Только врач знает, что надо делать, когда появляются трещины на эмали зубов. Поэтому при возникновении первых признаков раскола зубной поверхности следует обратиться к дантисту. Чаще всего такая патология связана с внутренними проблемами в организме, поэтому ее невозможно устранить лечебной зубной пастой и полосканиями: требуется серьезная терапия.
Что может послужить причиной возникновения трещин на зубах
Раскол эмали могут спровоцировать следующие факторы:
- Бруксизм (скрип зубами) – одна из причин возникновения трещин на эмали. недостаток витаминов и минералов – дефицит фтора, кальция и др. микроэлементов истончают защитный слой, поэтому он становится уязвимым перед механическим и химическим воздействием;
- механическое повреждение – трещина образуется в результате удара или травмы;
- температурный перепад – одновременное употребление горячей и холодной пищи является одним из основных провокаторов;
- бруксизм – скрежет зубов негативно отражается на состоянии эмали, она постепенно разрушается;
- высокоабразивные пасты – крупные частички средств, предназначенных для гигиенических и отбеливающих процедур, при регулярном использовании истончают эмаль, зуб практически лишается защитного слоя;
- врачебные ошибки – при выполнении манипуляций по лечению зуба врач может повредить эмаль инструментами, повреждённый резец постепенно разрушается из-за увеличивающейся трещины;
- употребление пищи, содержащей большое количество кислот – кислота разрушает защитный слой, что можно заметить по повышенной резко чувствительности.
Почему на эмали могут появиться трещины
Почему может треснуть зуб? Такая неприятность иногда происходит, и потенциальных причин тому довольно много. Вот несколько самых частых факторов, которые приводят к расколу коронки:
- острая нехватка витаминов и полезных микроэлементов – чаще всего такое явление становится следствием скудного рациона питания, соблюдения строгой диеты или определенных сбоев в процессе усваивания пищи,
- слишком частое потребление сладостей с высоким содержанием сахара,
- повреждение во время употребления семечек, орехов и других твердых продуктов, которые зачастую приходится грызть,
- резкие температурные перепады – зуб может дать трещину, если сначала съесть что-то очень холодное, а затем горячее. Систематическое воздействие таких резких перепадов температуры приводит к ослаблению защитных функций эмали,
- бруксизм – сильное непроизвольное сжатие челюстей во время сна.
Частое возникновение трещин может возникнуть в следствии травмы Среди прочих возможных причин проблемы эксперты в области стоматологии выделяют травмы и длительный прием мощных медикаментозных препаратов. Также рассматриваемый симптом нередко становится следствием врачебных ошибок, допущенных во время проведения стоматологического лечения.
Чем они опасны
Трещины на зубах диагностируются довольно часто. После проявления симптомов или выявления повреждения необходимо как можно быстрее записаться на приём к врачу.
Потерянное время усугубляет проблему, делает лечение продолжительным и более затратным, а иногда приводит к утрате зуба.
Ощущения при наличии трещины
Большинство людей не подозревают о наличии у них таких дефектов, поскольку их проявление не сопровождается болью и не вызывает дискомфорта. Это заболевание не имеет признаков до определенного времени.
Постепенно расколы углубляются, и у пациента наблюдаются следующие симптомы:
- сильная боль во время пережевывания пищи или смыкания челюстей;
- болевые ощущения блуждающего характера, источник которых определить очень сложно;
- дискомфорт после употребления горячей или холодной пищи, а также при попадании холодного воздуха;
- повышенная чувствительность при смене температуры;
- окрашивание эмали.
Виды
В стоматологии трещины различают по видам, каждый из которых опасен по-своему. Однако отсутствие лечения и поздняя диагностика существенно снижают шансы на спасение зуба вне зависимости от характера расположения щели на эмали.
| Классификация трещин на зубах | |
| Название | Описание |
| Вертикальные | Данный вид характеризуется обширным поражением зуба и корневой части. Если трещина проходит по всей длине зуба, о восстановлении структуры и реставрации не может быть речи, принимается решение об удалении резца. |
| Горизонтальные | Если своевременно не принять меры, на зубе образуется скол. Чем ближе к десне проходит щель, тем больше вероятности откалывания части резца. |
| Наклонные | Трещина проходит по диагонали защитного слоя зуба. Игнорирование проблемы создаёт благоприятные условия для развития патологий. |
| Внутренние | Обнаружить такие трещины очень сложно, поэтому при диагностике дают направление на рентген. Но зачастую к стоматологу пациент попадает лишь после перелома зуба, который спровоцировала невыявленная трещина. |
| Трещина корня | Трещина может проходить только через корень или затрагивать зуб в любой форме. Обширная зона поражения указывает на необходимость удаления моляра. |
| Трещина у основания | Данный вид часто причиняет дополнительные проблемы, так как повреждается дентин. Обнаружить трещину можно по такому симптому, как воспалительный процесс мягких тканей вокруг зуба. При ранней диагностике щель у основания устраняется, это даёт возможность спасти зуб. |
Все виды трещин условно разделены на типы:
- поверхностные;
- глубокие;
- множественные.
Классификация повреждений и клиническая картина
Стоматологи классифицируют повреждения по таким показателям:
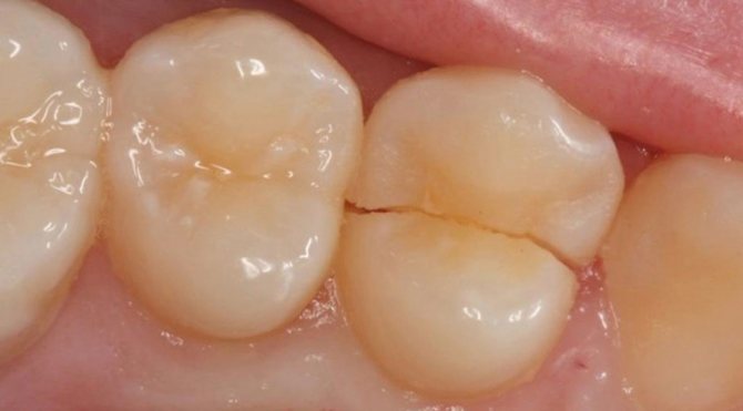
Горизонтальные. Считаются самыми безопасными, они не вызывают воспалительных процессов в пульпе. Результатом такого процесса может быть скол фрагментов.
Восстановление достаточно сложное и требует высокой квалификации от специалиста. При больших размерах горизонтальных трещин в большинстве случае проводится удаление с последующей процедурой протезирования.
Вертикальные. Могут быть различной глубины, в результате сильного давления на зубной нерв очень часто у пациентов развивается пульпит (воспалительный процесс в пульпе).
На начальных стадиях такой вид раскола вызывает кариес, который со временем поражает весь зуб и доходит до его корня.
Диагональные встречаются редко. Для них характерен раскол по диагонали. Данная проблема требует профессионального медицинского лечения. Внутренние. Их очень тяжело диагностировать, они развиваются медленно и приносят сильный вред. Очень часто такие трещины влекут за собой перелом зубного корня. Определить их можно только при помощи рентгеновского снимка. Корневые трещины. Развиваются на фоне осложнения одной из вышеперечисленного вида раскола. Вылечить такую проблему практически невозможно, зуб подлежит полному удалению.
Также различают поверхностные и глубинные типы повреждений. Первые не несут особой опасности и не влияют на структуру зуба. Во втором случае происходит разрушение внешних и внутренних тканей.
Симптомы
На наличие трещины на зубах указывают следующие признаки:
- болевые ощущения во рту без определённой локализации;
- обострённая чувствительность зубов при употреблении холодных или горячих блюд;
- процесс измельчения пищи сопровождается болью.
При отсутствии своевременного лечения проблема дополняется следующей симптоматикой:
- воспаление десны или мягких тканей возле повреждённого зуба;
- характерный запах из полости рта;
- изменение цвета эмали;
- кровоточивость при нажиме или во время проведения гигиенических процедур.
Характерные симптомы
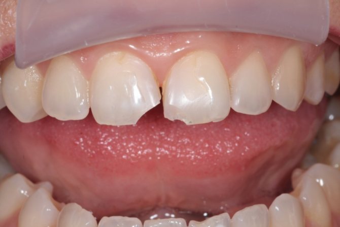
Особенно данной проблеме подвержены передние зубы, главным образом за счет того, что они более тонкие и хрупкие, чем их боковые «соседи». Если же на эмали появляется трещина, и уж тем более если коронка раскалывается пополам, попутно возникают сопутствующие симптомы:
- зуб сильно болит, причем неприятные ощущения могут проявляться и в других частях лица,
- появляется повышенная чувствительность к температурным и химическим раздражителям – развивается гиперестезия,
- ощущается определенный дискомфорт при смыкании челюстей, а также в процессе пережевывания пищи,
- коронка может шататься, если повреждение повлекло за собой нарушение зубодесневых связей.
Зубы становятся чувствительными Порой в подобной ситуации очень быстро развиваются осложнения воспалительного характера. В таком случае появляются и другие признаки проблемы, например, дурной запах из рта, острая болезненность, отек и покраснение слизистой.
Диагностика
Множественные трещины диагностируются в процессе осмотра без использования инструментария, глубокие определяются под воздействием света, но после обязательного просушивания поверхности зуба ватным шариком. А выявить поверхностные повреждения можно только при помощи лупы (бинокулярной, монокулярной) либо методом трансиллюминации (проводится в затемнённом помещении с применением световода).
Диагностирование трещины корня зуба является сложным процессом, требующим большого опыта и знаний. Ошибочный диагноз приводит к утрате здорового зуба.
Трудность с постановкой диагноза связана с отсутствием характерных признаков, указывающих на наличие вертикальной трещины корня зуба. Врачу приходится полагаться лишь на жалобы пациента, рентгеновский снимок и проявления симптомов, возникающих при осмотре и эндодонтическом лечении.
Стоит отметить, что даже рентген не отражает весь характер и локальность трещины, что связано с их расположением в мезио-дистальном направлении, которое не попадает в зону свечения рентгеновских лучей.
Для постановки точного диагноза специалисты проводят тщательное комбинированное обследование. Данный процесс включает следующие мероприятия:
- обследование под микроскопом;
- просвечивание;
- окрашивание;
- диагностическую операцию.
Суть диагностической операции заключается в отслаивании части дентина, окружающего зуб, и удалении грануляционной ткани для последующего окрашивания повреждённой поверхности метиленовой синью. Это визуализирует параметры трещины и позволяет не ошибиться с диагнозом. Иногда требуется проведение резекции корня с целью последующего окрашивания.
Профилактические мероприятия
Для профилактики появления трещин и щелей на зубах рекомендуется:
- регулярно чистить зубы;
- пользоваться ополаскивателем и бальзамом для полости рта;
- выбрать щетку средней жесткости;
- использовать зубные пасты с фтором и кальцием;
- качественно питаться;
- избегать перепадов температур во время приема пищи.
Нужно периодически осматривать зубы и следить за собственными ощущениями. Внезапно эмаль не трескается, всегда есть какая-то застарелая причина подобного явления.
Если зуб все же лопнул, нужно идти к стоматологу. Другой возможности сохранить моляр, резец или клык при наличии глубоких расколов не существует. Никакие народные средства не удалят трещины и не восстановят эмаль.
Что делать, лечится ли это
При обнаружении трещины на зубе следует записаться на приём к стоматологу, ведь есть такие повреждения, которые нуждаются в срочном лечении. Хуже обстоят дела с такими дефектами, которые не видны при обычном дневном свете. Тогда пациент обращается к врачу после проявления осложнений.
Многие трещины лечатся, главное своевременно начать лечебные и восстановительные процедуры. Метод лечения напрямую зависит от вида повреждения, а также времени, прошедшего с момента образования дефекта.
Опасными считаются расколы, проходящие через всю толщину зубной эмали. При этом наблюдается поражение основания, а иногда и корня.
Первая помощь
При появлении неприятных симптомов лучше всего сразу обращаться за помощью к стоматологу, своевременное лечение позволит снизить риск развития осложнений в будущем.
Если такая возможность отсутствует, то важно правильно оказать первую помощь. Данные мероприятия включают в себя:
- прополоскать ротовую полость антисептическими растворами (Хлоргекседин, Фурацилин и т.д.);
- при сильных болях можно принять местные анальгетики (Нурофен, Ибупрофен и т.д.);
- ограничить любой контакт треснувшего элемента с пищевыми продуктами или языком, в противном случае это может привести к отколу эмали;
- ограничить перепады температур.
Стоит отметить, что такие меры не помогут избавиться от проблемы, а только снимут неприятные симптомы. Самолечение может привести к развитию серьезных осложнений.
Лечение
Если зубы трескаются, подобрать наиболее подходящую методику лечения сможет только врач на основании полученных результатов исследований и осмотра полости рта. В стоматологии для устранения трещин используются следующие способы.
- Виниры – устанавливаются при неглубоких, но многочисленных трещинах, когда меняется цвет эмали.Предварительно производится лечение кариеса и других стоматологических проблем. Суть метода заключается в фиксации на поверхность зуба тонкой накладки. Данный вид лечения применяется преимущественно при повреждении передних резцов.
- Реставрация – применяется при образовании трещины на жевательной поверхности зуба. Под воздействием постоянных нагрузок данный фрагмент зачастую откалывается со временем, поэтому врач предлагает удалить его и восстановить недостающий кусочек с помощью накладки композитных материалов.
- Реминерализация – метод подходит при повышенной чувствительности зубов, болезненно реагирующих на горячую и холодную пищу. Суть процедуры заключается в нанесении на поверхность эмали специальных составов, содержащих в больших количествах фтор и кальций. После проведённого курса эмаль становится ровной и гладкой, а главное снижается её чувствительность благодаря восстановлению структуры.
- Коронки – при расположении трещины вдоль всего зуба рекомендуется комплексное лечение. Вначале выполняют комплексную диагностику для выявления всех проблем, которые могли возникнуть в результате образования трещины. Устраняются воспаление, кариес и другие стоматологические проблемы. После этого делают слепок для изготовления индивидуальной коронки. Установку производят на цемент или мостовидную конструкцию.
- Удаление пульпы – большие трещины, проходящие практически по всей поверхности зуба, и затрагивающие пульпу, требуют комплексного лечения. Если пульпа не повреждена, то проводят частичное удаление тканей. При частичном поражении извлекаются лишь поражённые участки нерва. В сложных случаях, когда воспалительный процесс распространился на мягкие ткани, а пульпа была сильно повреждена, правильным решением считается удаление пульпы. Для этого используют один из более подходящих способов: закладка препарата, замораживание с последующим вскрытием зуба и удалением нерва.
- Удаление зуба – метод применяется при сильном расколе зуба, образовании трещины на корнях и обширном воспалительном процессе. Операция выполняется с помощью специального инструмента под местной анестезией.
Как проводится диагностика
Перед тем, как лечить травму, необходимо оценить глубину и масштаб повреждения, а сделать это сможет лишь специалист. Наряду с проведением визуального осмотра полости рта врач соберет анамнеза, а также расспросит пациента о сопутствующих жалобах и возможных предпосылках появления проблемы. В обязательном порядке проводится рентгенография, которая позволит определить, насколько глубока трещина и как сильно поврежден зуб, задет ли корень. Все это необходимо для разработки эффективной тактики лечения и принятия решения по поводу того, можно ли вылечить травму.
Особенности лечения трещин на передних/на жевательных зубах
Трещина жевательного зуба Если трещина образовалась на эмали передних резцов, то более подходящим методом лечения считается установка виниров. Но предварительно проводится ряд мероприятий, направленных на восстановление и укрепление структуры.
Повреждённую поверхность обрабатывают специальными минеральными составами, содержащими необходимые минералы. После этого при необходимости пустоты заполняются полимерным материалом.
На завершающем этапе выполняют фиксацию тончайших пластин. Их цвет подбирается под естественный тон зубного ряда, чтоб избежать акцента на вставки.
При лечении жевательных зубов чаще используют метод наращивания полимерным материалом или производят установку коронки. При этом полностью сохраняется функциональность моляра.
Причины
Повреждение зубной эмали — это стоматологическая патология, которая развивается при воздействии ряда факторов.
Разрушение эмали может быть вызвано следующими причинами:
- глубокий кариес, приводящий к образованию дефектов эмали;
- оголение зубной шейки при пародонтозе;
- травмы в результате удара;
- длительное лечение некоторыми медикаментозными средствами;
- перепад температуры при употреблении пищи или напитков;
- чистка зубов с использованием зубной пасты с абразивными частицами;
- воздействие средств для отбеливания;
- повреждение эмали при стоматологических манипуляциях;
- бруксизм;
- нехватка в организме витаминов и минеральных веществ;
- курение;
- привычка грызть твердые предметы.
Цены
Стоимость лечения трещины зависит от сложности повреждения и выбранных методик. При комплексном подходе потребуется вылечить кариес (около 2000 рублей), провести реминерализацию (около 3000 рублей), реставрировать зуб коронкой (в среднем 6000 рублей) или пломбировочным материалом (2000 рублей).
Ценообразование трещины включает также дополнительные расходы:
- рентгеновский снимок – 300-800 рублей;
- обезболивание – около 500 рублей;
- лечение пульпита – от 3000 рублей.
За сложное удаление зуба с распилом придётся заплатить от 4000 рублей.
Цена лечения
Каждая процедура лечения имеет свои особенности и отличается по цене:
| Название процедуры | Средняя цена, рубли |
| Пломбирование | 5000 |
| Фторирование | 2500-3000 |
| Реминерализация | Одно посещение — 1000 |
| Установка виниров | От 12000 |
| Наращивание эмали | От 5000 |
Данная стоимость не включает дополнительные услуги и первичный осмотр стоматолога. При проведении некоторых процедур требуется эндодонтичское лечение корневого канала, кариеса или устранение других стоматологических проблем.
Для реставрации фрагментов с глубокими повреждениями часто применяют местную анестезию.
Подсказать точную стоимость может врач конкретной клиники.
В видео представлен один из способов восстановления зуба при появлении трещины.
Трещины на зубах у детей
Если ребёнок испытывает болевой синдром, стоит дать ему обезболивающий препарат. Также не будет лишним объяснить малышу, что трогать зуб руками либо языком нельзя. При приёме пищи стараться не нагружать резец пережёвыванием продуктов.
Как быть, если на эмали появилась трещина или зуб совсем раскололся
Эмаль зубов – твердая ткань, которая прекрасно справляется с постоянными механическими нагрузками. Однако бывают случаи, когда какое-либо воздействие извне нарушает целостность защитной оболочки, и тогда на ней возникает трещина. Повреждение не всегда бывает заметно невооруженному глазу. Если у вас треснул и уж тем более раскололся зуб, следует как можно скорее показаться стоматологу. Даже если дефект не просматривается, важно вовремя оказать необходимую медицинскую помощь, дабы предупредить развитие осложнений. Сегодня поговорим о том, что делать, если треснула стенка зуба, от чего это могло произойти и можно ли сохранить зуб при таких обстоятельствах.
Возможные осложнения
Трещины на эмали со временем приводят к разрушению зубов. Образование трещины на зубах доставляет не только эстетическую проблему. При отсутствии лечения могут развиться ряд осложнений. Среди распространённых:
- травма и воспаление мягких тканей;
- кариес (в расщелину проникают микроорганизмы и частицы пищи, создавая благоприятную среду для развития болезни);
- пульпит (провоцирующим фактором становится свободный доступ в корневые каналы инфекции);
- потеря зуба (при сильном повреждении зуба или в результате запущенности болезни).
Лечение горизонтальных и вертикальных трещин на эмали зубов
Тактика лечения зуба зависит от размера и расположения трещины на эмали:
- Трещины и бугры на эмали чаще всего возникают из-за наличия старых пломб. В этом случае пломбы снимают, бугры спиливают, трещины шлифуют, а поврежденную коронковую часть зуба восстанавливают пломбировочными материалами.
- При наличии трещин и сколов на передних зубах пломбу лучше делать из светоотверждаемых материалов, так как они быстрее застывают, отличаются повышенной прочностью и наиболее эстетичны.
- Поперечные трещины чаще всего возникают на нижних молярах и премолярах. Обычно они наносят серьезный урон зубу, поэтому для его восстановления используют коронки.
- Полностью расколотые зубы нужно удалить, поскольку они являются источником инфекции и могут привести к инфицированию мягких тканей ротовой полости или к появлению кариеса на зубах в других частях челюсти.
- Если зуб треснул вертикально, нужно делать эндопротезирование. Иногда такая тактика лечения не приносит желаемого результата и даже ухудшает состояние костной ткани. При вертикальной трещине на корне зуб однозначно нужно удалить.
Почему требуется удаление зуба, если он сильно потрескался
Если по медицинским показаниям требуется удалить зуб, то лучше не пытаться сохранить его. Через определенное время такую зубную единицу все равно придется удалять, но в ходе восстановительных процедур пострадает много костной ткани, что сделает проблемным возможную имплантацию и даже протезирование.
Удалить сильно потрескавшийся зуб нужно еще по одной причине – наличие в ротовой полости воспалительного процесса негативным образом скажется на состоянии остальных зубов.
Что делать, если потрескался молочный зубик
Молочные зубки тоже могут треснуть. Причем такое явление довольно распространено, поскольку дети часто тянут в рот игрушки и посторонние твердые предметы.
Если зуб треснул горизонтально, его лучше удалить. В противном случае его можно отшлифовать и оградить от участия в жевательном процессе. То, что молочный зубик раскололся, еще не означает, что постоянный зуб будет иметь такой же дефект.
Что делать, если возникла микротрещина на эмали переднего зуба
Если эмаль слегка треснула на переднем зубе, нужно срочно идти к стоматологу. Ошибочно мнение, что микротрещины на зубах не требуют специального лечения. Если оставить этот дефект без внимания, можно столкнуться с необходимостью удаления зубной единицы. Поэтому маленькие трещинки следует лечить.
Схема лечения микротрещин:
- Постепенно снимаются микроскопические слои эмали, что позволяет убрать все трещинки.
- Дефектный участок полируется и шлифуется с использованием специальных устройств и материалов.
- Проблемное место покрывается фторлаком.
Обработка зуба фторлаком поможет избавиться от трещин только при отсутствии каких-либо заболеваний в ротовой полости. В противном случае инфекция может попасть внутрь зуба, из-за чего он может полностью растрескаться. Сперва нужно лечить кариес, а только потом трещины и разломы на эмали.
Что делать в домашних условиях, если на зубе появилась трещина
Если на зубе появилась трещина, нужно обработать ротовую полость любым антисептиком, чтобы предотвратить развитие воспаления. Если зуб сильно болит, можно принять анестезирующий препарат.
При наличии трещин на эмали лучше воздержаться от употребления пищи или хотя бы не жевать на больной стороне. При глубоком переломе или вертикальной трещине на переднем резце следует воздержаться от чистки зубов до приема у стоматолога.
Ни в коем случае нельзя пытаться самостоятельно восстановить целостность зуба или вправить его на место. Попытки вылечить моляр, резец или клык своими силами приведут к удалению не только пострадавшего, но и соседних зубов. Только дантист знает, как лечить трещины на зубах. Если появилась проблема, нужно обращаться за квалифицированной медицинской помощью в клинику стоматологии.
Профилактика
Применение ирригатора Предупредить повреждение эмали можно правильным уходом за полостью рта и исключением механического воздействия на зубы. Среди основных рекомендаций специалистов:
- помимо пресловутой зубной щётки и качественной пасты нужно использовать для очистки полости рта зубную нить, ирригатор, это сделает гигиеническую процедуру более эффективной;
- 1-2 раза в неделю следует производить чистку зубов пастой, которая содержит большое количество фтора (регулярно пользоваться такими средствами не нужно, переизбыток фтора также опасен для эмали, как его дефицит);
- при употреблении пищи стоит избегать сочетания холодных и горячих блюд (для здоровья зубов и всего организма полезней принимать тёплую еду);
- рацион питания должен в большей степени состоять из свежих овощей, фруктов, зелени, кальцийсодержащих продуктов, сладости стоит ограничить к употреблению, как и газировку;
- курение оказывает негативное влияние на зубную эмаль, нужно отучаться от пагубной привычки.
Нормой жизни любого человека, который следит за своим здоровьем, должно стать обязательное посещение стоматолога с целью профилактического осмотра. Делать это нужно не менее 2 раза в год.
Рекомендации о том, что можно сделать дома
Очевидно, что если зуб треснул, то ответ на вопрос о том, можно ли его спасти, сможет дать лишь стоматолог после диагностики, в том числе и рентгенологического обследования. Но что можно сделать самому, чтобы минимизировать вероятность развития нежелательного сценария? Итак, в качестве экстренной помощи эксперты в области стоматологии рекомендуют следующие мероприятия:
- сразу же хорошенько прополоскать полость рта, желательно с использованием легкого антисептического раствора,
- если возникла болезненность, можно выпить таблетку болеутоляющего – этим советом стоит воспользоваться в том случае, если в ближайшие несколько часов вы не сможете посетить специалиста,
- постараться оградить причинный зуб от механических воздействий и других раздражителей, не жевать и не прикасаться к коронке языком,
- не употреблять холодные и горячие напитки – можно выпить немного воды комнатной температуры и как можно скорее показаться врачу.
Болеутоляющие помогут устранить боль Помните: применение любых лекарственных препаратов и рецептов народной медицины должно быть в обязательном порядке согласовано с врачом. В противном случае вы рискуете усугубить ситуацию и в итоге остаться без зуба.
Трещины при ношении брекетов/после них
Чтобы предотвратить повреждение эмали при ношении брекетов, следует придерживаться простых правил:
- для более тщательной очистки полости рта использовать ирригатор;
- не пропускать ежедневные гигиенические процедуры;
- для чистки приобрести специальную брекет-щётку;
- проводить в домашних условиях энзимные полоскания.
При обнаружении трещины в пломбе необходимо обратиться к врачу для переустановки пломбировочного материала и лечения кариеса, если возникает такая необходимость. Некоторые неопытные врачи предлагают выполнить шлифовку поверхности с целью устранения дискомфорта во рту. Такой вариант должен исключаться, так как под разрушающейся вставкой может развиваться кариес. Да и оставлять незащищённым проход к корневым каналам считается непрофессиональным решением.
Аналогичные действия проводятся в случае выявления трещины в коронке или под ней. Процесс лечения предусматривает снятие протеза и диагностирование проблемы. Методика подбирается в зависимости от характера трещины и её локализации.
Какие есть варианты решения проблемы
Можно ли восстановить зуб, зависит от того, насколько глубока трещина, коснулось ли повреждение пульпы и корневой системы. Выбрать корректный вектор лечения врач сможет только после визуального осмотра дефекта и изучения рентген-снимка. Стоит заметить, что далеко не во всех случаях полоска на коронке приводит к ее расколу и необходимости удаления. Однако при появлении подозрительных изменений на эмали нужно в срочном порядке навестить стоматолога. А теперь рассмотрим основные варианты решения проблемы.
Восстановление эмалевого слоя
Здесь речь идет о процедурах реминерализации и фторирования эмалевого слоя. В первом случае зубные ткани обрабатывают специальными средствами с высоким содержанием фтора, кальция и прочих важных микроэлементов и минералов. Данный терапевтический метод обеспечивает укрепление эмали и предупреждает дальнейший раскол. Фторирование проводится в несколько посещений, отличается более долгоиграющим эффектом в сравнении с предыдущей методикой.
Реставрация пломбировочными материалами
Восстановление формы коронки посредством пломбировочных материалов чаще проводят в отношении моляров. С помощью данной процедуры удается замаскировать небольшие трещины и сколы, а также восстановить цвет эмали. Перед тем, как ставить пломбу, стоматолог осуществляет очистку корневого канала. Как правило, за одно посещение удается скрыть все незначительные повреждения.
Перекрытие винирами и люминирами
Реставрация винирами и люминирами предполагает фиксацию на внешней стороне зуба тончайшей керамической пластинки. Данный метод позволяет обеспечить высокие эстетические показатели, сделать зубы ровными и белыми. Однако для установки таких пластин, в частности виниров, требуется предварительная обточка коронок. Еще одним весомым недостатком метода является его дороговизна.
Процедура наращивания
Наращивание проводят с помощью особой композитной смолы, цвет которой подбирают, исходя из натурального оттенка эмали. Такой подход позволяет добиваться высокого уровня эстетики. Важным достоинством метода является его доступная стоимость, а также отсутствие необходимости несколько раз посещать кабинет стоматолога.
«У меня так нижняя шестерка как-то раскололась. Случайно во время еды зубом попала на твердую кость и все! Сразу после случившегося появилась резкая боль, поэтому я пулей помчалась к стоматологу. Врач убрал шатающийся кусочек и нарастил недостающий фрагмент. Слава богу, что не пришлось ставить коронку. И в моем случае все очень хорошо закончилось, но вообще ситуация, скажу я вам, не из приятных точно».
Среди минусов выделяют относительную прочность материала. Никакой предварительной подготовки перед процедурой не требуется, однако после нее лучше на некоторое время воздержаться от употребления продуктов с интенсивными красящими пигментами.
Лечение корневой системы и протезирование
При наличии достаточно глубоких трещин может потребоваться лечение корневой системы и последующее протезирование. Сначала врач осуществляет необходимую обработку корневого канала, после чего фиксирует коронку или мостовидный протез. Также важно понимать, что ни один из методов восстановления не гарантирует пожизненный результат. В таком деле важно вовремя отреагировать на проблему и в последующем обеспечить должный уровень гигиены полости рта.
Как диагностируется
Зачастую диагностирование трещин достаточно сложное, потому что они не всегда видны на поверхности. В этих случаях стоматолог должен расспросить о симптомах у пациента, узнать его жалобы, ощущения. После этого врач может предположить наличие трещины. Но для того чтобы поставить точный диагноз для начала делается рентгенографический снимок. Затем при помощи полученного снимка делается зондирование, при помощи которого специалист ищет место расположения повреждения. Обычно поврежденный зуб при давлении на него отвечают болевыми ощущениями. Поэтому для обследования врач применяет инструмент, который похож на зубную щетку, но только без ворса. Этот прибор прикусывается больным разными зубами, обычно при надкусывании больного зуба проявляются яркие болевые ощущения.
Рентгенографический снимок – позволит оценить насколько сильно травмирован зуб, определить необходимое лечение для сохранения зуба, а также проконтролировать правильность выполненных процедур.
Дополнительно используются специальные красящие вещества. Этими веществами покрывается эмаль зуба, если на поверхности единицы имеется трещина, то этот участок окрашивается. Еще один современный и более очный метод обследования является микроскопический осмотр. Во время него проводится осмотр под микроскопом, при котором можно с максимальной точностью выявить наличие перелома и его место нахождения.
Цена восстановления
Цена восстановительных процедур варьируется в зависимости от того:
- насколько своевременно выявлено повреждение;
- какой способ терапии используется;
- каков уровень клиники, где производится восстановление.
Средняя цена на некоторые виды процедур составляет:
- Реминерализующие мероприятия – от 900 руб. за одно посещение специалиста;
- Установка винирных пластин – от 25-40 тысяч руб.;
- Использование коронок. Важно, из чего изготовлены. Стоимость начинается от 3 тысяч руб.;
- Удаление – от 1-3 тысяч руб. на стоимость влияет конкретные особенности проводимой процедуры.
Причины разрушения зубов
Микроскопическую трещину на зубной эмали можно заметить не сразу. Поверхностные нарушения целостности оболочки не сопровождаются болевыми симптомами, однако обнаруживаются при внимательном визуальном осмотре. Со временем трещины увеличиваются и углубляются, способствуют развитию кариеса и разрушению зубов.
Рассмотрим факторы, ведущие к нарушению целостности эмали:
- Неправильная гигиена. Подвергшись влиянию рекламы, люди приобретают и активно используют лечебные препараты для полости рта, без консультации стоматолога. Делать этого нельзя. Чрезмерное увлечение отбеливающими пастами вредит эмали и приводит к деминерализации зубов. Неуместное применение фтористых средств, может вызвать разрушение эмали – флюороз;
- Кариес. Заболевание начинается с нарушения минерального баланса в эмалевом слое. При патологии постепенно поражаются защитные твердые ткани, и возникает воспаление пульпы. На начальном этапе кариеса на твердой оболочке появляются шероховатости, микроскопические трещины. Позднее повреждение пигментируется, в патологический процесс вовлекаются глубжележащие ткани;
- Неправильное стоматологическое лечение. При глубоком кариесе, происходит массивное разрушение твердых тканей. Чтобы восстановить целостность резца, клыка или моляра, в корень устанавливают ортопедическую вкладку или штифт, пломбу сверху покрывают защитной коронкой. Если реставрация проводится только композитным материалом, зуб становится хрупким и теряет свою функциональность. Во время жевания массивная пломба давит на природные сохраненные ткани, появляется трещина, происходит откол зуба;
- Погрешности в питании – увлечение кислыми и сладкими продуктами;
- Травма зуба. Нарушение эмали возникает в результате физического воздействия на твердые ткани. Незначительные повреждения выявляют при систематическом употреблении сухариков и чипсов, раскалывании орехов и кубиков льда. Массивные нарушения зубов, возникают в результате несчастных случаев (ДТП, падений с высоты);
- Перепады температур – основная причина появления микроскопических линейных повреждений. Необходимо помнить, холодные напитки не сочетаются с горячими блюдами, их одновременное систематическое употребление приводит к возникновению трещин на эмали и заболеваниям ЖКТ;
- Бруксизм – непроизвольный спазм и передвижение челюстями.
Патологические изменения на твердой зубной оболочке обнаруживаются при дисплазии эмали, флюорозе, клиновидном дефекте.
Методы лечения
Если возникли трещины на зубной эмали, человек должен немедленно обратиться к врачу. Лекарственная терапия зависит от степени поражения зуба и причины такого явления. Лечение не требуется в случае вертикальной трещины, которая не сопровождается гиперчувствительностью.
Восстановить эмаль необходимо, если зуб реагирует на перепады температуры употребляемых продуктов. Для этого стоматолог использует специальные средства, которые содержат кальций, фтор, разные вспомогательные вещества. Такая обработка поможет снизить чувствительность зуба и укрепить его эмаль.
Если передний зуб получил такой дефект, то в таком случае стоматолог чаще всего рекомендует поставить виниры. Такие пластинки являются прочными и совершенно незаметными. Если на передних зубах трещины повредили всю эмаль, то виниры можно установить, если нет кариеса и других заболеваний.
Сильные повреждения требуют удаления зуба. В другом случае кусочек может отломаться и повредить слизистые оболочки или попасть в пищеварительный тракт. При повреждении пульпы требуется длительное лечение. Важно сохранить зуб и защитить коронку.
Трещина в корне зуба требует незамедлительного лечения. Повреждения корня требует реставрации.
Осложнения без лечения или после
Лечить трещины нужно практически всегда, при отсутствии болевого синдрома за поврежденным зубом следует тщательно следить. Если решить, что маленькая трещинка особой погоды не сделает, можно довести до воспаления мягких тканей и появления воспаления десен.
Также вертикальные разломы часто вызывают воспаления в пульпу и разрушают зуб. Десна опухают, становятся болезненными при пальпации. В ряде случаев стенки корня становятся подвижными, расшатываются, и зуб начинает болеть. В конечном итоге это может привести к необходимости удаления поврежденного корня и дорогостоящему протезированию.
Виды и места локализации
В стоматологической практике трещины классифицируют по следующим трем видам:
- поверхностные – расположены поперек поверхности десны. Диагностируются только на высокоточном оборудовании, с многократным увеличением;
- углубленные – это продольные поражения. Их можно заметить при хорошем освещении, если предварительно тщательно просушить, изучаемую площадь, ватным диском;
- множественные – различные по направлению локализации и притом самые глубокие. Любой стоматолог без труда выявит их, не прибегая к помощи специальных инструментов. Характеризуются низким порогом чувствительности и являются конечным продуктом формирования первых двух видов.
Все описанные типы дефектов поверхности эмали выявляют не только на органах, пораженных кариесными проявлениями, но и единицах с удаленной пульпой и интактных.
В области щек и оральных зонах поверхностные повреждения диагностируются довольно редко.
Самые глубинные — долевые борозды располагаются на резцах с вестибулярной их стороны, а также на премолярах. Менее всего от данной патологии страдают зубы мудрости – это определяется ограниченностью его деятельности и более коротким периодом функционирования.
Трещины, не являясь начальной стадией какого-либо заболевания, тем не менее, несут серьезную угрозу сохранению целостности челюстного ряда.
Именно через них во внутренние ткани органов проникают патогенные микроорганизмы, запускающие в действие механизмы, разрушающее действие которых часто носит необратимый характер.
Профилактика разрушения
Важно соблюдать простые правила, которые помогут предотвратить появление трещин или сколов на поверхности эмали зубов. Чтобы не появилась такая неприятность, не стоит использовать зубную пасту с отбеливающим действием ежедневно.
Такая зубная паста может использоваться не чаще двух раз в неделю. Также не рекомендуется самостоятельно проводить процедуры осветления, особенно теми средствами, которые могут истончать эмаль или вызывать на ней появление трещин.
Рекомендуется избегать грызения твердой пищи или предметов. Чтобы съесть морковь или яблоко, лучше порезать его на небольшие кусочки. Использовать для проведения гигиенических процедур щетку со щетиной средней жесткости. Не стоит слишком надавливать на нее во время чистки. Для предотвращения эрозии не стоит слишком часто употреблять чрезмерно кислые продукты.
К иным мерам профилактики относят:
- Употребление пищи, насыщенной витаминными и минеральными веществами. Отсутствие резких контрастов температур употребляемых продуктов.
- Тщательное соблюдение личной гигиены ротовой полости.
- После употребления сладостей или кислых продуктов рекомендуется полоскать ротовую полость с помощью специального ополаскивателя (Лесной бальзам, Листерин)
- Раз в четыре месяца обязательно менять щетку, иногда использовать пасты, насыщенные фтором и кальцием.
- Как можно реже использовать жевательные резинки. Жевать не более пяти минут.
- Отказаться от вредных привычек – грызть ногти или ручки, исключить курение или хотя бы минимизировать количество выкуриваемых сигарет.
Очень важно каждые полгода обращаться к стоматологу для проведения профилактического осмотра и своевременного лечения.
Выполняя эти инструкции можно надолго сохранить здоровую и красивую улыбку и существенно снизить материальные затраты, поскольку лечение зубов – это дорогое удовольствие.
Трещины в зубах – это не только эстетический дефект, но и патология несущая опасность здоровью человека. Если оставлять их без внимания и не обращаться к врачу, то итогом будут дискомфорт, болезненные ощущения, воспалительный процесс, а может, и потеря зуба.
Внимательное отношение к состоянию полости рта – это возможность как можно дольше сохранить здоровые крепкие зубы и не стать постоянным клиентом врача-стоматолога.
Все эти проблемы можно предотвратить, если соблюдать простые меры профилактики. Действия направлены на правильный уход за зубами, их укрепление. Что же нужно делать для того, чтобы ваши зубы не начинали трескаться?
- Зубы нужно чистить регулярно, с соблюдением всех правил. Мало использовать только щетку и пасту, вам также понадобится зубная нить и ирригатор полости рта.
- Используйте подходящую зубную щетку нужной формы и жесткости. По этому вопросу лучше проконсультироваться у стоматолога.
- Выбирайте зубные пасты с содержанием фтора и кальция.
- Включайте в рацион полезные продукты – твердые сыры, зеленый чай. Ограничивайте количество газированных напитков и сладостей, они очень разрушительно сказываются на зубках.
- Не чередуйте горячее и холодное во время одного приема пищи.
Как видите, трещины не всегда опасны, важно понимать истинные причины. Благодаря этой статье вы знаете, на какие из них следует обратить особое внимание, что делать, чтобы снизить вероятность их появления. В завершение мы предлагаем вашему вниманию видео с примером реставрации зуба виниром при образовании глубокой трещины.
Вертикальная трещина зуба мудрости
Зубы мудрости в силу определенных особенностей — длительном прорезывании, постоянном воздействию болезнетворных микробов, труднодоступном расположении, разрушаются гораздо чаще других. При возникновении трещины зубе мудрости, скорее всего, врач примет решение об удалении зуба, так как в силу труднодоступности вылечить его не представляется возможным. Кроме этого, никакой функциональности эти зубы не несут, поэтому удаление не скажется негативно на жевательных функциях.
Внимание! Трещины зубов мудрости реставрируются редко.
Классификация трещин
Классифицируют данные типы трещин:
- Возникающая по горизонтали. Проходит по зубу параллельно линии десен. Если не лечить, часть зуба может отколоться. Чем ниже она расположена, тем хуже последствия. Если треснул у основания, то может отколоться вся верхняя часть. Придется провести дорогостоящее лечение;
- Возникающая по вертикали. Расположена перпендикулярно линии десен, разделяя на несколько частей. Зуб может треснуть и ниже линии десен, что дает возможность микроорганизмам проникнуть в глубинные части зуба и привести к серьезным заболеваниям. В таком случае единственным методом устранения дефекта может стать удаление.
- Когда зуб раскалывается во всю длину, и отделившаяся часть зафиксирована непрочно, а другая часть остается надежно зафиксированной, то извлекается только сильно поврежденный фрагмент. Оставшуюся половину лечат и дополняют либо штифтом, либо пломбой;
- Диагональный раскол проходит вдоль зуба по наклонной линии. Если вовремя не принять меры, то это может привести к тому, что часть зуба отколется и придется проводить дорогую процедуру по восстановлению;
- Расположенная внутри. Ее очень трудно диагностировать, в домашних условиях это вообще невозможно. Размеры могут быть очень большими, что приводит к большим разрушениям и возможной потере всего зуба. Самым страшным являются последствия, когда трещина переходит на твердые ткани челюсти.
Стоматологами выделены следующие виды расколов зубной эмали в зависимости от их направления:
- Наклонный тип. Эмаль трескается диагонально, при отсутствии лечебных мероприятий последствием становится откол фрагмента от поврежденного зуба.
- Горизонтальный тип. Даже наличие небольшого раскола провоцирует разрушение зуба.
- Вертикальный тип. Такая трещина пролегает через весь зуб, начиная с области коронки, и заканчивается у корня. Возможны углубления внутрь десны, такой тип трещин ведет к разрушению всего зуба.
- Внутренний тип. Визуально не заметны, определяются путем рентгенологического обследования при острых болевых ощущениях.
Виды образования трещин
Возникающие по многим причинам, трещины эмалевого покрытия могут быть разных видов. В зависимости от вида, стоматолог принимает решение, в какого рода помощи нуждается пациент.
Таблица. Виды трещин и степень их опасности
| Вид | Степень опасности |
| Вертикальные | Обычно незначительные и неглубокие. Могут доставлять некоторые неудобства, но, скорее, морального характера. Физической боли, а также реакции на холод/жар не наблюдается. Дальнейшее разрушение зуба обычно после появления вертикальных трещин не следует. К стоматологу, разумеется, показаться все же нужно. Тем более что сегодня существует множество клинических методов, с помощью которых трещины можно закрыть бесследно. Если вы не хотите маскировать трещину, нужно следить за ее размерами, чтобы она не увеличивалась, а также за цветом эмали вокруг, чтобы он не потемнел. |
| Горизонтальные | Не важно, треснула эмаль на переднем резце, или жевательный зуб раскололся поперек, горизонтальные трещины опасны и требуют, сразу же после обнаружения, немедленного стоматологического вмешательства. Вероятнее всего у вас уже имеется кариозный процесс, который в дальнейшем только усугубится, трещина разрастется, повредится не только эмаль, но и тело зуба до основания. От горизонтальных трещин появляются сколы, которые можно убрать только специальными протезными накладками. |
| Косые | Независимо от глубины и ширины, косые трещины, как и горизонтальные, являются довольно опасными. Они могут означать кариозный процесс, либо стать следствием вредных привычек или плохого обращения с зубами. От косых трещин разрушения зуба происходит быстрее, причем, не только эмали, но и дентина, и пульпы. |
Важно! Если вы обнаружили на зубе трещину, немедленно запишитесь к врачу. Современная стоматология позволяет «залатать» трещину, выровняв слой эмали, но сделать это можно лишь в случае, пока она неглубокая. Если образовался скол или произошел раскол зуба, может понадобиться коронка или накладка-винир, то есть придется обращаться к протезисту.
Самостоятельная диагностика
В большинстве случаев повреждения зубной эмали легко обнаружить при визуальном осмотре. Мелкие бороздки внешне напоминают тонкие полоски, хотя на самом деле могут глубоко проникать в зубную поверхность.
Еще один способ распознать повреждение — провести кончиком языка по зубной поверхности. При этом можно легко почувствовать наклонные и вертикальные трещины.
Расколы становятся хорошо заметны после употребления красящих продуктов или напитков — кофе, ягод черники и других пигментирующих продуктов.
При их обнаружении следует немедленно посетить специалиста. Современные стоматологические средства позволяют решить проблему, выровняв поврежденную поверхность. Дефект легко лечится, пока имеет небольшую глубину.
Первые признаки патологии
Чтобы избежать потери зуба, при первом выявлении дефекта следует обращаться к стоматологу. Однако во многих случаях пациенты даже не догадываются о наличии трещины, поэтому классические методы лечения оказываются бессильными.
Легче всего определить аномалию на фронтальных зубах, надкол можно заметить во время тщательного осмотра. Трещины же на единицах боковых рядов менее заметны, выявить их можно только по следующим признакам:
- под воздействием горячей и холодной пищи в полости рта появляются болевые ощущения, зуб реагирует на холодное и горячее. После принятия такой пищи боль проходит;
- проявления боли без конкретной причины и места концентрации;
- при пережевывании пищи интенсивность боли возрастает.
Рекомендации специалистов
Если нет возможности сбалансированно питаться и отказаться от вредных привычек, то стоматологи рекомендуют приобрести в аптеке специальный комплекс минералов, в составе которого имеется витамин D. Это вещество способствует усвоению кальция. Помимо этого следует соблюдать некоторые правила:
- После каждого приема пищи необходимо проводить чистку зубов. Если нет такой возможности, то можно полоскать полость рта водой либо специальным составом.
- Для профилактики необходимо раз в 6 месяцев посещать стоматолога.
- Полоскать полость рта можно отварами лекарственных трав. Для этих целей подойдет кора дуба, ромашка и шалфей.
- Если верхний слой зубов истончен и повысилась чувствительность, то следует отказаться от паст, обладающих отбеливающим эффектом.
- Регулярно нужно проводить массаж десен при помощи щетки с мягким ворсом. Это позволяет увеличить приток крови к тканям.
- Для ежедневного использования рекомендуются укрепляющие пасты.
Общая информация
Трещина – это фрагментарный раскол эмали, вовлекающий в развитие патологических процессов ткани дентина, либо, не затрагивая его.
При этом целостное содержание зуба не нарушается – он по-прежнему функционален, твердо держится на своем месте и не склонен к расшатыванию.
В стоматологической практике такое явление трактуется как неполный перелом. Внешне проявляется как мелкие повреждения, которые диагностируются случайно, на приеме у специалиста.
Первичная симптоматика практически отсутствует, пока процесс не начинает активно прогрессировать.
Описание
Трещина в зубе встречается достаточно часто, особенно у детей. Если вы вдруг заметили, что у вас или у вашего ребенка имеется повреждение этого типа, то необходимо незамедлительно обратиться к зубному врачу для обследования и необходимого лечения. Своевременное лечение поможет предотвратить полное разрушение коронки и корневой системы.
Внимание! Если в зубе появилась трещина, то не рекомендуется на него оказывать повышенное давление, иначе трещина может уйти глубоко и привести к окончательному расколу зуба. Иногда наличие трещины не удается определить самостоятельно, потому что она может возникнуть в таких местах, которые трудно разглядеть. Поэтому обязательно проводиться рентгенографическое обследование. Иногда больной может даже и не догадываться о травме, потому что она может появиться при неаккуратном лечении. Если же произошла трещина или раскол зуба с пломбой, тогда следует сразу же обратиться к соответствующему специалисту. Это поможет не только устранить серьезные осложнения, но и сэкономить финансы, которые потребуются на лечение и восстановление коронки.
В результате подвижного образа жизни и увеличенного травматизма у детей часто наблюдаются трещины на зубах. Если вовремя не обратиться к врачу, то произойти скол или разрушение зуба .
Способы спасения зубов
Спасти их можно только в том случае, если человек вовремя обратился к стоматологу. Врач выбирает способ лечения, с учетом размера трещины и ее глубины. Для сохранения зубов используют такие методы: постановление коронок, удаление пульпы, пломбирование зубных каналов, установление виниров (такие накладки помогают скрыть эстетические дефекты).
Удаление зуба обычно требуется только в крайних случаях. Эффективность лечения зависит того, насколько правильно стоматолог подберет терапию.
Вопрос-ответ
Что делать если на рентгеновском снимке, на корне зуба обнаружилась трещинка?
Вопрос о сохранении единицы, необходимо решать на очном осмотре, в кабинете стоматолога. Трещины внутри зуба способствуют проникновению инфекции в ткани пародонта. При перфорации корня, решают вопрос о скорейшем закрытии дефекта. Если трещина большая и уже появился воспалительный процесс, сохранить зуб, скорее всего не получится.
Как уберечь зубы от появления трещин?
Профилактикой заболевания является устранение агрессивных факторов окружающей среды на эмаль. Необходимо уберегаться от травм, осуществлять качественную гигиену полости рта. Не употребляйте одновременно горячие и холодные продукты питания. По возможности откажитесь от курения и алкоголя.
Выбором жесткости щетки, назначением профилактических препаратов, должен заниматься врач. Не стоит доверяться мнению друзей, родственников и фармацевтов из аптек. Посетите стоматологическую клинику, пройдите профилактический осмотр и получите помощь опытного врача.
Отзывы
Во время катания на велосипеде упала и сильно ударилась. Дома обнаружила трещинки. Когда стала пить горячий чай, возникла сильная боль. Пришлось идти к врачу, который специальной щеткой очистил повреждение, высушил и намазал гелем. Через 30 минут гель высох, и оно стало незаметно.
Анна, 18 лет (г.Новосибирск)
При хорошем освещении заметил, что все передние зубы покрыты тонкими бороздками. Я полагаю, что их появление связано с долгим ношением брекетов. Для лечения использую пасту для чувствительных зубов. После обычной зубной пасты возникает реакция на холод. Врач предложил лечить поврежденные участки специальным средством.
Алексей, 30 лет (г.Красноярск)
В детстве прикусила металлическую детальку от замка, и на зубе образовалась вертикальный раскол. Со временем зуб стал болезненно реагировать на смену температуры. Особо неприятные ощущения дает вдыхание ртом морозного воздуха и употребление холодной пищи. В поликлинике мне была проведена реминерализация. После профессиональной чистки поверхность эмали покрыли специальным составом. Теперь раз в год придется повторять эту процедуру.
Светлана, 25 лет (г.Барнаул)
Трещины корня
Трещина корня зуба часто возникает в процессе лечения или в послеоперационный период. Диагностировать такой дефект обычно очень сложно. Клинические проявления практически не возникают. Стоматологи выделяют такие причины возникновения трещин:
- Установление штифтовой конструкции. Диаметр должен соответствовать диаметру зубного канала. Стенки корней сильно истонченные. После фиксации штифтовой конструкции может не совпадать зубной ряд. В процессе жевания может произойти раскол зуба и трещина корня.
- Эндодонтическое лечение. В этом случае может произойти сильное давление. Неправильное применение гуттаперчи может привести к разным осложнениям.
- Травмы. Могут быть бытовые травмы или неаккуратная экстракция.
Трещина корня зуба является серьезным дефектом. Требуется эффективное лечение, чтобы вовремя спасти ситуацию, поэтому очень важно планово посещать стоматолога.
Возможные последствия
Не следует рассматривать образование повреждений как внешний дефект, не требующий срочного лечения. Это серьезная стоматологическая патология, которая может сопровождаться развитием воспалительного процесса, дискомфортом, болью и полной потерей зуба.
Наиболее частыми последствиями возникновения зубных трещин являются:
- болевые ощущения;
- повышенная чувствительность во время еды и гигиенической чистки, окрашивание и пигментация эмали;
- неприятный запах изо рта;
- формирование пародонтальных карманов и развитие пародонтита.
Наращивание жевательных зубов
Жевательные зубы также часто подвергаются разрушению, в большинстве случаев причиной тому является кариес. После лечения кариеса, особенно глубокого, остаются обширные полости, которые специалист после обработки заполняет пломбировочным материалом. Однако в ряде случаев от зуба может остаться только корень и несколько тонких стенок, а порой не остается и их. Тем не менее, один из трендов современной стоматологии — применение максимально зубосохраняющих методик. Поэтому, если раньше здоровый корень, лишившийся коронковой части, скорее всего удалили бы, а вместо зуба установили мостовидный протез, а в лучшем случае — имплантат, сегодня предпочитают сохранить корень, а коронковую часть восстановить, с помощью установки вкладки и коронки.
Признаки трещины корня
Трещина корня зуба отличается тем, что симптомы практически не проявляются. Они могут быть разнообразными, зависят от таких факторов:
- место трещины;
- тип зуба;
- сколько времени прошло с момента трещины;
- состояние периодонта;
- наличие инфекций.
Вертикальные трещины корня часто стоматологи диагностируют с учетом анамнеза. В нем отмечают длительные болевые ощущения дискомфорт. Наблюдаются очаги инфекции рядом с повреждением.
Боль может усиливаться в процессе жевания, при надкусывании твердых продуктов или сторонних предметов. Любая нагрузка на поврежденный канал может вызывать острую боль. Дискомфорт присутствует все время. В процессе использования гуттаперчи может возникнуть странный звук, который свидетельствует о наличии трещины. В этом случае делать пломбирование канала нельзя.
В процессе лечения врач может повредить сосуды и вызвать кровотечение. Часто это происходит из-за воздействия конденсатом. Если в канал получает залить большое количество гуттаперчи, то это первый признак наличия трещины. Это может быть связано с переломом зуба. Лечение в таких случаях проводится в незамедлительном порядке.
При визуальном осмотре врач может заподозрить повреждение корня. В этом месте наблюдается незначительная отечность, покраснение, при пальпации пациент испытывает неприятные ощущения.
Особенности лечения по расположению зуба
Если зубная эмаль треснула, устранить дефект в домашних условиях невозможно. Увеличение раскола и нарушение целостности зуба может привести к его потере.
Передние
Они имеют наибольшую эстетическую ценность. Если дефект образовался на переднем зубе, что делать, подскажет врач-дантист. Он проведет необходимые процедуры по устранению косметического дефекта и профилактике дальнейшего разрушения поверхности.
Лечебные процедуры включают в себя следующие манипуляции:
- реминерализация;
- нанесение композитных материалов, если трещины небольшие;
- установка виниров при отсутствии на месте повреждения части зуба;
- лечение и установка штифта или коронки при глубоких дефектах.
Коронка
Повреждение может быть связано с постепенным истончением эмали, возникающим при механическим воздействии во время жевания. При этом появляются микроскопические трещинки, которые увеличиваются и приводят к образованию сколов или переломам коронковой части. Неглубокие повреждения не затрагивают пульпу, поэтому терапия ограничивается пломбированием.
Корень зуба
Этот вид разрушения диагностируется во время детального обследования с использованием специального оборудования. Он характерен для зубов, ранее подвергавшихся санации. Со временем вертикальное повреждение вызывает продольный перелом корня зуба.
Состояние усугубляется попаданием в полость патогенных микроорганизмов и разрушением костной ткани.
При переломе зубного корня трещины постепенно распространяется снизу вверх и достигают жевательной поверхности. При этом больной долго не догадывается о дефекте, так как патология протекает бессимптомно. Очень часто перелом заканчивается полным разрушением сломанного зуба.
Зуб мудрости
Такие дефекты возникают крайне редко, так как зубы мудрости разрушаются очень быстро и наиболее часто подвергаются воздействию болезнетворных микроорганизмов. Учитывая, что они не несут никакой функциональной нагрузки, и доступ к ним затруднен, самым оптимальным вариантом является удаление.
Внутри зуба
Этот вид повреждений скрыт от пациента и врача до последнего момента. Обычно разрушение начинается около корня и продвигается вверх. Его невозможно диагностировать при внешнем осмотре, и оно не вызывает боли.
Его можно почувствовать, если поврежденные участки стенок раздражают пульпу. В других случаях внутризубные трещины становятся заметными при образовании сколов или переломе.
Факторы появления трещин
Имеется целый ряд причин, из-за которых могут образовываться трещины в зубах. Стоит выделить самые главные:
- Нехватка в организме полезных элементов, которые требуются для укрепления эмали. Обычно это происходит из-за неправильного питания;
- Потребление повышенного количества продуктов с повышенным содержанием сахара и кислотности. Все это отрицательно отражается на эмали и вызывает ее медленное разъедание;
- Трещины могут появиться при одновременном потреблении горячих и холодных продуктов, что вызывает температурный контраст в ротовой полости. В результате этого в эмали происходит образование трещин;
- Наличие таких вредных привычек как обгрызание твердых предметов, ручек, карандашей, продуктов (орехи, семечки). Обычно при резких усилиях могут возникнуть трещины или сколы эмали;
- Возникновение травм при ударах;
- Наличие заболеваний и спазмов в жевательных мышцах, при которых происходит непроизвольные сжатия и движения челюсти. Все это оказывает отрицательное механическое влияние на единицы зубного ряда;Нехватка витаминов и минералов, привычка грызть твердые предметы, потребление чрезмерно холодных или горячих напитков и большого количества сладостей может привести к ухудшению состояния эмали, что приведет к трещинам о сколам зубов.
- Различные побочные явления от лекарственных средств при их повышенном применении;
- Врачебные ошибки, которые допущены стоматологом при проведении различных лечебных процедур.
Зубы могут треснуть при следующих обстоятельствах:
- Неправильное питание, когда происходит совмещение холодных и горячих продуктов;
- Злоупотребление кислотосодержащими напитками, в том числе газированными. Они содержат агрессивные по отношению к эмали вещества, которые истончают и травмируют ее;
- Употребление блюд, состоящих из ингредиентов повышенной твердости. Это приводит к травмам поверхности;
- Сильное механическое воздействие непищевыми элементами;
- Частое отбеливание поверхности сверхактивными веществами;
- Появление заболеваний, таких как гингивитные поражения, пародонтитные явления, кариесные разрушения эмали;
- Неправильный уход за ротовой полостью, что ведет к щелочно-кислотному дисбалансу;
- Табакокурение, злоупотребление спиртными напитками, наркотическая зависимость;
- Сильное травмирование.
Подобная проблема может появиться из-за кальциевого голодания. Поэтому нужно скорректировать свою диету, чтобы предотвратить или снизить риск разрушения.
Выделяется целый ряд факторов, которые повышают возникновение трещин эмали:
- Нехватка минералов и витаминов, которые нужны для формирования крепкой эмали.
- Употребление большого количества сахара и продуктов с высоким уровнем кислотности (они просто разъедают эмаль со временем).
- Скрежет зубами во сне.
- Одновременное употребление горячей и холодной пищи, что вызывает резкий температурный контраст в полости рта и также может приводить к появлению трещинок и повышенной чувствительности зубов. Больше информации о повышенной чувствительности зубов смотрите здесь.
- Привычка грызть твердые продукты и предметы.
- Травмы в результате удара.
- Спазмы, заболевания жевательных мышц, которые вызывают неконтролируемое сжатие челюстей.
- Длительный прием определенных медикаментов.
- Врачебные ошибки, допущенные стоматологом во время лечения.
Опасность трещин в том, что далеко не всегда их легко заметить самостоятельно – передние зубы у нас на виду, а жевательные, как правило, дают о себе знать выраженной болью в самых запущенных ситуациях. Поэтому относитесь внимательно к своему здоровью и при малейших проблемах обращайтесь к стоматологу. Даже малозаметная полоска на эмали – уже повод для беспокойства и снимка в рентген-кабинете.
Трещина может быть небольшой, но глубокой. Из-за нарушения целостности зуба, часть кости начинает давить на нерв, поэтому он воспаляется, и возникает пульпит. Обычно это заболевание развивается медленно и начинается с появления кариеса, но трещина приводит к пульпиту намного быстрее. Особо опасна в этом отношении трещина корня зуба.
Вертикальная трещина зуба часто приводит к пульпиту. Именно она открывает быстрый путь инфекции к зубному нерву. После удаления пульпы, врач не просто заделывает отверстие в зубе пломбировочным материалом, но и устанавливает коронку для предотвращения дальнейшего разрушения зуба.
- удары и ушибы;
- привычная грызть ногти, карандаши и т.д.;
- бруксизм (скрежетание зубами)
- истонченная эмаль.
Основными причинами, приводящими к возникновению вертикальных трещин зубов, приводит:
- чрезмерное употребление контрастных по температуре блюд (холодное мороженное и горячий чай);
- чрезмерное употребление кислых соков и сильногазированных напитков с ортофосфорной кислотой, которая разрушает и портит зубную эмаль;
- регулярные микротравмы зубов в процессе откусывания твердой пищи, разгрызания орехов, леденцов, семечек;
- нерегулируемый скрип зубами во сне, открывание зубами банок, прочных крышек;
- постоянное пользование отбеливающими зубными пастами с содержанием соды и других агрессивных абразивов;
- начало развития болезней зуба – гингивита, пародонтита, кариеса;
- нарушение кислотно-щелочного баланса ротовой полости, к которому приводит плохая и некачественная гигиена полости рта;
- наличие вредных привычек – курения, употребления алкоголя и наркотиков;
- полученные травмы зубов – сильные удары по челюсти, ушибы, падения.
Причины появлений трещин зубов Трещины в коронках зачастую появляются в результате постепенного уменьшения слоя эмали в результате механического воздействия при пережевывании или откусывании пищи. Появление небольшой и малозаметной трещины впоследствии будет способствовать возникновению скола или разлома всей коронки. Незначительная травма зуба, не затрагивающая тканей пульпы, лечится довольно просто пробированием или установкой новой коронки.
Более глубокое повреждение с явными признаками начала воспалительных процессов в пульпе зуба необходимо лечить как можно быстрее. Зуб необходимо депульпировать, качественно дезинфицировать и запломбировать. После чего возможна установка новой коронки.
Зубы мудрости в силу определенных особенностей — длительном прорезывании, постоянном воздействию болезнетворных микробов, труднодоступном расположении, разрушаются гораздо чаще других. При возникновении трещины зубе мудрости, скорее всего, врач примет решение об удалении зуба, так как в силу труднодоступности вылечить его не представляется возможным. Кроме этого, никакой функциональности эти зубы не несут, поэтому удаление не скажется негативно на жевательных функциях.
Для того, чтобы предотвратить появление трещин различной этиологии на зубах необходима профилактика, основанная на укреплении эмали зубов. К профилактическим мероприятиям относятся:
- систематическая качественная гигиена ротовой полости, раз в полгода осуществление профессиональной чистки в клинике с удалением камня, отложений, налета;
- применение нежесткой зубной щетки, которая не травмирует десна и в то же время хорошо очищает зубы;
- применение зубных паст, ополаскивателей, гелей, содержащих укрепляющие эмаль компоненты;
- употребление достаточного количества молочных продуктов, свежих овощей, сведение к минимуму употребление газированных напитков, содержащих ортофосфорную кислоту, красители и сахар;
- ограничение резкого перепада температур во время приема пищи;
- отказ от вредных привычек.
Данные профилактические меры направлены не только на профилактику возникновения трещин, но и на профилактику различных болезней полости рта – гингивита, пародонтита и сохранению здоровой улыбки.
Врачебный осмотр
Наличие повреждений врач диагностирует при визуальном осмотре.
При подозрении на наличие микроскопических расколов понадобится более детальное обследование.
Для этого могут быть использованы такие методы диагностики:
- сбор анамнеза у пациента;
- осмотр на предмет выявления отечности мягких тканей, которая является признаком застарелых повреждений;
- окрашивание зубной поверхности красящими веществами, которые проявляют поврежденные участки;
- использование стоматологической щетки, во время прикусывания которой у пациента в очаге поражения возникает боль;
- рентгенологическое обследование;
- визиография.
Лечение трещин и расколов
Тактика лечения треснутого зуба определяется врачом с учетом глубины и масштаба повреждения, общего состояния эмали и тканей всей полости рта. Существует несколько эффективных методов терапии.
- укрепление эмали проводится в случае, если трещина сравнительно небольшая и находится на поверхности: стоматолог прибегнет к использованию специальных укрепляющих средств. Смесь с содержанием кальция и фтора наносится на эмаль на протяжении определенного времени, в среднем – в течение 2 недель. Это позволит укрепить ее и предупредить углубление повреждения,
- композитное наращивание при незначительной трещине и сколе части эмали вместе с дентином. Позволяет восстановить цвет и форму,
- виниринг – современный способ лечения в случаях, если имеют место множественные микроповреждения эмали. Метод предполагает обработку тканей и фиксацию специальных пластин, которые помогут скрыть дефект,
- эндодонтическое лечение требуется в более серьезных случаях – при переломах, повреждениях корневой системы, глубоких трещинах. В подавляющем большинстве случаев пульпу удаляют даже при отсутствии клинических симптомов ее воспаления. Это объясняется тем, что открытый доступ к нервно-сосудистому пучку провоцирует размножение болезнетворных бактерий. Даже если симптоматика пульпита отсутствует, микроорганизмы уже могут начать размножаться в мягких структурах, и если болезнь проявит себя уже после восстановления формы, это повлечет за собой неприятные последствия и необходимость пройти лечение повторно, уже с депульпированием,
- культевая вкладка или установка штифтов требуется в случае, если зуб откололся под корень и от коронки ничего не осталось. В этом случае сверху ставится или искусственная коронка, или проводится композитное наращивание.





