. Затем до 3 лет каждый день нужно получать по 0,7 мг вещества. С 4 до 8 лет дозировка составляет 1 мг, с 9 до 13 лет – 2 мг.
Для женщин
Достигшие 14 лет девушки нуждаются в 3 мг фтора ежедневно. Дозировка не меняется: такое же количество требуется и взрослым женщинам.
Для мужчин
В период с 14 до 18 юношам требуется 3 мг микроэлемента. После 19 лет взрослый мужчина ежедневно нуждается в 4 мг.
Влияние на здоровье человека
Фтор — для чего нужен организму? Он предотвращает появление кариеса на зубах, стимулирует работу иммунной системы и регулирует кровообращение. В случае нехватки этого элемента врач может назначить пищевые добавки с его содержанием. Но доза должна быть строго нормированной. Избыточное количество может ослаблять иммунитет и пагубно влиять на развитие ребенка.
Польза фтора для организма человека:
- выводит радионуклиды и соли тяжелых металлов;
- повышает стойкость к радиации;
- участвует в формировании эмали и скелета;
- отвечает за нормальный рост волос и ногтей;
- участвует в разных биохимических реакциях;
- стимулирует работу кровеносной системы;
- укрепляет иммунитет;
- обеспечивает профилактику остеопороза;
- предупреждает появление кариеса и пародонтоза;
- замедляют работу кислотообразующих бактерий.
Действие на организм человека
Фтор имеет огромное значение для здоровья человека:
- отвечает за образование костной ткани, рост ногтей и волос;
- укрепляет иммунитет;
- выводит из организма токсины, тяжелые металлы и радикалы;
- улучшает процессы кроветворения (участвует в образовании лейкоцитов);
- предупреждает остеопороз;
- предотвращает развитие кариеса;
- образует дентин;
- формирует и защищает зубную эмаль.
Однако избыток данного химического элемента провоцирует флюороз — болезнь эмали с появлением характерных темных пятен и углублений. Чаще всего подвержены дети в период, когда у них формируются молочные зубы.
Фтор медленно выводится из организма, накапливаясь в костной ткани, в щитовидной и, особенно, в шишковидной железе головного мозга, что приводит к ее кальцификации и блокировке.
Важное свойство фтора заключается в его способности снижать уровень вредных бактерий в ротовой полости. Эта его особенность и используется при производстве зубной пасты, однако вместе с тем он уменьшает и количество сапрофитовой (дружественной) микрофлоры.
Стоит отметить, что для средств по уходу за полостью рта применяется не фтор в чистом виде (это настоящий яд), а его производная ‒ фторид натрия, очень опасное соединение, намного более токсичное, чем свинец и способное вызывать рвоту, тошноту, понос и головокружение.
Фторид натрия при длительном его применении может привести к ряду тяжелых, иногда непоправимых последствий:
- онкологическим заболеваниям;
- нарушениям в работе сердечно-сосудистой и центральной нервной систем;
- нарушениям в работе щитовидной железы;
- болезни Альцгеймера;
- снизить уровень мелатонина в организме;
- ухудшает память и когнитивные способности.
В связи с этим на Западе развернулась компания против применения фтора и его соединений при производстве средств гигиены ротовой полости. Однако до сих пор в рекламе зубной пасты и ополаскивателей акцент делается на фтор как на важнейший компонент, обеспечивающий здоровье зубов и белизну улыбки.
Избыток F
Даже без употребления добавок, доза элемента, которую принимают люди с водой, зубной пастой (все изготавливаемые зубные пасты — с содержанием фтора) или продуктами питания может быть слишком большой. А избыточное количество такого вещества провоцирует появление серьезных проблем со здоровьем.
После попадания в организм более двух грамм вещества человека может умереть. При употреблении больше двадцати миллиграмм происходит отравление. Влияние фтора на организм человека нельзя недооценивать. Основными симптомами передозировки являются следующие проявления:
- слезотечение;
- слабость;
- резкое онемение;
- боль в животе;
- рвота;
- понос;
- зуд кожи;
- флюороз;
- кровоточивость десен;
- кальциноз;
- судороги;
- остеопороз;
- нарушение синусового ритма сердца;
- нарушение обмена веществ;
- воспаление легких;
- деформация костей;
- гипотония;
- поражение почек;
- отек легких;
- поражение центральной нервной системы.
Тест на флюороз, признаки и симптомы – есть ли у вас флюороз, и как его заметить?
Рассматриваемый недуг на начальной стадии практически никак не проявляет себя.
Изменения на коронке зуба могут быть едва заметными. Хотя дантист, которого необходимо посещать хотя бы раз в год, заметит произошедшие деформации — и предпримет соответствующие меры.
На более поздних стадиях флюороз проявляет себя следующим образом:
- Негативная реакция зубов на холодную, горячую, кислую пищу.
- Дискомфорт при чистке зубов.
- Появление белесоватых, желтых либо коричневых пятен на зубах (в зависимости от стадии развития зубного недуга).
- Образование эрозий на эмали с пигментным дном или без него.
- Крошение зубной коронки.
При вовлечении в патологический процесс опорно-двигательного аппарата больной жалуется на частые боли в суставах, общее недомогание, слабость в мышцах.
В чем опасность F
Роль фтора в организме человека очень велика. Исследования ученых показали, что соединения этого элемента являются нейротоксинами — веществами, которые пагубно влияют на нервные клетки и разрушают нервную ткань. Известные всем нейротоксины — это алкоголь и яды животных. Например, змеиный яд содержит компоненты, которые способны за считанные секунды полностью парализовать жертву.
Употребление фтора в количестве, которое превышает норму, не парализует человека (по крайней мере так быстро). Но фториды снижают память, способность к мышлению, провоцируют появление проблем с ориентацией в пространстве, пониманием, вычислением, обучением, речью, способностью рассуждать и другими когнитивными функциями.
После длительного влияния фтора на организм человека могут наступить еще более неприятные последствия, такие как рак, генетические нарушения ДНК, понижение коэффициента интеллекта, летаргия, болезнь Альцгеймера и др.
Ионы фтора ингибируют некоторые ферментативные реакции и связывают важные элементы, такие как фосфор, кальций, магний. Это приводит к нарушению баланса обмена веществ.
Люди, которые работают в химической промышленности, подвержены риску отравления F. Это может случиться во время производства фосфорных удобрений или при синтезе соединений, содержащих F. При отравлении возникают ожоги слизистых оболочек дыхательных путей, глаз, кожи. В тяжелых случаях возможны поражения легких и ЦНС. При длительном хроническом влиянии развиваются такие болезни, как конъюнктивит, бронхит, пневмония, пневмосклероз, флюороз.
Флюороз зубов у детей
Молочные зубки могут иметь признаки флюороза лишь в редких случаях. Врачи считают, что для поражения этим заболеванием молочного зубного ряда потребляемая ребенком вода должна содержать не менее 10–15 мг фтора на 1 литр.

Редкое развитие флюороза на молочных зубках связано с тем, что минерализация зубных зачатков происходит еще в утробе, а плацента способна задерживать основное количество фтора. Но если малыш регулярно пьет воду с высоким содержанием этого вещества, то на 3–4 году жизни у него может развиться флюороз. Вероятность проявления болезни выше у деток, которые переносят тяжелые заболевания или имеют ослабленный иммунитет.
Нехватка F
При недостаточности фтора в организме развивается кариес. Кроме того, выпадают волосы, ломаются ногти, кости становятся менее прочными, возрастает риск переломов. Также возможно развитие остеопороза, пародонтоза.
Не происходит нормальное усвоение железа. Это явление может привести к развитию железодефицитной анемии (малокровия). Симптомы этой патологии:
- недомогание;
- слабость;
- быстрая утомляемость;
- изменение вкуса еды;
- сухость во рту;
- пощипывание языка;
- одышка;
- учащенное сердцебиение;
- ощущение кома в горле;
- появление «заедов»;
- сухость кожи;
- неприятные ощущения в области вульвы;
- сонливость;
- головная боль;
- головокружения;
- обмороки;
- изменение структуры волос и ногтей;
- бледная зеленоватая кожа.
Развитие анемии особенно опасно во время беременности. Тогда возникает опасность для жизни и матери, и ребенка.
Последствия дефицита
Недостаток фтора в организме приводит к выведению из него кальция, что, в свою очередь, провоцирует развитие ряда заболеваний, в том числе:
- кариес;
- деформацию осанки;
- хрупкость костей и зубов;
- остеопороз.
Кариес
Недостаток фтора в организме приводит к кариесу зубов ‒ одному из самых распространенных заболеваний человека. Кариес вызывает потерю зубов, что ведет к ухудшению пережевывания пищи и к хроническим заболеваниям желудка и пищеварительного тракта
Первоначально кариес проявляется в виде реминерализации отдельных участков эмали, что делает их более подверженными неблагоприятному воздействию бактерий, выделяющих кислоту, как результат своей жизнедеятельности.
Одним из вариантов лечения является фтор, который уничтожает бактерии в ротовой полости и останавливает процессы реминерализации эмали. Самым радикальным методом применения фтора в качестве противокариозного средства считается фторирование воды.
Деформация осанки
Фтор играет важную роль в формировании костной ткани. Его недостаток в организме вызывает нарушение осанки, что, в свою очередь, приводит к увеличению нагрузки на отдельные части опорно-двигательного аппарата, провоцирует возникновение травм и прогрессирующей деформацию позвоночника, вызывает проблемы с дыханием, боли в спине, мигрени, повышение артериального давления и нарушение пищеварения.
Хрупкость костей и зубов
Больше всего фтора (99% от всего его количества в организме) содержится в зубах и костях. Его недостаток опасен не только на этапе формирования костных тканей. Он может спровоцировать изменение их структуры. Деминерализация костей и зубов делает их более хрупкими. Кости больше подвержены переломам и хуже восстанавливаются после повреждения.
Остеопороз
Недостаток фтора в организме приводит к тому, что человек хуже усваивает кальций, что уже чревато возникновением остеопороза. Это заболевание проявляется в уменьшении плотности костной ткани и нарушении их структуры. В результате кости становятся хрупкими и ломкими.
Болезнь особенно опасна для пожилых людей, среди которых одним из наиболее распространенных видов травм является перелом шейки бедренной кости. Однако и у молодых людей остеопороз приводит к частым переломам и заметно удлиняет восстановительный период.
В каких продуктах содержится
Основной источник фтора — питьевая вода. Также он находится в черном и зеленом чае, грецких орехах, морепродуктах, молоке, яйцах, репчатом луке, чечевице, овсянке, гречке, рисе, картофеле, зеленых листовых овощах и говяжьей печени.
Фтор входит в состав продуктов питания в очень малых количествах, поэтому не употребляя воду, нельзя получить суточную норму элемента. Исключение составляет морская рыба. Продукты, богатые фтором, представлены ниже в таблице.
| Продукты питания | Содержание фтора |
| Треска (150 грамм) | 0,105 мг |
| Морской окунь (150 грамм) | 0,210 мг |
| Пикша (150 грамм) | 0,240 мг |
| Сельдь, скумбрия (150 грамм) | 0,525 мг |
| Угорь (150 грамм) | 0,240 мг |
| Лосось (150 грамм) | 0,870 мг |
| Копченая сельдь (45 грамм) | 0,160 мг |
| Замороженный лосось (45 грамм) | 0,200 мг |
| Вяленая треска (45 грамм) | 0,225 мг |
| Филе сельди в томате (45 грамм) | 0,960 мг |
| Куриное филе (150 грамм) | 0,210 мг |
| Куриная печень (100 грамм) | 0,190 мг |
| Гречка, очищенный зерновой хлеб (60 грамм) | 0,100 мг |
Где содержится фтор?
Лучше всего фтор усваивается человеческим организмом из воды. С этой целью питьевую воду специально фторируют в водопроводах. Это особенно важно для областей, где концентрация фтора в воде меньше, чем 5 мг/л. В некоторых странах применяется другой способ обогащения важным для здоровья элементом. К примеру, в Швейцарии фторируют поваренную соль.
Большую часть фтора (до 80%) человеческий организм получает с питьевой водой, а остальную часть – с пищей.
Продукты
Наибольшее количество химического элемента содержится в таких продуктах:
- зеленый, черный чай;
- морская рыба (треска, скумбрия, лосось, морской сом, сардины);
- говяжья печень;
- телятина, баранина;
- орехи.
Фтор присутствует и в других пищевых продуктах, но в минимальных дозах:
- овсянка;
- молоко;
- куриные яйца;
- грецкие орехи.
Но компенсировать суточную потребность фтора только при помощи корректировки рациона сложно, поскольку в продуктах содержится его мизерное количество. Например, взрослому человеку потребуется выпить в сутки 20 л молока, чтобы добиться нужной нормы.
Препараты и таблетки
Для восполнения недостатка фтора в организме выпускаются специальные фторсодержащие лекарственные препараты. Они применяются строго по назначению врача. Наиболее известные фторлак и натрия фторид.
Гель фторлак используют для профилактики кариеса у детей старше 6 лет и подростков, проживающих в регионах, где пониженное содержание фтора в питьевой воде. Гель применяют в качестве профилактического средства для укрепления зубной эмали, десен. Им рекомендуют обрабатывать зубы и десна детям, которые носят ортодонтические пластинки или брекет-ситсемы.
Рынок фармацевтики сегодня предлагает широкий спектр таблеток и капсул, содержащих этот полезный минерал
Натрия фторид рекомендуется для лечения детей с высоким уровнем кариесного распада зубов и в лечении остеопороза. Педиатры и стоматологи рекомендуют при использовании фторсодержащих препаратов включить в рацион ребенка продукты, богатых на кальций и магний. Кальций лучше усваивается, если присутствует фтор.
В местностях, где много заводов и развита тяжелая промышленность, родители должны быть особенно осторожными при использовании подобных лекарственных препаратов и не применять их без назначения врача.
Фтор в зубной пасте
Чтобы предотвратить разрушение зубной эмали из-за дефицита фтора в организме, стоматологи рекомендуют использовать при чистке зубов фторсодержащие зубные пасты. Решение по этому вопросу должен принимать не пациент, а его лечащий врач. И ответ, какая паста лучше – без фтора или с ним, зависит от многих факторов: возраста пациента, состояние пародонта, эмали и др.
При покупке фторсодержащей пасты обращайте внимание на процентное содержание химического элемента. На тюбике этот показатель обозначается в виде ppm (10000 ppm = 1%). Для взрослых безопасным будет показатель 1500 ppm (0,15% фтора). Особенно важно обращать внимание на эту маркировку при покупке детской пасты. Концентрация фторидов зависит от возраста ребенка:
- до 200 ppm – для малышей от 2 — 4 лет;
- до 500 ppm – для детей до 8 лет;
- до 1400 ppm – старше 8 лет.
Кариес
Для профилактики кариеса применяются препараты с содержанием соединений F. Фториды по своей природе похожи на минералы, из которых построены зубы. Наиболее интенсивное накопление фторидов происходит во время прорезывания зубов. В постоянных зубах их больше, нежели в молочных. С возрастом содержание этих соединений уменьшается. В связи с этим у людей старшего возраста больше проблем со здоровьем ротовой полости.
Кристаллическая решетка с включенным в нее фторидом защищает зуб от появления кариеса. Соединение ингибирует размножение бактерий зубного налета. Фториды снижают активность ферментов, что участвуют в образовании органических кислот.
Характеристика элемента
Фтор ‒ химическое вещество, обладающее резким запахом, сильный окислитель, как и все галогены. В нормальных условиях имеет вид газа светло-желтого цвета. В переводе с греческого его название означает «вред», что отражает токсичные свойства элемента. Фтор по своей вредоносности опережает даже свинец.
В грунте накапливается в результате вулканической активности. Большое количество фтора содержится в одном из самых популярных поделочных минералов ‒ сверкающем флюорите, который также применяют в металлургии, оптике, химической промышленности и при изготовлении глазури для керамических изделий.
Фтор присутствует во многих продуктах питания, например луке, рыбе, чечевице, вине и (в наибольшем количестве) в обычной воде.
Флюороз
При недостаточности фтора в организме развивается кариес, а при его избытке — флюороз. F содержится во всех органах и тканях человека, но самая высокая концентрация — в зубах и костных тканях. Фториды, которые входят в состав продуктов питания, усваиваются хуже, чем растворимые в воде. Поэтому основной причиной развития флюороза является избыток элемента в питьевой воде.
Многое зависит от индивидуальности каждого человека. По результатам исследований установлено, что в районах с чрезмерно большим содержанием вещества в воде одновременно проживают люди, страдающие флюорозом, и те, у которых ротовая полость абсолютно здорова.
Со всего вышесказанного можно сделать вывод, что влияние фтора на организм человека играет очень важную роль.
Профилактика флюороза – как избежать вредного влияния на зубы переизбытка фтора в окружающей среде?
Профилактические мероприятия в отношении рассматриваемого недуга заключаются в следующем:
- Если причина кроется в повышенном уровне фтора в воде, следует покупать очищенную воду, либо установить специальные фильтры на краники дома. Также можно употреблять талую воду. Для этого жидкость набирают в пластиковую емкость и замораживают. После заморозки жидкий мутный осадок сливают, остальное размораживают и употребляют.
- При работе на вредных производствах используют респираторы. Это убережет дыхательные пути от проникновения фтора и других небезопасных для здоровья веществ.
- Отказаться от фторсодержащих средств по уходу за ротовой полостью и зубами. Лучше делать выбор в пользу зубных паст, что содержат прополис, мирру, пищевую соду или масло чайного дерева.
- Не злоупотреблять морской рыбой. Включать в рацион питания кисломолочные продукты. Детям можно дополнительно ввести кальций с витамином Д, витамин С.
- Научить ребенка правильно чистить зубы (зубной пасты нужно использовать размером с горошинку) и покупать для него специальную детскую пасту.
Препараты с содержанием фтора
Существуют препараты, в которые вещество входит в составе минеральных комплексов. А есть такие, в которых F — самостоятельный элемент. Среди вторых — витафтор, натрия фторид, фторлак. Все они применяются для лечения кариеса у людей разного возраста. Производятся также фторированная вода, соль и другие профилактические продукты. Они назначаются и для лечения, и для предотвращения дефицита F.
Чтобы минимизировать негативное влияние фтора на организм человека, нужно регулярно проводить профилактику среди населения в районах с повышенным его количеством в трубопроводной воде.
Лечение флюороза зубов у взрослых и детей
Устранить последствия переизбытка фтора можно только посредством комплексной терапии. С одной стороны, нужно остановить дальнейшее развитие заболевания сокращением потребления фтора, с другой – исправить внешний вид зубного ряда. Эффективно отбелить эмаль и вылечить разрушенные зубы можно только в условиях стоматологии с помощью специальных процедур. Для улучшения внешнего вида зубного ряда в домашних условиях можно пользоваться специальными зубными пастами, но они помогают только на начальных стадиях болезни.
Чтобы эффективно лечить флюороз зубов, нужно найти источник более качественной питьевой воды, отвечающей санитарным и химическим нормам. Людям, работающим на вредном химическом производстве, может понадобиться смена рабочего места. Если в данной местности распространен эндемический флюороз, врач может порекомендовать переезд в другой регион. При флюорозе нужно обязательно прекратить пользоваться фторированной зубной пастой, которая насыщает эмаль излишком фторида.
При лечении флюороза, особенно у детей, очень важно разнообразить рацион, включив в него продукты, которые будут насыщать зубные ткани другими важными элементами – кальцием и фосфором. Нужно сократить употребление морепродуктов и рыбы, следует пить как можно меньше зеленого и черного чая.
Разные формы и степени заболевания требуют различных подходов в лечении:
- При флюорозе начальной стадии проводят отбеливание зубов. Процедура выполняется либо в домашних условиях с помощью специальных зубных паст (при лечении детей), либо профессиональными методами в кабинете стоматолога (при лечении взрослых). Чтобы отбелить зуб, пораженный флюорозом, врач обрабатывает его раствором кислоты, смывает ее и тщательно высушивает зубную поверхность. При повторном визите таким же образом отбеливают только пятна, не затрагивая здоровую эмаль.
- Отбеливание может проводиться с помощью лазера. Предварительно на эмаль наносят гель, содержащий перекись водорода, а затем обрабатывают ее лазерным лучом.
- Лечить светлые пятна при флюорозе, поразившем детские зубки, помогает реминерализация. Эта процедура проводится в стоматологии. Под действием электрофореза из аппликаций с гелем в зубную эмаль проникают кальций и фосфор, необходимые для восстановления ее структуры. Для возвращения зубам естественного внешнего вида проводится от 10 до 25 процедур реминерализации.
- Если заболевание успело причинить сильный вред зубной эмали взрослого человека, может применяться микропротезирование винирами. Установка светокомпозитных пломб на пораженные зубы часто бывает безуспешной: они выпадают из-за измененной структуры тканей. Сильно разрушенные зубы протезируют искусственными коронками.
- Для предупреждения разрушения зубов и взрослым, и маленьким пациентам назначаются препараты, содержащие кальций, витамины.
Польза или вред: результаты исследований
Между пользой и вредом, который может принести фтор для зубов и всего организма в целом, существует совсем небольшая граница. Некоторые считают, что переизбыток элемента еще более вреден, чем его недостаток в организме. Именно поэтому некоторые ученые не считают нужным проводить фторирование воды.
Сторонники же данного химического элемента убеждены в его безграничной пользе. Они утверждают, что именно он предотвращает развитие кариеса у детей и взрослых. Как только его количество становится недостаточным, сразу появляется множество проблем со здоровьем.
Но большинство профессоров и ученых, которые плотно занимались изучением этого вопроса, сходятся в общем мнении, что правдой являются обе точки зрения.
В ходе изучения стало ясно, что около двадцати лет назад фторирование воды имело важное значение. То время характеризуется малым количеством этого элемента на планете. Поэтому остро ощущалась необходимость организма в нем. Но сейчас все совсем по-другому.
Благодаря развитию промышленных предприятий фтора хватает везде, в воздухе, почве, воде, еде. Некоторые территории буквально можно назвать отравленными фторидами.
Кремнефтористый натрий
Кремнефтористый натрий – химическое название средства, больше известного как крысиный яд. Является радикальным средством уничтожения крыс и мышей и часто попадает через пищу к человеку. Можно также отравиться, вдохнув порошок, когда его частицы даже в незначительном количестве попадают на слизистую оболочку.
Симптомы интоксикации типичны для отравления и характеризуются повышенной утомляемостью, слабостью, подавленным состоянием. В симптоматику также входит:
- головная боль свидетельствует о начинающейся общей интоксикации, где тревожным симптомом является неэффективность болеутоляющих средств;
- тошнота, рвота свидетельствуют о поражении токсином органов пищеварения;
- из-за нарушения работы в кровеносной системе кожные покровы бледнеют;
- кровотечения различной этиологии, связанные с повреждением сосудов и плохой свертываемости крови. Могут быть внутренними и внешними. Внутренние особенно опасны и могут привести к летальному исходу.
В зависимости от тяжести поражения могут появляться более серьезные признаки, связанные с нарушением сердечно-сосудистой, кровеносной, нервной систем.
Физические и химические свойства фтора
Познакомившись с физическими и химическими свойствами фтора, можно удивиться тому, что это очень ядовитое вещество, даже в названии которого притаилось «разрушение» (др.-греч. φθόρος ), является незаменимым в организме человека.
В природе больше всего фтора содержится в почве преимущественно в составе уже вышеназванного флюорита, в водах океана и в меньшей степени в речной воде. Некоторые растения вбирают и связывают фтор, в частности лук и чечевица.
Физические и химические свойства фтора обуславливают разностороннее использование этого элемента в фармакологии, химической промышленности для получения различных соединений, в том числе агрохимикатов, в изготовлении ряда материалов (тефлона, фторпластов и фторкаучуков). Как охлаждающее вещество он применяется в производстве холодильных камер – входит в состав фреона. Применим он также в ядерной и металлургической промышленности. Создание атомной бомбы не обошлось без 9-го элемента периодической таблицы.
Отравление фтором — диагностика
Диагностика отравления фтором базируется на характерных симптомах поражения внутренних органов и костной системы с учетом профессии больного.
Перечень обязательных исследований при отравлении фтором
- Общий анализ крови и мочи;
- Протеинограма;
- Щелочная фосфатаза;
- Содержание электролитов Са, К, Мg, Nа, СI;
- Определение времени кровотечения;
- Печеночные пробы;
- Определение фтора в моче;
- Рентгенография легких;
- Определение уровня вторичной легочной гипертензии;
- Рентгенография костей, суставов.
Список детских зубных паст без фтора
Для детей до 5 лет пасты с фтористыми соединениями не рекомендуются. Поэтому для малышей в этом возрасте для очищения чувствительных зубок с несформированной эмалью, подбираем мелкоструктурные пасты без фтора.
Положительные отзывы от потребителей получили:
- «Президент бэби» (Италия) рекомендуется от 0 до 3 лет. В составе имеется глицерофосфат кальция (для укрепления эмали), антибактериальный ксилитол, она безопасна для проглатывания, имеет приятый малиновый запах. Недостатками является содержание красителей и консервантов. Сорбитол в составе может спровоцировать газообразование, диарею.
- Гель с календулой «Веледа детская» (Германия) хорошо очищает молочные зубки малышей от 0 до 3-х лет, отсутствие в составе фтора и кальция вызывает необходимость чередовать гель со средствами с соединениями кальция. Содержит натуральные компоненты: альгинат (вытяжка из ламинарии), эфирные масла эксулина, фенхеля, мяты, оказывают противовоспалительный и антибактериальный эффект, укрепляющий десны экстракт календулы. Бережной очистке эмали способствует диоксид кремния.
- Детская паста «,Взрыв Целебных Трав», Langelica ( Италия) на 100% состоит из натуральных растительных компонентов: экстрактов мяты, хенхеля, алоэ веры. Паста с низким уровнем абразивности предназначена для взрослых и детей с 6 лет. Обладает антибактериальными, дезинфицирующими, освежающими свойствами.
- ЗП Langelica (Италия) «Имбирь и мята», «Корица и мята», «Лайм и мята» созданы исключительно на основе целебных трав, с высоким уровнем защиты от воспаления десен и кариеса, зубного камня, потемнения эмали. Рекомендуется для ежедневной гигиены рта взрослых и детей с 6-летнего возраста.
- Лечебно-профилактическая ЗП «Splat» (Россия) для ухода за молочными зубами выпускается в категориях: для дошкольников «Juicy Set», для детей 5-9 лет «Junior». Обогащена витаминами и микроэлементами, защищает от стоматита.
- Детям от 0 до 3-х лет рекомендуется серия паст «Baby Рокс» (Россия). Поддерживает кислотно-щелочной баланс, сохраняет слизистую, оберегает от стоматита, кариеса, безопасна при проглатывании.
Грамотный уход за зубами ребенка , гарантия здоровых зубов, нельзя впадать в крайности.
Полноценный уход должен включать ежедневное использование детских ЗП без фтора и 1-2 раза в неделю чистить зубки безвредными фтористыми, которые укрепят эмаль и защитят от кариеса.
Есть ли польза от фторирования?
Если с регулярной периодичностью практиковать покрытие зубов фтором, то это может привести к противоположному эффекту — разрушению эмали, а также повреждению костной ткани во всем организме.
Для фторирования зубов имеется ряд медицинских показаний. Основным из них является противодействие образованию кариозных поражений, благодаря выясненной токсичности фтора в отношении патогенных микроорганизмов.
В редких случаях у человека диагностируется недостаток галогена и тогда данная процедура будет полезна для него с целью его восполнения. Главное, понимать, что во всем нужна мера и не всегда то, что полезно, полезно в любой ситуации.
Виды и стадии заболевания
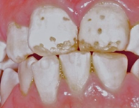
В зависимости от симптомов и проявлений патологии, выделяют следующие формы флюороза:
- Штриховая. Флюороз зубов у детей проявляется в виде небольших белых полосок – штрихов, которые чаще всего поражают зубы верхней челюсти, в частности, боковые и центральные резцы;
- Пятнистая. На эмали зуба можно разглядеть небольшие белые, либо светло-желтые пятна, которые могут возникать на различных участках поверхности. В основном данная форма заболевания проявляется на клыках, резцах. В более редких случаях депигментированные участки возникают на молярах и премолярах;
- Меловидно-крапчатая. Данная форма флюороза у детей выглядит в виде белых, меловидных участков, которые поражают все зубы ребенка. При этом зубная эмаль не только меняет цвет, но и теряет глянцевый блеск, становясь матовой;
- Эрозивная. Симптомы патологии данной формы выражены достаточно сильно. На некоторых участках зуба эмаль повреждена в значительной степени, кое где может даже полностью отсутствовать. На зубах ребенка может заметить сколы, полости, окруженные белой меловидной матовой эмалью, которая отличается чрезмерной ломкостью и хрупкостью. При этом повышается чувствительность зубов, ребенок болезненно реагирует на употребление холодных и горячих блюд, напитков;
- Деструктивная. Патология данной формы возникает в результате повреждения зубной коронки (отломы, эрозии). Важно! При этом поражается не только эмаль, но и более глубокие ткани зуба, в частности, дентин.
В зависимости от области поражения выделяют локализованный флюороз (когда деформационные процессы охватывают 1-2 отдельных зуба), и генерализованный (при котором очаг поражения распространяется на весь зубной ряд).
В зависимости от степени поражения выделяют дисплазивную форму, при которой зубная эмаль не теряет ткани (наблюдается при штриховой, пятнистой, крапчатой формах) и гипоплазивную, сопровождающуюся утратой тканей зуба (при эрозивной и деструктивной формах).
Выделяют несколько степеней заболевания:
- Легкая. На поверхности зуба возникают небольшие белые матовые участки;
- Умеренная. Поражается вся поверхность зуба. На эмали возникают желтоватые и серые участки;
- Тяжелая. Имеют место глубокие поражения эмали и тканей зуба (трещины, эрозии, сколы).
Влияние фтора на зубы
При чем же тут фтор? Ответ прост: влияние фтора на зубы реализуется как раз через эти процессы.
Фтор, или правильнее фторид, бывает стабильным и лабильным.
Стабильный фторид – тот, что включается в кристаллическую решетку гидроксиапатита вместо ОН-группы. Это происходит как до прорезывания зуба, так и после. Образуется новое соединение – фторапатит. Фторапатит более стабильный, устойчивый к кислоте (его растворение начинается при рН=4,5), менее растворимый (осаждается легче, чем гидроксиапатит).
Все бы ничего, но в условиях полости рта фторид в кристаллической решетке эмали меняет ее свойства не так сильно. Дело в том, что в эмали есть много кристаллов с включениями СО3-групп – биологических карбонапатитов. Эффект фтора на карбонапатит не такой выраженный.
Поэтому сегодня считается, что основную защитную миссию осуществляет другой фторид – лабильный. Это фторид, который находится около поверхности эмали. У него есть несколько источников:
— растворяющийся стабильный фторид;
— растворяющийся фторид кальция. Он образуется одновременно с фторапатитом, если фтора много в течение длительного времени в подкисленной среде (так есть больше ионов кальция);
— из межкристаллической жидкости эмали;
— из зубного налета и ротовой жидкости.
Лабильный фторид влияет на:
- Деминерализацию;
- Реминерализацию, в том числе и при начальном кариесе, стабилизируя его;
- Активность зубной бляшки.
Разберемся поподробнее в каждом из пунктов:
- Лабильный фторид препятствует деминерализации. Он поддерживает нужное количество ионов фтора, и фторапатиту эмали не нужно растворяться, чтобы это количество пополнить.
- Лабильный фторид помогает реминерализации. Происходит это благодаря нескольким эффектам фторида:
Во-первых, облегчается осаждение ионов кальция и фосфата. Он создает такую возможность при гораздо менее благоприятных условиях (более кислой среде и меньшем количестве ионов). Фторид их связывает, образуя фторапатит и фторид кальция. Осаждаясь, эти минералы с одной стороны блокируют входы для кислоты в эмаль, а с другой – мешают выведению кальция и фосфатов из эмали. А еще это хороший запас ионов для внутренних слоев кристаллической решетки.
Во-вторых, фторид ускоряет рост кристаллов апатитов эмали.
В-третьих, фтор легче и быстрее проникает между кристаллами эмали в составе кислоты HF. Затем он высвобождается из кислоты и ремонтирует, упрочняет сами кристаллы.
Во влиянии фтора на кариозный очаг есть один интересный момент. Именно из-за него образуется характерное для кариеса поражение с более твердым поверхностным слоем (1) и деминерализованным подповерхностным (2) даже при очень низкой концентрации. Существует множество мнений о том, почему происходит именно так. В любом случае, в клинике врач-стоматолог всегда должен помнить о такой особенности при осмотре зубов и диагностике кариеса.
- Лабильный фторид влияет на активность зубной бляшки.
В зубном налете фторид может находиться как вне, так и внутри микробной клетки. Когда среда налета становится все более кислой, в ней образуется все больше кислоты HF. Эта кислота легко проникает в микробную клетку. Ион Н+ закисляет ее цитоплазму, а ион F— оказывает следующее воздействие:
- Снижает активность энолазы, фермента реакции гликолиза, конечный продукт которой – губительная молочная кислота;
- Уменьшает образование АТФ. А это и «ключ» клеточного метаболизма, роста, и необходимый элемент для работы фермента, который транспортирует в клетку глюкозу – источника для производства кислоты, и фермента Н+/АТФазы, который поддерживает необходимый рН внутри клетки. Плюс благодаря работе этой самой Н+/АТФазы образуется энергия, которая нужна для жизнедеятельности микроорганизма. Фермент не работает – энергии для клетки нет.
- Фторид угнетает синтез микробной клеткой нужных ей макромолекул – белков, углеводов, в том числе внеклеточных – леванов, глюканов. Леван и глюкан вырабатывает Str. mutans для организации, объединения зубной бляшки (чтобы другим бактериям было легче прикрепиться и жить на зубе).
Если выходить за пределы микробной клетки, то фторид уменьшает скорость роста зубной бляшки, снижает содержание Str.mutans – основного виновника кариеса. Он более чувствительный к фториду, чем другие микроорганизмы, и pH зубного налета в присутствии фторида недостаточно низкая для его комфортной жизнедеятельности и продукции им кислоты.
Но за пределами лаборатории, в условиях in vivo воздействие фторида на зубную бляшку спорно:
- Фторида нужно много для того, чтобы достичь бактерицидной концентрации;
- Микроорганизмы адаптируются к опасному уровню фторида.
Более выраженное воздействие непосредственно на зубную бляшку фторид оказывает за счет других ионов, с которыми его комбинируют в профилактических препаратах.
Диагностика
Диагностику флюороза проводят дифференцированно, отличая его от других заболеваний, связанных с поражением эмали зубов.
- Кариес и гипоплазия эмали предполагают схожие симптомы при рассмотрении «стадии пятна». Однако, в отличие от флюороза, пятна небольшие, расположены преимущественно в пришеечных и контактных участках и окрашиваются с помощью красителей. При флюорозе красители не влияют на окрас, а сами пятна расположены хаотично, независимо от участка, охватывая все язычные и вестибулярные поверхности.
- Последующие формы флюороза отличаются от поверхностного и среднего кариеса, а также от клиновидного дефекта. Переизбыток фтора вызывает поражение участков эмали самых разных размеров и форм, здесь не прослеживается четкая локализация, как при клиновидном дефекте. Также не наблюдается симметричности поражений, как при эрозии зубов.
Что такое киста зуба и какое лечение в домашних условиях поможет справиться с болезнью.
Симптоматика и последствия
Недостаток фтора в организме приводит к появлению следующих симптомов:
- коричневым пятнам на зубной эмали;
- кровоточивости десен;
- тошноте;
- расстройству желудка;
- дрожи в конечностях;
- потере голоса;
- ломкости и выпадению волос;
- чувствительности зубов;
- развитию остеопороза (особенно у пожилых людей);
- проблемам с почками.
Избыток фтора не менее опасен для здоровья. В разной степени проявляется у мужчин, и у женщин. Объединяет представителей обоих полов тот факт, что переизбыток фтора приводит к нарушению гормонального фона.
У мужчин
Из-за чрезмерного количества фтора в организме снижается уровень тестостерона. Последний отвечает за развитие человека, его жизненный тонус и общее самочувствие.
Переизбыток опасного микроэлемента препятствует нормальной выработке щитовидной железой тиреоидных гормонов, которые отвечают за рост, кислородный обмен и общий обмен веществ, препятствуют депрессии, дарит ощущение бодрости и стимулирует умственную и физическую активность.
У женщин
Тестостерон присутствует и в женском организме, хоть и в меньшем количестве. Его производят яичники и надпочечники. У женщин он отвечает за распределение жировой ткани и за половую сферу.
Однако во фторсодержащих пастах присутствует еще один чрезвычайно опасный для женского здоровья компонент ‒ триклозан. Он имеет противовоспалительное действие и может вызвать сильнейший приток крови в организме беременной женщины, что, в свою очередь, опасно для плода гипоксией.
Лечение отравления
При отравлении любым видом фтора необходима срочная госпитализация, так как промедление может представлять угрозу для жизни. Чтобы не терять попусту время, так как дорога каждая секунда, до приезда скорой необходимо провести первичные манипуляции:
- дать больному подышать содовым раствором;
- обеспечить покой и тепло;
- дать средства на основе кодеина и дионина, а также препараты для сердца;
- если поражены кожные покровы, нужно как можно быстрее промыть их водой, затем обработать 10%-ным аммиаком и снова хорошенько обмыть пораженные участки;
- наложить мазь на основе магнезии.
Острое отравление фтором представляет угрозу для жизни, однако не менее опасно и более коварно хроническое отравление фтором, жертвами которого могут стать люди, активно использующие фторированную воду.
Противопоказания
Иногда встречаются случаи переизбытка поступления в организм ребенка фтора, в основном из воды. До сегодняшнего дня ряд стран, к примеру США, дополнительно фторируют водопроводную воду. Многие покупают своим детям бутилированную воду содержащую фтор.
Однако и здесь главное не переусердствовать, так как переизбыток фтора ведет сложному заболеванию зубов – флюорозу. При развившемся кариозном повреждении зуба фторирование так же не имеет смысла, здесь будет актуальна только пломбировка.
Интересные факты
Были проведены многочисленные исследования на животных, результаты которых доказали нейротоксичность фторидов. Они влияют на способность мыслить, говорить, запоминать. Другими словами, они способствуют резкому снижению интеллекта.
В свое время тех ученых, которые пытались рассказать обществу о вреде фтора, увольняли, осмеивали, сажали в тюрьмы. Все потому, что данное вещество позиционировалось в обществе, как необыкновенно полезное. И никому не было позволено разрушать сложенный миф. За последние годы появилось несколько работ, где подробно излагается о вреде фторидов, даже если применять их в разрешенной дозировке.
Большее количество фтора содержится в самых известных пастах, которые широко рекламируются по телевизору. Люди начали скупать их с прилавков вовсе не из-за невероятной пользы. Просто изо дня в день они слышали с экрана разрекламированную ложь. Это обычный маркетинговый ход.
В период вынашивания ребенка, галоген может оказать негативное действие на генетическое развитие плода.
В ходе исследований было доказано, что это вещество приводит к развитию костного рака.
Фтор в продуктах питания
Вода является основным источником микроэлемента, с ней организм получает 2/3 минерального вещества, много фтора также содержится в чае.
Фтор в продуктах питания (1/3):
- морская рыба (самая большая концентрация в соме, треске, скумбрии), морская капуста;
- печень, баранина, телятина, молоко, яйца;
- хлеб грубого помола, рис, овсяная крупа;
- лук, шпинат, яблоки;
- орехи.
Норма фтора в питании — 1,5 мг, максимально допустимое количество — 4 мг.
Криолит
Через органы дыхания оказывается типичное для фтора раздражение слизистой оболочки и приводит к отравлению. Проявления фтористого отравления всегда более или менее типичны и их острота зависит от степени поражения:
- конъюнктивит с фарингитом, ларингитом, бронхитом;
- кровь из носа, кровоточивость десен;
- поражение кожи, если она была значительно поражена газом: в этом случае образовываются труднозаживающие язвы.
Отравление криолитом возникает чаще всего в случаях, когда с этим элементом происходит профессиональное взаимодействие, например, при варке молочного стекла.
Методы фторпрофилактики
Существует два основных метода фторпрофилактики – системная и местная.
Системная – это употребление фтора внутрь. Фтор может поступать в наш организм с фторированными водой, молоком, солью и в составе специальных таблеток. В конечном итоге он оказывает свое профилактическое и лечебное воздействие, выделяясь в полости рта со слюной.
Местная фторпрофилактика – это использование препаратов со фтором наружно, непосредственно нанося их на зубы. Эффективность таких препаратов зависит от нескольких факторов:
– от химического соединения фтора, его свойств и концентрации;
– лекарственной формы препарата, частоты его применения;
– от свойств полости рта (эмали, ротовой жидкости, гигиены).
Допустимые дозы
Переизбыток микроэлемента получить легко, если не следовать рекомендациям по дозировке лечебных средств или используя воду в значительном объеме, изобилующую этим элементом.
В продуктовом наборе элемент представлен в незначительном числе, вследствие этого, переизбытка заработать нельзя, даже при их каждодневном использовании.
Ежесуточная доза фтора — от 0,5 мг до 4 мг, учитывая возраст человека, питание и место проживания. Детям — от 0,5 мг до 1,3 мг; Женщинам – от 1,5 мг до 4 мг; Мужчинам – от 1,5 мг до 4 мг;
Признаки избытка
Основная часть соединений этого вещества являются ядом. Опасной дозой является — 20 мг, несущей смерть — 2 г.
При остром отравлении фтором основными признаками являются:
- поражения ЦНС и системы пищеварения;
- мышечные спазмы;
- снижение АД;
- кома;
- тошнота, понос;
Интоксикация, обычно, формируется по причине использования воды с увеличенным порогом фтора — более 4 мг/л.
Для информации.
- Поражению в первую очередь подвергаются костная ткань и зубы, но вдобавок наблюдаются нарушения обменных процессов, свертываемости крови.
- Есть данные, что микроэлемент увеличивает риск появления остеосаркомы.
- Норму элемента очень просто превысить, что обращает это вещество в яд, каким он и представлен в природе.
- Приведены доказательства, что этот микроэлемент не в состоянии совершенно освободить от кариеса, означенное вещество может затормозить процесс поражения зубов.
- Фтор — сильный нейротоксин, содействующий накапливанию алюминия в клетках мозга, что вполне возможно, может вызвать болезнь Альцгеймера, привести к отдельным психическим нарушениям.
При переизбытке фтора происходит:
Искривление костей; Разрушение эмали зубов; Общая слабость; Рвота; Угнетение дыхания; Нарушение работы почек; Судорожные сокращения; Снижение АД; Снижение интеллекта;
Интоксикация этим микроэлементом приводит к появлению конъюнктивита, воспалению кожных и слизистых поверхностей бронхов, формированию пневмонии.
Нехватка фтора создает организму меньше проблем, чем переизбыток.
Профилактика флюороза
Флюороз – это заболевание костной системы и зубов, заполучить которое возможно в любом возрасте. Но основной риск развития все же приходится на период до прорезывания постоянных зубов. Все профилактические меры будут эффективны на 100% именно до полного формирования эмали коренных зубов у детей.
Избыток и недостаток фтора в организме
Недостаток фторидов может привести к развитию кариеса зубов и увеличению ломкости ногтей, костей и зубов,наблюдается выпадение волос.
Избыток фтора в рационе встречается крайне редко. И тем не менее злоупотреблять им не стоит. Иногда у младенцев, которые получают слишком много фтора, прежде чем зубы у них прорезались, имеют изменения в эмали, покрывающей зубы. На зубах могут появиться белые линии или полосы, но, как правило, их не так легко увидеть.
Не рекомендуется использовать дополнительные фториды, не посоветовавшись с врачом. Также следует избегать использования фторсодержащей зубной пасты для младенцев в возрасте до 2 лет. Что же касается детей старше 2 лет, можно давать им для использования зубную пасту с количеством фтора не больше, чем с горошину. Нельзя допускать полоскания рта фтором детьми в возрасте до 6 лет.
Фтор в организме человека.
Организм человека содержит фтор (fluorine) и фторид (соединение фтора с компонентами) в костях, зубах, кожном покрове и щитовидной железе. Содержание фтора примерно 2,6 г.
Что нужно еще помнить?
Местное применение фторсодержащих средств чаще всего не несет в себе опасности. Пользуясь фторсодержащей пастой необходимо просто тщательно ополаскивать ротовую полость после чистки зубов и не допускать случайного проглатывания даже небольшого количества средства.
Прежде, чем воспользоваться такой пастой, желательно сдать анализы на выявление индивидуальной непереносимости данного элемента, во избежание тяжелых последствий и аллергии.
Пищевые источники фтора
Фтор содержится в большинстве общих систем подачи воды (вода сама по себе часто не содержит достаточно фтора, но его в нее специально добавляют).
Пища, приготовленная на фторированной воде, содержит фторид. Природный фторид натрия содержится в воде океанов и морей, так что большинство морепродуктов содержит фториды. Младенцы получают фториды через грудное молоко или детское питание.







