Смена молочных зубов на постоянные или, как многие их привыкли называть, коренные – важный процесс в жизни каждого человека. Начинается он в детском возрасте и заканчивается у взрослых людей появлением “восьмерок”. Каждый ребенок индивидуален, но существует общий порядок и сроки прорезывания. Родители должны контролировать этот процесс и вовремя замечать отклонения от нормы.
Типы зубов и их расположение
Зубы шестерки нижний и верхний представляют собой дентин (твердая часть зуба) с полостью, покрытый слоем эмали. Он имеет характерную форму, построен из нескольких специальных тканей, а так же имеет свой нервный аппарат, кровеносную и лимфатическую систему. Внутри полости зуба, вопреки общему мнению, находиться рыхлая ткань, пронизанная нервами и сосудами.
В норме у человека от 28 (полный комплект) до 32 зубов (полный комплект + 4 зуба мудрости). Каждый зуб имеет свое название и выполняет определенную функцию.
Резцы – зубы, функции которых заключаются в откусывании пищи. Это передние зубы, которые прорезаются первыми (4 внизу, 4 вверху).
Клыки – конусовидные зубы, функции которых заключаются в разрывании и удержании пищи (2 внизу, 2 вверху).
Премоляры – это малые молочные, а затем — малые коренные зубы, идущие следом за клыками, по паре на каждой половине челюсти. Их 4 внизу, 4 вверху. Это 1-ый, 2-ой премоляр, или же если давать порядковые номера — 4-ый и 5-ый зуб.
Моляры – зубы, функции которых заключаются в первичной механической обработке пищи. Это самые большие по размеру коренные зубы. Располагаются следом за премолярами, по паре на каждой половине челюсти (4 внизу, 4 вверху). 1-ый и 2-ой моляр или же зуб шестерка и семерка. Если во взрослом периоде жизни, после 20 лет, сформируется дополнительный моляр, зуб мудрости, то их количество становится равным 6 внизу и 6 вверху. Зуб мудрости – 3-ий моляр или же зуб восьмерка.
Молочными зубы шестерки, равно как 7-ки и 8-ки, не бывают. Они прорезываются сразу коренными.
Если на сегодняшний день многие видели, как выглядит отдельный коренной зуб шестерка по фото в сети, то немногие знают, в каком порядке располагается весь прикус и какое место занимает этот моляр.
По видам зубы делятся на молочные и постоянные.
Во временном молочном прикусе детей присутствуют всего 20 зубов: это все 8 резцов, 4 клыка, и 8 премоляров.
В постоянном же прикусе присутствуют 20 замененных и 8 изначально коренных зубов, итого 28: это 8 резцов, 4 клыка, 8 премоляров и прорезанные сразу коренными 8 моляров. Так же могут появиться дополнительно 4 моляра – зубы мудрости. Тогда прикус будет иметь 32 зуба.
Сроки выпадения молочных единиц
Многие родители замечают, что к 5 годам у детей во рту появляются небольшие промежутки между зубами. Это происходит потому, что детская челюсть растет и образуется место для будущих более крупных зубов. Первые молочные зубки меняются к 6-7 годам. Этот процесс занимает достаточно много времени и чаще всего не причиняет ребенку физического дискомфорта.
Молочные корни способны рассасываться, что продолжается около 1-3 лет. Многие зубки выпадают самостоятельно, поход к стоматологу не понадобится. Последовательность выпадения молочных зубов обычно такая же, как и при прорезывании. Указать точно в каком возрасте выпадет тот или иной зуб невозможно, существуют лишь примерные временные рамки.
ЧИТАЕМ ПОДРОБНО: схема выпадения молочных зубов у детей в 5 лет
Ориентировочные сроки выпадения молочных единиц представлены в таблице.
| Название | Продолжительность рассасывания корня, в годах | Сроки, лет |
| Нижние и верхние центральные резцы | 1-2 | 5-7 |
| Боковые резцы | 1-2 | 7-8 |
| Премоляры снизу и сверху | 2-3 | 8-11 |
| Клыки | 2-3 | 9-12 |
| Моляры (верхние и нижние) | 3 | 10-13 |
Строение зуба
Зубы располагаются на верхней и нижней челюстях. Они состоят из твердых и мягких тканей.
Твердые:
- зубная эмаль – внешняя оболочка, служащая защитой зуба;
- дентин – твердая ткань, основа всего зуба;
- зубной цемент – ткань, покрывающая шейку и корень зуба.
К мягким относится пульпа – рыхлая ткань внутри зубной полости, имеющая большое количество сосудов, как кровеносных, так и лимфатических, и нервные окончания.
Анатомически у зуба можно различить три части:
- коронку – часть, выступающую над десной;
- корень – часть, расположенную глубоко в альвеоле десны;
- шейку зуба – часть фактического перехода эмали зуба в цемент, то есть место в промежутке между корнем и коронкой.
Порядок и сроки прорезывания зубов
В таблице приведены примерные сроки прорезывания постоянных зубов. Допускаются небольшие расхождения для каждой возрастной группы, что обусловлено индивидуальными особенностями организма и влиянием внешних факторов.
| Сроки прорезывания постоянных единиц | |
| Название зуба | Возраст ребёнка |
| На верхней челюсти | |
| Резец по центру | 7-8 л |
| Боковой резец | 8-9 л |
| Клык | 11-12 л |
| Первый премоляр | 10-11 л |
| Второй премоляр | 10-12 л |
| Первый моляр | 6-7 л |
| Второй моляр | 12-13 л |
| Третий моляр | 17-25 л |
| На нижней челюсти | |
| Резец по центру | 6-7 л |
| Боковой резец | 7-8 л |
| Клык | 9-10 л |
| Первый премоляр | 10-12 л |
| Второй премоляр | 11-12 л |
| Первый моляр | 6-7 л |
| Второй моляр | 11-13 л |
| Третий моляр | 17-25 л |
Биохимический состав зуба
Поскольку части любого зуба различаются своими функциями, то они так же будут отличаться и биохимическим составом.
Основной состав всего зуба – это вода, органические и неорганические соединения. В частности, отдельными важными составляющим являются минеральные компоненты.
Эмаль – твердая ткань, минерализованная. Ее прочность обуславливается высокой степенью минерализации.
Дентин – минерализованная ткань, не имеющая клеток как таковых и сосудов. Образует основную массу зуба. По структуре схожа как с эмалью, так и с костной тканью организма.
Пульпа – соединительная ткань, состоящая из клеток и межклеточного вещества. Пульпа выполняет одну из важных функций: она участвует в образовании дентина и обеспечивает передачу центральной нервной системе необходимой информации о состоянии эмали и зуба в целом, что объясняет высокую чувствительность зубов.
Минерализация – это процесс, при котором образуется органическая основа и насыщается солями кальция, при присутствии таковых в организме. Это интенсивный процесс, происходящий в период прорезывания зубов и формирования дентина и эмали, поскольку изначально зуб имеет неминерализованную эмаль.
Чем постоянные зубы отличаются от молочных
После смены прикуса меняются и правила ухода за полостью рта, поскольку постоянные и временные зубы сильно отличаются друг от друга:
- Коренные более плотные, у них высокая степень минерализации.
- Молочные зубки гораздо белее постоянных. У эмали коренных резцов, клыков или моляров от природы светло-желтый оттенок.
- Пульпа (пучок нервных окончаний) у постоянных зубов более развита, из-за этого и стенки твердой ткани гораздо тоньше.
- У ребенка раннего возраста зубочелюстной аппарат имеет менее развитую корневую систему, после смены прикуса он становится более прочным.
- Даже внешне молочные зубы более мелкие. У малышей еще не до конца развита челюсть, поэтому стандартный ряд на ней просто не вместился бы.
- Постоянных зубов больше. В подростковом возрасте начинаются формироваться шестерки, которых нет у маленьких детей.
Молочные зубы. Начальное развитие
Молочные – это первый комплект зубов. При рождении они отсутствуют, однако уже заложены в десне. На 7-ой неделе формирования эмбриона, в области будущих отростков альвеол, происходит утолщение эпителия, который в свою очередь начинает врастать в виде дугообразной пластинки в мезенхиму.
Прорезывание начинается уже после рождения, и происходит всегда в определенной последовательности.
Как правило, молочные резцы, передние зубы, прорезываются первыми, в период 4-6 месяцев жизни ребенка. А вот молочные премоляры – самые последние как по месту расположения в молочном прикусе, так и по очереди появления, прорезываются в период до 3-х лет. К этому возрасту у ребенка присутствуют все 20 зубов.
Но не стоит ориентироваться строго на возраст. Прорезывание, выпадение и замена зубов зависят от множества факторов, в том числе и генетических. Поэтому процесс может проходить по времени несколько раньше, или наоборот чуть позже.
Затем начинается формирование постоянного прикуса. И первый прорезывающийся зуб, который будет коренным, – это шестерка, зуб постоянный, 1-ый молярный. На его месте нет предшественника. Следом начинает появляться 2-ой моляр, или седьмой по счету зуб.
Далее начинается замена всех молочных зубов, сформировавшихся к тому времени, на постоянные, и, как правило, процесс идет в том же порядке, что и прорезывание молочных, то есть начиная с передних резцов и заканчивая уже постоянными премолярами (4-м и 5-м зубом).
Заканчивается процесс замены в возрасте от 8 до 12 лет. Это продолжительный период, и, как упоминалось выше, зависит от многих факторов.
Сколько растут постоянные зубы
Точных сроков роста постоянных зубов нет, в каждом случае играют роль индивидуальные особенности организма и наследственный фактор.
Сроки окончательного формирования корневой системы коренных зубов:
- резцы, расположенные по центру – лезут к 10 годам;
- резцы боковые – к 10 годам;
- клыки – к 13 годам;
- первые премоляры – вылезают к 12 годам;
- вторые премоляры – 1 12 годам;
- первые моляры – к 10 годам;
- вторые моляры – режутся к 15 годам.
Интенсивность роста зубов различна для каждой группы. Быстрое прорезывание наблюдается у вторых премоляров, за полгода они поднимаются на 8 мм. Резцы, расположенные по центру, поднимаются за год на 12 мм, а клыки за два года вырастают до 13 мм.
Если отмечается незначительный прирост на протяжении длительного времени, стоит показаться врачу. Возможно, у ребёнка имеются нарушения, связанные с заменой молочных единиц.
Возможные нарушения прорезывания
Причины, которые должны заставить родителей обратиться к стоматологу и ортодонту, различны. Но как правило это:
- Выпадение молочного зуба раньше времени или нарушающее порядок. Причиной может стать физическая травма или же поражение зуба кариесом. Само выпадение не является серьезной проблемой. Но, возможно, возникнет необходимость установки временного протеза на место молочного зуба, пока не прорежется постоянный. Ведь детская челюсть только формируется и если соседним зубам не будет ничего мешать, то они могут сместиться в сторону образовавшейся пустоты. А это приведет к тому, что для будущего коренного зуба просто не хватит места.
- Обратная ситуация, когда молочный зуб слишком «засиделся». Под ним уже прорезается коренной, но вытолкнуть его не может. В таком случае молочный зуб необходимо удалить у стоматолога. Однако обратите внимание, что спешить с удалением стоит только в том случае, если коренной зуб прорезается поверх молочного. Если коренного не видно, и ничего не доставляет дискомфорт, то выдергивать молочный не стоит. Так как под зубом может просто не быть зачатка коренного, и тогда молочный зуб так и останется на всю жизнь.
В зависимости от особенностей развития ребенка и молочные, и постоянные зубы могут выходить немного позже стандартного срока. Если не прорезался молочный зуб, причина может быть во внутриутробной инфекции, которая могла повлиять на зачаток зуба. Если же он прорезался, но не стремиться выпадать – это стандартное отклонение. Стоматолог сделает рентгенологический снимок, и если зачатка коренного нет, то молочный зуб трогать не надо.
Какие проблемы могут возникнуть в период смены зубов
Проблем, когда у детей лезут коренные зубы, может возникнуть много. К самым распространенным осложнениям можно отнести:
- Отсутствие постоянных зубов.
- Рост постоянного зуба до выпадения временного.
- Боль в коренном зубе.
- Выпадение коренного зуба.
На каждый случай у стоматологов есть решение, нужно только вовремя обнаружить проблему и обратиться за помощью. Два последних явления возникают из-за низкой минерализации твердой ткани, причем такие аномалии проявляются независимо от того, во сколько лет лезут коренные зубы.
Новый зубной ряд всегда очень уязвим в первые несколько недель после формирования. Если уделять мало внимания уходу за ротовой полостью, на постоянных резцах, клыках и премолярах быстро сформируется кариес. Физическое воздействие на твердые ткани в этот период тоже приводит к массе последствий.
Почему после выпадения молочного зуба коренной долго не растет
Как только у ребенка выпал молочный резец, клык или моляр, на десне обычно уже можно нащупать коренной. Даже если это не так, то в течение недели он должен появиться. Если уплотнения нет, значит, молочный зуб выпал слишком рано. Многие дети расшатывают зубки, иногда и сами родители принимают участие в их вырывании.
В худшем случае подобный симптом может говорить об адентии. Такая патология встречается крайне редко, она обуславливается серьезным нарушением минерализации еще во внутриутробном возрасте. Иногда недуг появляется уже при жизни из-за инфекционных заболеваний. Проблема легко решается протезированием.
Еще одной причиной нарушения может послужить физиологическая задержка роста тканей. Прорезывание всех постоянных зубов при такой патологии заканчивается гораздо позже чем обычно. Если стоматолог обнаружит подобный дефект, он посоветует сделать съемный протез. Если не воспользоваться советом, постоянные резцы и клыки вырастут искривленными.
Чем опасен рост коренных зубов до выпадения молочных
Обычно рост коренного зуба приводит к расшатыванию молочного, но бывают и исключения. Понять, что прикус сменяется неправильно, можно при наличии всех признаков прорезывания, о которых говорилось ранее, не сопровождающихся расшатыванием молочных резцов или клыков.
Такая проблема при росте постоянного зубика может привести к ряду проблем:
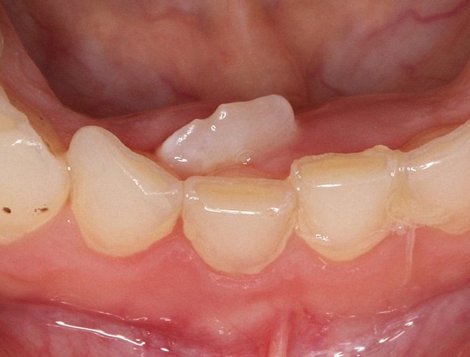
- Резец или клык начинает искать другой путь для прорезывания. В таком случае коренные зубы у детей растут так, как на фото справа. Моляры и премоляры обычно все же вылезают из десны, искривляя весь зубной ряд.
- Сам резец или клык может сильно искривиться. Он начинает изгибаться в разные стороны, причем еще до полного прорастания.
- Покраснение, зуд и боль становятся более ощутимыми. Из-за этого очень часто в поврежденную область попадают бактерии. Может начаться инфекция, которая перерастет в кисту или свищ.
- Если у ребенка появляются коренные зубы, когда молочные еще на месте, обратитесь к стоматологу. Он сможет сразу обнаружить проблему и провести удаление препятствующего росту постоянного зуба «молочника».
Коренные и постоянные зубы. В чем отличия?
Многие привыкли считать, что молочный зуб – временный, а коренной – постоянный, уже имеющий нерв. Однако это не так. Правильное подразделение зубов подразумевает молочные и постоянные, которые приходят им на смену.
А вот коренные – это те зубы, которые никогда не имели предшественников, то есть моляры: 6-й, 7-й, и 8-й зуб (1-й моляр – зуб шестерка, 2-й моляр – зуб семерка, и 3-й моляр – зуб восьмерка).
А премоляры (4-й и 5-й зуб, или 1-й и 2-й премоляр) сначала являются молочными, а затем постоянными, и так же коренными, потому что пришли на смену молочным предшественникам.
В каком возрасте происходит формирование корней постоянных зубов?
Ошибочно мнение, что формирование постоянных зубов происходит в процессе рассасывания корешков молочных единиц. Зачатки сменных и коренных зубов появляются у ребенка еще в утробе матери. Однако так называемые взрослые зубы находятся выше молочных, корень которых достаточно широк, чтобы не мешать своим младшим собратьям расти.
Постоянные зубки, имеющие сменных предшественников, развиваются из эпителиальной зубной пластины, которая появляется на 20 неделе развития плода. Единицы, у которых нет молочных аналогов, начинают образовываться примерно через год после рождения ребенка. Однако процесс формирования зуба продолжается даже после его прорезывания.
Сроки формирования корешков постоянных зубов:
- верхние центральные резцы – 9-13 лет;
- нижние центральные резцы – 7-11 лет;
- верхние боковые резцы – 9-12 лет;
- нижние боковые резцы – 8-11 лет;
- корни клыков обычно полностью сформированы к 9-12 годам;
- премоляры – 11-13 лет;
- первые моляры – 9-13 лет;
- корешки вторых моляров – к 14-15 годам;
- корни третьих моляров не имеют определенных сроков прорезывания и формирования корня.
Смена молочных зубов
Сам процесс смены прикуса начинается гораздо раньше, чем выпадет первый зуб. Со временем молочные зубы перестают крепко держаться в десне, начинают шататься. А происходит это за счет того, что корни таких зубов сформированы из ткани, способной со временем растворяться. Но только при условии появления зачатка постоянного зуба.
Зачаток будущего зуба отделяется от корня молочного всего лишь тонкой костной пластинкой. Если он сформируется, то начнет давить на эту костную перегородку. В окружающей ткани начнут появляться остеокласты, которые призваны разрушить ее.
Схема роста коренных зубов у детей
В большинстве случаев постоянный зуб появляется спустя 3 – 5 месяцев после выпадения временного. Порядок прорезывания коренных зубов во многом схож с появлением молочных. Первые коренные зубы у детей – центральные нижние резцы. Верхние постоянные зубы развиваются позднее нижних, если рассматривать их парно.
| Возраст | Прорезывание коренных зубов у детей |
2 года |
В истории были упоминания, когда ребенок рождался с одним или несколькими коренными зубами. Случаи, когда у ребенка 2 – 3 лет прорезывались коренные зубы, также имеют место, однако встречаются крайне редко (менее 1%). |
5 лет |
Когда ребенку 5 лет, коренные зубы «лезут» очень редко (менее 10% от общего числа). Если молочный зуб выпал в столь раннем возрасте сам по себе, то есть все основания полагать, что на его месте вскоре появится постоянный. |
6 лет |
Корни молочных зубов (особенно верхних и нижних резцов) начинают рассасываться, и зубы выпадают. Обычно именно в 6 лет начинает прорезываться первый коренной зуб у ребенка. |
7 лет |
В этом возрасте первые нижние коренные зубы у детей (хотя бы один из них) уже прорезались и на очереди стоят уже резцы верхней челюсти. |
9 лет |
В 9 лет уже точно должен успеть появиться второй коренной зуб у ребенка. Некоторые дети обзаводятся боковым резцами и даже премоляром на одной из челюстей. |
10 лет |
В десятилетнем возрасте задние коренные зубы у детей начинают активно прорезываться (премоляры, и чуть позже – моляры и клыки). |
13 лет |
В 12 – 13 лет у детей обычно формируется полный прикус из постоянных зубов. Последними обычно прорезываются верхние клыки и вторые моляры. Это не касается зубов мудрости, которые появляются уже во взрослом возрасте (после 17 – 18 лет) или могут вовсе не прорезаться. |
Моляры
Самая важная задача коренных зубов – это пережевывание пищи. Они и не появляются в раннем возрасте, поскольку в жевательной функции необходимости еще нет.
Но когда они начинают прорезываться, это доставляет много неприятных ощущений детям и переживаний их родителям. Ведь строение молярного зуба отличается от остальных.
Моляры верхней челюсти имеют по три корня и четыре внутренних канала, а моляры нижней челюсти – два корня и три канала. Но проблемы не в корневых каналах, а в том, что это самые крупные зубы с широкой жевательной бугристой поверхностью, из-за чего зуб прорезается довольно медленно, в прямом смысле рассекая десну.
В каких случаях могут появиться раньше/позже и почему
Соответственно процесс замены молочных постоянными единицами также сдвигается. Детские стоматологи не видят никаких проблем, если к году жизни у ребёнка имеется хотя бы один зуб, а к трём годам сформировалась вся молочная группа.
При полном отсутствии единиц производится тщательный осмотр малыша на предмет выявления провоцирующих факторов.
Несовпадение сроков прорезывания зубов может быть связано с генетическим фактором или другими причинами. Среди основных провокаторов задержки процесса:
- перенесённые ранее инфекционные заболевания;
- нарушение работы ЖКТ, происходившее на протяжении длительного времени;
- проблемы с обменными функциями организма;
- нехватка витамина Д (при диагностировании рахита);
- гипофизарная недостаточность.
Настораживает не только позднее прорезывание зубов, но и их ранее появление. Чаще всего это происходит в результате расстройства эндокринной системы (к примеру, синдром Олбрайта, гипертиреоз, гипергонадизм).
Спровоцировать прорезывание одного или целой группы резцов до шестимесячного возраста может растущая опухоль (к примеру, эозинофильная гранулема).
Симптомы прорезывания моляров
Из коренных зубов первыми, как правило, лезут зубы шестерки.
В период прорезывания защитные силы иммунной системы ослабляются, и могут появиться следующие симптомы, схожие с простудными заболеваниями:
- повышенная температура;
- насморк;
- а главное – повышенное слюноотделение.
А поскольку зубы появляются попарно, то есть клык с правой верхней стороны прорезается в одно время с клыком с левой верхней стороны, то и зубы шестерки у детей выходят вместе, что может усугублять процесс.
Эти зубы прорезываются самым первым из коренных. Чтобы облегчить симптомы маленькому ребенку и немного снять боль, можно помассировать десны пальцем, но обязательно перед этим тщательно вымыв руки. Иначе занести инфекцию не составит труда. А детям постарше можно погрызть жесткие овощи или фрукты: яблоки, морковь и другие твердые продукты.
Как ослабить неприятные симптомы при прорезывании коренных зубов
Зубная боль – крайне неприятный симптом даже для взрослого, не говоря уже о малышах. Прорезывание зубов сопровождается не только дискомфортом, но и общим недомоганием, поэтому лучше заранее узнать, в каком возрасте лезут коренные зубы у детей, и подготовиться к этому периоду.
Как можно облегчить симптомы:
- Если молочный зуб уже выпал, и десна сильно чешется, аккуратно помассируйте ее пальцем. Только сначала тщательно помойте и продезинфицируйте руки. Можно использовать для массажа специальные щетки.
- Холодные компрессы тоже помогут, но не стоит прибегать к ним слишком часто и надолго. Нескольких процедур в день будет достаточно.
- Помогут и обезболивающие гели, такие как Холисал, Метрогил Дента, Камистад, Калгель. Пользоваться ими нужно аккуратно – не чаще чем 4 раза в день.
- Для снятия температуры используйте стандартные средства, которые применяете обычно. Только следите за тем, сколько препаратов дали ребенку за весь период, и не превысьте норму.
- Если температура не спадает уже 2–3 дня, обратитесь к врачу.
На заметку родителям
Ниже можно увидеть подробную схему, которая расскажет, когда появляются молочные зубы, происходит их смена на постоянные и когда начинают расти коренные.
Сегодня многие мамы пытаются контролировать, как их ребенок чистит зубы, но не всегда добиваются успехов. И тогда все пускается на самотек. Они заблуждаются, считая, что пока все зубы молочные, не стоит волноваться, ведь они в любом случае будут заменены. Однако все не так просто.
Как можно было понять из вышеизложенного, в раннем детском возрасте прорезаются самые важные для жевания зубы – моляры, и они останутся на всю жизнь. Если ребенок начал жаловаться на боль, то, вероятнее всего, ее дает зуб шестерка, когда растет. Или следующий моляр.
Но если зуб сформирован и продолжает болеть, то стоит срочно обратиться к стоматологу. Первопричиной, вероятнее всего, будет кариес, и лучше сразу установить пломбу, иначе будут задеты корни зуба шестерки.
Сначала молодой маме тяжело дается период роста первых зубов, когда ребенок не спит по ночам, а всевозможные игрушки для жевания при прорезывании зубов не дают эффекта. Ребенок плачет, а помочь невозможно. Затем идет рост первых коренных зубов, что усугубляется возможностью их повреждения. И в итоге контроль ослабевает. А малыш растет, начинает кушать сладости, и все это отражается главным образом на коренных зубах, за счет их широкой поверхности. А нижние моляры, и в частности зуб шестерка нижний, наиболее подвержены разрушительному воздействию бактерий.
Как ухаживать за полостью рта в период смены прикуса
Нужно приучать ребенка ухаживать за ротовой полостью с самого раннего возраста. К периоду смены прикуса, он уже должен уметь пользоваться щеткой и пастой. Во время прорастания коренных зубов нужно соблюдать и другие рекомендации:
- Лучше использовать пасты с повышенным количеством кальция и фтора.
- Следите за тем, чтобы малыш регулярно пользовался антисептическими ополаскивателями для полости рта.
- Стоит ограничить количество употребляемого ребенком сахара, так как он приводит к развитию кариеса. Когда коренные зубы у детей только режутся и еще не успели окрепнуть, болезнь может сформироваться всего за несколько недель.
- Включите в рацион больше фруктов, овощей, молочных продуктов. Все они положительно сказываются на здоровье полости рта.
- Не ограничивайте ребенка в жесткой пище, она массирует десны и улучшает рост твердой ткани.
- Проконсультируетесь с педиатром и вместе с ним подберите комплекс с большим содержанием витамина D, который улучшает усвоение кальция.
- Постарайтесь впервые показать малыша стоматологу не позже чем в 3–4 года. Когда начнут прорезаться первые коренные зубы, ребенок уже не должен бояться стоматологического кабинета, так как к специалисту придется ходить очень часто.
Не стоит пускать здоровье молочных зубов вашего ребенка на самотек и уж тем более не стоит игнорировать его, когда начинает формироваться постоянный прикус.
Заболевания зубов
Родителям необходимо запомнить одно правило: если у ребенка начинает болеть зуб, шестерку проверять первой.
Как говорится, любое заболевание гораздо легче предупредить, нежели потом его лечить. То же касается и заболеваний зубов и полости рта.
Шестерки зубы сверху и снизу, несмотря на свою прочность, подвержены и механическому повреждению от физических усилий, и воздействию кислой бактериальной среды. А поскольку все постоянные зубы имеют нервные окончания, то любое повреждение вызовет боль, а главное – безвозвратное нарушение структуры зуба, не говоря уже о возможной его потере.
Если из-за повреждения тканей каким-либо заболеванием придется удалить зуб шестерку, а это самый крупный молярный зуб, то помимо того, что будет нарушено качество пережевывания пищи, останется пустая лунка с раной, что увеличит вероятность заражения инфекцией всей десны.
Самым распространенным заболеванием зубов является кариес. Это медленно текущий процесс воздействия жизнедеятельности бактерий на эмаль зуба, вследствие чего они получают доступ к дентину и разрушают его. Помимо этого, поскольку открыт путь к пульпе, в которой расположены сосуды и нервы, туда может попасть инфекция и вызвать воспаление внутренних тканей, пульпит.
Зубной камень – это не столько заболевание, сколько результат неправильной чистки зубов, в результате или отсутствии которой, на эмали начинает оседать мягкий зубной налет, со временем затвердевающий, что вызывает сложность его удаления в дальнейшем. В большинстве случаев он не опасен, и удаляется в стоматологическом кабинете. Однако он может вызвать воспаление десен – пародонтит. И если его не лечить, то поверхностное воспаление десен может перерасти в глубокое. А тогда пострадают и зубы.
Молочные и коренные зубы у детей
Многие считают, что у постоянных и временных зубов нет никаких отличий, но это не так. Как минимум, различается их количество (молочных – 20, постоянных, как правило, 32). Временные зубы имеют светлый оттенок, тогда как постоянные от природы более желтые. Коренные также значительно превышают молочные по размеру – визуально их отличить довольно легко. Вот наиболее частые вопросы, которые задают пользователи Сети по этой теме.
- Есть ли у детей коренные зубы? Разумеется, есть, и в определенный момент они начинают активно прорезываться.
- Сколько коренных зубов у детей? От 28 до 32 (максимальный комплект появляется после появления всех восьмерок).
- Какие коренные зубы у ребенка появляются самими первыми? Как правило, первым прорезывается центральный нижний резец.
- Во сколько у детей «лезут» коренные зубы? Обычно обновление зубного ряда начинается после 6 – 7 лет, но каких-то строгих рамок не существует.
- Выпадают ли коренные зубы у детей? Сами по себе – нет, в результате травм и болезней – да.
- Чем грозит удаление коренного зуба у детей? Как бы банально ни звучало, его потерей. И да, новый уже не вырастет. Все как у взрослых людей.
- Что делать, если у ребенка растут желтые коренные зубы? Постоянные зубы имеют более желтоватый оттенок, чем временные. Налет на коренных зубах у ребенка – это нормально, однако ни в коем случае нельзя пренебрегать гигиеной.
- Что делать, если у ребенка черные коренные зубы? При прорезывании молочные зубы могут иметь черный цвет (так называемый налет Пристли, или пигментные бактерии). Однако с коренными зубами этого не происходит. Если они черного цвета – немедленно идите к стоматологу.
- Что делать, если у ребенка нет зачатков коренных зубов? Такое случается, но очень редко. К счастью, при современных технологиях имплантации и протезирования проблема решаема.
- Нормально ли, что у ребенка криво растут коренные зубы? Срочно обращаться к ортодонту: в детском возрасте исправлять прикус гораздо легче и быстрее, чем во взрослом.
- Какие зубы у детей меняются на коренные? Все двадцать, плюс появляются новые моляры.
Удаление коренного зуба
Удаление любых зубов – очень серьезная процедура. А удаление зуба шестерки еще и неприятно. Любой взрослый сложно перенесет такое вмешательство, а ребенок подавно. Как бы хорошо ни было подобрано оборудование и анестезия, насколько бы грамотен ни был врач, все равно отека лунки зуба и окружающих ее тканей не избежать. Тем более что метод удаления таких зубов подразумевает их расшатывание, что может негативно отразиться на соседних зубах.
Удаляют их только по серьезным показаниям. Любой грамотный дантист будет пытаться сохранить зуб. Назначают удаление в двух случаях. Либо зуб мешает нормальному росту других зубов и из-за него может испортиться прикус. Либо он может навредить организму в случае серьезного повреждения кариесом.
Коренные зубы у детей: симптомы прорезывания
- Повышенная температура. При прорезывании коренных зубов у детей температура тела может повышаться, обычно не выше 38 градусов.
- Зуд и болевые ощущения в месте появления коренного зуба. Избавить детей от неприятных ощущений помогут различные гели и мази, а также массаж десен.
- Повышенное слюноотделение и насморк.
Важно!
Рост коренных зубов у детей, особенно на начальном этапе, приводит к ослаблению иммунитета. Принимайте витамины и не забывайте про профилактические визиты к стоматологу.
Показания и противопоказания для удаления
Абсолютное показание — острое гнойное воспаление с возможностью развития остеомиелита или флегмоны.
Относительные показания:
- развитие кисты у корня;
- разрушение внешней части зуба без возможности восстановления;
- дистопия или неправильное расположение зуба в десне;
- неправильный прикус;
- пародонтит третьей и четвертой степени;
- воспаления зубов, вызванные туберкулезом или актиномикозом;
- сверхкомплектные зубы шестерки верхние или нижние, которые вызывают нарушение прикуса;
- повреждение корня зуба при стоматологическом вмешательстве.
Лекарства при прорезывании зубов у ребенка
Как помочь ребенку при прорезывании зубов? И какие средства при прорезывании у младенцев зубов помогут эффективно обезболить и облегчить состояние ребенка? На эти вопросы мы постараемся ответить далее. Как было сказано выше, невозможно заранее предугадать реакцию детского организма на процесс появления.
Однако даже если ваш малыш относительно легко переносит все тяготы данного периода времени, а его самочувствие остается по-прежнему хорошим, все равно стоит знать, чем помочь ребенку в случае возникновения каких-либо недомоганий, связанных с прорезыванием молочных зубов.
Главная цель родителей – это сделать так, чтобы процесс появления зубов прошел для их ребенка насколько это возможно более безболезненно.
Добиться этого можно при помощи всевозможных медицинских препаратов, которые оказывают обезболивающее воздействие, а также предотвращают развитие в месте прорезывания зубок инфекций и воспалительных процессов.
Итак, какие существуют эффективные лекарственные средства для обезболивания:
- гели, например, Бейби Доктор «Первые зубки», Холисан, Камистад Беби, Калгель и другие;
- капли, например Дентинокс, этот препарат также выпускают в виде обезболивающего геля;
- мазь для десен, например, Траумель С.
Помимо выше перечисленных средств в устранении болезненных симптомов прорезывания молочных зубов может помочь гомеопатия. Правда с лекарственными травами и растениями, также как и с препаратами, изготовленными на их основе, нужно быть крайне осторожными. Безусловно, натуральные растительные компоненты для детского организма – это лучшая альтернатива синтетическим лекарственным средствам.
Вот только при наличии у ребенка аллергии, гомеопатические средства могут существенно ухудшить состояние здоровья малыша. Поэтому перед началом их применения стоит обязательно обратиться за медицинской консультацией к врачу-педиатру. Поговорим о наиболее популярных и хорошо зарекомендовавших себя препаратах.
Что делать, если в год у ребенка нет ни одного зуба?
Ранее считалось отклонением от нормы, если в год у крохи нет ни одного зуба. Врачи в первую очередь подозревали, что у малыша анемию или рахит. Сейчас опровергли эту версию. Исследования показали, что у многих детей прорезаются зубы в 1-1,2 года. Однако, родителям не стоит быть беспечными и просто ожидать проявления процесса. Когда исполнится 1 годик ребенку, обязательно поведайте вашему врачу-педиатру о возникшей проблеме.
Он, в свою очередь, пусть установит причину запаздывания роста зубов. Если это наследственность, то скажет, когда повторно явиться на прием. Назначит употребление необходимых для роста зубов витаминов, посоветует, как правильно кормить малютку. Если нет, то отправит на анализы или к врачу стоматологу. Вам могут предложить сделать:
- биохимические анализы мочи, крови
- ультразвуковое обследование органов
- проверить щитовидку
ВАЖНО: Чтобы исключить такое заболевание, как адентия, врач-стоматолог направляет на рентген нижней челюсти. Если подтверждается диагноз (зачатки зубов отсутствуют), то через время устанавливают протезы. Однако, не стоит сразу расстраиваться — эта патология крайне редко встречается.
Последовательность прорезывания постоянных зубов
- Первые моляры («шестые зубы») – появляются позади второго молочного моляра сразу постоянными в 6-7 лет.
- Центральные резцы – замещают выпавшие центральные молочные резцы.
- Боковые резцы – замещают выпавшие боковые молочные резцы.
- Первые премоляры («четвертые зубы») замещают первые молочные моляры.
- Клыки замещают выпавшие молочные клыки
- Вторые премоляры («пятые зубы») замещают вторые молочные моляры.
- Вторые моляры («седьмые зубы») появляются сразу постоянными в 11-13 лет.
- Третьи моляры («зубы мудрости») появляются сразу постоянными и могут прорезаться в любое время после 16 лет. У многих людей зубы мудрости могут полностью отсутствовать.
Нижние зубы прорезываются раньше, чем верхние. Частое исключение представляют премоляры.
У молочных зубов есть корни?
Некоторые родители считают, что корней у них нет. Это не так. У молочных зубов есть корни.Если вовремя не узнать точную информацию, можно получить серьезные последствия.
Из-за быстрого разрушения нервов ребенка почти не волнуют болевые ощущения. Когда молочный прототип разрушен, он сам собою расшатается и выпадет. Это повлекло за собою миф об отсутствии корней.
После того, как молочные сформировались, у них начинается трехлетний период покоя. Хотя это время индивидуально для каждого ребенка. Именно тогда и необходимо идти с малышом к стоматологу, чтобы вылечить поврежденные. Если проигнорировать такую процедуру, постоянные вырастут не такими здоровыми, как этого бы хотелось.
Когда происходит рост моляров и резцов, наблюдается выталкивание молочного зуба. Вследствие этого он начинает шататься и выпадает. Если такой молочные больны и их не лечили, то они могут выпадать с осложнениями, доходящими до необходимости удалять нерв с применением местной анестезии.
ВАЖНО! У временных зубов непродолжительное существование. В13-14 лет они сменяться на постоянные. Характеристики молочных по строению и функциям подобны постоянным зубам, полностью соответствуют им.
Сколько раз выпадают?
В большинстве случаев зубы, которые прорезываются у ребенка в первые два года жизни, выпадают лишь раз. Все они заменяются постоянными, но из-за расширения челюсти между клыками и молярами появляется еще по два зуба (премоляра). К 17-летнему возрасту у большинства детей насчитывается 28 постоянных зубов, а оставшиеся 4 «зуба мудрости» прорезываются позже (иногда после 25-30 лет).
Постоянные зубы в норме выпадать не должны, но встречаются случаи, когда у детей прорезывается и выпадает несколько комплектов зубов.
Какие зубы болят при прорезывании больше?
Очень болезненно некоторые дети переносят прорезывание клыков, а также с беспокойством прорезывание происходит при появлении четверок и пятерок. Зубы, выходя наружу своими острыми краями, прорезают ткань десны малыша, и поэтому дитя начинает капризничать и испытывает неприятные ощущения, когда начинает набухать десна. Само прорезывание зубов у ребенка происходит в зависимости от его генетических параметров и биологического возраста.
Стоит знать, что при набухании десны у ребенка может болеть не только именно то место, где прорезается зуб, а полностью весь рот. Появиться зуб может в течение месяца, а может и через два месяца еще не появиться даже на поверхности десны. Это все индивидуальные особенности вашего малыша, и вам не стоит расстраиваться, если при постоянно воспаленной десне и идущем больше месяца повышенном слюноотделении зубы так и не появились. У ребенка до трех лет должны появиться 20 зубов, и их прорезывание может происходить по-разному, поэтому не стоит выяснять, какие именно зубы болезненно прорезывались у других детей.
Как помочь ребенку после года в период появления зубов
- Самый простой способ – это прорезыватель. Игрушка, выполненная из силикона и наполненная водой. Поверхность прорезывателя неоднородная. Он может иметь зубцы, пупырышки, выступы разной формы. Все это сделано для того, чтобы малыш мог почесать все десна охлажденной игрушкой. Перед использованием массажер кладут в морозилку.
- Для того чтобы немного помассировать десны, почесать их, родители могут использовать специальную насадку на палец в виде зубной щетки.
- При появлении высокой температуры и для снятия болевых ощущений можно дать ребенку Ибупрофен детский или Парацетамол, также в детской дозировке.
- Существует ряд гомеопатических средств для уменьшения проявления симптомов появления зубов. К таким препаратам относится, например, «Дентокинд». По отзывам многих мамочек, таблетки действительно помогают.
- Обезболивающие гели – анестетики. Это специальные гели для десен местного действия с выраженным обезболивающим эффектом. Гель наносят на десну с припухлостью, и она ненадолго замораживается.
- Снять воспаление и облегчить состояние малыша можно отваром ромашки, некрепким чаем, раствором соды или Мирамистином. Ромашка обладает противовоспалительным и легким седативный свойством. Чай благодаря содержанию дубильных веществ способствует заживлению десен. Сода снимает воспаление, а Мирамистин борется не только с инфекциями, но и с вирусами, которые могут стать причиной тяжелых заболеваний.
Возможные осложнения
Как и в случае с постоянными зубами, удаление временных может привести к некоторым осложнениям.
К ним относят:
- Повреждение (вплоть до перелома) корня или коронки.
- Специалист может протолкнуть корень в мягкие ткани.
- Нанесение повреждений на десны или слизистые ротовой полости.
- Челюстной вывих.
- Челюстной перелом.
- Корневая аспирация.
- Нанесение повреждений нервам зубика.
- Повреждение растущих по соседству зубцов.
- Открытие кровотечения в области удаления.
Преждевременная потеря приводит к образованию рубца в лунке, атрофии тканей, что, впоследствии, может привести к затруднениям роста нового постоянного зубика.
Особенности питания: 4 важных момента
В период, когда лезут коренные зубы у детей, необходимо поддерживать качественное питание. Что должно быть в рационе ребенка?
- Потребность в фосфоре. Без рыбы не обойтись! Для приготовления используйте нежирные сорта морской рыбы.
- Больше кальция. Желательно разнообразие и обилие молочных продуктов.
- Овощи и фрукты. Во-первых, это источник необходимых витаминов. Во-вторых, твердая пища ускоряет процесс расшатывания молочных зубов. Важно в этот период нагружать челюсти.
- Ограничение сладостей. Прискорбный для детей пункт. Однако именно сладкие продукты приводят к образованию молочной кислоты, которая негативно воздействует на эмаль и твердую ткань.
Смена зубов у детей — дополнительная нагрузка на организм. Полезным будет прием комплекса поливитаминов.
Преждевременное выпадение зубов
Детский стоматолог в своей практике встречается с отклонениями в сроках прорезывания зубов. Считается, что отклонение в сроках прорезывания в пределах до 18 месяцев является нормой. Но этот факт должен согласовываться с другими аспектами развития челюстно-лицевой области. При этом, выпадение зубов у ребенка, не достигшего пятилетнего возраста, не в результате травмы, должно требовать особого внимания, так как может являться проявлением местной или системной патологии.
Частой локальной причиной преждевременного выпадения временного (молочного) зуба является развитие воспалительного процесса в тканях, окружающих зуб -периодонтита молочного зуба. Вследствие воспалительного процесса в периодонте активизируется преждевременное рассасывание корня зуба, так называемая патологическая резорбция корня.
Из проявлений системной патологии наиболее часто в практике детского стоматолога встречаются:
- гипофосфатазия,
- препубертатный пародонтит.
Заметим, что данная патология преимущественно встречается у девочек.
Гипофосфатазия.
Клинически гипофосфатазия проявляется в преждевременном беспричинном выпадении передних временных (молочных) зубов. Выпадение передних зубов может быть как спонтанным, так и в случае легкой травмы. При этом воспалительные изменения в десне не отмечаются. Потеря костной ткани, в большинстве случаев, встречается только во фронтальном отделе челюсти.
При гипофосфатазии наблюдается низкая минерализация костной ткани, возникающая в результате пониженной активности щелочной фосфатазы в сыворотке крови, печени, костях и почках. Это генетически обусловленное заболевание, имеет несколько разновидностей (типов). Раннее выпадение молочных зубов обычно бывает при ювенильном типе (II), но встречается и при третьем, взрослом типе заболевания.
Недавно было описано такое состояние, как псевдофосфатазия. При псевдофосфатазии генотип маленького пациента соответствует ювенильной гипофосфатазии, повышено содержание фосфоэтаноламина в моче, но активность щелочной фосфаты соответствует норме. Клинически данная патология проявляется как истинная ювенильная фосфатазия.
Семейная фиброзная дисплазия (херувизм).
Фиброзная дисплазия челюстей — это заболевание, не характерное для детского возраста. Херувизм относится к генетически обусловленной патологии, степень клинического проявления этого гена чрезвычайно вариабельна, при этом внешне изменение конфигурации лица может не наблюдаться, но при рентгенологическом исследовании выявляются признаки отклонений в строении нижней челюсти.
В возрасте до 3-х лет (период раннего возраста) наблюдается симметричное или ассиметричное увеличение челюстей.
На рентгеновском снимке челюстей видны четко выраженные множественные участки деструкции кости и истончение кортикальной пластинки, поэтому зубы в пораженной области часто выпадают раньше времени из-за рассасывания удерживающих его тканей, резорбции (рассасывания) корней в молочных зубах, или в молодых постоянных зубах из-за нарушения развития корней и опорно-удерживающего аппарата зуба. При этом аналогичных изменений в других костях может не быть. Такие зубы могут выпасть сами или ребенок может случайно вытащить зуб пальцами.
Пациенты с таким редким, но сложным стоматологическим статусом, должны быть поставлены на стоматологический учет как можно раньше с целью наблюдения и своевременного лечения.
Полноценная гигиена, контроль за скоростью и масштабами разрушения костной ткани позволят врачам своевременно провести поэтапное лечение, заключающееся в своевременной реплантации, шинировании, последующем ортодонтическом и ортопедическом лечении. В зависимости от тяжести течения заболевания, в ряде случаев требуется подсадка костной ткани. При адекватном лечении удается сформировать практически полноценные зубные ряды.
Родителям на заметку: если Вам кажется, что у Вашего ребенка слишком рано начали меняться (выпадать) зубы, запишитесь на консультацию к нашему детскому стоматологу, тем более, что консультация у нас бесплатная. В любом случае, Вы не пожалеете о потраченном времени, зубной доктор расскажет Вам много полезного о новом этапе развития зубочелюстной системы Вашего малыша, ведь с выпадением первого зуба начинается период сменного прикуса.
Подготавливаем ребенка к процедуре
Самым сложным при удалении молочного зуба является подготовка ребенка к процедуре. Если все анализы хорошие, у ребенка нет аллергий на препараты, которые возможно будут использоваться, то все, что требуется – помочь малышу справиться со страхом. Сама по себе процедура безболезненна, однако, может принести ребенку некоторый дискомфорт.
Перед операцией рекомендуется:
- Настроить ребенка на позитивный лад.
- Обязательно присутствие одного из родителей при проведении процедуры.
- Ни в коем случае не нужно пугать ребенка дантистом, в сегодняшнее время аппаратура и используемые на приеме препараты современные, и сами по себе не могут напугать малыша.
- Необходимо ходить на прием к врачу как минимум дважды в год, для общей профилактической проверки зубиков. Ребенок привыкнет к осмотрам и страха перед стоматологами не будет.
- Родителям также не стоит переживать перед процедурой. Ребенок чутко чувствует волнение родителей.
- Стоит научить на своем примере. Родители могут периодически брать малыша с собой на прием к стоматологу, чтобы ребенок видел, что родители спокойны и уверены на приемах врача.
Возможно, эти советы не спасут от слез ребенка, но наверняка родителям удастся избежать множества детских истерик, настигающих у дверей стоматолога. Со временем, ребенок все равно привыкнет и будет относиться к приемам специалиста как к должному.
Выпадают молочные зубки: когда и в какой очередности?
Сроки могут варьироваться. Они зависят от индивидуальных особенностей развития. Процесс этот длительный и чаще всего безболезненный, бессимптомный. Постепенно рассасывается молочный корень, затем он начинает шататься и выпадает. На что нужно обратить внимание?
- Стоматологи рекомендуют расшатывать, качать молочные зубы в период их смены. Дети могут выполнять эту процедуру самостоятельно.
- Молочный зубик может сидеть крепко и мешать росту постоянного. Показано обратиться к стоматологу и удалить помеху. Если этого не сделать своевременно, постоянный может вырасти криво или во втором ряду.
- После лечения молочные корни рассасываются медленно. Чаще их приходится удалять.
- Если после выпадения ранка кровоточит, пусть ребенок зажмет тампон, кусочек стерильного бинта и подержит несколько минут. Желательно не есть 2 часа после выпадения или удаления зубика. Пусть ребенок воздержится от горячей, холодной, кислой, соленой пищи. Не разрешайте активно полоскать ранку! В лунке образуется пробка, которая защищает от попадания микробов.
- Случается раннее выпадение. К чему это может привести? Свободное пространство в челюсти приводит к смещению остальных молочных зубов, тогда постоянные в свое время начнут расти криво. Здесь необходима консультация детского ортодонта.
- Схема выпадения молочных зубов у детей всегда одинакова. Обычно, в какой очередности зубы режутся, в такой же последовательности и выпадают. В большинстве случаев процесс выпадения начинается с нижней челюсти.
Постоянные зубы: особенности прорезывания
Прорезывание коренных зубов у детей тоже происходит по схеме. На что нужно обратить внимание?
- Уязвимость. У ребенка постоянные зубы имеют пульпу большего размера в сравнении с взрослым. При этом твердые ткани только формируются, поэтому легко подвергаются внешним воздействиям. Особенно это касается «шестерок». Они страдают чаще всего. Элементарные меры предосторожности: исключение слишком твердой и вязкой пищи. Сюда относятся орехи, леденцы, ириски.
- Временной промежуток. Между выпадением временного зуба и ростом постоянного может пройти 4–6 месяцев. Это норма. Если прошло полгода, а в лунке не появляется постоянный, обязательно нужно обратиться к специалисту. Возможно, зубу не хватает места для прорезывания.
- Скорость роста. Быстро растут передние резцы. Гораздо медленнее — клыки. Затрудненным и длительным может быть рост премоляров и моляров. Причина — в большой площади прорезывания.
- Сроки прорезывания постоянных зубов у детей: нарушения. Сроки зависят от наследственности, особенностей развития, перенесенных инфекций. Задержка прорезывания может объясняться физиологической причиной: еще не сформировались зубные зачатки. В этом нет ничего опасного. Это индивидуальная особенность. Также возможно неправильное расположение зуба в костной ткани. Эти и другие отклонения может обнаружить врач при помощи рентгенодиагностики. К чему могут привести нарушения? К различным дефектам: расположение вне дуги зубного ряда, неправильный прикус, наклон, поворот и т.д.
- Коренные зубы у детей: температура. Иногда дети могут жаловаться на болезненность, припухлость, зуд десны, общую утомляемость. Чаще всего повышается температура, когда режутся моляры. Причина — в большой площади воспаления десны. Болевой синдром в этом случае тоже усиливается. Если температура при прорезывании коренных зубов превышает отметку 38 °C, ребенку лучше дать жаропонижающее.
Что делать, если зуб выпал?
Когда ребенок сообщает о выпавшем зубе, родителям следует:
- В случае кровотечения из лунки приложить к ране чистую марлю и прижать на несколько минут другими зубами. Обрабатывать рану антисептическими средствами нельзя.
- Не давать ребенку пищу в течение двух часов, а далее не кормить кроху некоторое время очень горячей, соленой или острой едой. Также не стоит давать малышу твердые продукты, например, сухарики или орешки. Лучшими блюдами в этом случае будут супы и каши, а после еды рот следует полоскать чистой водой.
- Предупредить ребенка, что образовавшуюся ямку не нужно трогать руками или языком, чтобы в нее не попала инфекция.
- Сам зуб можно «отдать мышке», положить под подушку для «феи», обменять на какой-то подарок или придумать что-то другое. Главное, чтобы ребенок не испугался и не испытывал отрицательных эмоций.
Какие факторы влияют на процесс выпадения?
При нарушении сроков выпадения сразу же паниковать не нужно, поскольку этот процесс зависит от множества факторов. Врачи считают допустимым отклонение от средних сроков на 1-2 года. На потерю молочных зубов и прорезывание постоянных влияет:
- Генетическая предрасположенность.
- Пол ребенка. Отмечено, что у мальчиков зубы выпадают позже.
- Проблемы при беременности.
- Длительность грудного вскармливания.
- Рацион питания малыша.
- Хронические болезни у крохи.
- Качество питьевой воды, употребляемой ребенком.
- Климат, в котором живет малыш.
- Наличие у ребенка проблем с эндокринной системой.
- Перенесенные в детстве инфекции.
Когда начинают выпадать?
Процесс выпадения начинается с рассасывания их корней. Оно довольно длительное – корни резцов рассасываются в течение двух лет, а корни моляров и клыков могут рассасываться три года и дольше. Как только корень рассосется, зуб выпадет и даст возможность прорезаться постоянному зубу.
У большинства малышей первый выпавший зуб обнаруживают в возрасте 6-7 лет.
Когда у ребенка режется первый зуб?
Согласно утверждениям педиатров сроки прорезания зубов у каждого малыша индивидуальны. У некоторых деток они появляются в 2-3 месяца, а у других — в 9 месяцев или в год. Как ни странно — это явление считается нормой. Главное, чтобы по достижению трехлетнего возраста у вашей дочурки или сыночка уже было 20 молочных зубов в ротовой полости.
Каждая мама должна подготовиться и морально, и физически к такому ответственному делу.
- Вам придется терпеливо относиться к капризам дитя. Окружите ваше чадо лаской, заботой, любовью.
- Делайте ежедневную уборку, игрушки должны быть чистыми, также соблюдайте гигиену свою и ребенка. Ведь малыши в такой период часто тянут все в рот, ваша задача не допустить, чтоб ребенок не подхватил кишечную инфекцию.
- Чтобы облегчить прорезание можно купить специальные прорезыватели (массажеры для десен). Они оказывают антиболевой эффект.
- Хорошо обезболивают десна специальные гели. Только не надо думать, что они помогают прорезаться зубам. Они лишь снимают воспаление, немного обезболивают и успокаивают раздраженные десна.
- Если у ребенка повышается температура выше 38-ми, то посетите педиатра. Причиной повышенной температуры могут быть не только режущиеся зубки, а и разные заболевания.
ВАЖНО: Прежде, чем воспользоваться гелями для успокоения десен во время роста зубов, посоветуйтесь со своим педиатром, какой препарат лучше применить.
Какие они изнутри?
Постоянные коренные зубы делятся на малые (премоляры) и большие (моляры). У взрослого человека 8 малых коренных зубов, расположенных по 4 сверху и снизу. Их главная функция заключается в раздавливании и дроблении еды.
Они появляются на месте выпавших молочных коренных зубов. Премоляры объединяют в себе особенности больших коренных зубов и клыков.
Они имеют форму прямоугольника, на жевательной поверхности присутствуют 2 бугра разделенные фиссурой. Малые коренные зубы верхней челюсти схожи формой, но первый премоляр чуть больше второго и имеет 2 корня, тогда как у второго корень только один.
Нижние премоляры округлой формы, у каждого из них 1 корень. Отличаются они между собой размерами: первый премоляр чуть меньше.
Большие коренные зубы растут за вторыми премолярами. Их всего 12, по 6 штук на обеих челюстях. Самые большие «шестерки». Верхние первые и вторые моляры имеют по 3 корня, у нижних «шестерок» и «семерок» по 2 корня.










